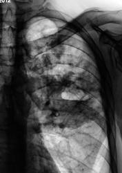
Снимок "по ургенту", дан на описание.

Пол пациента: 
Тип патологии: 
Методы исследования: 

Снимок "по ургенту", дан на описание.

  • https://radiomed.ru/sites/default/files/styles/case_slider_image/public/user/12/2.p2070015.jpg?itok=QHVo170D
  • https://radiomed.ru/sites/default/files/styles/case_slider_image/public/user/12/3.p2070017.jpg?itok=v74GmMKG
  • https://radiomed.ru/sites/default/files/styles/case_slider_image/public/user/12/4.p2070017a.jpg?itok=1eudbSl_
ID:18676
swyty аватар
Не на сайте
Был на сайте: 8 месяцев 1 неделя назад
Зарегистрирован: 10.04.2011 - 11:06
Публикации: 276

Кавернозный туберкулез с распадом?

Гриша Хата аватар
Не на сайте
Был на сайте: 10 лет 1 неделя назад
Зарегистрирован: 09.02.2011 - 20:40
Публикации: 665

Абсцедирующая пневмония верхней доли слева.

Катенёв Валентин Львович аватар
Не на сайте
Был на сайте: 7 лет 2 недели назад
Зарегистрирован: 22.03.2008 - 22:15
Публикации: 54876

swyty wrote:

Кавернозный туберкулез с распадом?

Такая кавернища?

Bob аватар
Bob
Не на сайте
Был на сайте: 11 лет 11 месяцев назад
Зарегистрирован: 20.08.2011 - 20:06
Публикации: 218

деструктивная пневмония

И.Бондаренко аватар
Не на сайте
Был на сайте: 2 дня 39 минут назад
Зарегистрирован: 13.09.2011 - 22:55
Публикации: 9206

Вначале ТБЦ. Если палочек не найдут, то пневмония.

Катенёв Валентин Львович аватар
Не на сайте
Был на сайте: 7 лет 2 недели назад
Зарегистрирован: 22.03.2008 - 22:15
Публикации: 54876

И.Бондаренко wrote:

Вначале ТБЦ. Если палочек не найдут, то пневмония.

Палочек не нашли.

Bob аватар
Bob
Не на сайте
Был на сайте: 11 лет 11 месяцев назад
Зарегистрирован: 20.08.2011 - 20:06
Публикации: 218

Катенёв Валентин Львович wrote:

И.Бондаренко wrote:

Вначале ТБЦ. Если палочек не найдут, то пневмония.

Палочек не нашли.

Это каких палочек?)))

Катенёв Валентин Львович аватар
Не на сайте
Был на сайте: 7 лет 2 недели назад
Зарегистрирован: 22.03.2008 - 22:15
Публикации: 54876

Bob wrote:

Это каких палочек?)))

Надо думать интересовались МБТ.

Bob аватар
Bob
Не на сайте
Был на сайте: 11 лет 11 месяцев назад
Зарегистрирован: 20.08.2011 - 20:06
Публикации: 218

Катенёв Валентин Львович wrote:

Bob wrote:

Это каких палочек?)))

Надо думать интересовались МБТ.

Меня интереуют палочки Фринлендера.

Петрович аватар
Не на сайте
Был на сайте: 7 лет 2 месяцев назад
Зарегистрирован: 22.03.2009 - 01:13
Публикации: 3908

Клиника абсцессу соответствует?

Неоднозначно всё

Катенёв Валентин Львович аватар
Не на сайте
Был на сайте: 7 лет 2 недели назад
Зарегистрирован: 22.03.2008 - 22:15
Публикации: 54876

Петрович wrote:

Клиника абсцессу соответствует?

Есть такая клиника...

Евгений1313 аватар
Не на сайте
Был на сайте: 13 лет 1 неделя назад
Зарегистрирован: 15.10.2010 - 19:13
Публикации: 808

Если клиника абсцесса есть -что ещё...

Катенёв Валентин Львович аватар
Не на сайте
Был на сайте: 7 лет 2 недели назад
Зарегистрирован: 22.03.2008 - 22:15
Публикации: 54876

Да, вроде классика - температура выше 39, мокрота с "зеленцом" валит, но пока не воняет, похужело последнюю неделю, похужело и сильно.

Nikolas аватар
Не на сайте
Был на сайте: 1 месяц 3 недели назад
Зарегистрирован: 21.12.2010 - 20:37
Публикации: 4559

было бы интересно посмотреть  и уточнить локализацию процесса. Картина соответствует  инфильтративному туберкулезу с нарушением дренажной функции бронха. Поэтому МБТ пока не обнаруживаются.

