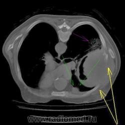
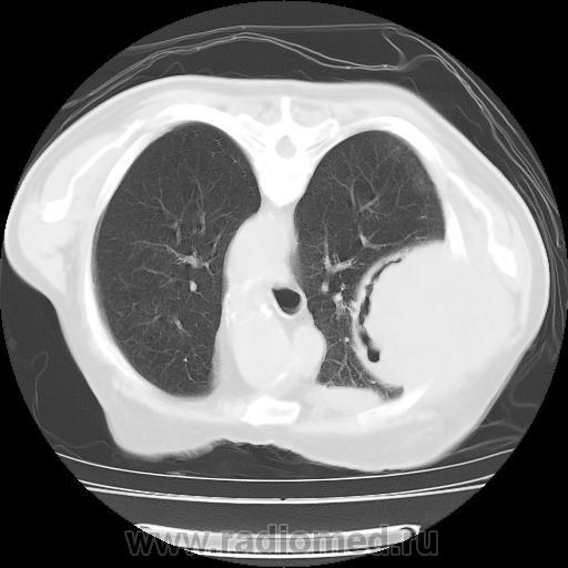
Правое легкое: в проекции средней доли (S3,4,5) определяется объемное образование преимущественно однородной структуры с ровными, четкми контурами размерами 92х88х94мм. Плотность его составляет 19-25 едН. В медиальных отделах образования содержится серповидная полоска воздуха. Латеральные отделы образования выходят за контуры грудной полости на 42 мм. На этом участке ребра не дифференцируются. Внутренний контур передней зубчатой, подлопаточной мышц размытый, граница между образованием и ними отчетливо не видна. Кзади от образования, в кортикальных отделах в легочной ткани инфильтрация. Кпереди от описанного образования расположен участок, широким основанием прилежащий к грудной стенке, имеющий плотность 12-20 ед.Н, однородную структуру, размеры 14х48мм. Прилежащее ребро интактно.
Я намекала лечащему врачу насчет биопсии - вот ведь оно, рядом ... Но больного куда-то перевели, т.к. был госпитализирован не по профилю. Так ничего и не узнала.
А исследование было около 3 недель назад. Теперь надеюсь, что что-то подскажете.
Хотя возможен вариант - эпителиома + паракостальный осумкованный плеврит, а может быть с учетом газа "осумкованный пневмоплеврит". Будем надеяться, что наши "светлые умы", имеющие прямое отношение к КТ, по всей видимости, завтра выскажут своё мнение.
Я понимаю коллега, что раз биопсия не была произведена и пациент переведен, возможно, мы до "истины" и не докопаемся, хотя как знать? Возможно, завтра коллеги выскажутся более точно, возможно кто-то и имел в своей практике подобные случаи.
Я должен отметить, что Ваш "дебют" (представленный данный случай) оказался весьма блистательным и не ординарным. Как Модератор сайта, я надеюсь, что наше сотрудничество будет плодотворным и долговременным.
Наблюдение на самом деле весьма редкое и интересное. Для начала; это не эхинококк и конечно не мезотелиома. Данные заболевания не дают такую скиалогическую КТ картину: полость с содержимым, серпом воздухом и с деструкцией рёбер, лопатки и инвазией грудной стенки. Такой агрессивный характер инфекции может быт при актиномикозе; но при нём идёт диффузный процесс; не характерно образование таких больших полостей с внутренними включениями. Аспергиллус может расти инвазивно и вызывать деструкцию в костях; есть отдельная форма: инвазивный аспергиллёз... Я прикрепил ниже сканы аспергиллёза с инвазией основания черепа. Но для неё не характерно образование полостей с "грибковым шаром"... Это признак мицетемы (отдельная форма аспергиллёза). Если поразмыслить логически; должен быть субстрат; а потом уже "сел" гриб. Я думаю дело было так; у пациента есть в наличии мелкоклеточный рак лёгкого или туберкулёзная полость; а потом присоединился аспергиллус и мы получили представленную картину. По другому никак не укладывается. ИМХО.
