Пол пациента:
Тип патологии:
Область исследования:
Методы исследования:
Уважаемые коллеги, вопрос не совсем для рентгенологов, но вдруг, есть еще рентгенологи, пользующиеся фонендоскопом.
Ниже приводится рентгенограммы трех пациентов с напряженным пневмотораксом, у которых не было заметного ослабления дыхательных шумов на стороне пневмоторакса. Тогда как ненапряженный пневмоторакс и напряженный пневмоторакс (с выраженным колабированием легких), как правило, дает четкое ослабление дыхательных шумов.
Вопрос: кто сам наблюдал подобный аускультативный феномен или был свидетелем? Каков генез подобного феномена?
Сам трубку давно не пользую, но с нашими пульмонологами и токсикологами общаюсь тесно (взаимно). Так вот, в большинстве случаев спонтанного малого пневмоторакса (естественно, ненапряженного, при ширине полоски до 1.5-2 см) рядовой состав Российской Армии имел перед наступлением клиники факт физического напряжения: занятия на турнике, подъем тяжести, кросс, кашель. А присылались на ЦФОГК они все исключительно с прослушиваемым дыханием с обеих сторон по поводу болевого синдрома. Лишь один дотошный пульмонолог-пенсионер (мною любимый), по старой армейской привычке аускультирующий пациентов и стоя, и лежа, и чуть ли не вверх ногами, иногда отмечает ослабление дыхания на стороне пневмоторакса. Регрессируют малые спонтанные пневмотораксы произвольно, без дренирования, на 7-12 сутки.
Verum plus uno esse non potest.
Если не ошибаюсь, на всех представленных рентгенограммах пневмоторакс не тотальный. Хотя бы местный, но контакт легкого с грудной стенкой прослеживается. Надо полагать, отсюда и аускультативные данные, которые феноменом в данном случае назвать сложно...
С уважением,
Слишком малый объем воздуха в плеаральных полостях, поэтому и слышно.
Малые спонтанные пневмотораксы не сопровождаются дыхательной недостаточностью. Есть многократные наблюдения тотального пневмоторакса (ненапряженного) с полным колапсом легкого и отсутствием дыхания, без тахикардии, одышки и жалоб в покое.
В рассматриваемых 3-х случаях речь идет о напряженном пневмотораксе с дыхательной недостаточностью, что совсем не сравнимо с краевыми самостоятельно рассасывающимися пневмотораксами.
При напряженном пневмотораксе везде описывается ослабление и отсутствие дыхание на стороне патологии. Оно, как правило, так и бывает, потому что при напряженном пневмотораксе чаще легкое колабируется более чем на 1/3 и до полного колапса. В обсуждаемых случаях напряженный пневмоторакс нетипичный - краевой. И в этом кроется объяснение аускультативного феномена.
Стоп. Поясните, как пневмотораксы столь малого пристеночного объема могут быть напряженными.
Verum plus uno esse non potest.
Не скажу по данным рентгенограммам, что здесь напряженный пневмоторакс.
Напряженный пневмоторакс характеризуется односторонним пульмо-плевральным поступлением воздуха с нарастающим повышением положительного давления в плевральной полости и соответствующим прогрессирующим коллапсом легкого вплоть до прикорневой зоны. Здесь ни коллапса легких, не большого объема в плевральных полостях нет. Вопрос: на основании чего автор утверждает напряженный характер пневмотораксов. Или это наблюдения уже после пункций?
Verum plus uno esse non potest.
[quote=brainmodel]
Напряженный пневмоторакс характеризуется односторонним пульмо-плевральным поступлением воздуха с нарастающим повышением положительного давления в плевральной полости и соответствующим прогрессирующим коллапсом легкого вплоть до прикорневой зоны. Здесь ни коллапса легких, не большого объема в плевральных полостях нет. Вопрос: на основании чего автор утверждает напряженный характер пневмотораксов. Или это наблюдения уже после пункций?
[quote]
Напряженный (клапанный) пневмоторакс?????
