Помогите разобраться, пожалуйста

Пол пациента: 
Тип патологии: 
Область исследования: 
Методы исследования: 

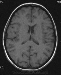
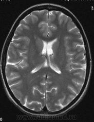
Можно ли  трактовать участок повышенного МР-сигнала по Т2 в правой лобной доле как участок перивентрикулярного глиоза?

  • https://radiomed.ru/sites/default/files/styles/case_slider_image/public/user/17109/1_5.jpeg?itok=VaU5OYg4
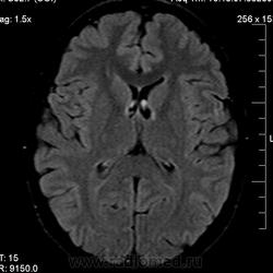
  • https://radiomed.ru/sites/default/files/styles/case_slider_image/public/user/17109/2_5.jpeg?itok=lXKZtM68
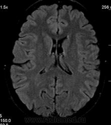
  • https://radiomed.ru/sites/default/files/styles/case_slider_image/public/user/17109/4_4.jpeg?itok=xnRDGwVH
  • https://radiomed.ru/sites/default/files/styles/case_slider_image/public/user/17109/5_5.jpeg?itok=RNFcDkUP
  • https://radiomed.ru/sites/default/files/styles/case_slider_image/public/user/17109/6_5.jpeg?itok=_TYVDeE-
  • https://radiomed.ru/sites/default/files/styles/case_slider_image/public/user/17109/7_5.jpeg?itok=5P1M6bBU
  • https://radiomed.ru/sites/default/files/styles/case_slider_image/public/user/17109/9_7.jpg?itok=fuFDupND
ID:30650
Helios аватар
Не на сайте
Был на сайте: 7 месяцев 3 недели назад
Зарегистрирован: 06.08.2010 - 15:16
Публикации: 4417

Наверное, можно.

nnemo аватар
Не на сайте
Был на сайте: 11 лет 1 месяц назад
Зарегистрирован: 13.09.2011 - 18:32
Публикации: 561

Думаю, нет)

Часто встречаемая структура, не задумывался что "это" конкретно, наверное Робин-Вирховские. В данном случае - изменения по-моему просто несколько асимметричны.

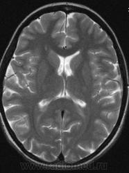
Привожу сканы женщины 28 лет без особых жалоб (первые три скана).

+ Секционный атлас анатомии в .doc - тут видно не так хорошо, но думаю с патологией в атлас не пустят)))

Приложения: 
t2w_tse.jpgt2w_flair.jpgt2w_tse2.jpg
ВложениеРазмер
Иконка документа Microsoft Office anatomiya.doc204 КБ
iSSy аватар
Не на сайте
Был на сайте: 2 года 8 месяцев назад
Зарегистрирован: 05.10.2012 - 12:45
Публикации: 77

Большое спасибо. Да, симметричная линейная паравентрикулярная структура в области передних рогов встречается часто, на что обычно не обращаю внимания. В этом случае смутила ее асимметричность (особенно на Coг. срезах), если думать что это Вирхова-Робина, то возможно это слабо выраженный периваскулярный глиоз.

Катенёв Валентин Львович аватар
Не на сайте
Был на сайте: 7 лет 3 недели назад
Зарегистрирован: 22.03.2008 - 22:15
Публикации: 54876

nnemo wrote:

Думаю, нет)

Часто встречаемая структура, не задумывался что "это" конкретно, наверное Робин-Вирховские

Вы подразумеваете Робин-Вирховские пространства?

nnemo аватар
Не на сайте
Был на сайте: 11 лет 1 месяц назад
Зарегистрирован: 13.09.2011 - 18:32
Публикации: 561

Катенёв Валентин Львович wrote:

nnemo wrote:

Думаю, нет)

Часто встречаемая структура, не задумывался что "это" конкретно, наверное Робин-Вирховские

Вы подразумеваете Робин-Вирховские пространства?

Да, подразумеваю их. Периваскулярные пространства=Virchow–Robin spaces.

Сегодня специально просматривал "просто пациентов" - встречаемость процентов 70, выраженность просто разная.

to ISSY - если Вы согласны, что "то, что мы видим" "то, что предполагается", то о каком глиозе может идти речь? Пространства Робина-Вирхова - это норма, к глиозу по-моему отношения не имеют. 

Катенёв Валентин Львович аватар
Не на сайте
Был на сайте: 7 лет 3 недели назад
Зарегистрирован: 22.03.2008 - 22:15
Публикации: 54876

Спасибо за поясние уважаемый коллега. Мы хоть и не в том прекрасном корабле, но нам все одно интересно.

iSSy аватар
Не на сайте
Был на сайте: 2 года 8 месяцев назад
Зарегистрирован: 05.10.2012 - 12:45
Публикации: 77

Иногда у пациентов с дисциркулятонной энцефалопатией по периферии расширенных периваскулярных пространств встречала линейное повышение нтенсивности МР-сигнала на Tirm, расценивала как периваскулярый глиоз, и у нескольких пациентов перенесших перинатальную энцефалопатию видела относительно симметричные зоны паравентрикулярного глиоза резидуального характера в области задних и иногда передних рогов. Поэтому и задумалась, увидив такую асимметричность интенсивности сигнала в этом случае, заподозрив "нерезко выраженный" глиоз справа.

