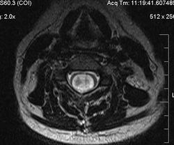
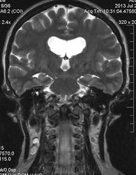
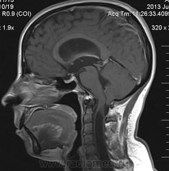
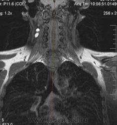
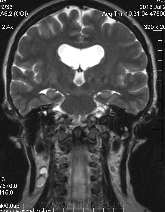
Сирингомиелия шейно-грудной локализации? Аномалия Арнольда-Киари I. Платибазия.

Пол пациента: 
Тип патологии: 
Методы исследования: 

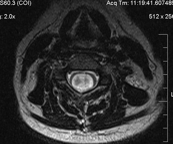
Убедительных данных за патологическое накопление контрастного препарата не выявлено. Кисты с повышенным содержанием белка (?), может быть бывают атеромы в области мягких тканей шеи (гиперинтенсивные по Т1 между мышцами шеи справа)?

  • https://radiomed.ru/sites/default/files/styles/case_slider_image/public/user/17109/1_1.jpeg?itok=hUDv45jm
  • https://radiomed.ru/sites/default/files/styles/case_slider_image/public/user/17109/3_1.jpeg?itok=DLhdXWnn
  • https://radiomed.ru/sites/default/files/styles/case_slider_image/public/user/17109/4_1.jpeg?itok=Dj8cxB2e
  • https://radiomed.ru/sites/default/files/styles/case_slider_image/public/user/17109/5_1.jpeg?itok=oW7oanaA
  • https://radiomed.ru/sites/default/files/styles/case_slider_image/public/user/17109/6_1.jpeg?itok=dONhFYcV
  • https://radiomed.ru/sites/default/files/styles/case_slider_image/public/user/17109/7_1.jpeg?itok=Wrqk5vOZ
  • https://radiomed.ru/sites/default/files/styles/case_slider_image/public/user/17109/8_1.jpeg?itok=49cY_vlK
  • https://radiomed.ru/sites/default/files/styles/case_slider_image/public/user/17109/9_1.jpeg?itok=cK3GzsOE
  • https://radiomed.ru/sites/default/files/styles/case_slider_image/public/user/17109/10_1.jpeg?itok=7DEe6ppW
  • https://radiomed.ru/sites/default/files/styles/case_slider_image/public/user/17109/11_1.jpeg?itok=UpiaWBO8
  • https://radiomed.ru/sites/default/files/styles/case_slider_image/public/user/17109/12_0.jpeg?itok=cpEPCk5_
  • https://radiomed.ru/sites/default/files/styles/case_slider_image/public/user/17109/13_0.jpeg?itok=CnGTf0yo
ID:30011
Special.K аватар
Не на сайте
Был на сайте: 8 лет 10 месяцев назад
Зарегистрирован: 09.08.2012 - 23:08
Публикации: 479

здоровенная сирингогидромиелитическая киста (по видимому, "высокого давления"), мальформация Киари 1.   также имеются признаки внутренней окклюзионной гидроцефалии.

iSSy аватар
Не на сайте
Был на сайте: 2 года 8 месяцев назад
Зарегистрирован: 05.10.2012 - 12:45
Публикации: 77

А уровень окклюзии на уровне БЗО?

Special.K аватар
Не на сайте
Был на сайте: 8 лет 10 месяцев назад
Зарегистрирован: 09.08.2012 - 23:08
Публикации: 479

iSSy wrote:

А уровень окклюзии на уровне БЗО?

Думаю, да. У человека наверняка сильно болит голова.

iSSy аватар
Не на сайте
Был на сайте: 2 года 8 месяцев назад
Зарегистрирован: 05.10.2012 - 12:45
Публикации: 77

Cпасибо большое, как вы думаете, это  кисты в области мягких тканей шеи справа (гиперинтеснивные по Т1 и Т2), или что-то другое?

Special.K аватар
Не на сайте
Был на сайте: 8 лет 10 месяцев назад
Зарегистрирован: 09.08.2012 - 23:08
Публикации: 479

морфологически- явно кистозные образования. А вот их происхождение - вопрос.