Никак не пойму, в чем "феномен". Легкое прилежит к грудной стенке - слышим дыхание. Не прилежит - не слышим, или резко ослаблено ( в зависимости от толщины слоя воздуха между легким и грудной стенкой). Нормальная физика звука (лучший проводник звука, конечно, фанера, как О.Бендер сказал).
С уважением,
Не вижу признаков напряженного пневмоторакса, тень средостения на месте, межреберные промежутки не расширены, диафрагма не уплощена. Почему решили, что это напряженный пневмоторакс?
Напряженный пневмоторакс по степени напряжения воздуха и скорости его нарастания бывает тоже разный. Если считать напряженным только те пневмотораксы, которые в первые часы травмы явно смещают средостение, то куда отнести выше приведенные (клапанные), которые нарастали постепенно и вызывали дыхательную недостаточность?
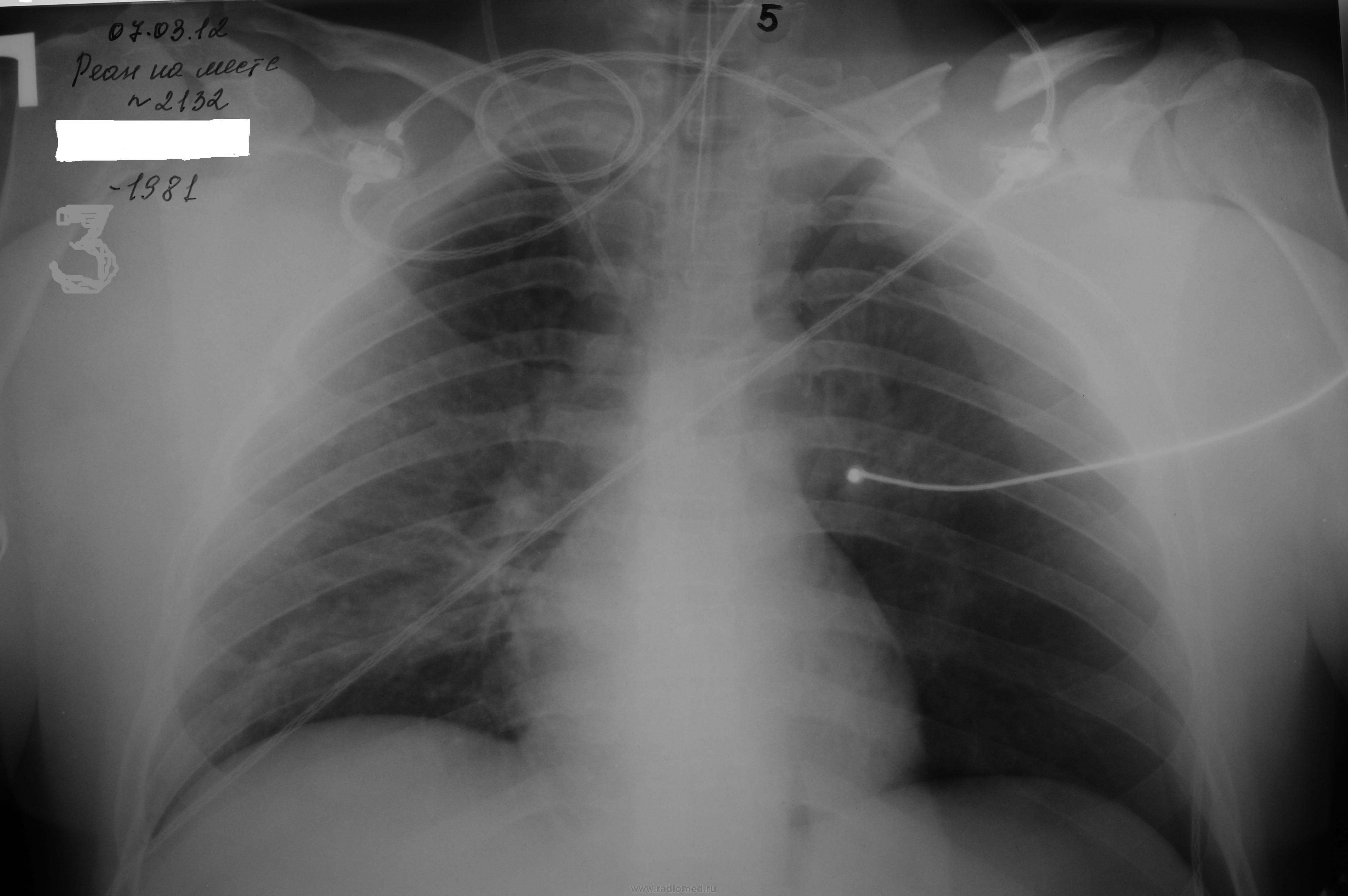
В первом случае дыхание с обеих сторон практически одинаковое (больной в положении на спине на скелетном вытяжении). Сначало было желание не трогать малый краевой пневмоторакс либо ограничиться пункцией. Но больной жаловался на затрудненное дыхание и приступы удушья. И когда не удалось выслушать тоны сердца ни справа, ни слева, сомнений в необходимости дренирования не было. Тоны сердца появились сразу после дренирования.
