Помогите разобраться

Пол пациента: 
Методы исследования: 

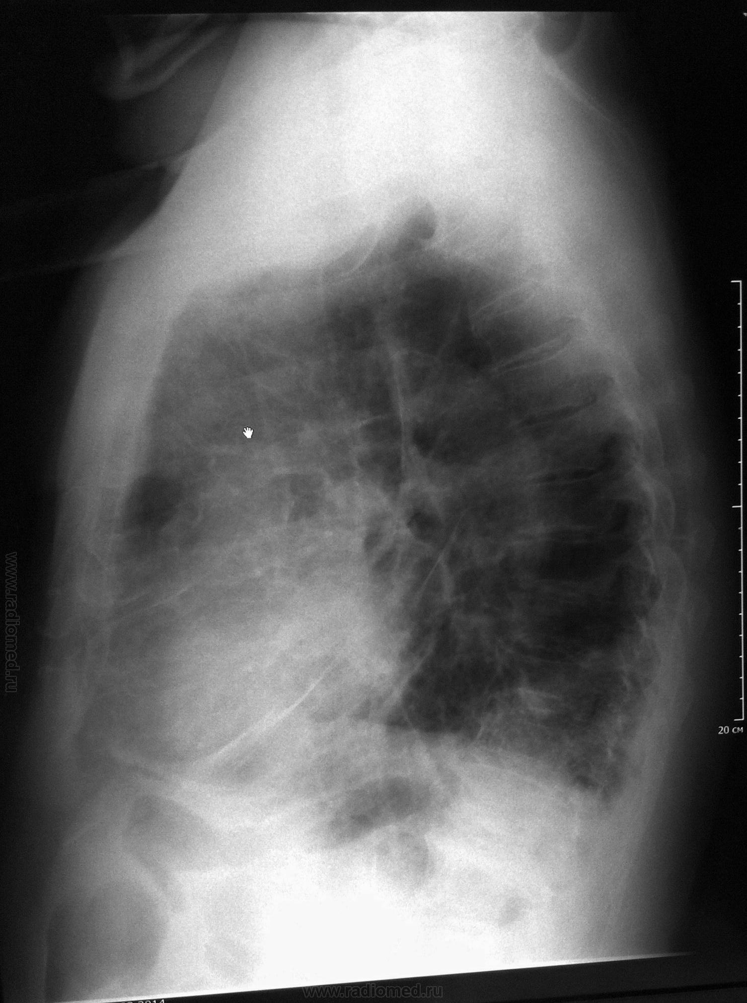
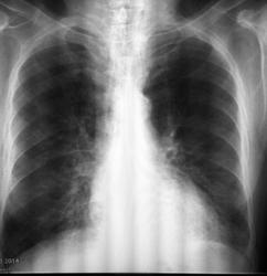
М., 71г., выявлен по флюорографии, направлен с д-зом: ХНЗЛ, плевропневмония слева. Госпитализирован с ХОБЛ, обострение. Клинически - не лихорадит, одышка, кашель, кровохарканье. Выполнена ФБС: картина атрофич. эндобронхита. Пришел на контроль.

 

             

   

  • https://radiomed.ru/sites/default/files/styles/case_slider_image/public/user/2841/0804-2014k_2.jpg?itok=Du8mABCS
  • https://radiomed.ru/sites/default/files/styles/case_slider_image/public/user/2841/0804-2014k_3.jpg?itok=bqrpyKoE
  • https://radiomed.ru/sites/default/files/styles/case_slider_image/public/user/2841/0804-2014k_4.jpg?itok=CQ0j3OBC
  • https://radiomed.ru/sites/default/files/styles/case_slider_image/public/user/2841/0804-2014k_5.jpg?itok=hCz0f6aq
  • https://radiomed.ru/sites/default/files/styles/case_slider_image/public/user/2841/0804-2014k_6.jpg?itok=-58EhOH4
  • https://radiomed.ru/sites/default/files/styles/case_slider_image/public/user/2841/0804-2014k_7.jpg?itok=-UwROcJ7
  • https://radiomed.ru/sites/default/files/styles/case_slider_image/public/user/2841/0804-2014k_8.jpg?itok=bwYzVhtX
  • https://radiomed.ru/sites/default/files/styles/case_slider_image/public/user/2841/0804-2014k_9.jpg?itok=Fc8T-zUD
  • https://radiomed.ru/sites/default/files/styles/case_slider_image/public/user/2841/0804-2014k_10.jpg?itok=VYiMixHl
ID:36897
Луч света аватар
Не на сайте
Был на сайте: 11 лет 1 месяц назад
Зарегистрирован: 01.04.2014 - 18:01
Публикации: 25

