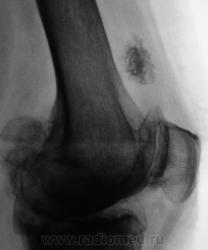
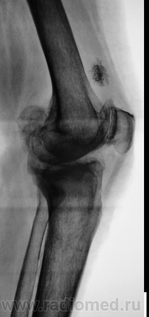
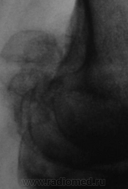
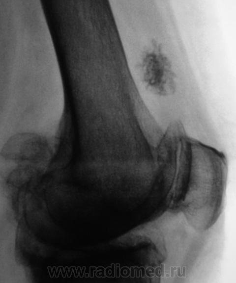
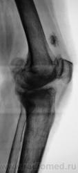
Пациентка направлена на рентгенографию коленного сустава с диагнозом "Деформирующий артроз".

Пол пациента: 
Тип патологии: 
Область исследования: 
Методы исследования: 

Пациентка направлена на рентгенографию коленного сустава с диагнозом "Деформирующий артроз".

  • https://radiomed.ru/sites/default/files/styles/case_slider_image/public/user/12/12.Def_._artroz.JPG?itok=Y_ShEuln
  • https://radiomed.ru/sites/default/files/styles/case_slider_image/public/user/12/13.Def_._artroz.JPG?itok=Zz2qdp89
  • https://radiomed.ru/sites/default/files/styles/case_slider_image/public/user/12/14.Def_._artroz.JPG?itok=SZMXnGnA
  • https://radiomed.ru/sites/default/files/styles/case_slider_image/public/user/12/15.Def_._artroz.jpg?itok=btv_qodQ
  • https://radiomed.ru/sites/default/files/styles/case_slider_image/public/user/12/16.Def_._artroz.jpg?itok=vNl8TQS0
  • https://radiomed.ru/sites/default/files/styles/case_slider_image/public/user/12/17.Def_._artroz.jpg?itok=V_1PuL6L
  • https://radiomed.ru/sites/default/files/styles/case_slider_image/public/user/12/18.Def_._artroz..jpg?itok=MM3tQaDJ
ID:389
Анатолий Владимирович Шумаков аватар
Не на сайте
Был на сайте: 7 лет 10 месяцев назад
Зарегистрирован: 16.10.2009 - 21:16
Публикации: 1941

Выраженный деформирующий артроз, множественные хонтроматозные тела в полости сустава.