"Парадокс" в том, что при хорошем проведении дыхательных шумов, не были слышны тоны сердца. Пневмоторакс, который вызывает дыхательную недостаточность и скрывает тоны сердца не может не отразиться на проведении и дыхательных шумов спереди. Только напряженностью воздуха можно попытаться обяснить этот феномен.
Честно скажу, что только после второго случая, когда явная клиника напряженного краевого пневмотракса (тоны сердца были слышны, но только смещены вправо, пульс с появлением пневмоторакса вырос с 80 до 160 уд, высокая кислородо зависимость - и все это купировалось после дренирования) также протекало с симметричной аускультативной картиной - был оценен как напряженный пневмоторакс и первый случай.
КТ первого больного выполнен на третьи сутки после снимка, в день дренирования, но КТ еще не была на руках при решении вопроса о дренировании.
Я не спец в КТ, но сдается мне, что клиника у данного пациента была обусловлена вовсе не пневмотораксом, а изменениями в задне-базальных отделах обоих легких (пневмония?).
Verum plus uno esse non potest.
Действительно, в задне базальных отделах врачи КТ описывают хронический туберкулезный процесс особенно слева, но затрудненное дыхание, приступы удушья прошли после дренирования плевральной полости, и не возобновлялись.
Спасибо, я не клиницист, не знала, что напряженный пневмоторакс ставиться клинически, без рентгенологических симптомов, надо посмотреть литературу.
Видите ли, напряженный пневмоторакс бывает разный. С крайними проявлениями (резкое смещение средостения) с полным коллапсом легкого, что может привести к скорой смерти - такой пневмоторакс надо ставить клинический в любых условиях и срочно дренировать плевральную полость.
Напряженный пневмоторакс, не достигший своих крайних проявлений или прогрессирующий медленно не даст типичной клинической картины (и аускультативно и рентгенологический), как при крайней форме, вместе с тем он остается напряженным и поэтому при тяжелых сочетанных повреждениях весьма опасным. Т.е. требует своевременной диагностики и разрешения.
Складывается впечатление очередного "смешивания" клинических диагнозов и рентгенодиагностических заключений. Рентгенвыводы о наличии клапанного (напряженного) пневмоторакса ставятся на основании четких известных рентгенпризнаков. Лечащий врач может (и должен) их не дожидаться. Все это давно написано и сказано. Непонятно, зачем рентгенологу самому слушать пациента (если он не единственный врач в больнице).
С уважением,
Рентгенолог не обязан слушать пациента, поэтому он этого и не делает, и я не прошу этого.
Хирурги стали реже аускультировать, а реаниматологи не дренируют и единолично не контролируют течение пневмоторакса. Поэтому нередко диагноз пневмоторакса ставиться только рентгенологически, а когда рентгенснимок очень трудно читаем из-за положения лежа - случай висит между неискушенными в аускультации хирургами и неуполномоченными к окончательному решению реаниматологами. Попытка обсудить случаи нетипично (аускультативно и рентгенологически) протекающего напряженного пневмоторакса среди хирургов и реаниматологов не дало результатов, поэтому я обратился к Вам, вдруг кто то аускультирует сам и имеет подобный опыт или читал о подобном.
