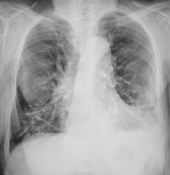
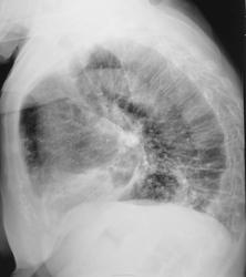
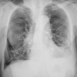
С подозрением на пневмонию направлена на рентгенографию ОГК.

Пол пациента: 
Тип патологии: 
Методы исследования: 

С подозрением на пневмонию направлена на рентгенографию ОГК.

  • https://radiomed.ru/sites/default/files/styles/case_slider_image/public/user/12/12.dscn0551.jpg?itok=JjtjzGFm
  • https://radiomed.ru/sites/default/files/styles/case_slider_image/public/user/12/13.dscn0552.jpg?itok=u7BFqAXx
  • https://radiomed.ru/sites/default/files/styles/case_slider_image/public/user/12/14.dscn0552a.jpg?itok=RPVOkVvG
ID:24787
Наталия Васильевна аватар
Не на сайте
Был на сайте: 5 лет 9 месяцев назад
Зарегистрирован: 25.09.2011 - 09:02
Публикации: 754

Честно говоря, свежей инфильтрации не вижу. Легкие фиброзны, слева передне-базальные синусы облитерированы. 

И.Бондаренко аватар
Не на сайте
Был на сайте: 2 дня 1 час назад
Зарегистрирован: 13.09.2011 - 22:55
Публикации: 9206

Возраст большой. Изменения сосудов в виде варикозных расширений, фиброз. В левом лёгком ,наверное, изменения в виде фиброза за счёт мелких тромбоэмболий. С сердцем проблем нет? 

helenmar аватар
Не на сайте
Был на сайте: 8 лет 5 месяцев назад
Зарегистрирован: 23.03.2008 - 12:27
Публикации: 291

Согласна с фиброзными изменеиями и усиленным с/рисунком, структура корней нечеткая. И видится мне над куполом слева (в прямой проекции на фоне сердечной тени) газовый пузырь. Дала бы глоток бария. 

Делай, что должно, и будь, что будет.