Спасибо Доктор Марио за расставленные точки над "и".
Доктор Марио:
"Я думаю дело было так; у пациента есть в наличии мелкоклеточный рак лёгкого или туберкулёзная полость; а потом присоединился аспергиллус и мы получили представленную картину. По другому никак не укладывается. ИМХО".
Но у врача, который является профаном (Я) в КТ остались вопросы, о которых несколько позднее.
Понятно, что сиреневой стрелкой обозначен "парапроцесс". А вот, что обозначено зелеными стрелками? Для меня это вопрос.
Вопрос 2. Если предположить, что аспергилла "поселилась" в "туберкулёзной полости"?
Таких размеров аспергилла могла расположиться только в каверне (санированной каверне или кисте, которая образовалась в результате санации каверны), следовательно, если имела место "каверна", фактически - одно из осложнений туберкулезного процесса, то трудно предположить полное "отсутствие архива" и интактность "окружающей ткани". Каверна, как правило, "заплевывает" окружающую легочную ткань очагами или "дочерними кавернами", а в данном случае, мы этого не наблюдаем. И если-бы такая каверна, таких размеров, располагалась субплеврально, то по всей видимости, большая вероятность расплавления плевральных листков и возникновение пневмоторакса. Нет "такое полостное образование" не могло быть каверной.
Трудно предположить, что имеет место, такая по величине "полостная форма рака".
Мужчине 76 лет. Некоторое время работал в Южной Африке.
И возникла совершенно шальная мысль. А где располагается "ЭТО"? В легочной ткани или нет? и умозрительное продолжение контуров "ЭТОГО", показало, что "ЭТО" выходит за пределы грудной клетки, а именно костных её компонентов, что находит подтверждение на отдельных сканнах.
А не экстраплевральная - ли "ЭТО" пломба, которая была применена по типу "олеоторакса"?
Я сегодня по делился с МСКТ-картиной со своими коллегами, правда на словах, предпологают вариант перстневидно-клеточный рак, при этом лимфантгиита может и не быть, всё сегодня перерыл а данную картину нигде не нашёл
"Знаешь, у некоторых врачей есть комплекс мессии — им необходимо спасать мир. А у тебя комплекс Рубика — тебе необходимо решать головоломки."
К истине, мы все равно не придём, так как дообследование невозможно, проведение биопсии также невозможно. Но случай интересный, так как заставил "пошевелиться" подумать, вспомнить и т.п. Конечно, желательно было-бы услышать мнения большего количества коллег.
Уважаемые коллеги! Интересное наблюдение! Думаю надо идти методом исключения. Это не эхинококк, потому что имеется деструкция ребер. Это не мезентелиома. Не ее локализация и нет выпота в плевральной полости. Аспергилез - возможно, но деструкции ребер не встречал в своей практике. Думается о миксе. Какой то экзотический паразит (анамнез отягощен) + злокачественное новообразование.
после того, как весной этого года, но вовсе не 1 апреля, в новостях по всем центральным каналам показали молодого человека, которого оперировали по поводу рака легкого, а нашли в легком еловую веточку (симпатичную такую веточку, зелененькую, с иголочками...), в данном случае может быть что угодно, хотя больше всего похоже на аспергиллез, ну очень большой...
Нарушая все каноны обсуждения, но пользуясь тем, что Татьяна Валентиновна прокомментировала, хочу задать ей вопрос. Ваше мнение по поводу представленного ниже.
Хотела сразу написать "метастаз почечноклеточного рака". А если серьезно, Валентин Львович, подобная картина: литический очаг деструкции, со вздутием, разрушением коркового слоя, периостозом, требует морфологии, т.к. рентгеновская картина не специфична для какой-то определенной нозологии, диф. ряд включает и метастаз и первичную опухоль кости (прежде всего ходросаркома, остеосаркома, лимфома, ЗФГ).
