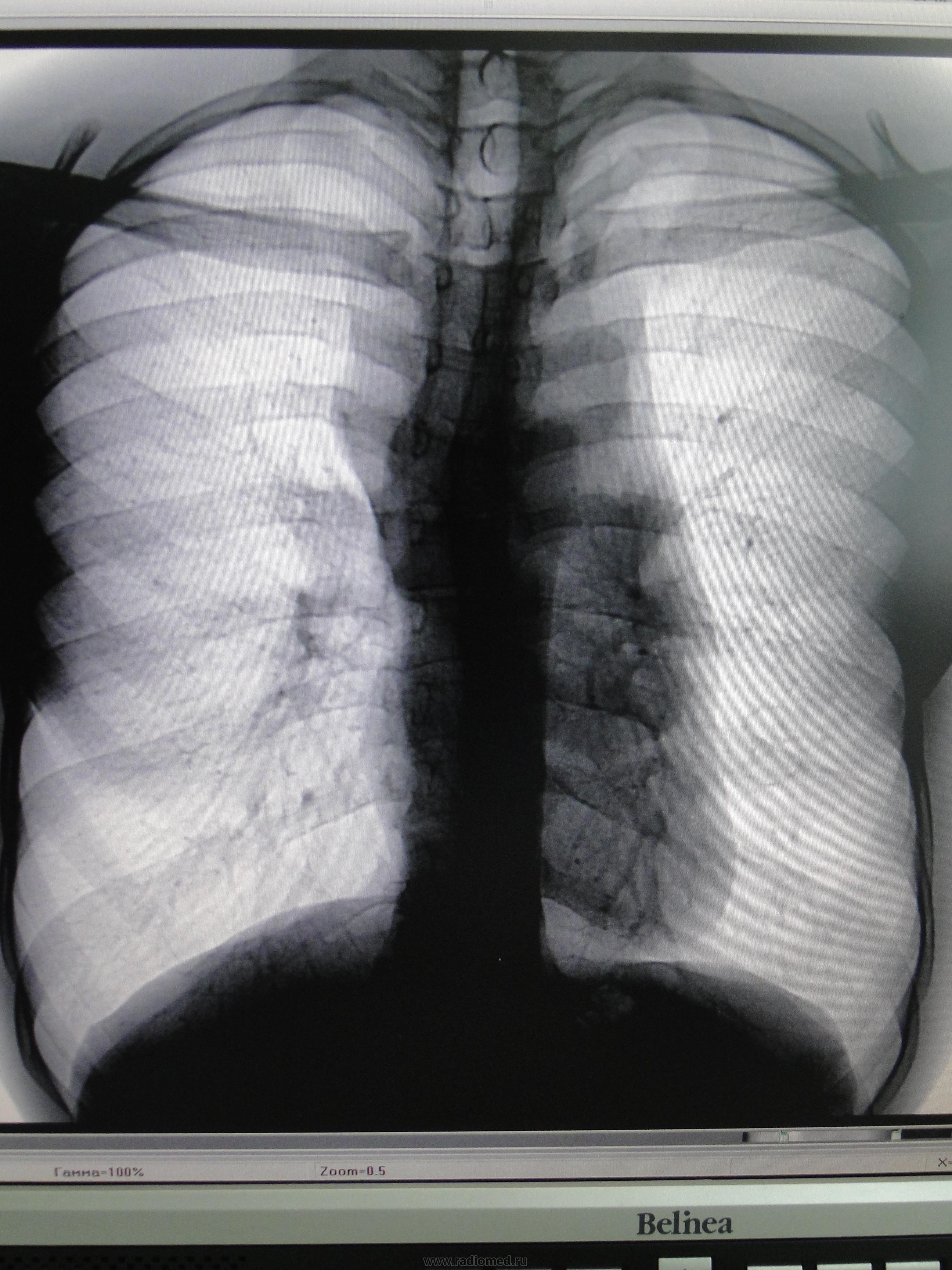
Парень, 22г, сегодня проходил профосмотр, вызван на дообследование.В архиве за 2004-05 описано "сглаживание талии cor", снимков не видела.Думаю о врожденной СС патологии.Что это может быть?