Фото с телефона, извините за качество

Приложения: 
image.jpgimage.jpgimage.jpgimage.jpgimage.jpgimage.jpgimage.jpgimage.jpgimage.jpgimage.jpg
Nobody аватар
Не на сайте
Был на сайте: 11 лет 3 недели назад
Зарегистрирован: 15.03.2014 - 20:29
Публикации: 2013

Чтобы помочь разобраться, нужно сначала снимки в правильном положении и нужном порядке увидеть. Когда первый, который и через сколько контроль?.. Повернуть к нам вверх головой.) И объяснить - какой именно нужен совет? Исключить, подтвердить? Что-то конкретное или всех долой?)

"Лишь утратив всё до конца, мы обретаем свободу." F.C.

JJ аватар
JJ
Не на сайте
Был на сайте: 11 лет 4 месяцев назад
Зарегистрирован: 03.04.2014 - 20:35
Публикации: 102

учитывая отрицательную динамику, кровохарканье, рекомендовала бы КТ и консультацию онколога обязательно.

Луч света аватар
Не на сайте
Был на сайте: 11 лет 1 месяц назад
Зарегистрирован: 01.04.2014 - 18:01
Публикации: 25

Прошу прощения, не поняла, как повернуть фото. Первые 3 снимка 31.03.2014г. Затем контроль 7.04.2014г., томограммы в этот же день на предмет исключения центрального рака.

OPEXOB аватар
Не на сайте
Был на сайте: 9 лет 11 месяцев назад
Зарегистрирован: 26.07.2008 - 10:02
Публикации: 280

Кроме ХОБЛ-а ничего не вижу.

За гимнастику для шеи - БОЛЬШОЕ спасибо

Андрей Викторович аватар
Не на сайте
Был на сайте: 2 года 5 месяцев назад
Зарегистрирован: 13.02.2014 - 14:52
Публикации: 242

OPEXOB wrote:

Кроме ХОБЛ-а ничего не вижу.

За гимнастику для шеи - БОЛЬШОЕ спасибо

а я монитор повернул

...... еще бы в рентгенологии что-нибудь понимать.

JJ аватар
JJ
Не на сайте
Был на сайте: 11 лет 4 месяцев назад
Зарегистрирован: 03.04.2014 - 20:35
Публикации: 102

конечно, смотреть сложно в повернутом виде, поэтому можно только предположить, но я согласна с Вами, что здесь нельзя исключить центральный с-ч, даже при наличии отрицательных данных ФБС - широкий левый корень, расширенное верхнее средостение и гиповентиляция в нижней доле слева. Поэтому, рекомендую КТ и консультацию онколога повторно.

zolotomoe аватар
Не на сайте
Был на сайте: 8 лет 11 месяцев назад
Зарегистрирован: 10.10.2013 - 11:22
Публикации: 63

Присоединяюсь-цикличность левого корня и гиповентиляция верхнего сегмента нижней доли.КТ поставит точку

Doc84 аватар
Не на сайте
Был на сайте: 11 лет 5 месяцев назад
Зарегистрирован: 05.03.2014 - 15:21
Публикации: 209

