Мне ни когда не встречалось на скопии что бы петли тонкого кишечника так справа прям распологались, практически в проекции восходящего отдела ободочной кишки, может в этом дело ?
"Знаешь, у некоторых врачей есть комплекс мессии — им необходимо спасать мир. А у тебя комплекс Рубика — тебе необходимо решать головоломки."
Не, тоже не то. верхние снимки выполнены в положении стоя, последние в положении лёжа. Подсказка есть в самих снимках. Я извиняюсь за качество; у меня флюроскопия записывается в виде цифрового видео, пришлось "ловить стоп-кадры для публикации.
Да, вероятнее всего общая брыжейка. ДПК, а вернее дистальная треть её, не пошла полностью влево и переходит сразу в тощую с правой стороны. Я прав коллеги?
Колнечно, если-бы, обхорный снимок, исследуемой области был-бы стандартный, тогада можно было-бы высказаться более определенно.
1. Тень зонда.
2. Общая брыжжейка.
3. Сердце и желудок - по разные стороны, (то бишь инверсия чего-то). Или декстрокардия, а желудок слева. Или нормальное положенгие сердца, а желудок справа. Но это - с большой натяжкой.
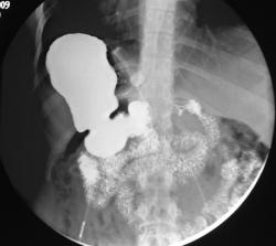
Общая брыжейка-да, наиболее вероятно. Но не это главная причина, по которой я опубликовал данное наблюдение. Инверсии нет; я уже указал что снимки это стоп-кадры с записи флюорографического исследования, поэтому получается зеркальное изображение. В случае инверсии, я конечно бы разместил обзорный снимок. Патология исключительно в желудке, и это наглядно видно. Я понимаю что "играю-немного-не-по-честному", но я сразу указал что это именно загадка. "Подсказка"-это не дренаж; пациентка пришла амбулаторно.
Я понимаю, что вдавления медиально, возможно извне, в верхней трети тела желудка могут быть патологией. Но у нас принято анализировать изображение желудка, выполненное не только в прямой проекции, а также в 1 и 2 косых и еще в левой боковой проекции, что в данном случае не представлено.
Валентин Львович, дело не в вдавлениях по медиальному краю; и конечно адекватная оценка состояния желудка невозможна без минимума стандартных проекции. Но, вся информация на основании которой можно догадаться о правильном ответе, есть на представленных снимках.
Предлагаю ознакомиться с этими картинками; они многое пояснят! Но, в моём наблюдении не просто ятрогения, но есть осложнение, постарайтесь логически догадаться какое.
Получается муфта соскользнула с желудка и уперлась в диафрагму, тем самым наверное поддавив абдоминальный сегмент пищевода ???? А вернее была наложено выше!
"Знаешь, у некоторых врачей есть комплекс мессии — им необходимо спасать мир. А у тебя комплекс Рубика — тебе необходимо решать головоломки."
В нашей клинике такие операцию делают штуки 2-3 в месяц. В специализированных клиниках по пластической хирургии, намного часто. Операция выполняется лапароскопическим доступом.
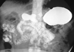
Да, в настоящее время считается одним из самых эффективных методов. Показан пациентам с 3ей и 4ой степенью ожирения. Принцип простой; на проксимальный сегмент желудка накидывается манжетка; которая как петля захватывает желудок; как бы создавая искусственный стеноз на уровне петли и формируя из верхней части маленький резервуар. Этот резервуар быстро наполняется малым количеством пищи; и пациент чувствует насыщение. Люди за год теряют до 30-40 кг. При помощи зонда и имплантированного под кожу аппликатора с физиологическим раствором, можно контролировать степень сужения (диаметра петли). Одно из самых распространённых осложнений при таких процедурах - синдром "соскальзывания" петли. Slipped gastric band syndrome.
Общая брыжжейка.
Мне ни когда не встречалось на скопии что бы петли тонкого кишечника так справа прям распологались, практически в проекции восходящего отдела ободочной кишки, может в этом дело ?
"Знаешь, у некоторых врачей есть комплекс мессии — им необходимо спасать мир. А у тебя комплекс Рубика — тебе необходимо решать головоломки."
Нет, проблема в желудке!
Let me see...
radiographia.ru
Тогда секунду!
А как это расценить???? Почему не контрастируется??
"Знаешь, у некоторых врачей есть комплекс мессии — им необходимо спасать мир. А у тебя комплекс Рубика — тебе необходимо решать головоломки."
Не, тоже не то. верхние снимки выполнены в положении стоя, последние в положении лёжа. Подсказка есть в самих снимках.
Я извиняюсь за качество; у меня флюроскопия записывается в виде цифрового видео, пришлось "ловить стоп-кадры для публикации.
Let me see...
radiographia.ru
Хм.. ещё антральный отдел не нравиться, ладно подожду что скажут другие, может я не внимательный
"Знаешь, у некоторых врачей есть комплекс мессии — им необходимо спасать мир. А у тебя комплекс Рубика — тебе необходимо решать головоломки."