Dr.Mario, как Вы думаете, "природа" образования и участка, обозначенного Валентином Львовичем зелеными стрелками, одна? Если да, то тогда выходит, что "субстрат" здесь уже не нужен?
А где же сканы
"Знаешь, у некоторых врачей есть комплекс мессии — им необходимо спасать мир. А у тебя комплекс Рубика — тебе необходимо решать головоломки."
Хотя и не занимаюсь КТ, но не думаю, что эхинококковая киста могла-бы "дать" болевой синдром.
А как на счёт аспергеллёза?
"Знаешь, у некоторых врачей есть комплекс мессии — им необходимо спасать мир. А у тебя комплекс Рубика — тебе необходимо решать головоломки."
Сканы были, но исчезли. Если есть проблемы со вставкой изображений дайте знать.
Этож какая должна быть полость и после чего, чтобы "вырос такой гриб"?
Просто выложила без предварительного просмотра, все сканы выстроились в шеренгу. Сейчас редактирую, скоро будут:)
Уважаемый Валентин Львович, а если пациент с иммунодефицитом, тоже наверно возможно.
Ой нет, беру свои слова обратно, вижу сканы.
"Знаешь, у некоторых врачей есть комплекс мессии — им необходимо спасать мир. А у тебя комплекс Рубика — тебе необходимо решать головоломки."
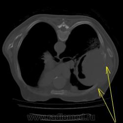
Но какая интересная "штуковина", а главное как она "прет" кнаружи.
Уважаемая янаТ, обмолвите пару слов о пациенте или хотя бы о его анамнезе????????????
"Знаешь, у некоторых врачей есть комплекс мессии — им необходимо спасать мир. А у тебя комплекс Рубика — тебе необходимо решать головоломки."
Теперь все, кажется справилась:).
Мужчине 76 лет. Некоторое время работал в Южной Африке - поэтому и мысли о паразитарной природе. Хотя, конечно, эхинококк не из той оперы.
К сожалению, история болезни на момент исследования была очень скудной. До этого не обращался.
Аспергилла и разрушение ребра?
Да, да Валентин Львович, поэтому я забираю свои слова
. Согласен с вами идёт деструкция ребра и инфильтрация окружающей ткани.
"Знаешь, у некоторых врачей есть комплекс мессии — им необходимо спасать мир. А у тебя комплекс Рубика — тебе необходимо решать головоломки."
Описала я это так:
<!-- /* Style Definitions */ p.MsoNormal, li.MsoNormal, div.MsoNormal mso-style-parent:""; margin:0cm; margin-bottom:.0001pt; mso-pagination:widow-orphan; font-size:12.0pt; font-family:"Times New Roman"; mso-fareast-font-family:"Times New Roman"; @page Section1 size:612.0pt 792.0pt; margin:2.0cm 42.5pt 2.0cm 3.0cm; mso-header-margin:36.0pt; mso-footer-margin:36.0pt; mso-paper-source:0; div.Section1 page:Section1; -->
Правое легкое: в проекции средней доли (S3,4,5) определяется объемное образование преимущественно однородной структуры с ровными, четкми контурами размерами 92х88х94мм. Плотность его составляет 19-25 едН. В медиальных отделах образования содержится серповидная полоска воздуха. Латеральные отделы образования выходят за контуры грудной полости на 42 мм. На этом участке ребра не дифференцируются. Внутренний контур передней зубчатой, подлопаточной мышц размытый, граница между образованием и ними отчетливо не видна. Кзади от образования, в кортикальных отделах в легочной ткани инфильтрация. Кпереди от описанного образования расположен участок, широким основанием прилежащий к грудной стенке, имеющий плотность 12-20 ед.Н, однородную структуру, размеры 14х48мм. Прилежащее ребро интактно.
Буду рада, если укажете на ошибки.
А тут уже ребро "сожрали"?
Смущает то, что контуры образования ровные, и в то же время деструкция...
Ну в легком, рядышком, то по всей видимости, "парапроцесс"?
100% деструкция ребра!