Динамика отрицательная, мне на томограммах в нижней доле видится полость деструкции. Видимо без дообследования не обойтись. Только уж совсем выраженая отрицательная динамика за неделю. Пневмонию наверное тоже лечить надо. Не знаю, согласятся ли коллеги, в диф диагноз бы внес бы инфаркт пневмонию ( с клиникой конечно сопоставлять надо) 

Nobody аватар
Не на сайте
Был на сайте: 11 лет 3 недели назад
Зарегистрирован: 15.03.2014 - 20:29
Публикации: 2013

Луч света wrote:
Прошу прощения, не поняла, как повернуть фото. Первые 3 снимка 31.03.2014г. Затем контроль 7.04.2014г., томограммы в этот же день на предмет исключения центрального рака.

Фото можно повернуть в графическом редакторе любом. Начиная с Painta и кончая фотошопом.)

Не понял немного про пациента - он захужел после бронхоскопии так или на фоне лечения?..

"Лишь утратив всё до конца, мы обретаем свободу." F.C.

atexta аватар
Не на сайте
Был на сайте: 2 года 9 месяцев назад
Зарегистрирован: 08.02.2014 - 18:41
Публикации: 4842

Чем-то лечили с 31.03 по 7.04 ? Что стало с клиникой за это время ?

Не нам судить…

NIL аватар
NIL
Не на сайте
Был на сайте: 1 день 5 часов назад
Зарегистрирован: 25.11.2013 - 20:50
Публикации: 18202

Динамика отрицательная.Впечатление о нижнедолевой пневмонии слева, осложнённой гиповентиляцией. Так что и рак - не исключён, с параканкрозным пневмонитом 

Приложения: 
image_306.jpgimage_316.jpgimage_317.jpgimage_319.jpg


"Слушай всех, прислушивайся к немногим, решай сам".©

Mila85 аватар
Не на сайте
Был на сайте: 3 года 1 месяц назад
Зарегистрирован: 15.03.2012 - 16:59
Публикации: 1790

Опухоль нужно искать, нижняя доля слева в гиповентияции, средостение влево уезжает, это не пневмония

Сергей Кузьминов аватар
Не на сайте
Был на сайте: 1 год 1 неделя назад
Зарегистрирован: 06.10.2012 - 15:51
Публикации: 11813

Mila85 wrote:

Опухоль нужно искать, нижняя доля слева в гиповентияции, средостение влево уезжает, это не пневмония

Полностью согласен.

Nobody аватар
Не на сайте
Был на сайте: 11 лет 3 недели назад
Зарегистрирован: 15.03.2014 - 20:29
Публикации: 2013

Mila85 wrote:

Опухоль нужно искать, нижняя доля слева в гиповентияции, средостение влево уезжает, это не пневмония

Бывает и БАР... Плохо тоже, но опухоль не находят, похоже.

"Лишь утратив всё до конца, мы обретаем свободу." F.C.

Луч света аватар
Не на сайте
Был на сайте: 11 лет 1 месяц назад
Зарегистрирован: 01.04.2014 - 18:01
Публикации: 25

Уважаемые коллеги, спасибо за помощь! С 31.03. по 7.04. Лечили аугментином, амброксолом, сальбутамолом и т.д. Клинически больному не хуже, пришел на контроль перед выпиской. Рекомендовала КТ для исключения центрального преимущественно эндобронхиального рака нижней доли левого легкого, осложненного гиповентиляцией S6,10. КТ сделали, заключение: пневмония в нижней доле левого легкого, ст. разрешения. Бронхоэктазы. Пуль монологи довольны, больной выписан.

Nobody аватар
Не на сайте
Был на сайте: 11 лет 3 недели назад
Зарегистрирован: 15.03.2014 - 20:29
Публикации: 2013

Луч света wrote:
Уважаемые коллеги, спасибо за помощь! ... Пульмонологи довольны, больной выписан.

Коллега, а Вы удовлетворены результатом?..

Согласны, что динамика бывает негативная на фоне лечения и больной может быть выписан с ней на домашнее самоисцеление?..

"Лишь утратив всё до конца, мы обретаем свободу." F.C.

