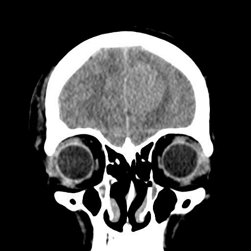
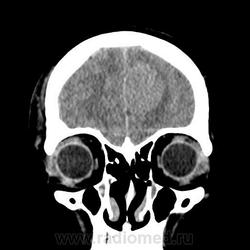
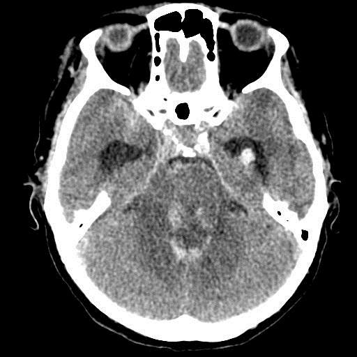
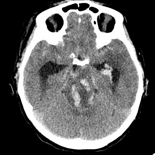
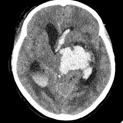
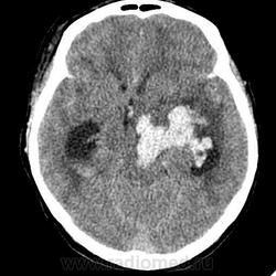
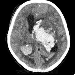
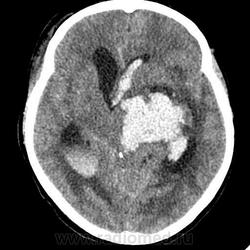
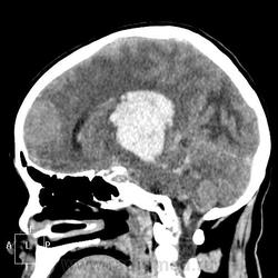
КТ головного мозга, кровоизлияние.

"Скорая" привезла женщину 75 лет, найденную на улице. На КТ направлена с д-зом: кома неясного происхождения. Вот такая картина на КТ.

 

          

  • https://radiomed.ru/sites/default/files/styles/case_slider_image/public/user/7926/74-sag.jpg?itok=J7kPRtpx
  • https://radiomed.ru/sites/default/files/styles/case_slider_image/public/user/7926/74-aks-_9.jpg?itok=YClyBofQ
  • https://radiomed.ru/sites/default/files/styles/case_slider_image/public/user/7926/74-aks-_8.jpg?itok=RY7LU_l5
  • https://radiomed.ru/sites/default/files/styles/case_slider_image/public/user/7926/74-aks-_7.jpg?itok=eEtvKn8Y
  • https://radiomed.ru/sites/default/files/styles/case_slider_image/public/user/7926/74-aks-_6.jpg?itok=4z3MbLc9
  • https://radiomed.ru/sites/default/files/styles/case_slider_image/public/user/7926/74-aks-_5.jpg?itok=w6ebLL62
  • https://radiomed.ru/sites/default/files/styles/case_slider_image/public/user/7926/74-aks-_4.jpg?itok=BlEPjMiT
  • https://radiomed.ru/sites/default/files/styles/case_slider_image/public/user/7926/74-aks-_3.jpg?itok=9xL3VECJ
  • https://radiomed.ru/sites/default/files/styles/case_slider_image/public/user/7926/74-aks-_2.jpg?itok=TY8RRsZE
  • https://radiomed.ru/sites/default/files/styles/case_slider_image/public/user/7926/74-aks-_1.jpg?itok=TygS1I_R
ID:50901
Катенёв Валентин Львович аватар
Не на сайте
Был на сайте: 7 лет 1 неделя назад
Зарегистрирован: 22.03.2008 - 22:15
Публикации: 54876

Возможно папилломы сосудистых сплетений?

Nela аватар
Не на сайте
Был на сайте: 6 лет 3 недели назад
Зарегистрирован: 12.05.2009 - 20:43
Публикации: 1847

Ну теперь-то ясного...происхождения

И.Бондаренко аватар
Не на сайте
Был на сайте: 3 дня 37 секунд назад
Зарегистрирован: 13.09.2011 - 22:55
Публикации: 9206

Nela это кровоизлияние с кровью в желудочках или опухоль.