КТ - если есть возможность. И обязательно с контрастированием, т.к. помимо "паруса" в верхнем средостении мне кажутся и "шары". Не верится, что чистая тимома...
Остаётся присоединиться к мнению Виктора Григорьевича. Какого рода дообследование планируется?
К сожалению,пациент не мой( Но,думаю,для начала расспросить его самого: возможно,он уже знает о своем заболевании-вызывался на дообследование и раньше,но не являлся...не явился и в этот раз( У нас мы можем только боковой доснять и tg катнуть,на КТ отправляем в КДЦ-в принципе,довольно безпроблемно.
приходил сегодня этот мальчик на дообследование...а доктора не оказалось на месте(( НО! со слов лаборанта, с этими изменениями он наблюдается у кардиолога
Т.е. вы считаете, что данная рентгенологическая картина целиком и полностью укладывается в картину незаращения боталлова протока?!
"Типичные данные при рентгеноскопии: расширение второй левой дуги – увеличена тень легочной артерии и conus pulmonaiis правого желудочка, увеличение поперечника сердца за счет обоих желудочков, особенно правого."
И у пациента с открытым боталловым протоком не может быть другого заболевания, например, опухоли средостенья или ЛГМ?!
Т.е. вы считаете, что данная рентгенологическая картина целиком и полностью укладывается в картину незаращения боталлова протока?!
"Типичные данные при рентгеноскопии: расширение второй левой дуги – увеличена тень легочной артерии и conus pulmonaiis правого желудочка, увеличение поперечника сердца за счет обоих желудочков, особенно правого."
И у пациента с открытым боталловым протоком не может быть другого заболевания, например, опухоли средостенья или ЛГМ?!
Ну извините...
Присоединяюсь! Татьяна Валентиновна как всегда кратко и ёмко. Звездный час, таким образом, откладывается на неопределённое время)). Ну или надо найти аргументы изобразительного плана.
Хорошо,tatyana, я Вас извиняю... Далее пост N 10-11 "Т.е. вы считаете..." в данном случае не я считаю.Молодой человек проходил обследование в ККД,к его врожденной патологии ничего нового не добавлено
"Типичные данные при рентгеноскопии: расширение второй левой дуги – увеличена тень легочной артерии и conus pulmonaiis правого желудочка, увеличение поперечника сердца за счет обоих желудочков, особенно правого."
а разве каждое заболевание имеет четко определенную типичную картину?! Если бы это было так, то и большого ума не надо было бы. ... на Эхо пишут "минимальная митральная регургитация" И что?Вы видете на снимке типичную митральную конфигурацию сердца?
К снимку: Не согласны? имеете право,киньте свою мысль
а разве каждое заболевание имеет четко определенную типичную картину?! Если бы это было так, то и большого ума не надо было бы. ... на Эхо пишут "минимальная митральная регургитация" И что?Вы видете на снимке типичную митральную конфигурацию сердца? К снимку: Не согласны? имеете право,киньте свою мысль
Видите ли Кат, речь не о том, есть или нет открытый боталлов проток. А о том, что патогенез гемодинамических нарушений при открытом боталловом протоке, никак не объясняет расширение, структуру, характер контуров тени верхнего средостенья. Не согласны? тогда поясните, какие анатомические структуры ее образуют?
Эволюция незаращения боталлова протока или в ККД формально (хотела написать "хреново") обследуют?Вот вопрос...
Helios,вероятно,Вы правы и акцент на слове "хреново",но они-ККД) У нас сделали ему боковую: ретростернальное пространство свободно; в ср.\заднем средостении доп. образований не было определено. От tg мальчик отказался со словами : " Зачем я буду лишний раз облучатся, обследовался у них,стою на учете у кардиолога"
Kat, ретростернальное пространство было свободно и в нашем случае ( жаль, что это было давно, флюорограммы пленочные, 110х110-архив не сохранился), а оказался лимфогрануломатоз (верифицированный).
PS.Я не против, что у пациента может оказаться изолированная сердечная патология , но Вы же хороший доктор ,и сделаете все как надо-я уверена.