Это очень мягко сказано.
Честно сказать, ничего рентгенологически и аускультативно нетипичного в представленных случаях не увидел. Повторюсь - где есть контакт легкого с грудной клеткой, там есть звук. А контакт этот в той или иной степени есть на всех представленных рентгенограммах.
Опять же, терминологическая несогласованность. Я думаю, напряженный (рентгенологически) пневмоторакс есть выраженная степень клапанного. Не сразу клапанный ПТ становится напряженным. Отсюда и недоумение рентгенологов в этой ветке.
С уважением,
На мой взгляд, пришло время определиться с терминами.
1. Итак, что понимают под "напряженным пневмотораксом"? По всей видимости, под напряженным пневмотораксом понимается НЕ КЛАПАННЫЙ пневмоторакс?
2. Уважаемый Мурат Максутович!
Что Вы понимаете под термином "дыхательные шумы"? По всей видимости, это понятие собирательное?
Это что, основные дыхательные шумы, или дополнительные дыхательные шумы, или что другое?
По всей видимости, собирательный термин "дыхательных шумов", в случаях пневмотораксов - ослабление, или отсутствие оного феномена зависит не только от величины коллабированния лёгкого и наличия свободного газа в плевральной полости, а также от наличия того, или иного количества "жидкости" в плевральной полости, состояния самой грудной стенки (в случаях травмы), дыхательных мышц и прочих очень многих факторов.
Клинические данные з пневмоторакс - это тимпанит и ослабление голосового дрожания..
Данные аускультации менее значимы.
Напряженный пневмоторакс это осложнение клапанного.
Представленные наблюдения напряженным пневмотораксом не являются
Я имел ввиду прежде всего основные дыхательные шумы. И сравнительную аускультацию.
На основе практического опыта (8 лет систематической курации больных с травмой грудной клетки) аускультации при пневмотораксе я больше доверяю, чем перкуссии и голосовому дрожанию - в литературе, также на первом месте аускультация. Возможно в отдельных руках перкуссия и пальпация более информативны.
Наличие клапана, т.е. одностороннее поступление воздуха в плевральную полость, предполагает постепенное нарастание давления воздуха в плевральной полости. Если, к примеру, за напряженный пневмоторакс (с тимпанитом, смещением средостения и т.д.) принять напряжение воздуха в плевр полости - 2 атмосферы, а давление воздуха при ненапряженном пневмотораксе за 1 атмосферу, то к какому виду пневмоторакса Вы отнесете давление воздуха в 1,5 атмосферы?
Ну да, 10 орехов - куча, 2 ореха - не куча... Что считать кучей?
Надо полагать, когда будут объективные данные (а не субъективные впечатления) за напряженный ПТ, то это будет "куча". Пока их нет - предполагаем клапанный механизм ПТ. Ну, а какие объективные данные: давление в грудной полости, или рентгенпризнаки напряженного ПТ - дело лечащего врача, он отвечает за процесс. А уж дело рентгенолога - описать рентгенкартину (с определнными выводами), и отмахаться от не своей ответственности.
С уважением,
Ваш скепсис вполне оправдан. Все мы выросли на книгах, где напряженный пневмоторакс (НП) представлен только с выраженным калапсом легкого и смещением средостения. Пересмотреть это устоявшееся стеретипное восприятие НП без конкретных примеров, невозможно. А примеры есть, я приводил снимки НП с поджатием легкого на 1/4 и смещением средостения http://www.radiomed.ru/cases/sochetannaya-travma-grudi#comments , что не соотвествует устоявшемуся стереотипу.
Если НП возможен с поджатием легкого на 1/4, то почему он (НП) невозможен с поджатием на 1/5?
Потому что при поджатии легкого на 1/4 уже есть смещение средостения (исходя из Вашего примера), и это объективно говорит о напряженности ПТ. Если при поджатии легкого на 1/5 будет смещение - ход мысли тот же. Не будет - не о чем говорить (рентгенологу).