Ivanaskina аватар
Не на сайте
Был на сайте: 8 лет 2 недели назад
Зарегистрирован: 02.04.2011 - 12:41
Публикации: 304

вероятно опухоль , осложненная кровоизлиянием.

bbonline аватар
Не на сайте
Был на сайте: 11 лет 3 недели назад
Зарегистрирован: 13.10.2011 - 21:55
Публикации: 11

На мой неопытный взгляд:

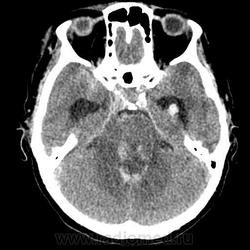
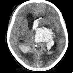
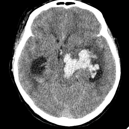
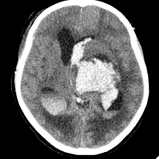
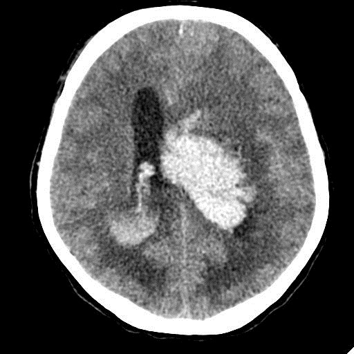
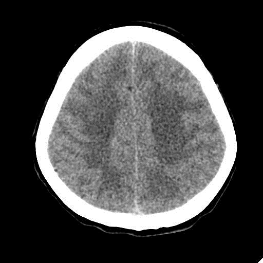
Острое внутримозговое кровоизлияние с выходом крови в желудочки (боковые - сгустки преимущественно в левом + эффект седиментации с горизонтальным уровнем жидкость\жидкость в задних рогах; сгустки крови в третьем желудочке, кровь в четвертом). Значительное увеличение височных рогов боковых желудочков - гидроцефалия. Смешение срединных структур вправо, отек белого вещества перивентрикулярно слева. 

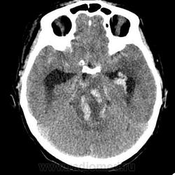
Довольно большие кровоизлияния в стволе мозга (что объясняет тяжесть состояния). 

Дифференциация серого и белого в-ва сохраняется, хотя субарахноидальное пространство не прослеживается - проявление масс-эффекта, начальный этап отека мозга. 

Остается вопрос по слегка гиперденсному (относительно серго вещества) однородному фокусу в левой лобной доле... и по причине кровоизлияния. Что касается последнего могу предположить патологию базилярной артерии (разрыв аневризмы?)... правда не вижу что-то крови в цистернах основания черепа.  

Образование в лобной доле с кровоизлиянием никаких видимых взаимоотношений не имеет.

Ivanaskina аватар
Не на сайте
Был на сайте: 8 лет 2 недели назад
Зарегистрирован: 02.04.2011 - 12:41
Публикации: 304

как варианты возможны плексуспапиллома и метастазы в сосудистые сплетения, с ростом и последующим кровоизлиянием. Смущает лобная доля слева, согласна.

Любовь С. аватар
Не на сайте
Был на сайте: 9 лет 5 месяцев назад
Зарегистрирован: 23.12.2010 - 01:58
Публикации: 2324

Я написала отек мозга, острое массивное (около 100 мл только внутримозговое) смешанное кровоизлияние слева + в стволе, с прорывом и гемотампонадой желудочков, выраженной латеральной дислокацией (13 мм), менингиома? лобного полюса слева. Убедительных данных за опухоль, давшую кровоизлияние, не вижу, хотя такая мысль тоже была.  Контрастировать такую пациентку никто не будет, агонизирующая(.

"Предоставляя весь смысл и совершенство в распоряжение одного только Бога, вы избавляете себя от бездны хлопот." Джон Уитборн.

bbonline аватар
Не на сайте
Был на сайте: 11 лет 3 недели назад
Зарегистрирован: 13.10.2011 - 21:55
Публикации: 11

Тоже за менингиому, т.к. вижу широкое прилежание к серпу, неровные но четкие края образования и явное отграничение от ткани мозга, единичные кальцинаты, отсутствие воздействия на лобную кость.

