Легкие, тест-провокация 2 + о косых снимках

Пол пациента: 
Тип патологии: 
Методы исследования: 

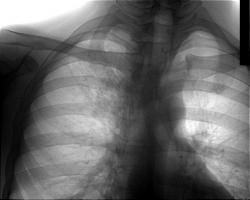
Пациенту за 30, жалоб нет, профосмотр, что-нибудь видите?

Изображение

Наталия аватар
Не на сайте
Был на сайте: 8 лет 7 месяцев назад
Зарегистрирован: 30.07.2008 - 13:24
Публикации: 538

Надо обследовать праваый корень.

В.Б. Серов аватар
Не на сайте
Был на сайте: 4 дня 10 часов назад
Зарегистрирован: 16.07.2008 - 10:15
Публикации: 1361

Может и надо, но есть более подозрительные изменения.

Зри в корень!

Наталия аватар
Не на сайте
Был на сайте: 8 лет 7 месяцев назад
Зарегистрирован: 30.07.2008 - 13:24
Публикации: 538

В головке корня очень подозрительно. Надо делать КТ.

Рыбакова Людмила Александровна аватар
Не на сайте
Был на сайте: 3 года 4 месяцев назад
Зарегистрирован: 31.07.2009 - 19:35
Публикации: 162

А правый бок и томограммы?

Наталия аватар
Не на сайте
Был на сайте: 8 лет 7 месяцев назад
Зарегистрирован: 30.07.2008 - 13:24
Публикации: 538

А зачем - надо сразу КТ. Может уже сделали.

Nela аватар
Не на сайте
Был на сайте: 6 лет 3 недели назад
Зарегистрирован: 12.05.2009 - 20:43
Публикации: 1847

ИзображениеВот это мне не нравится.

 

tatyana аватар
Не на сайте
Был на сайте: 4 года 1 месяц назад
Зарегистрирован: 24.06.2009 - 08:33
Публикации: 2090

Nela wrote:

ИзображениеВот это мне не нравится.

 

Ага, мне тоже! по прямому снимку просто таки - центральный c-r в/доли правого легкого с мтс в бронхопульмональные и трахеобронхиальные л/узлы. Еще как вариант - лимфопролиферативное заболевание (лимфогранулематоз?), саркоидоз

 а где обещаные косые и провокация? Опять что-то в кармане?!

 

"самоуверенность дилетантов - предмет зависти профессионалов"

В.Б. Серов аватар
Не на сайте
Был на сайте: 4 дня 10 часов назад
Зарегистрирован: 16.07.2008 - 10:15
Публикации: 1361

Изображение

Зри в корень!

В.Б. Серов аватар
Не на сайте
Был на сайте: 4 дня 10 часов назад
Зарегистрирован: 16.07.2008 - 10:15
Публикации: 1361

Первая увидела Nela, tatyna за ней. Смотрите косые.

Зри в корень!

tatyana аватар
Не на сайте
Был на сайте: 4 года 1 месяц назад
Зарегистрирован: 24.06.2009 - 08:33
Публикации: 2090

Ну мне от косых легче не стало: несколько нечеткий правый контур рукоятки грудины, но на фоне все тех же изменений легочного рисунка в в/доле...

P.S. А первой была Наталия...

"самоуверенность дилетантов - предмет зависти профессионалов"

В.Б. Серов аватар
Не на сайте
Был на сайте: 4 дня 10 часов назад
Зарегистрирован: 16.07.2008 - 10:15
Публикации: 1361

tatyana wrote:

Ну мне от косых легче не стало: несколько нечеткий правый контур рукоятки грудины, но на фоне все тех же изменений легочного рисунка в в/доле...

P.S. А первой была Наталия...

Разве изменение рисунка в верхушке и под ключицей (усиление, нечеткость с инфильтративным компонентом) не лучше видны на косых? Уж по крайней мере они подтверждаются. В чем Наталия была первой? Она что-то про корень писала, важнее все-таки изменение рисунка, учитывая локализацию, можно сделать вполне определенное предположение.

Зри в корень!

tatyana аватар
Не на сайте
Был на сайте: 4 года 1 месяц назад
Зарегистрирован: 24.06.2009 - 08:33
Публикации: 2090

В.Б. Серов wrote:

[Разве изменение рисунка в верхушке и под ключицей (усиление, нечеткость с инфильтративным компонентом) не лучше видны на косых? Уж по крайней мере они подтверждаются. В чем Наталия была первой? Она что-то про корень писала, важнее все-таки изменение рисунка, учитывая локализацию, можно сделать вполне определенное предположение.

Да, изменения легочного рисунка видны лучше на косой, тем не менее они видны и в прямой проекции... Кроме того есть расширение правого корня и затемнение правого трахеобронхиального угла, что также важно и игнорировать нельзя, а для этих двух симптомов боковая рентгенограмма и томография (линейная или компьютерная) дали бы больше информации, чем косой снимок, т.к. можно еще выявить объемное уменьшение, узловое образование, сужение бронха и т.д.

"самоуверенность дилетантов - предмет зависти профессионалов"

В.Б. Серов аватар
Не на сайте
Был на сайте: 4 дня 10 часов назад
Зарегистрирован: 16.07.2008 - 10:15
Публикации: 1361

tatyana wrote:

Кроме того есть расширение правого корня и затемнение правого трахеобронхиального угла, что также важно и игнорировать нельзя, а для этих двух симптомов боковая рентгенограмма и томография (линейная или компьютерная) дали бы больше информации, чем косой снимок, т.к. можно еще выявить объемное уменьшение, узловое образование, сужение бронха и т.д.