С уважением,
Верно (рентгенологу), но не лечащему врачу. Потому что при спонтанном пневмотораксе на 1/5 мы даже пункцию не делаем и ведем амбулаторно, а при током же по объему пневмотораксе (2-й снимок с переломом ключицы) из-за резкой кислородной зависимости и тахикардии вынуждены дренировать плевральную полость. И дыхательная недостаточность, и тахикардия купированы после дренирования.
Посмотрите внимательно на снимок, тень сердца смещена вправо, при этом корни с обеих сторон видны одинаково, ширина обеих гемитораксов одинаково на всех уровнях, стернальные концы ключицы симметричные, т.е. смещение истинное, не связано с ассиметрией укладки. И аускультативно тоны сердца были смещены в право.
Вы о каком снимке говорите уважаемый Мурат Максутович?
Случайно не о первом, самом левом?
О правом снимке, где перелом левой ключицы с диастазом и больная на ИВЛ.
А, двойной контур смутил?
Валентин Львович, мне важно Ваше мнение по поводу правого снимка, подтверждаете смещение средостения или нет, если нет, то почему.
Что касается левого - первого снимка, в 11 посту есть его КТ, где наверное можно найти объяснение двойному контуру.
А, правый снимок, с учетом положения лёжа и одной проекции, лично я бы ограничился описанием скиалогической картины и не более.
Хотя даже в нашей маленькой больничке, у "лежачих" пациентов, тогда, когда можно, конечно когда не "почти труп", мы изощряемся делать "прямые снимки" приближенные к условиям латерографии, что позволяет в ряде случаев получить истинную скиалогию, особенно при пневмотораксах и гидротораксах.
Уважаемый Валентин Львович, скиалогически есть на правом снимке смещение средостения или нет? Если по Вашему нет, то как объяснить одинаковое выхождение тени сердца по обе стороны позвоночного столба и соотвественно смещение тонов сердца вправо?
1. Первый снимок интересен именно тем, что это ПРЕИМУЩЕСТВЕННО передний пневмоторакс, вот Вам и "дела сердечные" - слышу- не слышу (тут и смещение средостения слева-направо и спереди-назад!, тут и симптом "кулис" (указанный Валенином Львовичем, тут, естественно))) и данные КТ.
2. Во втором случае, кроме ключицы, там еще и ребра "полетели".
2. А вот в третьем смещение средостения ПРОБЛЕМАТИЧНО, а вот укладка - явно "кривая", поворот слева - направо, так что это не то....
Болезни ног: виды, симптомы, причины, профилактика и лечение
Не буду умничать, но на первом снимке укладка тоже кривая - судя по ключицам и остистым.
С уважением,
Это - ДА, посему при выполнении снимов лежа и ТАКИМ больным к смещению средостения надо подходить весьма и весьма придирчиво. Естественно - оно будет, но столь ли значимым, как иногда кажется...
Болезни ног: виды, симптомы, причины, профилактика и лечение
"Смещение средостения" - это конечно определенный синдром в диагностика заболеваний лёгких, но синдром не первостепенный и даже не второстепенный...
Рентгенологи чаще всего анализируют "прямую рентгенограмму" в ортоположении, и "скиалогический штамп" тени средостения в ортоположении резко отличается от изображения в положении лёжа. Также считаю необхоимым отметить, что в положении лежа, по сравнению в ортопроекцией, тень сердца несколько ротируется.
На мой взгляд, вы уделяете чрезмерное внимание положению тени средостения на рентгенограммах, выполненных в положении лёжа в условиях АРО, да еще и на "кровати", когда к пациенту подключена всевозможная реанимационная "сбруя". В таких условиях классическая "прямая рентгенограмма" без искажения вряд ли получится....
На мой взгляд нельзя положение средостения ставить во главу угла, и по этому положению делать выводы, так как "травматогенный фактор" не имеет избирательно локального приложения, к примеру слева может быть пневмоторакс, а справа - просто "выпот", и это нередкость, и анализировать сместиласть ли (несколько) тень средостения среди всей этой "каши" занятие довольно неблагодарное, да и не нужное. Кроме всего прочего, тень средостения может быть смещена быть и до времени "Х" - ранее перенесенные воспалительные заболевания и прочий "мармелад", раньше, возможно фактор сместивший средостение имел место быть. Я не буду касаться тех случаев. когда может иметь место быть и вариант (аномалия) развития, как лёгких, так и крупных сосудов (да банальная декстрокарлия). Вы же не имеете предыдущих снимков пациента, чтобы убедиться, что ранее этого не было, да и нет у Вас времени самому анализировать то, да это среди "той каши"...