Катенёв Валентин Львович аватар
Не на сайте
Был на сайте: 7 лет 2 недели назад
Зарегистрирован: 22.03.2008 - 22:15
Публикации: 54876

Nikolas wrote:

Картина соответствует  инфильтративному туберкулезу с нарушением дренажной функции бронха. Поэтому МБТ пока не обнаруживаются.

Приложения: 
21.p2070012.jpg22.p2070013.jpg23.p2070014.jpg
Dr.Akulla аватар
Не на сайте
Был на сайте: 11 лет 10 месяцев назад
Зарегистрирован: 28.05.2011 - 20:06
Публикации: 218

Предъявлен снимок на описание. Действие первое: заказать боковую проекцию... Действие второе: контроль в тех же 2-х проекциях после проведения лечения клинически и рентгенологически явной абсцедирующей пневмонии. Имеем неясность с трактовкой картины, назначаем линейную томографию, действие третье.

Bob аватар
Bob
Не на сайте
Был на сайте: 11 лет 11 месяцев назад
Зарегистрирован: 20.08.2011 - 20:06
Публикации: 218

Nikolas wrote:

было бы интересно посмотреть  и уточнить локализацию процесса. Картина соответствует  инфильтративному туберкулезу с нарушением дренажной функции бронха. Поэтому МБТ пока не обнаруживаются.

Картина соответствует деструктивной пневмонии.

Поэтому КУМ и не обнаруживаются.

Катенёв Валентин Львович аватар
Не на сайте
Был на сайте: 7 лет 2 недели назад
Зарегистрирован: 22.03.2008 - 22:15
Публикации: 54876

Dr.Akulla wrote:

Предъявлен снимок на описание. Действие первое: заказать боковую проекцию... Действие второе: контроль в тех же 2-х проекциях после проведения лечения клинически и рентгенологически явной абсцедирующей пневмонии. Имеем неясность с трактовкой картины, назначаем линейную томографию, действие третье.

Да, Вы полностью правы. Но, я пока повременю с комментом и пояснениями. Возможно, будут другие мнения.

Nikolas аватар
Не на сайте
Был на сайте: 1 месяц 3 недели назад
Зарегистрирован: 21.12.2010 - 20:37
Публикации: 4559

Фридлендера знаю.

Bob аватар
Bob
Не на сайте
Был на сайте: 11 лет 11 месяцев назад
Зарегистрирован: 20.08.2011 - 20:06
Публикации: 218

Nikolas wrote:

Фридлендера знаю.

Lalapsus linguae.

Или скорее указательного пальцаfrown  ))

Петрович аватар
Не на сайте
Был на сайте: 7 лет 2 месяцев назад
Зарегистрирован: 22.03.2009 - 01:13
Публикации: 3908

А бронх-то верхнедолевой слева сужен и как будто конусовидно. Очень может быть первопричина ТАМ.

Неоднозначно всё

Петрович аватар
Не на сайте
Был на сайте: 7 лет 2 месяцев назад
Зарегистрирован: 22.03.2009 - 01:13
Публикации: 3908

Если полость не дренируется (не сообщается с атмосферой) газ в ней маловероятен.

Неоднозначно всё

Катенёв Валентин Львович аватар
Не на сайте
Был на сайте: 7 лет 2 недели назад
Зарегистрирован: 22.03.2008 - 22:15
Публикации: 54876

Через неделю после лечения (хирургическое отделение).

 

Приложения: 
11.p2090001.jpg12.p2090001a.jpg13.p2090002.jpg14.p2090002a.jpg15.p2090003.jpg16.p2090003a.jpg17.p2090005.jpg18.p2090005a.jpg
Катенёв Валентин Львович аватар
Не на сайте
Был на сайте: 7 лет 2 недели назад
Зарегистрирован: 22.03.2008 - 22:15
Публикации: 54876

Сегодня сделали очередной контроль...

Приложения: 
1.p2200040.jpg2.p2200041.jpg3.p2200041a.jpg4.p2200042.jpg5.p2200042a.jpg6.p2200044.jpg7.p2200044a.jpg
Катенёв Валентин Львович аватар
Не на сайте
Был на сайте: 7 лет 2 недели назад
Зарегистрирован: 22.03.2008 - 22:15
Публикации: 54876

Продолжение.

Приложения: 
8.p2200045.jpg9.p2200045a.jpg10.p2200046.jpg11.p2200046a.jpg
Петрович аватар
Не на сайте
Был на сайте: 7 лет 2 месяцев назад
Зарегистрирован: 22.03.2009 - 01:13
Публикации: 3908

 

Не припомню такой динамики при стац. лечении пневмонии…, не пневмония это. Надо бронхи смотреть. А клиника что же говорит?

