рак мочевого пузыря.цитология переходноклеточный рак.ваше мнение по поводу правой почки

Пол пациента: 
Область исследования: 
Методы исследования: 

экскретораная урография

Изображение Изображение Изображение

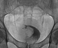
Фрагменты рентгенограмм с увеличение изображения мочевого пузыря.

 

1_M.P..jpg
1_M.P..jpg
2_m.p..jpg
2_m.p..jpg
3_m.p..jpg
3_m.p..jpg

 

 

 

 

 

 

 

 

 

 

 

 

 

 

 

 

 

 

 

 

 

 

Фрагменты рентгенограмм с увеличением изображения левой почки.

4_M.P..jpg
4_M.P..jpg
5_M.P..jpg
5_M.P..jpg
6_M.P..jpg
6_M.P..jpg

 

 

 

 

 

 

 

 

 

 

 

 

 

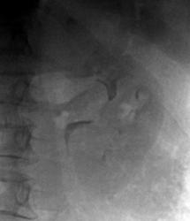
Фрагменты рентгенограмм с увеличением изображения правой почки.

ИзображениеИзображениеИзображение

 

ВложениеРазмер
Иконка изображения 1_M.P..jpg71 КБ
Иконка изображения 2_m.p..jpg50.11 КБ
Иконка изображения 3_m.p..jpg61.37 КБ
Иконка изображения 4_M.P..jpg38.71 КБ
Иконка изображения 5_M.P..jpg32.49 КБ
Иконка изображения 6_M.P..jpg37.17 КБ
Ермолаев аватар
Не на сайте
Был на сайте: 8 лет 10 месяцев назад
Зарегистрирован: 07.02.2009 - 16:33
Публикации: 670

Уважаемые коллеги! Увеличить урограммы не получается. Поэтому кроме дефекта наполнения мочевого пузыря органических и функциональных изменений со стороны почек не наблюдаю. Полостные системы равномерно контрастированы, не изменены. Пассаж контраста по обоим мочеточникам не нарушен. Если у Вас, Людмила Александровна, имеются сомнения, порекомендуйте выполнить УЗИ почек.

dok

Катенёв Валентин Львович аватар
Не на сайте
Был на сайте: 7 лет 2 недели назад
Зарегистрирован: 22.03.2008 - 22:15
Публикации: 54876

Сейчас все увеличим, усилим и расчленим.

v1tal аватар
Не на сайте
Был на сайте: 4 года 9 месяцев назад
Зарегистрирован: 07.06.2008 - 19:41
Публикации: 1779

Мне кажется или контуры правой почкиВ нерешительности  бугристые?

 

А ещё средняя группа чашечек как то четко не визуализируется, может сдавлена???7

"Знаешь, у некоторых врачей есть комплекс мессии — им необходимо спасать мир. А у тебя комплекс Рубика — тебе необходимо решать головоломки."

Катенёв Валентин Львович аватар
Не на сайте
Был на сайте: 7 лет 2 недели назад
Зарегистрирован: 22.03.2008 - 22:15
Публикации: 54876

Да. опухоль мочевого пузыря весьма больших размеров и занимает по всей видимости не менее 3/ объёма мочевого пузыря.

Катенёв Валентин Львович аватар
Не на сайте
Был на сайте: 7 лет 2 недели назад
Зарегистрирован: 22.03.2008 - 22:15
Публикации: 54876

Однозначно наличествует патология со стороны левой почки. Об этом свидетельствует отсутствие контрастирования лоханки (красные стрелки), а также отсутствие контрастирования чашечек среднего и нижнего бокалов (желтые стрелки). На месте чашечек бесформенные "лужицы" контрастного вещества, что прямо указывает на нарушение структуры. Нельзя не отметить некоторую эктазию верхней большой чашечки с "ампутацией" шейки.

 

Катенёв Валентин Львович аватар
Не на сайте
Был на сайте: 7 лет 2 недели назад
Зарегистрирован: 22.03.2008 - 22:15
Публикации: 54876

Тугого контрастирования почечной лоханки также не наблюдается, не контрастированы малые чашечки группы среднего бокала.

Изображение

По всей видимости, можно предположить наличие двустороннего воспалительного процесса лоханок.

v1tal аватар
Не на сайте
Был на сайте: 4 года 9 месяцев назад
Зарегистрирован: 07.06.2008 - 19:41
Публикации: 1779

Валентин Львович, а может сдавление и оттеснение, всё таки при воспалении вперую очередь видно реакцию малых чашечек?

"Знаешь, у некоторых врачей есть комплекс мессии — им необходимо спасать мир. А у тебя комплекс Рубика — тебе необходимо решать головоломки."

Катенёв Валентин Львович аватар
Не на сайте
Был на сайте: 7 лет 2 недели назад
Зарегистрирован: 22.03.2008 - 22:15
Публикации: 54876

Уважаемый коллега!

Я с Вами полностью согласен. Есть, и мы все это прекрасно знаем, что косвенно, спазм шеек чашечек указывает на наличие воспалительного процесса. Но на мой взгляд, в данном случае, есть и косвенные признаки функциональной недостаточности почечной паренхимы.

Рыбакова Людмила Александровна аватар
Не на сайте
Был на сайте: 3 года 5 месяцев назад
Зарегистрирован: 31.07.2009 - 19:35
Публикации: 162

Уважаемые коллеги, благодарю за высказанные мнения. Этот пациент был не мой. мне просто стало интересно: нет ли справа неполного удвоения почки ? как Вы думаете.

v1tal аватар
Не на сайте
Был на сайте: 4 года 9 месяцев назад
Зарегистрирован: 07.06.2008 - 19:41
Публикации: 1779

Если вы про это:

 Изображение

 

То это наложение кишечного содержимого, ни каких признаков нет на удвоение почек.

"Знаешь, у некоторых врачей есть комплекс мессии — им необходимо спасать мир. А у тебя комплекс Рубика — тебе необходимо решать головоломки."

Рыбакова Людмила Александровна аватар
Не на сайте
Был на сайте: 3 года 5 месяцев назад
Зарегистрирован: 31.07.2009 - 19:35
Публикации: 162

спасибо.УРА все ясно.