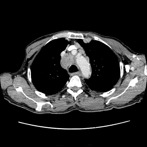
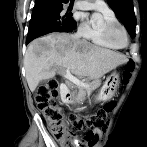
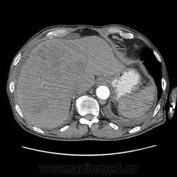
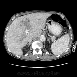
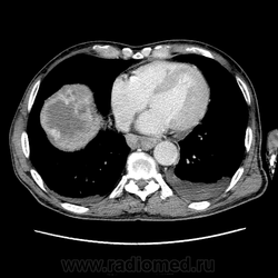
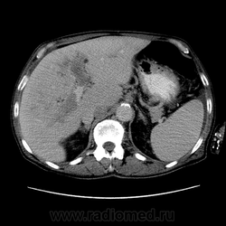
Печень. Процесс в средостении, бр.пол., забр.пр-ве. МСКТ.

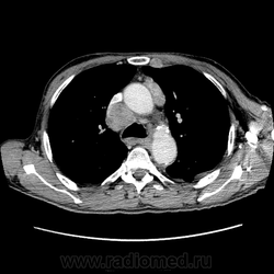
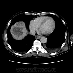
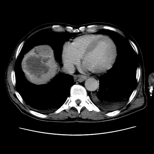
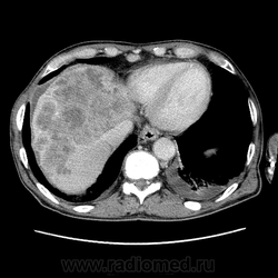
Здравствуйте, коллеги! Мужчина около 70 лет. Жалобы: слабость, утомляемость около 3х месяцев, чувство тяжести на желудке после еды. Анамнез: онко не было. С вышеописанными жалобами обратился ко врачу, сделали ФГЭДС - признаки гастродуоденита, по биопсии - N. В течение 2х последних недель существенно похудел и начал желтеть. Выполнена МСКТ

  • https://radiomed.ru/sites/default/files/styles/case_slider_image/public/user/5374/se001_34.png?itok=yU_K-NOv
  • https://radiomed.ru/sites/default/files/styles/case_slider_image/public/user/5374/se002_34.png?itok=DosbxykQ
  • https://radiomed.ru/sites/default/files/styles/case_slider_image/public/user/5374/se003_30.png?itok=4pJjui8G
  • https://radiomed.ru/sites/default/files/styles/case_slider_image/public/user/5374/se004_23.png?itok=WqC-zLNE
  • https://radiomed.ru/sites/default/files/styles/case_slider_image/public/user/5374/se005_17.png?itok=v5wPKnsN
  • https://radiomed.ru/sites/default/files/styles/case_slider_image/public/user/5374/se006_15.png?itok=dfS2yn2W
  • https://radiomed.ru/sites/default/files/styles/case_slider_image/public/user/5374/se007_14.png?itok=TBAiGdOu
  • https://radiomed.ru/sites/default/files/styles/case_slider_image/public/user/5374/se008_8.png?itok=JIPph1yB
  • https://radiomed.ru/sites/default/files/styles/case_slider_image/public/user/5374/se009_7.png?itok=wPwnT7St
  • https://radiomed.ru/sites/default/files/styles/case_slider_image/public/user/5374/se010_6.png?itok=BEd_ZZ52
  • https://radiomed.ru/sites/default/files/styles/case_slider_image/public/user/5374/se012_2.png?itok=gVw57n5p
  • https://radiomed.ru/sites/default/files/styles/case_slider_image/public/user/5374/se013_0.png?itok=eVRSOU6A
  • https://radiomed.ru/sites/default/files/styles/case_slider_image/public/user/5374/se014.png?itok=sX5E9dkx
  • https://radiomed.ru/sites/default/files/styles/case_slider_image/public/user/5374/se015.png?itok=RIMT-_US
  • https://radiomed.ru/sites/default/files/styles/case_slider_image/public/user/5374/se017_0.png?itok=UoU5U371
ID:51097
rentgengb1 аватар
Не на сайте
Был на сайте: 12 лет 6 дней назад
Зарегистрирован: 13.02.2009 - 23:02
Публикации: 290

Вероятно ГЦР, со всеми последствиями. 

И.Бондаренко аватар
Не на сайте
Был на сайте: 1 день 7 часов назад
Зарегистрирован: 13.09.2011 - 22:55
Публикации: 9206

+1. А вот образование средостения к чему отнести?

rentgengb1 аватар
Не на сайте
Был на сайте: 12 лет 6 дней назад
Зарегистрирован: 13.02.2009 - 23:02
Публикации: 290

Вероятно метастазы

Сергей Нагорный аватар
Не на сайте
Был на сайте: 9 лет 8 месяцев назад
Зарегистрирован: 13.07.2010 - 22:49
Публикации: 1370

А как насчет холангиокарциномы с тромбозом воротной вены и мтс в средостение, лимфоузлы брюшной полости и забрюшинного пр-ва?