Но к сожалению тут это далеко не главное... интересно было бы узнать причину кровоизлияния. 

Любовь С. аватар
Не на сайте
Был на сайте: 9 лет 5 месяцев назад
Зарегистрирован: 23.12.2010 - 01:58
Публикации: 2324

Согласна, причину хотелось бы знать, но, к сожалению, только интересом тут и ограничиваюсь. Как мне кажется, изменения фатальные в 75 лет: всё-таки большой объём поражения + отёк... Аневризма как вариант не так плоха, только доказывать это будет уже патологоанатом(.

"Предоставляя весь смысл и совершенство в распоряжение одного только Бога, вы избавляете себя от бездны хлопот." Джон Уитборн.

Андрей Юрьевич аватар
Не на сайте
Был на сайте: 2 дня 2 часа назад
Зарегистрирован: 16.11.2008 - 22:16
Публикации: 18098

У, сколько всего написано. Пока не пришла Nela, поучаствую и я. 1. Кровоизлияние в ткань мозга, а не в опухоль: а)не видно ткани опухоли; б) неясна первичная локализация опухоли (левые базальные ядра?!); в)нет перифокального отека вокруг предролагаемой опухоли, г) при опухолях прорывы в желудочки - редкость; 2) к поперечной дислокации добавил бы безесловную аксиальную: даже цистерна моста сужена, не говоря уже про обходную-четверохолмную и другие; 3) менингиома в левой лобной области, на мой взгляд, сомнительна (кстати, покажите ее пожалуйста), ИМХО - "игра" плотностей;  4) ///метастазы в сосудистые сплетения/// - это очень круто, но они не дали бы внутримозгового кровоизлияния, как и ///плексуспапилома///.

PS. Не очень понял про ///отек мозга///, есть снижение плотности (отек и ишемия) белого вещества левого полушария и задних отделов правого.

Андрей Юрьевич

Nela аватар
Не на сайте
Был на сайте: 6 лет 3 недели назад
Зарегистрирован: 12.05.2009 - 20:43
Публикации: 1847

Массивное медиальное кровоизлияние с прорывом в желудочки. Кровоизлияние в ствол. Признаки вклинения. В лбу может что-то и есть, но это не принципиально. А может быть и отечные извилины. Смущает, что нет масс-эффекта.

Про отек: субарахноидальных щелей совсем нет, по белому веществу и в стволе снижение плотности, извилины утолщены, серое вещество на этом фоне выглядит более светлым, толстым, подушкообразным.

Причина таких кровоизлияний, как правило, гипертензия и атеросклероз.

Любовь С. аватар
Не на сайте
Был на сайте: 9 лет 5 месяцев назад
Зарегистрирован: 23.12.2010 - 01:58
Публикации: 2324

Спасибо еще раз!                                                                          

Совершенно согласна, что есть и аксиальная дислокация, и что нечто в лобной - не принципиально, но есть).

Приложения: 
74-0-0-.jpg74-0-1-.jpg74-0-2-.jpg

"Предоставляя весь смысл и совершенство в распоряжение одного только Бога, вы избавляете себя от бездны хлопот." Джон Уитборн.

боня аватар
Не на сайте
Был на сайте: 13 лет 7 месяцев назад
Зарегистрирован: 05.04.2012 - 14:16
Публикации: 12

Кровоизлияние + менингеома.

Сергей Нагорный аватар
Не на сайте
Был на сайте: 9 лет 8 месяцев назад
Зарегистрирован: 13.07.2010 - 22:49
Публикации: 1370

Кровоизлияние не связанное с объемным образованием, "гипертоническое", основной массой - в области базальных ядер, кровоизлияние в ствол мозга, кома ясного происхождения :) А менингиома менигниомой, не мешает, так сказать.  Отека мозга здесь небольшой, больше выражено набухание.

С уважением, С.Н. Нагорный