Сольвейг аватар
Не на сайте
Был на сайте: 3 года 5 месяцев назад
Зарегистрирован: 05.02.2013 - 20:25
Публикации: 2239

Давайте-ка, автор , пролейте луч света на этот случай. Во-первых, эта отрицательная динамика-после ФБС?Во-вторых, совсем немало-атрофический эндобронхит+ кровохарканье+ на фоне ХОБЛ+смещение средостения+клиника. Онкологией "попахивает".

atexta аватар
Не на сайте
Был на сайте: 2 года 9 месяцев назад
Зарегистрирован: 08.02.2014 - 18:41
Публикации: 4842

Рентгенограммы в динамике или КТ увидеть можно ?

Не нам судить…

Луч света аватар
Не на сайте
Был на сайте: 11 лет 1 месяц назад
Зарегистрирован: 01.04.2014 - 18:01
Публикации: 25

Извините за задержку с ответом. Конечно, заключение КТ удивило... По поводу выписки, согласия рентгенолога не спрашивают... В выписке больному рекомендована контрольная рентгенография ОГК через 2 нед. ФБС сделана между рентгенограммами при поступления и перед выпиской. Получается, что хуже стало после ФБС. Подскажите, о чем это говорит? Работаю рентгенологов только 2,5 месяца после первички.

atexta аватар
Не на сайте
Был на сайте: 2 года 9 месяцев назад
Зарегистрирован: 08.02.2014 - 18:41
Публикации: 4842

Покажете результаты контроля через 2 нед ?

Не нам судить…

Сольвейг аватар
Не на сайте
Был на сайте: 3 года 5 месяцев назад
Зарегистрирован: 05.02.2013 - 20:25
Публикации: 2239

КТ нужно было делать до ФБС. А после нее они получили картину кровоизлияний и расценили как пневмонию. Это -мое предположение, но то, что уже "кровило" во время проведения ФБС, -еще один аргумент за "зло".В заключении бронхоскопии об этом должно быть написано.Так что -прямая дорога к онкологам и вы правы, что заподозрили рак.

алкс аватар
Не на сайте
Был на сайте: 10 лет 1 неделя назад
Зарегистрирован: 24.10.2012 - 22:55
Публикации: 2915

Миргалина wrote:
КТ нужно было делать до ФБС. А после нее они получили картину кровоизлияний и расценили как пневмонию. Это -мое предположение, но то, что уже "кровило" во время проведения ФБС, -еще один аргумент за "зло".В заключении бронхоскопии об этом должно быть написано.Так что -прямая дорога к онкологам и вы правы, что заподозрили рак.

Согласен. Очень даже, и вполне БАР м.б.sad

Сольвейг аватар
Не на сайте
Был на сайте: 3 года 5 месяцев назад
Зарегистрирован: 05.02.2013 - 20:25
Публикации: 2239

Ну, алкс, опять двадцать пять. Вот теперь уж слишком быстро для БАРа-то.Тапки уже наготове.

Луч света аватар
Не на сайте
Был на сайте: 11 лет 1 месяц назад
Зарегистрирован: 01.04.2014 - 18:01
Публикации: 25

Если придет, то обязательно. Спасибо за науку!

Nobody аватар
Не на сайте
Был на сайте: 11 лет 3 недели назад
Зарегистрирован: 15.03.2014 - 20:29
Публикации: 2013

Миргалина wrote:
КТ нужно было делать до ФБС. А после нее они получили картину кровоизлияний и расценили как пневмонию. Это -мое предположение, но то, что уже "кровило" во время проведения ФБС, -еще один аргумент за "зло".В заключении бронхоскопии об этом должно быть написано.Так что -прямая дорога к онкологам и вы правы, что заподозрили рак.

Позволю небольшую поправку. После ФБС получили картину аспирации кровоизлияний, если были они. Или просто аспирации... или недоэвакуации лаважа, если ФБС производили по науке врачи.

"Лишь утратив всё до конца, мы обретаем свободу." F.C.