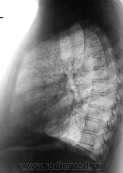
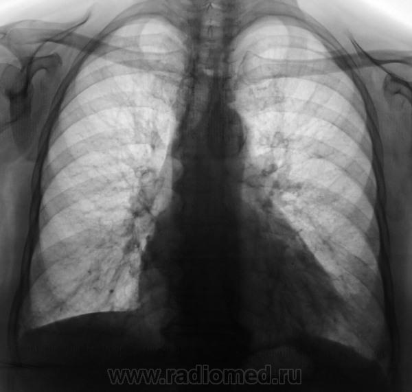
Пол пациента: Женский пол Тип патологии: Воспалительное заболевание неинфекционной природы Область исследования: Грудная клетка и верхние дыхательные пути Методы исследования: Rg Направлена на рентгенографию ОГК с подозрением на пневмонию https://radiomed.ru/sites/default/files/styles/case_slider_image/public/user/12/2.201201010021_0.jpg?itok=5JkVgdOr ID:31178 Пнд, 26/08/2013 - 17:26 #1 медсанчасть рег... Не на сайте Был на сайте: 11 лет 1 месяц назад Зарегистрирован: 11.06.2013 - 10:46 Публикации: 136 Да,можно предположить инфильтрацию S8 левого легкого,но не совсем чистые язычки. Пнд, 26/08/2013 - 17:41 #2 Kintire Не на сайте Был на сайте: 9 лет 6 месяцев назад Зарегистрирован: 25.02.2013 - 20:50 Публикации: 75 медсанчасть регион 12 wrote: Да,можно предположить инфильтрацию S8 левого легкого,но не совсем чистые язычки. +1. А слева корень не инфильтрирован? Пнд, 26/08/2013 - 20:39 #3 И.Бондаренко Не на сайте Был на сайте: 3 дня 10 часов назад Зарегистрирован: 13.09.2011 - 22:55 Публикации: 9206 Похоже, что и правая сторона задействована. Пнд, 26/08/2013 - 20:41 #4 Сергей Кузьминов Не на сайте Был на сайте: 1 год 1 неделя назад Зарегистрирован: 06.10.2012 - 15:51 Публикации: 11813 В любом случае ждать контроля,но синус передний слева уже нехорош. Втр, 27/08/2013 - 09:20 #5 Любовь С. Не на сайте Был на сайте: 9 лет 5 месяцев назад Зарегистрирован: 23.12.2010 - 01:58 Публикации: 2324 Избыточная прекардиальная клетчатка слева в диф.диагноз. "Предоставляя весь смысл и совершенство в распоряжение одного только Бога, вы избавляете себя от бездны хлопот." Джон Уитборн.
Да,можно предположить инфильтрацию S8 левого легкого,но не совсем чистые язычки.
+1. А слева корень не инфильтрирован?
Похоже, что и правая сторона задействована.
В любом случае ждать контроля,но синус передний слева уже нехорош.
Избыточная прекардиальная клетчатка слева в диф.диагноз.
"Предоставляя весь смысл и совершенство в распоряжение одного только Бога, вы избавляете себя от бездны хлопот." Джон Уитборн.