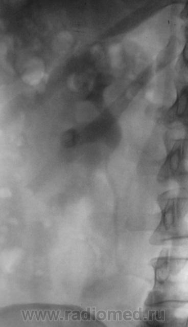
Пациент с клиникой правосторонней почечной колики направлен на рентгенологическое исследование.

Пол пациента: 
Тип патологии: 
Область исследования: 
Методы исследования: 

Пациент с клиникой правосторонней почечной колики направлен на рентгенологическое исследование.

После введения контрастного вещества урограммы произведены на 7 и 15 минутах.

  • https://radiomed.ru/sites/default/files/styles/case_slider_image/public/user/12/2.pa280019.jpg?itok=UzOmn8xF
  • https://radiomed.ru/sites/default/files/styles/case_slider_image/public/user/12/3.pa280019a.jpg?itok=5BuEnUxs
  • https://radiomed.ru/sites/default/files/styles/case_slider_image/public/user/12/4.pa280020.jpg?itok=cuIZT4qG
  • https://radiomed.ru/sites/default/files/styles/case_slider_image/public/user/12/5.pa280020a.jpg?itok=jocyKatk
  • https://radiomed.ru/sites/default/files/styles/case_slider_image/public/user/12/1.pa280021.jpg?itok=ofa8ujMT
  • https://radiomed.ru/sites/default/files/styles/case_slider_image/public/user/12/2.pa280022.jpg?itok=mdHoaH6Q
  • https://radiomed.ru/sites/default/files/styles/case_slider_image/public/user/12/3.pa280024.jpg?itok=xVNFTTlr
  • https://radiomed.ru/sites/default/files/styles/case_slider_image/public/user/12/4.pa280024a.jpg?itok=3CQVSeBU
ID:8397
Almo аватар
Не на сайте
Был на сайте: 1 час 10 минут назад
Зарегистрирован: 28.09.2008 - 18:50
Публикации: 8256

В проекции среднего сегмента правой почки тень конкремента. Отсутствие признаков расширения собрательной системы правой почки.

MarinaD аватар
Не на сайте
Был на сайте: 10 лет 4 месяцев назад
Зарегистрирован: 10.07.2010 - 02:22
Публикации: 108

Almo wrote:

В проекции среднего сегмента правой почки тень конкремента. Отсутствие признаков расширения собрательной системы правой почки.

Во-Во! И тени флеболитов в проекции малого таза.

Виктор ВК аватар
Не на сайте
Был на сайте: 14 лет 8 месяцев назад
Зарегистрирован: 01.10.2010 - 15:34
Публикации: 114

т.е на фоне контраста тени не видно?

Виктор Владимирович К.

Катенёв Валентин Львович аватар
Не на сайте
Был на сайте: 7 лет 2 недели назад
Зарегистрирован: 22.03.2008 - 22:15
Публикации: 54876

Да, контраст "покрыл" тень рентгеноположительного конкремента.

Петрович аватар
Не на сайте
Был на сайте: 7 лет 2 месяцев назад
Зарегистрирован: 22.03.2009 - 01:13
Публикации: 3908

 

А мне этот конкремент, при всей его "рентгеноположительности", видится дефектом наполнения чашки, контрастированной ещё более "рентгеноположительным" контрастом)).

 

Ещё более отчетливо это может было бы увидеть на прицельной рентгенограмме почки либо томограмме её.

Неоднозначно всё

Катенёв Валентин Львович аватар
Не на сайте
Был на сайте: 7 лет 2 недели назад
Зарегистрирован: 22.03.2008 - 22:15
Публикации: 54876

Петрович wrote:

 

А мне этот конкремент, при всей его "рентгеноположительности", видится дефектом наполнения чашки, контрастированной ещё более "рентгеноположительным" контрастом)).

 

Ещё более отчетливо это может было бы увидеть на прицельной рентгенограмме почки либо томограмме её.

Данный случай не томографировался.