что-то мне подсказывает,что здесь чисто сосудистая патология...а что-то другое говорит,что надо его снова вызвать и уже самой убедиться....но есть еще "но"...как в анекдоте: в этой жизни никому нельзя доверять...даже себе)
что-то мне подсказывает,что здесь чисто сосудистая патология...а что-то другое говорит,что надо его снова вызвать и уже самой убедиться....но есть еще "но"...как в анекдоте: в этой жизни никому нельзя доверять...даже себе)
А тем более голосам, которые подсказывают вразнобой))
Однако, боковую проекцию надо бы показать сообществу. Это долг по минимуму.
Петрович, ну не ношу я "соньку" с собой постоянно-это раз,случай подсмотрела у коллеги-это два; сегодня попросила терапевта вызвать мальчика еще раз со всей поднаготной (все,что будет,все перефотаю))-это три...вот должна так должна))
Но, я-то думал боковая у вас в цифровом формате хранится..., где-то поблизости от прямой. Кстати, зачем "соньку" юзать, переснимая с монитора, если файл цифрового изображения можно экспортировать с вашего девайса, например на флэшку?
Но, я-то думал боковая у вас в цифровом формате хранится..., где-то поблизости от прямой. Кстати, зачем "соньку" юзать, переснимая с монитора, если файл цифрового изображения можно экспортировать с вашего девайса, например на флэшку?
Неужели не прав?
Петрович,не все так просто! Мы не ищем легких путей))у нас можно только на диск записать и то после последнего слета проги и этого низя) Первый снимок был на цифр.флюорографе,дообследование на пленках...
Вчера явился этот молодой человек.Из разговора: первые изменения на Rg были выявлены в 2007г при прохождении комиссии в военкомат,но все заканчивалось кардиологом.Примерно с того же времени беспокоят покалывания в груди.Принес только последние снимки (хотя просила результаты всех проведенных ранее исследований-от кардиолога и рентгенолога), боковой не качественный -с разворотом и жесткий,хотя постфактум можно рассмотреть.Сделала Tg: в передне-верхнем средостении образование 10*12 см с четким контуром,однородной структуры. Отправила на КТ -попросила вернуться с результатами и по возможности предыдущие пренести-обещал.Уверена,что вернется; результаты,естественно,выложу.
P.S. Какие-то странные чувства в душе от этого случая: и радость и разочарование()
P.S.S. "Вот что значит говорить очертя голову обо всем,чего ты не понимаешь и не можешь понять...." А.И.Герцен.
Вчера явился этот молодой человек.Из разговора: первые изменения на Rg были выявлены в 2007г при прохождении комиссии в военкомат,но все заканчивалось кардиологом.Примерно с того же времени беспокоят покалывания в груди.Принес только последние снимки (хотя просила результаты всех проведенных ранее исследований-от кардиолога и рентгенолога), боковой не качественный -с разворотом и жесткий,хотя постфактум можно рассмотреть.Сделала Tg: в передне-верхнем средостении образование 10*12 см с четким контуром,однородной структуры. Отправила на КТ -попросила вернуться с результатами и по возможности предыдущие пренести-обещал.Уверена,что вернется; результаты,естественно,выложу.
P.S. Какие-то странные чувства в душе от этого случая: и радость и разочарование()
P.S.S. "Вот что значит говорить очертя голову обо всем,чего ты не понимаешь и не можешь понять...." А.И.Герцен.
....еще и tatyana нагрубила((
Ну, вот чего-то наснимала, а нам опять не показала, переключившись на изложение своих переживаний. Придется ждать Попытку №3).
P.S. Заслуживает психоанализа)
P.S.S. Что Герцена не просто читаешь, но и осмысливаешь – одобрям!) Он полезному научит, как и Петрович)).
А коли видишь, что зря нагрубила tatyanе, то извинись). От этого всем лучше.
просветите про тимомы: меня интересует возраст в котором они встречаются?
по снимку-я бы сказала что там лимфоузлы, тем более что описание ранее "сглажена талия" никак не вяжется с тем. что сейчас. чтобы вообще можно было вести речь о врожденной патологии
Больше похоже на загрудинное образование, тимому или зоб. Боковой нужен. Линейная томография через корни и срединные боковые +\- 2-4 см в стороны.
https://www.youtube.com/channel/UCBGxoBUOqUT_bFhSeUgtWEw
Зоб- вряд ли, а вот тимому надо исключать, согласен с предложениями Людмилы Григорьевны.