С уважением, С.Н. Нагорный

Андрей Юрьевич аватар
Не на сайте
Был на сайте: 2 недели 2 дня назад
Зарегистрирован: 16.11.2008 - 22:16
Публикации: 18098

Нагорный Сергей Николаевич wrote:

А как насчет холангиокарциномы с тромбозом воротной вены и мтс в средостение, лимфоузлы брюшной полости и забрюшинного пр-ва?

Я - за.

Андрей Юрьевич

rentgengb1 аватар
Не на сайте
Был на сайте: 12 лет 6 дней назад
Зарегистрирован: 13.02.2009 - 23:02
Публикации: 290

Внимательно пересмотрел, признаков характерных для ГЦР не нашел (кроме тромбоза). Согласен с холангиокарциномой, ещё бы отсроченную фазу, для печени минут через 12-15 . 

И.Бондаренко аватар
Не на сайте
Был на сайте: 1 день 7 часов назад
Зарегистрирован: 13.09.2011 - 22:55
Публикации: 9206

В качестве обучения. Чем отличаются ГЦР и холангиокарцинома по КТ?

Андрей Юрьевич аватар
Не на сайте
Был на сайте: 2 недели 2 дня назад
Зарегистрирован: 16.11.2008 - 22:16
Публикации: 18098

Мой вариант дифференцировки:  холангиокарцинома похожа на альвеококкоз (на КТ их отдиференцировать невозможно), а ПЦР - нет.

Андрей Юрьевич

Сергей Нагорный аватар
Не на сайте
Был на сайте: 9 лет 8 месяцев назад
Зарегистрирован: 13.07.2010 - 22:49
Публикации: 1370

Андрей Юрьевич, не понял, этот случай похож на альвео? Или не этот, а вообще отдельно взятая печень?

С уважением, С.Н. Нагорный

Андрей Юрьевич аватар
Не на сайте
Был на сайте: 2 недели 2 дня назад
Зарегистрирован: 16.11.2008 - 22:16
Публикации: 18098

Я говорил в общем: они похожи до степени смешения.

Андрей Юрьевич

Сергей Нагорный аватар
Не на сайте
Был на сайте: 9 лет 8 месяцев назад
Зарегистрирован: 13.07.2010 - 22:49
Публикации: 1370

Андрей Юрьевич wrote:

Я говорил в общем: они похожи до степени смешения.

Стетейку не подкините интересную, наглядную? или парочку...  Буду благодарен.

С уважением, С.Н. Нагорный

Андрей Юрьевич аватар
Не на сайте
Был на сайте: 2 недели 2 дня назад
Зарегистрирован: 16.11.2008 - 22:16
Публикации: 18098

Нет, не подкину. Эту информацию я получил на практическом занятии проф. А.Л.Юдина. Перепроверять не стал.

Андрей Юрьевич

rentgengb1 аватар
Не на сайте
Был на сайте: 12 лет 6 дней назад
Зарегистрирован: 13.02.2009 - 23:02
Публикации: 290

Для ГЦР характерно

1. Гиперденсивность, в артериальную фазу  всей опухолевой массы (опухоль хорошо васкуляризирована)

2. Гиподенсивность, в портальную фазу (быстрое вымивание, опять же обусловлено васкуляризацией)

3.Тромбоз портальной вены.

Для холангиокарциномы характерно гиперденсивность, в отсроченную фазу, за счет аффинитета к контрастному веществу. 

Андрей Юрьевич аватар
Не на сайте
Был на сайте: 2 недели 2 дня назад
Зарегистрирован: 16.11.2008 - 22:16
Публикации: 18098

rentgengb1 wrote:
Для холангиокарциномы характерно гиперденсивность, в отсроченную фазу... 

В рамках ликбеза, уважамый коллега, отсроченная, на каких минутах лучше? 5, 10, 15?

Андрей Юрьевич

Сергей Нагорный аватар
Не на сайте
Был на сайте: 9 лет 8 месяцев назад
Зарегистрирован: 13.07.2010 - 22:49
Публикации: 1370

Андрей Юрьевич, 5 минут маловато IMHO. Обычно делаю 10 мин на предмет соединительной ткани (до 15 мин будет не хуже)... А Вы?

С уважением, С.Н. Нагорный

rentgengb1 аватар
Не на сайте
Был на сайте: 12 лет 6 дней назад
Зарегистрирован: 13.02.2009 - 23:02
Публикации: 290

Нагорный Сергей Николаевич wrote:

Андрей Юрьевич, 5 минут маловато IMHO. Обычно делаю 10 мин на предмет соединительной ткани (до 15 мин будет не хуже)... А Вы?

 

 

Всё верно. 