"Знаешь, у некоторых врачей есть комплекс мессии — им необходимо спасать мир. А у тебя комплекс Рубика — тебе необходимо решать головоломки."
А как насчет эпителиомы (мезотелиомы), хотя такие размеры?
Я намекала лечащему врачу насчет биопсии - вот ведь оно, рядом ... Но больного куда-то перевели, т.к. был госпитализирован не по профилю. Так ничего и не узнала.
А исследование было около 3 недель назад. Теперь надеюсь, что что-то подскажете.
Хотя возможен вариант - эпителиома + паракостальный осумкованный плеврит, а может быть с учетом газа "осумкованный пневмоплеврит". Будем надеяться, что наши "светлые умы", имеющие прямое отношение к КТ, по всей видимости, завтра выскажут своё мнение.
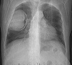
А на рентгенограмме полоска просветления была сверху?
Валентин Львович, у меня тоже мысль об мезотелиоме была.
Вот только не могу понять, эти два участка одной природы или нет, плотность близка.
Сейчас уже точно не вспомню, кажется так же, как и сейчас на топограмме.
У меня теперь мысли будут только обо этом образовании, эх а материал для гистологии так близок...
"Знаешь, у некоторых врачей есть комплекс мессии — им необходимо спасать мир. А у тебя комплекс Рубика — тебе необходимо решать головоломки."
Я понимаю коллега, что раз биопсия не была произведена и пациент переведен, возможно, мы до "истины" и не докопаемся, хотя как знать? Возможно, завтра коллеги выскажутся более точно, возможно кто-то и имел в своей практике подобные случаи.
Я должен отметить, что Ваш "дебют" (представленный данный случай) оказался весьма блистательным и не ординарным. Как Модератор сайта, я надеюсь, что наше сотрудничество будет плодотворным и долговременным.
Еще раз спасибо за интересный случай.
С уважением В. Катенёв.
V1tal, ура:)! Теперь будем думать все вместе, а то я одна уже около 3 недель не могу забыть об этом случае.
Спасибо, Валентин Львович, мне тоже очень этого хочется. А ведь я здесь благодаря Вам!
Наблюдение на самом деле весьма редкое и интересное. Для начала; это не эхинококк и конечно не мезотелиома. Данные заболевания не дают такую скиалогическую КТ картину: полость с содержимым, серпом воздухом и с деструкцией рёбер, лопатки и инвазией грудной стенки. Такой агрессивный характер инфекции может быт при актиномикозе; но при нём идёт диффузный процесс; не характерно образование таких больших полостей с внутренними включениями.
Аспергиллус может расти инвазивно и вызывать деструкцию в костях; есть отдельная форма: инвазивный аспергиллёз... Я прикрепил ниже сканы аспергиллёза с инвазией основания черепа. Но для неё не характерно образование полостей с "грибковым шаром"... Это признак мицетемы (отдельная форма аспергиллёза). Если поразмыслить логически; должен быть субстрат; а потом уже "сел" гриб. Я думаю дело было так; у пациента есть в наличии мелкоклеточный рак лёгкого или туберкулёзная полость; а потом присоединился аспергиллус и мы получили представленную картину. По другому никак не укладывается. ИМХО.
Let me see...
radiographia.ru
Спасибо Доктор Марио за расставленные точки над "и".
Доктор Марио:
"Я думаю дело было так; у пациента есть в наличии мелкоклеточный рак лёгкого или туберкулёзная полость; а потом присоединился аспергиллус и мы получили представленную картину. По другому никак не укладывается. ИМХО".
Но у врача, который является профаном (Я) в КТ остались вопросы, о которых несколько позднее.
Вопрос 1.
Понятно, что сиреневой стрелкой обозначен "парапроцесс". А вот, что обозначено зелеными стрелками? Для меня это вопрос.
Вопрос 2. Если предположить, что аспергилла "поселилась" в "туберкулёзной полости"?