Категорически против боквой Р-гр в этом случае Рву и мечу! ничего не даст, кроме расходов и бесполезного облучения. Перечисленных признаков "расширение правого корня и затемнение правого трахеобронхиального угла" не вижу, не говорю, что их нет, но я их не вижу или не считаю достоверными. Да КТ "дали бы больше информации", кто спорит, но я говорю именно о косых снимках, в сравнении с боковыми они дают гораздо больше, вкупе с прямым могут достойно конкурировать с томографией, как конвенционной, так и компьютерной.

Вот, под занавес верхушки в лордозе

Изображение

отправил в ТД.

Зри в корень!

tatyana аватар
Не на сайте
Был на сайте: 4 года 1 месяц назад
Зарегистрирован: 24.06.2009 - 08:33
Публикации: 2090

ну-ну...

"самоуверенность дилетантов - предмет зависти профессионалов"

v1tal аватар
Не на сайте
Был на сайте: 4 года 9 месяцев назад
Зарегистрирован: 07.06.2008 - 19:41
Публикации: 1779

А правый корень то подтянут, а я бы для полного счастья ФБС по рекомендовалСмешно.

"Знаешь, у некоторых врачей есть комплекс мессии — им необходимо спасать мир. А у тебя комплекс Рубика — тебе необходимо решать головоломки."

Катенёв Валентин Львович аватар
Не на сайте
Был на сайте: 7 лет 2 недели назад
Зарегистрирован: 22.03.2008 - 22:15
Публикации: 54876

С точки зрения врача с глубокой периферии использовал-бы именно стандарт - Прямая + правая боковая. С учетом наличия очаговых теней справа в верхней доле (верхушка), безоговорочно произвел-бы линейную томографию в стандартных срезах, и возможно, с определенной степенью вероятности, выявил-бы "тубарь", возможно ошибаюсь, по поводу диагноза, но не ошибаюсь по поводу "стандарта".

А по поводу КТ - так КТ не везде есть, а диагноз, хотя-бы предварительный ставить надо.

В.Б. Серов аватар
Не на сайте
Был на сайте: 4 дня 10 часов назад
Зарегистрирован: 16.07.2008 - 10:15
Публикации: 1361

Катенёв Валентин Львович wrote:

С точки зрения врача с глубокой периферии использовал-бы именно стандарт - Прямая + правая боковая.

Валентиин Львович, вы хорошо знаете мою т.з. на "боковой стандарт", повторять ее не буду, да скорее туберкулез (подтверждения из ТД пока нет), да с конвенционной ТГ согласен.

Зри в корень!

Катенёв Валентин Львович аватар
Не на сайте
Был на сайте: 7 лет 2 недели назад
Зарегистрирован: 22.03.2008 - 22:15
Публикации: 54876

Владимир Борисович!

Да, ведь  никто и не спорит. Я несколько раз удивлялся информативности, представляемых Вами, косых рентгенограмм, которые несут довольно значительное количество информации. Я в своей практике, отдаю предпочтение томограммам, возможно потому, что, порой просто не имею времени "покрутить" пациента за экраном, порой, просто невозможно вклиниться в "поток пациентов", а по сему, боковая проекция для меня имеет не только чисто ритуальное значение, сколько отправная точка для выбора срезов для томографии.

OPEXOB аватар
Не на сайте
Был на сайте: 9 лет 11 месяцев назад
Зарегистрирован: 26.07.2008 - 10:02
Публикации: 280

Тянет на инфильтративный туберкулез S1-S2-S3 правого легкого.

В.Б. Серов аватар
Не на сайте
Был на сайте: 4 дня 10 часов назад
Зарегистрирован: 16.07.2008 - 10:15
Публикации: 1361

Звонил в ТД, оказывается делал КТ - инфильтративный беркулез.

Зри в корень!

Катенёв Валентин Львович аватар
Не на сайте
Был на сайте: 7 лет 2 недели назад
Зарегистрирован: 22.03.2008 - 22:15
Публикации: 54876

Зная Вашу объективность, у меня возник "дебильный вопрос" - какова роль КТ в постановке диагноза в данном случае?

В.Б. Серов аватар
Не на сайте
Был на сайте: 4 дня 10 часов назад
Зарегистрирован: 16.07.2008 - 10:15
Публикации: 1361

Полагаю заключительный этап - подтверждение диагноза, это уже фтизиатры выбирали тактику. Валентин Львович, странный вопрос, тогда позвольте спросить вас: зачем делаете конвенционную томографию? Больной при деньгах, конечно КТ эффективнее по разрешению.

Если вопрос с подтекстом - обойтись без КТ, так конечно, на безрыбье можно и без КТ, но возможность-то есть!

Зри в корень!

Катенёв Валентин Львович аватар
Не на сайте
Был на сайте: 7 лет 2 недели назад
Зарегистрирован: 22.03.2008 - 22:15
Публикации: 54876

Серов:

"Больной при деньгах, конечно КТ эффективнее по разрешению."

 

КТ ни при чем. Диагноз инфильтративного туберкулёза, нашими коллегами фтизиатрами был поставлен, по всей видимости, не благодаря "КТ", а благодаря обнаруженным "палкам".

Катенёв Валентин Львович аватар
Не на сайте
Был на сайте: 7 лет 2 недели назад
Зарегистрирован: 22.03.2008 - 22:15
Публикации: 54876

Хороший случай!