Я не буду касаться тех случаев. когда "кажущее смещение средостения" может быть обусловлено патологией сердца и крупных сосудов, патологией внутригрудных лимфатических узлов, патологией, гнездящейся в самом средостении, не исключается пищевод и прибамбасы заднего средостения.
Конечно смещение средостения - это довольно важный синдром в рентгенодиагностике, но это синдром косвенный, и стоит он ровно столько, сколько стоит, и ни "копейкой" больше...
Конечно, можно было бы много еще добавить, но зачем?
Я не думаю, что стоит проводить параллельный анализ аускультативной картины и скиалогической картины, полученной на прямой рентгенограмме в положении лёжа при пневмотораксах и гидротораксах..., я также считаю совершенно не нужной и просто вредной вещью делать из этой "параллели" еще и определенные выводы.
Если не анализировать данные аускультации в купе с рентгенкартиной в сложных диагностических случаях, как по другому можно прийти к верному заключению?
Виктор Григорьевич, во втором случае (перелом ключицы, диастаз) смещение явное? Если нет, то какие признаки говорят об асимметричной укладке?
Как раз второй случай - это наиболее близкий к стандарту, тут о смещении говорить вполне уместно, а сам перелом ключицы на укладку не повлиял, так как нас интересует положение грудного конца ключицы, а он никуда не смещен.Потому его я и не касался по большому счету))))
Болезни ног: виды, симптомы, причины, профилактика и лечение
Виктор Григорьевич, Ваш комментарий поддерживает мое утверждение, что "напряженный пневмоторакс может быть краевым" и поэтому может сопровождаться нетипичными аускультативными данными, и может оставаться незамеченным на рентгене.
Это утверждение противоречит давно сложившимся по учебникам, руководствам и энциклопедиям - представлениям о напряженном пневмотораксе. Такие краевые нетипичные напряженные пневмотораксы встречаются редко, но они бывают и об этом важно знать.
Мурат Максутович, получается, что рентгенлогически напряженный и ненапряженный пневмотораксы могут одинаково проявляться лишь пристеночным скоплением воздуха, ну и может небольшим смещением средостения. Тогда какие клинически важные признаки указывают на напряженность: отсутствие аускультации, одышка, коллапс, тахикардия? Получается, рентгенологический критерий "напряженности" не в счет, т.к. недостоверен. То, что Вы описываете - это феномен, и еще какой, если он имеет место быть не только в Вашем наблюдении, но и подтвердится еще парой-тройкой специалистов ( а еще лучше сторонними источниками). Это тема, для многих сомнительная, но важная в практике, поэтому должна быть озвучена в печати. Есть ли на Вашей памяти разборы полетов по данной теме в печати. Мне как то всю эту полемику наблюдать странно, мешают (опять же) стереотипы.
Verum plus uno esse non potest.
Интересно.
Виктор Григорьевич!
А Вы пользуетесь в своей повседневной практике таким термином, как "напряженный краевой пневмоторакс"?
Может и с певмотораксом таким сталкивались?
Обращаюсь без ёрничества, просто знаю Ваш громадный практический опыт..., чуть ли не написал, что Вы на этом деле "собаку съели", но воздержался, так как знаю, что к братьям нашим меньшим относитесь Вы с большим уважением и любовью, а они соответственно и к Вам с большим уважением...
+1
И, по всей видимости не только стереотипы....
Рентгенологические критерии напряженности есть - свободный воздух различного объема по рентгену, поджатие легких различной степени, смещение средостения различной степени, уплощение и снижение купола диафрагмы, расширение межреберных промежутков - они достоверны и их никто не оспаривает.
Клиническими критериями являются - дыхательная недостаточность, ослабление дыхания и тимпанит, изменения со стороны сердечно-сосудистой системы.