Таких размеров аспергилла могла расположиться только в каверне (санированной каверне или кисте, которая образовалась в результате санации каверны), следовательно, если имела место "каверна", фактически - одно из осложнений туберкулезного процесса, то трудно предположить полное "отсутствие архива" и интактность "окружающей ткани". Каверна, как правило, "заплевывает" окружающую легочную ткань очагами или "дочерними кавернами", а в данном случае, мы этого не наблюдаем. И если-бы такая каверна, таких размеров, располагалась субплеврально, то по всей видимости, большая вероятность расплавления плевральных листков и возникновение пневмоторакса. Нет "такое полостное образование" не могло быть каверной.
Трудно предположить, что имеет место, такая по величине "полостная форма рака".
Мужчине 76 лет. Некоторое время работал в Южной Африке.
И возникла совершенно шальная мысль. А где располагается "ЭТО"? В легочной ткани или нет? и умозрительное продолжение контуров "ЭТОГО", показало, что "ЭТО" выходит за пределы грудной клетки, а именно костных её компонентов, что находит подтверждение на отдельных сканнах.
А не экстраплевральная - ли "ЭТО" пломба, которая была применена по типу "олеоторакса"?
Я сегодня по делился с МСКТ-картиной со своими коллегами, правда на словах, предпологают вариант перстневидно-клеточный рак, при этом лимфантгиита может и не быть, всё сегодня перерыл а данную картину нигде не нашёл
"Знаешь, у некоторых врачей есть комплекс мессии — им необходимо спасать мир. А у тебя комплекс Рубика — тебе необходимо решать головоломки."
Уважаемый коллега!
К истине, мы все равно не придём, так как дообследование невозможно, проведение биопсии также невозможно. Но случай интересный, так как заставил "пошевелиться" подумать, вспомнить и т.п. Конечно, желательно было-бы услышать мнения большего количества коллег.
Уважаемые коллеги! Интересное наблюдение! Думаю надо идти методом исключения. Это не эхинококк, потому что имеется деструкция ребер. Это не мезентелиома. Не ее локализация и нет выпота в плевральной полости. Аспергилез - возможно, но деструкции ребер не встречал в своей практике. Думается о миксе. Какой то экзотический паразит (анамнез отягощен) + злокачественное новообразование.
dok
после того, как весной этого года, но вовсе не 1 апреля, в новостях по всем центральным каналам показали молодого человека, которого оперировали по поводу рака легкого, а нашли в легком еловую веточку (симпатичную такую веточку, зелененькую, с иголочками...), в данном случае может быть что угодно, хотя больше всего похоже на аспергиллез, ну очень большой...
"самоуверенность дилетантов - предмет зависти профессионалов"
Нарушая все каноны обсуждения, но пользуясь тем, что Татьяна Валентиновна прокомментировала, хочу задать ей вопрос. Ваше мнение по поводу представленного ниже.
Хотела сразу написать "метастаз почечноклеточного рака". А если серьезно, Валентин Львович, подобная картина: литический очаг деструкции, со вздутием, разрушением коркового слоя, периостозом, требует морфологии, т.к. рентгеновская картина не специфична для какой-то определенной нозологии, диф. ряд включает и метастаз и первичную опухоль кости (прежде всего ходросаркома, остеосаркома, лимфома, ЗФГ).
"самоуверенность дилетантов - предмет зависти профессионалов"
Спасибо за ответ Татьяна Валентиновна.
ну кстати на метастаз рака почки действительно очень похоже. а что на самом деле?
"самоуверенность дилетантов - предмет зависти профессионалов"
Сам заключения не видел, но коллега терапевт информировал, что из областного ОД пришла гистология - "хондросаркома".
хондросаркомеа вполне может быть
"самоуверенность дилетантов - предмет зависти профессионалов"
Спасибо всем!
Dr.Mario, как Вы думаете, "природа" образования и участка, обозначенного Валентином Львовичем зелеными стрелками, одна? Если да, то тогда выходит, что "субстрат" здесь уже не нужен?
С нетерпением коллега ждем от Вам "случаев из практики".