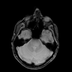
Спасибо за интересное наблюдение. Думаю, что это псевдотуморозная форма демиелинизирующего процесса, учитывая анамнез ( 4 месяца глазодвигательные нарушения), МР-томограммы, где в нижних отделах моста определяется округлой формы патологическая зона повышенного на Т2ВИ сигнала и пониженного на Т1ВИ. Ствол мозга при этом не деформирован, на постконтрастных МР-томограммах фактически нет накопления контраста. Конечно, может это и фибриллярная АСЦ ствола и другие заболевания, но я склоняюсь к этому диагнозу. Суважением Visus 07.
Если это демиелинизирующий процесс, как можно объяснить выход образования за передний контур среднего мозга? К тому же, ствол мозга пусть немного, но деформирован.
Выход образования за передний контур среднего мозга объясняется, вероятнее всего, экзофитным компонентом , который даже частично захватывает основную артерию, поэтому из своего диф.ряда на первое место теперь могу поставить опухолевое поражение. Надеюсь на Ваш ответ по данному случаю. С уважением Visus 07.
К сожалению, получить верификацию смогу, только если пациент придет на обследование повторно после лечения. На данный момент я считаю, что это опухоль глиального ряда.
Да, проанализировав МР-томограммы, эндофитно-экзофитный рост данного образования, подробные и четкие дополнительные комментарии, согласна с Вашим диагнозом. Спасибо, случай интересный и познавательный, с удовольствием читаю Ваши клинические наблюдения, с уважением, Visus 07.
Спасибо за интересное наблюдение. Думаю, что это псевдотуморозная форма демиелинизирующего процесса, учитывая анамнез ( 4 месяца глазодвигательные нарушения), МР-томограммы, где в нижних отделах моста определяется округлой формы патологическая зона повышенного на Т2ВИ сигнала и пониженного на Т1ВИ. Ствол мозга при этом не деформирован, на постконтрастных МР-томограммах фактически нет накопления контраста. Конечно, может это и фибриллярная АСЦ ствола и другие заболевания, но я склоняюсь к этому диагнозу. Суважением Visus 07.
visus 07, спасибо за комментарий!
Если это демиелинизирующий процесс, как можно объяснить выход образования за передний контур среднего мозга? К тому же, ствол мозга пусть немного, но деформирован.
Добрый админ
Да, вы правы, надо было повнимательней мне посмотреть.... А МР-ангиографию делали?
Да, делали. Я не выложил, т.к. ничего особенного не увидел.
Исправляюсь:
Добрый админ
Выход образования за передний контур среднего мозга объясняется, вероятнее всего, экзофитным компонентом , который даже частично захватывает основную артерию, поэтому из своего диф.ряда на первое место теперь могу поставить опухолевое поражение. Надеюсь на Ваш ответ по данному случаю. С уважением Visus 07.
К сожалению, получить верификацию смогу, только если пациент придет на обследование повторно после лечения. На данный момент я считаю, что это опухоль глиального ряда.
Добрый админ
Да, проанализировав МР-томограммы, эндофитно-экзофитный рост данного образования, подробные и четкие дополнительные комментарии, согласна с Вашим диагнозом. Спасибо, случай интересный и познавательный, с удовольствием читаю Ваши клинические наблюдения, с уважением, Visus 07.