подсказка )))
Let me see...
radiographia.ru
Да, вероятнее всего общая брыжейка. ДПК, а вернее дистальная треть её, не пошла полностью влево и переходит сразу в тощую с правой стороны. Я прав коллеги?
А разве это ни контуры какого то дренажа?
"Знаешь, у некоторых врачей есть комплекс мессии — им необходимо спасать мир. А у тебя комплекс Рубика — тебе необходимо решать головоломки."
М.б. в этом месте( стрелка с названием- подсказка) свищь или спайка?
Колнечно, если-бы, обхорный снимок, исследуемой области был-бы стандартный, тогада можно было-бы высказаться более определенно.
1. Тень зонда.
2. Общая брыжжейка.
3. Сердце и желудок - по разные стороны, (то бишь инверсия чего-то). Или декстрокардия, а желудок слева. Или нормальное положенгие сердца, а желудок справа. Но это - с большой натяжкой.
Общая брыжейка-да, наиболее вероятно. Но не это главная причина, по которой я опубликовал данное наблюдение. Инверсии нет; я уже указал что снимки это стоп-кадры с записи флюорографического исследования, поэтому получается зеркальное изображение. В случае инверсии, я конечно бы разместил обзорный снимок.
Патология исключительно в желудке, и это наглядно видно. Я понимаю что "играю-немного-не-по-честному", но я сразу указал что это именно загадка. "Подсказка"-это не дренаж; пациентка пришла амбулаторно.
Let me see...
radiographia.ru
Я понимаю, что вдавления медиально, возможно извне, в верхней трети тела желудка могут быть патологией. Но у нас принято анализировать изображение желудка, выполненное не только в прямой проекции, а также в 1 и 2 косых и еще в левой боковой проекции, что в данном случае не представлено.
Валентин Львович, дело не в вдавлениях по медиальному краю; и конечно адекватная оценка состояния желудка невозможна без минимума стандартных проекции. Но, вся информация на основании которой можно догадаться о правильном ответе, есть на представленных снимках.
Let me see...
radiographia.ru
У меня тут такие мысли навеяли, а это случаем ни как не косается абдоминального диализа?
"Знаешь, у некоторых врачей есть комплекс мессии — им необходимо спасать мир. А у тебя комплекс Рубика — тебе необходимо решать головоломки."
Нет, это не диализ. Но мысли в правильном направлении!!!
Let me see...
radiographia.ru
Остались мысли только о чрезкожном дренировании лоханки левой почки?
"Знаешь, у некоторых врачей есть комплекс мессии — им необходимо спасать мир. А у тебя комплекс Рубика — тебе необходимо решать головоломки."
Нет коллега, не то. Да и при чём тогда здесь желудок?
Let me see...
radiographia.ru
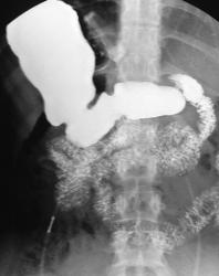
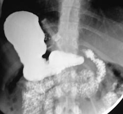
Предлагаю ознакомиться с этими картинками; они многое пояснят! Но, в моём наблюдении не просто ятрогения, но есть осложнение, постарайтесь логически догадаться какое.
Let me see...
radiographia.ru
Получается муфта соскользнула с желудка и уперлась в диафрагму, тем самым наверное поддавив абдоминальный сегмент пищевода
???? А вернее была наложено выше!
"Знаешь, у некоторых врачей есть комплекс мессии — им необходимо спасать мир. А у тебя комплекс Рубика — тебе необходимо решать головоломки."
Впервые вижу данное приспособление, в России наверно оно не распрастранено, поэтому мы и не сталкиваемся, а у вас часто такое делают пациентам?
"Знаешь, у некоторых врачей есть комплекс мессии — им необходимо спасать мир. А у тебя комплекс Рубика — тебе необходимо решать головоломки."
В нашей клинике такие операцию делают штуки 2-3 в месяц. В специализированных клиниках по пластической хирургии, намного часто. Операция выполняется лапароскопическим доступом.
Let me see...
radiographia.ru
Это борьба с ожирением? Марио, насколько эффективен такой метод?
Зри в корень!
Да, в настоящее время считается одним из самых эффективных методов. Показан пациентам с 3ей и 4ой степенью ожирения. Принцип простой; на проксимальный сегмент желудка накидывается манжетка; которая как петля захватывает желудок; как бы создавая искусственный стеноз на уровне петли и формируя из верхней части маленький резервуар. Этот резервуар быстро наполняется малым количеством пищи; и пациент чувствует насыщение. Люди за год теряют до 30-40 кг. При помощи зонда и имплантированного под кожу аппликатора с физиологическим раствором, можно контролировать степень сужения (диаметра петли). Одно из самых распространённых осложнений при таких процедурах - синдром "соскальзывания" петли. Slipped gastric band syndrome.
Let me see...
radiographia.ru
Бариатрия (от греч. baros — вес, тяжесть, и греч. iatrike — медицина) — раздел медицины, занимающийся лечением ожирения.
http://ru.wikipedia.org/wiki/%D0%91%D0%B0%D1%80%D0%B8%D0%B0%D1%82%D1%80%D0%B8%D1%8F
Зри в корень!
Интересное наблюдение.