Андрей Юрьевич аватар
Не на сайте
Был на сайте: 2 недели 2 дня назад
Зарегистрирован: 16.11.2008 - 22:16
Публикации: 18098

Тоже на 10 минутах.

Андрей Юрьевич

Popovpavel аватар
Не на сайте
Был на сайте: 7 лет 3 месяцев назад
Зарегистрирован: 08.06.2009 - 00:23
Публикации: 649

Андрей Юрьевич wrote:

Мой вариант дифференцировки:  холангиокарцинома похожа на альвеококкоз (на КТ их отдиференцировать невозможно), а ПЦР - нет.

А чем именно холангиокарцинома похожа на альвеококкоз?

Ведь эта опухоль, собственно как и любая другая опухоль, кровоснабжается, а значит - имеет определенные характеристики накопления контраста. Тогда как альвеококк, будучи чужеродным для организма существом, не имеет собственной капиллярной сети, и, следовательно, не имеет контрастного усиления. Этот факт - четкий дифференциальный признак, поэтому инфильтративный рост и высокая плотность альвеококка не должны вводить в заблуждение.

Андрей Юрьевич аватар
Не на сайте
Был на сайте: 2 недели 2 дня назад
Зарегистрирован: 16.11.2008 - 22:16
Публикации: 18098

Собственно, уважаемый коллега Popovpavel, вопрос-то был такой:

И.Бондаренко wrote:

В качестве обучения. Чем отличаются ГЦР и холангиокарцинома по КТ?

Как бы Вы на него ответили?

Андрей Юрьевич

Popovpavel аватар
Не на сайте
Был на сайте: 7 лет 3 месяцев назад
Зарегистрирован: 08.06.2009 - 00:23
Публикации: 649

Андрей Юрьевич wrote:

Собственно, уважаемый коллега Popovpavel, вопрос-то был такой:

И.Бондаренко wrote:

В качестве обучения. Чем отличаются ГЦР и холангиокарцинома по КТ?

Как бы Вы на него ответили?

Ну я уж, собственно, ответил. Холангиокарционома накапливает контраст, альвеококк - нет. И потом, холангиокарцинома, как правило, вызывает обструкцию желчных протоков, так что проксимальнее обструкции мы увидим их расширение - очень яркий признак на КТ.

Андрей Юрьевич аватар
Не на сайте
Был на сайте: 2 недели 2 дня назад
Зарегистрирован: 16.11.2008 - 22:16
Публикации: 18098

Ну, удивили коллега Popovpavel, при чем здесь альвеококк? Вопрос такой: "Чем отличаются ГЦР и холангиокарцинома по КТ?" Обструкцией желчных путей?

Андрей Юрьевич

Евгений Второй аватар
Не на сайте
Был на сайте: 4 дня 7 часов назад
Зарегистрирован: 13.09.2011 - 22:00
Публикации: 1772

Внесу лепту: видел пару гистологически подтверждённых ХЦР в периферических отделах правой доли, естественно без расширения протоков, одна прорастала диафрагму и метастазировала в узлы ворот, вторая прорастала сегментарные сосуды, вызывая атрофию двух кажется сегментов. На мрт выглядели примерно одинаково: большой солидный периферический компонент, быстро интенсивно накапливающий контраст. На отсроченных томограммах - вымывание контраста из периферической части и накопление в центральной зоне распада. ГЦР вроде и гиповаскулярный бывает, самому не встречался правда.

Катенёв Валентин Львович аватар
Не на сайте
Был на сайте: 7 лет 4 недели назад
Зарегистрирован: 22.03.2008 - 22:15
Публикации: 54876

Сергей Николаевич!

А, мы услышим заключительное слово автора случая?

Сергей Нагорный аватар
Не на сайте
Был на сайте: 9 лет 8 месяцев назад
Зарегистрирован: 13.07.2010 - 22:49
Публикации: 1370

Валентин Львович, я его в 4м посте озвучил. Так при нем и остался... Если вдруг случится, что будет гистология - я об этом узнаю сразу и сообщу.

С уважением, С.Н. Нагорный

Popovpavel аватар
Не на сайте
Был на сайте: 7 лет 3 месяцев назад
Зарегистрирован: 08.06.2009 - 00:23
Публикации: 649

Андрей Юрьевич wrote:

Ну, удивили коллега Popovpavel, при чем здесь альвеококк? Вопрос такой: "Чем отличаются ГЦР и холангиокарцинома по КТ?" Обструкцией желчных путей?

Простите, я протупил. Ну да, основное различие - это обструкция желчных путей.

Катенёв Валентин Львович аватар
Не на сайте
Был на сайте: 7 лет 4 недели назад
Зарегистрирован: 22.03.2008 - 22:15
Публикации: 54876

Нагорный Сергей Николаевич wrote:

Валентин Львович, я его в 4м посте озвучил. Так при нем и остался... Если вдруг случится, что будет гистология - я об этом узнаю сразу и сообщу.

Будем ждать и надеяться.