Болезни ног: виды, симптомы, причины, профилактика и лечение
Здравствуйте.Верхнее средостение расширено,двумя руками за не редуцированную вилочковую железу
+1 - Тимома.
лимфогранулематоз или тимома
"самоуверенность дилетантов - предмет зависти профессионалов"
На КТ
без вопросов
"самоуверенность дилетантов - предмет зависти профессионалов"
КТ - если есть возможность. И обязательно с контрастированием, т.к. помимо "паруса" в верхнем средостении мне кажутся и "шары". Не верится, что чистая тимома...
https://www.youtube.com/channel/UCBGxoBUOqUT_bFhSeUgtWEw
Остаётся присоединиться к мнению Виктора Григорьевича. Какого рода дообследование планируется?
Снимок хорош, хотя и с монитора. А разве программа вашего аппарата не предусматривает экспорт файлов изображений?
Неоднозначно всё
К сожалению,пациент не мой( Но,думаю,для начала расспросить его самого: возможно,он уже знает о своем заболевании-вызывался на дообследование и раньше,но не являлся...не явился и в этот раз( У нас мы можем только боковой доснять и tg катнуть,на КТ отправляем в КДЦ-в принципе,довольно безпроблемно.
Временно отсутствую на сайте...
приходил сегодня этот мальчик на дообследование...а доктора не оказалось на месте(( НО! со слов лаборанта, с этими изменениями он наблюдается у кардиолога
Временно отсутствую на сайте...
Ненаказуемо)).
Пусть хоть у кардиолога, если другим он не интересен.
Неоднозначно всё
Сегодня приходил на дообследование... У мальчика ВПС: незарощение боталова протока
Временно отсутствую на сайте...
Т.е. вы считаете, что данная рентгенологическая картина целиком и полностью укладывается в картину незаращения боталлова протока?!
"Типичные данные при рентгеноскопии: расширение второй левой дуги – увеличена тень легочной артерии и conus pulmonaiis правого желудочка, увеличение поперечника сердца за счет обоих желудочков, особенно правого."
И у пациента с открытым боталловым протоком не может быть другого заболевания, например, опухоли средостенья или ЛГМ?!
Ну извините...
"самоуверенность дилетантов - предмет зависти профессионалов"
Присоединяюсь! Татьяна Валентиновна как всегда кратко и ёмко. Звездный час, таким образом, откладывается на неопределённое время)). Ну или надо найти аргументы изобразительного плана.
Неоднозначно всё
Хорошо,tatyana, я Вас извиняю... Далее пост N 10-11 "Т.е. вы считаете..." в данном случае не я считаю.Молодой человек проходил обследование в ККД,к его врожденной патологии ничего нового не добавлено
Временно отсутствую на сайте...
а разве каждое заболевание имеет четко определенную типичную картину?! Если бы это было так, то и большого ума не надо было бы. ... на Эхо пишут "минимальная митральная регургитация" И что?Вы видете на снимке типичную митральную конфигурацию сердца?
К снимку: Не согласны? имеете право,киньте свою мысль
Временно отсутствую на сайте...
Главное – спокойствие дорогие Дамы! И не забудьте про успокоительную чашечку кофе!
Вечером кину сюда снимки из атласа Артюшкова.
Неоднозначно всё
Какой интереснй боталлов проток. Картинка совсем для открытого протка не типичная, скорее атипичная, не характерная
Видите ли Кат, речь не о том, есть или нет открытый боталлов проток. А о том, что патогенез гемодинамических нарушений при открытом боталловом протоке, никак не объясняет расширение, структуру, характер контуров тени верхнего средостенья. Не согласны? тогда поясните, какие анатомические структуры ее образуют?
А мое мнение вы можете прочесть в посте №5
"самоуверенность дилетантов - предмет зависти профессионалов"
Дополнительный материал для «самотовки»).
Неоднозначно всё
Эволюция незаращения боталлова протока или в ККД формально (хотела написать "хреново") обследуют?Вот вопрос...
Helios,вероятно,Вы правы и акцент на слове "хреново",но они-ККД) У нас сделали ему боковую: ретростернальное пространство свободно; в ср.\заднем средостении доп. образований не было определено. От tg мальчик отказался со словами : " Зачем я буду лишний раз облучатся, обследовался у них,стою на учете у кардиолога"
Временно отсутствую на сайте...
