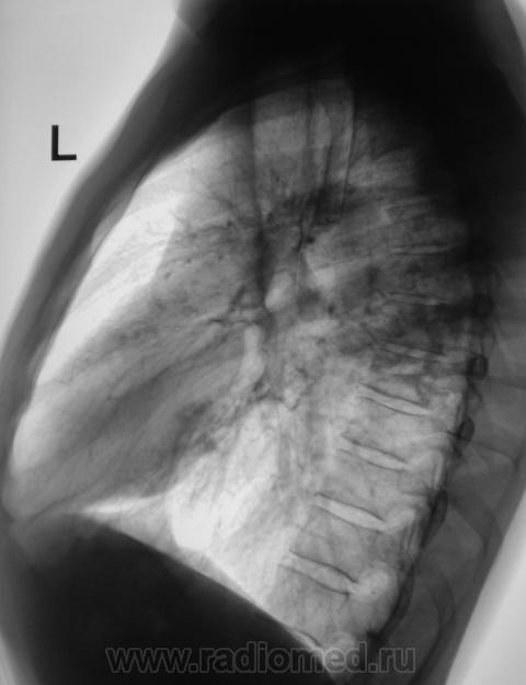
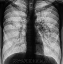
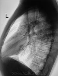
Пациент направлен на рентгенографию органов грудной полости с диагнозом - "Бронхит".

Пол пациента: 
Методы исследования: 

Пациент направлен терапевтом на рентгенографию органов грудной полости с диагнозом - "Бронхит".

Ваше мнение коллеги?

  • https://radiomed.ru/sites/default/files/styles/case_slider_image/public/user/12/62.ol_.JPG?itok=GjHW57SO
  • https://radiomed.ru/sites/default/files/styles/case_slider_image/public/user/12/63.ol_.jpg?itok=jIN0gzhH
  • https://radiomed.ru/sites/default/files/styles/case_slider_image/public/user/12/1..ol_.JPG?itok=k2PUlidc
  • https://radiomed.ru/sites/default/files/styles/case_slider_image/public/user/12/2..ol_.JPG?itok=bAQmXl2G
  • https://radiomed.ru/sites/default/files/styles/case_slider_image/public/user/12/3..ol_.jpg?itok=hQhH_1uG
  • https://radiomed.ru/sites/default/files/styles/case_slider_image/public/user/12/4..ol_.jpg?itok=SlccHGEY
  • https://radiomed.ru/sites/default/files/styles/case_slider_image/public/user/12/5..ol_.jpg?itok=oGsuA4Qp
  • https://radiomed.ru/sites/default/files/styles/case_slider_image/public/user/12/6..ol_.JPG?itok=sY_6Q5Z6
  • https://radiomed.ru/sites/default/files/styles/case_slider_image/public/user/12/7..ol_.JPG?itok=l4mP33sw
ID:1481
mila аватар
Не на сайте
Был на сайте: 5 лет 2 месяцев назад
Зарегистрирован: 26.02.2010 - 02:56
Публикации: 277

Процесс 2х сторонний, судя по интенсивности "не первой свежести" похоже на туберкулез, хоть не типичная локализация.

lupan аватар
Не на сайте
Был на сайте: 6 лет 10 месяцев назад
Зарегистрирован: 07.01.2010 - 17:17
Публикации: 1406

Туберкулез, без сомнения. О его форме и стадии без анамнеза судить затруднительно. Возможно, 2-х сторонний инфильтративный в ф. рассасывания, уплотнения, формирования плотных очагов. Ранее "наплевал" себе в язычки.

Великое преймущество врача заключается в том, что он не обязан следовать собственным советам. ( А. Кристи)

ElenaG аватар
Не на сайте
Был на сайте: 15 лет 7 месяцев назад
Зарегистрирован: 23.02.2010 - 23:21
Публикации: 69

туберкулез.конечно,есть типичная локализация,однако намерен пробратьсяи туда.где ему совсем не место,что бы нас запутать.

Катенёв Валентин Львович аватар
Не на сайте
Был на сайте: 7 лет 2 недели назад
Зарегистрирован: 22.03.2008 - 22:15
Публикации: 54876

Да, в последнее время, все чаще и чаще, имеются ссылки на наблюдения, свидетельствующие о не типичной (верхушечной, в верхних отделах) локализации туберкулёза.

lupan аватар
Не на сайте
Был на сайте: 6 лет 10 месяцев назад
Зарегистрирован: 07.01.2010 - 17:17
Публикации: 1406

Катенёв Валентин Львович wrote:

 

Да, в последнее время, все чаще и чаще, имеются ссылки на наблюдения, свидетельствующие о не типичной (верхушечной, в верхних отделах) локализации туберкулёза.

 

Разве в представленном случае нетипичная локализация ТБС? Аксиальный субсегмент, SII,SVI? Типичные бронхогенные отсевы в язычки?