Статья по поводу приведенных пневмотораксов готовиться к печати. Все новое, когда то впервые публиковалось, и естественно все новое будет встречено в штыки. Поэтому, чтобы статья была более аргументирована, основной момент я вынес на обсуждение. В статье будут показаны рентгенограммы с краевым пневмотораксом на 1/4, которые наблюдались до разрешения амбулаторно и даже не пунктировались, рентгенограмма с полным колабированием легкого и отсутсвием жалоб в покое при ненапряженном пневмотораксе, рентгенограмма с классическим напряженным пневмотораксом с полным колапсом легкого и смещением средостения, и обсуждаемые на этой ветке рентгенограммы.
Валентин Львович прав, предупреждая о возможности смещения средостения до травмы, поэтому позже я приведу снимки (они в архиве) этой больной за несколько часов до развития пневмоторакса и через 3 суток после дренирования.
Вам трудно смириться с мыслью, что между крайними проявлениями напряженного пневмоторакса (полный калапс легкого и выраженное смещение средостения) и ненапряженными пневмотораксами есть с разной скоростью нарастающие и имеющие разную степень давления - другие пневмотораксы. Как назвать приведенный краевой пневмоторакс с клапаном не дающим полностью колабироваться легкому, с давлением, вызывающим незначительное смещение - но тем неменее поддерживающим выраженную кислородную зависимость (гипоксию), которая после дренирования сразу купируется в отличии от такого же краевого ненапряженного пневмоторакса, который не предъявляет жалоб и наблюдается амбулаторно? Полунапряженным, некрайне напряженным, частично напряженным? Если он угрожает жизни, его наверно лучше назвать напряженным.
Этого никто не отрицает. И название им - клапанные ПТ.
С уважением,
1.В повседневной практике таким понятием не пользуюсь. Да и вообще - НАПРЯЖЕННЫЙ применял в описании раза три за 29 лет практики...и то - достаточно давно, в бытность постоянного сотрудническтва с торакальщиками из ОКБ, и, естественно, не по отношению к ТАКИМ пристеночным...
2.С ТАКИМ пневмотораксом не сталкивался. Никогда не видел, чтобы пристеночные пневмотораксы наростали (с момента первого исследования), как правило - постепенное расправление, иногда - с задержкой (т.е. - какое то время без динамики)
3. Вся эта дисскусия вызвала определенный интерес, в том числе и по отношению к "братьям нашим меньшим", у нас набралось достаточно материала для обзора по пневмотораксам у собак и кошек)))
Болезни ног: виды, симптомы, причины, профилактика и лечение
Сказанные слова, Вами Уважаемый Виктор Григорьевич, не золото - это полновесные АЛМАЗЫ!
В последнее время, при описании скиалогической картину стараюсь держаться в рамочках корректности.
Мы частенько указываем о смещении средостения туды-сюды. или о расширении его то то вправо, то влево..., конечно это нужно...
А многие ли из нас. проанализировав смещение средостения по прямой рентгенограмме удосужились проанализировать смещение этого "бедного средостения" кпереди. или кзади? А?
А среди "каши", выставляемой нашим уважаемым коллегой?
А МОЖЕТ БЫТЬ ВАЖНО ТОЛЬКО СМЕЩЕНИЕ СРЕДОСТЕНИЯ ВПРАВО, ИЛИ ВЛЕВО?
А КЗАДИ И КПЕРЕДИ - НЕ ВАЖНО?
Я так думаю. думаю, как простой врач, что неразбериха с "аускультацией", которую Вы наблюдаете уважаемый коллега, связывая её со скиалогией на прямой рентгенограмме, зависит именно от того, что "ТО" средостение сместилось не только вправо, или влево, но, или кпереди, или кзади, что на прямой рентгенограмме отобразиться не может.
И, как Вам такая версия уважаемый Мурат Максутович?
Уважаемый Валентин Львович,
"тоны сердца слышны лучше не в типичном месте под соском слева от грудины, а в центре грудины" - логическии, это в первую очередь, говорит о смещении сердца в право. Как связать подобный аускультативный феномен со смещением сердца назад (что скорее всего было в разбираемом случае)?