А почему я не вижу здесь "боковую"?
Между тем Лето уже наступило. Даже в Заполярье, наверное...
Неоднозначно всё
Kat, ретростернальное пространство было свободно и в нашем случае ( жаль, что это было давно, флюорограммы пленочные, 110х110-архив не сохранился), а оказался лимфогрануломатоз (верифицированный).
PS.Я не против, что у пациента может оказаться изолированная сердечная патология , но Вы же хороший доктор ,и сделаете все как надо-я уверена.
что-то мне подсказывает,что здесь чисто сосудистая патология...а что-то другое говорит,что надо его снова вызвать и уже самой убедиться....но есть еще "но"...как в анекдоте: в этой жизни никому нельзя доверять...даже себе)
Временно отсутствую на сайте...
к тому же большинство здесь убеждено в "зле" как минимум-надо или опровергнуть или доказать...эх...
Временно отсутствую на сайте...
А тем более голосам, которые подсказывают вразнобой))
Неоднозначно всё
это паранойя
Временно отсутствую на сайте...
" ... и Тебя вылечат"(с)))
Однако, боковую проекцию надо бы показать сообществу. Это долг по минимуму.
Неоднозначно всё
Петрович, ну не ношу я "соньку" с собой постоянно-это раз,случай подсмотрела у коллеги-это два; сегодня попросила терапевта вызвать мальчика еще раз со всей поднаготной (все,что будет,все перефотаю))-это три...вот должна так должна))
Временно отсутствую на сайте...
Но, я-то думал боковая у вас в цифровом формате хранится..., где-то поблизости от прямой. Кстати, зачем "соньку" юзать, переснимая с монитора, если файл цифрового изображения можно экспортировать с вашего девайса, например на флэшку?
Неужели не прав?
Неоднозначно всё
Петрович,не все так просто! Мы не ищем легких путей))у нас можно только на диск записать и то после последнего слета проги и этого низя) Первый снимок был на цифр.флюорографе,дообследование на пленках...
Временно отсутствую на сайте...
Как трудно живётся Катюше. Дремучие порядки в вашем зоопарке ((.
А плёнки с дообследованием? Неужели отдали? И без запроса?
Неоднозначно всё
Петрович,хватить нудеть, все будет...возможно...
P.S.Как тебе моя новая аватарка?)) Тяжело было расставаться со шляпкой) но думаю,что шкурка леопарда мне тоже к лицу)))
Временно отсутствую на сайте...
Мяу! А что за парень рядом с тобой?
Неоднозначно всё
Вчера явился этот молодой человек.Из разговора: первые изменения на Rg были выявлены в 2007г при прохождении комиссии в военкомат,но все заканчивалось кардиологом.Примерно с того же времени беспокоят покалывания в груди.Принес только последние снимки (хотя просила результаты всех проведенных ранее исследований-от кардиолога и рентгенолога), боковой не качественный -с разворотом и жесткий,хотя постфактум можно рассмотреть.Сделала Tg: в передне-верхнем средостении образование 10*12 см с четким контуром,однородной структуры. Отправила на КТ -попросила вернуться с результатами и по возможности предыдущие пренести-обещал.Уверена,что вернется; результаты,естественно,выложу.
P.S. Какие-то странные чувства в душе от этого случая: и радость и разочарование()
P.S.S. "Вот что значит говорить очертя голову обо всем,чего ты не понимаешь и не можешь понять...." А.И.Герцен.
....еще и tatyana нагрубила((
Временно отсутствую на сайте...
Красавчик,правда)))
Временно отсутствую на сайте...
P.S. Заслуживает психоанализа)
P.S.S. Что Герцена не просто читаешь, но и осмысливаешь – одобрям!) Он полезному научит, как и Петрович)).
А коли видишь, что зря нагрубила tatyanе, то извинись). От этого всем лучше.
Неоднозначно всё
Неоднозначно всё
просветите про тимомы: меня интересует возраст в котором они встречаются?
по снимку-я бы сказала что там лимфоузлы, тем более что описание ранее "сглажена талия" никак не вяжется с тем. что сейчас. чтобы вообще можно было вести речь о врожденной патологии