ОГК. Прошу высказать Ваше мнение о возможной патологии

Пол пациента: 
Методы исследования: 

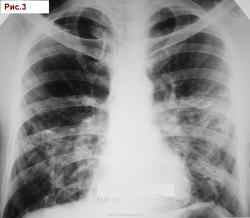
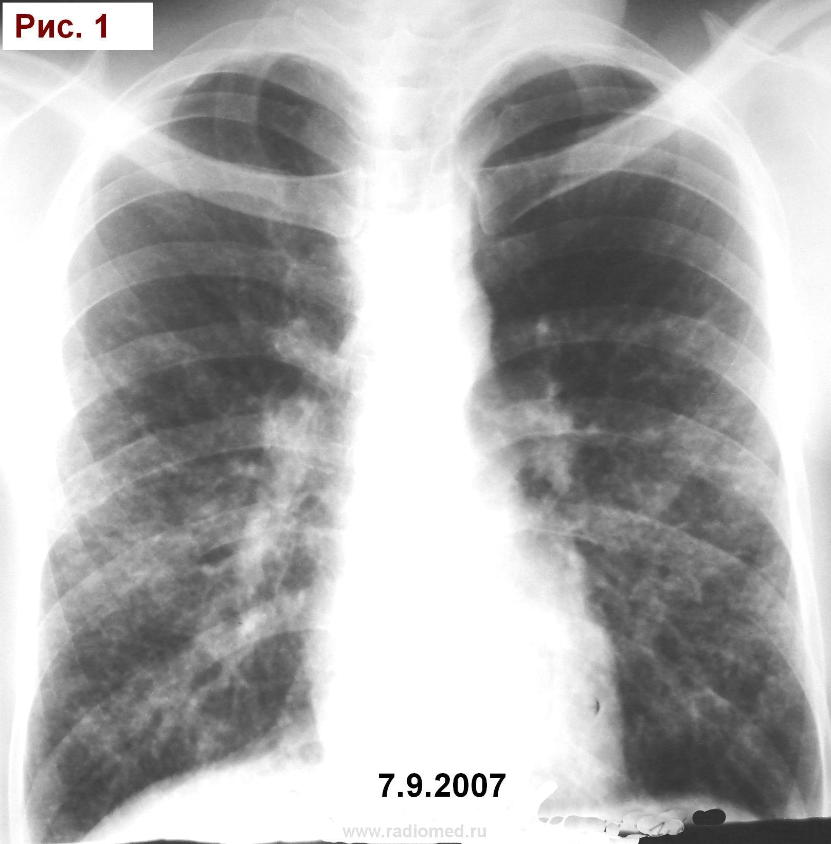
Муж.1974 г. р. Изменения впервые выявлены при проверочной флюорографии 2007 (Рис.1). Выполнена  КТ  легких (См фрагмент. Рис.2). Исчез. Продолжал работать. Не лечился. Пришел на обследование в 11.2011г. с жалобами на покашливание. Температура, кровь: норма. (Рис.3).  О какой патологии  легких можно думать? Я предположил саркоидоз. Специалистов по КТ очень прошу разъяснить рисунок 2. С уважением Nik.

  • https://radiomed.ru/sites/default/files/styles/case_slider_image/public/user/7898/risunok.2.jpg?itok=IdYyY2gB
  • https://radiomed.ru/sites/default/files/styles/case_slider_image/public/user/7898/risunok_3_2.jpg?itok=OrzqWxcK
ID:17432
Катенёв Валентин Львович аватар
Не на сайте
Был на сайте: 7 лет 2 недели назад
Зарегистрирован: 22.03.2008 - 22:15
Публикации: 54876

Где работает пациент?

Almo аватар
Не на сайте
Был на сайте: 13 часов 36 минут назад
Зарегистрирован: 28.09.2008 - 18:50
Публикации: 8259

 Больше данных за саркоидоз. Кем работает?

stovbav аватар
Не на сайте
Был на сайте: 2 года 2 месяцев назад
Зарегистрирован: 20.12.2009 - 17:28
Публикации: 7066

Медиастинально-легочная форма саркоидоза.

Катенёв Валентин Львович аватар
Не на сайте
Был на сайте: 7 лет 2 недели назад
Зарегистрирован: 22.03.2008 - 22:15
Публикации: 54876

Вопрос профессии, на мой взгляд краеугольный, так как на 1 место в ряду в "одной весовой категории" выходят - пневмокониоз и саркоидоз. Конечно, уважаемый Nikolas, на очень структурном снимке ОГК, произведенном на микрофокусе, или на очень качественной томограмме, можно различить, ту, диагностически благодатную "сеточку", которая бывает даже в "предстадии" силикоза (пневмокониоза). А, следовательно, где и кем работает, вопрос остается.

Конечно, по первому снимку и по КТ "Его Величество" полностью не отметается, так сказать, ожидает в "диагностической заначке"...

Nikolas аватар
Не на сайте
Был на сайте: 1 месяц 3 недели назад
Зарегистрирован: 21.12.2010 - 20:37
Публикации: 4559

Инженер программист. Много работает. Лечиться "ему некогда". Направлен был на дообследование. У врача не появляется. Информация получена сегодня  от врача поликлиники. О наличии результатов исседования обязательно сообщу. Жду квалифицированое заключение врачей КТ -шников. Ау-уууу! Где Вы, друзья специалисты по КТ? С уважением Nikolas

ЛГ аватар
Не на сайте
Был на сайте: 8 лет 10 месяцев назад
Зарегистрирован: 06.01.2010 - 12:31
Публикации: 3523

По имеющимся картинкам предположила бы саркоидоз, но помимо ретикулярного и узелкового паттерна по фото КТ-плёнки, могут быть и другие изменения на оригинале (dicom-файлы). Диф.ряд тут: 

http://www.radiomed.ru/publications/luchevaya-diagnostika-diffuznykh-interstitsialnykh-zabolevanii-legkikh-dizl-obshchie--0

И.Бондаренко аватар
Не на сайте
Был на сайте: 8 часов 43 минуты назад
Зарегистрирован: 13.09.2011 - 22:55
Публикации: 9206

Интерстициальные заболевания легких. Был случай у 20 летнего парня, начинался с таких же изменений в легких, закончился ЛГМ. Правда через три года в легких были округлые очаги.

Nikolas аватар
Не на сайте
Был на сайте: 1 месяц 3 недели назад
Зарегистрирован: 21.12.2010 - 20:37
Публикации: 4559

Пациент обследован. Диагноз  саркоидоз органов дыхания  подтвержден. Спасибо. С уважением к Вам Nikolas

Almo аватар
Не на сайте
Был на сайте: 13 часов 36 минут назад
Зарегистрирован: 28.09.2008 - 18:50
Публикации: 8259

Cпасибо, коллега Nikolas, что как всегда, свои презентации доводите до логического конца- подтверждения диагноза!