Неоднозначно всё

Катенёв Валентин Львович аватар
Не на сайте
Был на сайте: 7 лет 2 недели назад
Зарегистрирован: 22.03.2008 - 22:15
Публикации: 54876

Петрович wrote:

Не припомню такой динамики при стац. лечении пневмонии…, не пневмония это. Надо бронхи смотреть. А клиника что же говорит?

не пневмония, а может и не абсцесс?

Пациент чувствует себя относительно не плохо.

Петрович аватар
Не на сайте
Был на сайте: 7 лет 2 месяцев назад
Зарегистрирован: 22.03.2009 - 01:13
Публикации: 3908

Нет ли томограмм бронхиального дерева?

Неоднозначно всё

Катенёв Валентин Львович аватар
Не на сайте
Был на сайте: 7 лет 2 недели назад
Зарегистрирован: 22.03.2008 - 22:15
Публикации: 54876

Выставил все, что делали.

swyty аватар
Не на сайте
Был на сайте: 8 месяцев 1 неделя назад
Зарегистрирован: 10.04.2011 - 11:06
Публикации: 276

А мне одной чудятся очаги на ПРАВОЙ верхушке?

 

 

Петрович аватар
Не на сайте
Был на сайте: 7 лет 2 месяцев назад
Зарегистрирован: 22.03.2009 - 01:13
Публикации: 3908

Очаги были с самого начала. Сейчас их больше.

Неоднозначно всё

Катенёв Валентин Львович аватар
Не на сайте
Был на сайте: 7 лет 2 недели назад
Зарегистрирован: 22.03.2008 - 22:15
Публикации: 54876

Петрович wrote:

Очаги были с самого начала. Сейчас их больше.

Вы правы уважаемый Петрович!

Петрович аватар
Не на сайте
Был на сайте: 7 лет 2 месяцев назад
Зарегистрирован: 22.03.2009 - 01:13
Публикации: 3908

Валентин Львович, Вы клоните в сторону туберкулёза? Можно рассмотреть вариант сочетания его и пневмонии. Сначала мог быть туберкулёз, затем присоединилась пневмония…, однако, как мне известно: палочка Коха препятствует развитию других палочек. Но всё может быть в реальной жизни.

Неоднозначно всё

Катенёв Валентин Львович аватар
Не на сайте
Был на сайте: 7 лет 2 недели назад
Зарегистрирован: 22.03.2008 - 22:15
Публикации: 54876

Меня сразу смутила "очаговость" на других участках, вне фокуса, смутило и нарастание количества очагов. Пациент в хирургии, а "хирурги", порой весьма самонадеятельны, тем более, что жалоб особых нет, да и мокрота (со слов пациента) уже не откашливается.

В последнем протоколе, кроме консультации фтизиатра и стандарта обследования (что связано с фтизиатром), весьма настойчиво рекомендовал консультацию торакальщика ОКБ, который почти всегда приезжает с готовностью произвести бронхоскопию, вот на него родного вся и надежда.

Катенёв Валентин Львович аватар
Не на сайте
Был на сайте: 7 лет 2 недели назад
Зарегистрирован: 22.03.2008 - 22:15
Публикации: 54876

Петрович wrote:

Валентин Львович, Вы клоните в сторону туберкулёза? Можно рассмотреть вариант сочетания его и пневмонии. Сначала мог быть туберкулёз, затем присоединилась пневмония…, однако, как мне известно: палочка Коха препятствует развитию других палочек. Но всё может быть в реальной жизни.

Вы правы уважаемый Петрович!

До тут оказался туберкулёз.

Петрович аватар
Не на сайте
Был на сайте: 7 лет 2 месяцев назад
Зарегистрирован: 22.03.2009 - 01:13
Публикации: 3908

Валентин Львович, чем-то кроме представленных снимков диагноз подтверждён?

Неоднозначно всё

Катенёв Валентин Львович аватар
Не на сайте
Был на сайте: 7 лет 2 недели назад
Зарегистрирован: 22.03.2008 - 22:15
Публикации: 54876

Всем подтвержден. Пробами подтвержден, микроскопией. Оказывается еще была пункция. Информация получена от фтизиатра. Пациент в областной туббольнице.

 

Скиалогическая динамика сделана посредством КТ в диспансере.

Nikolas аватар
Не на сайте
Был на сайте: 1 месяц 3 недели назад
Зарегистрирован: 21.12.2010 - 20:37
Публикации: 4559

что он получает противотуберкулезную химиотерапию.В случае прорыва содержимого в бронхи, очаги обсеменения даже не получат своего отображения на рентгенограмме. МБТ будут уничтожены противотуберкулёзными препаратами в том месте, куда они  случайно попадут. Такой хороший сход возможен при условии, что МБТ не будут устойчивы  к препаратам. Желаю выздоровления больному и жду результатов лечения. С уважением Nik