Великое преймущество врача заключается в том, что он не обязан следовать собственным советам. ( А. Кристи)

Катенёв Валентин Львович аватар
Не на сайте
Был на сайте: 7 лет 2 недели назад
Зарегистрирован: 22.03.2008 - 22:15
Публикации: 54876

"Шестерка", конечно, типичная локализация, подмышечный субсегмент, конечно тоже, но вот "верхушки"?

lupan аватар
Не на сайте
Был на сайте: 6 лет 10 месяцев назад
Зарегистрирован: 07.01.2010 - 17:17
Публикации: 1406

Есть же статистика по частоте поражения туберкулезом того или иного сегмента. Верхушки поражаются чаще, но не в 100%. Где тонко, там и рвется (focus minoris resistentae).

Великое преймущество врача заключается в том, что он не обязан следовать собственным советам. ( А. Кристи)

Катенёв Валентин Львович аватар
Не на сайте
Был на сайте: 7 лет 2 недели назад
Зарегистрирован: 22.03.2008 - 22:15
Публикации: 54876

Меня не покидают сомнения, что "это" - не туберкулёз?

lupan аватар
Не на сайте
Был на сайте: 6 лет 10 месяцев назад
Зарегистрирован: 07.01.2010 - 17:17
Публикации: 1406

Фтизиатрам такие вещи показывать нужно обязательно.

Великое преймущество врача заключается в том, что он не обязан следовать собственным советам. ( А. Кристи)

Катенёв Валентин Львович аватар
Не на сайте
Был на сайте: 7 лет 2 недели назад
Зарегистрирован: 22.03.2008 - 22:15
Публикации: 54876

Мы вместе с коллегой фтизиатром долго сидели над этими снимками. Решили провести "противовоспалительное лечение", и провести контроль.

lupan аватар
Не на сайте
Был на сайте: 6 лет 10 месяцев назад
Зарегистрирован: 07.01.2010 - 17:17
Публикации: 1406

Так он раньше не наблюдался? От пробного неспецифич. лечения вреда не будет, а пользу можно поиметь.

Великое преймущество врача заключается в том, что он не обязан следовать собственным советам. ( А. Кристи)

Катенёв Валентин Львович аватар
Не на сайте
Был на сайте: 7 лет 2 недели назад
Зарегистрирован: 22.03.2008 - 22:15
Публикации: 54876

Архив. Флюорограмма прошлого года - "норма"

ElenaG аватар
Не на сайте
Был на сайте: 15 лет 7 месяцев назад
Зарегистрирован: 23.02.2010 - 23:21
Публикации: 69

верхушки,а так же все задние сегменты(2.6,,реже 10)наиболее типичная локализация туберкулеза,субплеврадьно.И если год назад была норма,это еще не не значит,что это не туберкулез,а поможет только в определении активности процусса.

Катенёв Валентин Львович аватар
Не на сайте
Был на сайте: 7 лет 2 недели назад
Зарегистрирован: 22.03.2008 - 22:15
Публикации: 54876

Спасибо коллега за коммент. Вот, мы с коллегой фтизиатром, взвесив все "за" и "против", решили в течение 1 - 1,5 недель провести противовоспалительную терапию, а затем "решать вопрос". Архив, а именно, отсутствие изменений в прошлом году, также было учтено.

Катенёв Валентин Львович аватар
Не на сайте
Был на сайте: 7 лет 2 недели назад
Зарегистрирован: 22.03.2008 - 22:15
Публикации: 54876

Пациент получает противовоспалительную терапию. Но, прибегает коллега фтизиатр - "палки", "палки", "палки"...

Берем на "контрольное" обследование перед госпитализацией в областное специализированное учреждение...

Катенёв Валентин Львович аватар
Не на сайте
Был на сайте: 7 лет 2 недели назад
Зарегистрирован: 22.03.2008 - 22:15
Публикации: 54876

1 срез в боковой проекции.

 

 

Приложения: 
1..Vzyali.JPG2..Vzyali.JPG3..Vzyali.jpg4..Vzyali.JPG4..Vzyali.JPG5..Vzyali.jpg
Катенёв Валентин Львович аватар
Не на сайте
Был на сайте: 7 лет 2 недели назад
Зарегистрирован: 22.03.2008 - 22:15
Публикации: 54876

Следующий срез.

 

Приложения: 
6..Vzyali.JPG7..Vzyali.jpg7..Vzyali.jpg8..Vzyali.JPG9..Vzyali.jpg
Катенёв Валентин Львович аватар
Не на сайте
Был на сайте: 7 лет 2 недели назад
Зарегистрирован: 22.03.2008 - 22:15
Публикации: 54876

Следующий срез.

 

Приложения: 
11..Vzyali.JPG12..Vzyali.jpg12..Vzyali.jpg13..Vzyali.JPG14..Vzyali.jpg
Катенёв Валентин Львович аватар
Не на сайте
Был на сайте: 7 лет 2 недели назад
Зарегистрирован: 22.03.2008 - 22:15
Публикации: 54876

Доделали один срез - 5 см. в прямой проекции.

 

Приложения: 
21.._Vzyali.JPG22..Vzyali.JPG23..Vzyali.JPG24..Vzyali.JPG