Special.K аватар
Не на сайте
Был на сайте: 8 лет 10 месяцев назад
Зарегистрирован: 09.08.2012 - 23:08
Публикации: 479

1) господа МРТшники, если это расширенное вирхов-робиновское пространство, как вы объясните тот факт, что в TIRM последовательности сигнал от данного участка высокий? 

2) данная находка (единичный мелкий дисциркуляторный очаг) имеет мало практической ценности. не описали бы - ничего страшного. такие перивентрикулярные изменения бывают у очень многих людей и тяготеют к норме для тех, кто старше 40 лет.

3) термин "глиоз" - гистологический, и применять его в лучевой диагностике некорректно, ИМХО.  в дисциркуляторных очагах помимо глиоза находят и другие изменения.

Сергей Нагорный аватар
Не на сайте
Был на сайте: 9 лет 8 месяцев назад
Зарегистрирован: 13.07.2010 - 22:49
Публикации: 1370

Special.K wrote:

1) господа МРТшники, если это расширенное вирхов-робиновское пространство, как вы объясните тот факт, что в TIRM последовательности сигнал от данного участка высокий? 

2) данная находка (единичный мелкий дисциркуляторный очаг) имеет мало практической ценности. не описали бы - ничего страшного. такие перивентрикулярные изменения бывают у очень многих людей и тяготеют к норме для тех, кто старше 40 лет.

3) термин "глиоз" - гистологический, и применять его в лучевой диагностике некорректно, ИМХО.  в дисциркуляторных очагах помимо глиоза находят и другие изменения.

Согласен насчет мелкого очага. Если чел среднего возраста и старше, то такие единичные очаги (PVWML) - нормальное старени мозга. 

А по поводу термина "гистологического" зря Вы, IMHO. Большинство терминов, которыми приходится пользоваться в повседневной практике - гистологические. Например, менингиому Вы не напишете? Это же тоже гистологический диагноз. И т.д.

С уважением, С.Н. Нагорный

Сергей Нагорный аватар
Не на сайте
Был на сайте: 9 лет 8 месяцев назад
Зарегистрирован: 13.07.2010 - 22:49
Публикации: 1370

iSSy wrote:

Иногда у пациентов с дисциркулятонной энцефалопатией по периферии расширенных периваскулярных пространств встречала линейное повышение нтенсивности МР-сигнала на Tirm, расценивала как периваскулярый глиоз

Не путаете с последствиями лакунарных инфарктов? Если нет, то ок crying У таких пациентов нередко сочетание с лакунарами. Если ПВП это норма, то лакуны - это патология.

iSSy wrote:

у нескольких пациентов перенесших перинатальную энцефалопатию видела относительно симметричные зоны паравентрикулярного глиоза резидуального характера в области задних и иногда передних рогов. 

Почему паравентрикулярный? Если я правильно понял то, о чем Вы говорите, то правильный пермин - ПЕРИвентрикулрный или субэпендимальный глиоз.

С уважением, С.Н. Нагорный

Special.K аватар
Не на сайте
Был на сайте: 8 лет 10 месяцев назад
Зарегистрирован: 09.08.2012 - 23:08
Публикации: 479

Нагорный Сергей Николаевич wrote:

А по поводу термина "гистологического" зря Вы, IMHO. Большинство терминов, которыми приходится пользоваться в повседневной практике - гистологические. Например, менингиому Вы не напишете? Это же тоже гистологический диагноз. И т.д.

Согласен что лучевой диагност должен в своих заключениях предлагать гистологический ДД ряд.  по-крайней мере, я к этому стремлюсь.  но комментарий был именно по поводу глиоза, слышал от авторитетных людей, что термин "кривой" даже с гистологической точки зрения, поскольку эти очаги представлены зачастую не только глиозной тканью.

Helios аватар
Не на сайте
Был на сайте: 7 месяцев 3 недели назад
Зарегистрирован: 06.08.2010 - 15:16
Публикации: 4417

[quote=Special.K]

1) господа МРТшники, если это расширенное вирхов-робиновское пространство, как вы объясните тот факт, что в TIRM последовательности сигнал от данного участка высокий? 

Изначально была за глиоз.

iSSy аватар
Не на сайте
Был на сайте: 2 года 8 месяцев назад
Зарегистрирован: 05.10.2012 - 12:45
Публикации: 77

Спасибо всем огромное за комментарии. Кто-нибудь может разъеснить, в чем принципиальная разница между пара- и перивентрикулярными изменениями? 

Сергей Нагорный аватар
Не на сайте
Был на сайте: 9 лет 8 месяцев назад
Зарегистрирован: 13.07.2010 - 22:49
Публикации: 1370

iSSy wrote:

Спасибо всем огромное за комментарии. Кто-нибудь может разъеснить, в чем принципиальная разница между пара- и перивентрикулярными изменениями? 

Примерно такая же, как между пери- и паранефральной клетчаткой.

С уважением, С.Н. Нагорный

Helios аватар
Не на сайте
Был на сайте: 7 месяцев 3 недели назад
Зарегистрирован: 06.08.2010 - 15:16
Публикации: 4417

"Пара"-возле, "пери"-кругом, вокруг, около.

Катенёв Валентин Львович аватар
Не на сайте
Был на сайте: 7 лет 3 недели назад
Зарегистрирован: 22.03.2008 - 22:15
Публикации: 54876

nnemo wrote:

Да, подразумеваю их. Периваскулярные пространства=Virchow–Robin spaces.

Надо думать похоже?

 

Приложения: 
1.perivascular_spacesrasshirennye_perivaskulyarnye_prostranstva_v_mozge.jpg