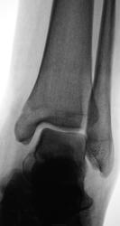
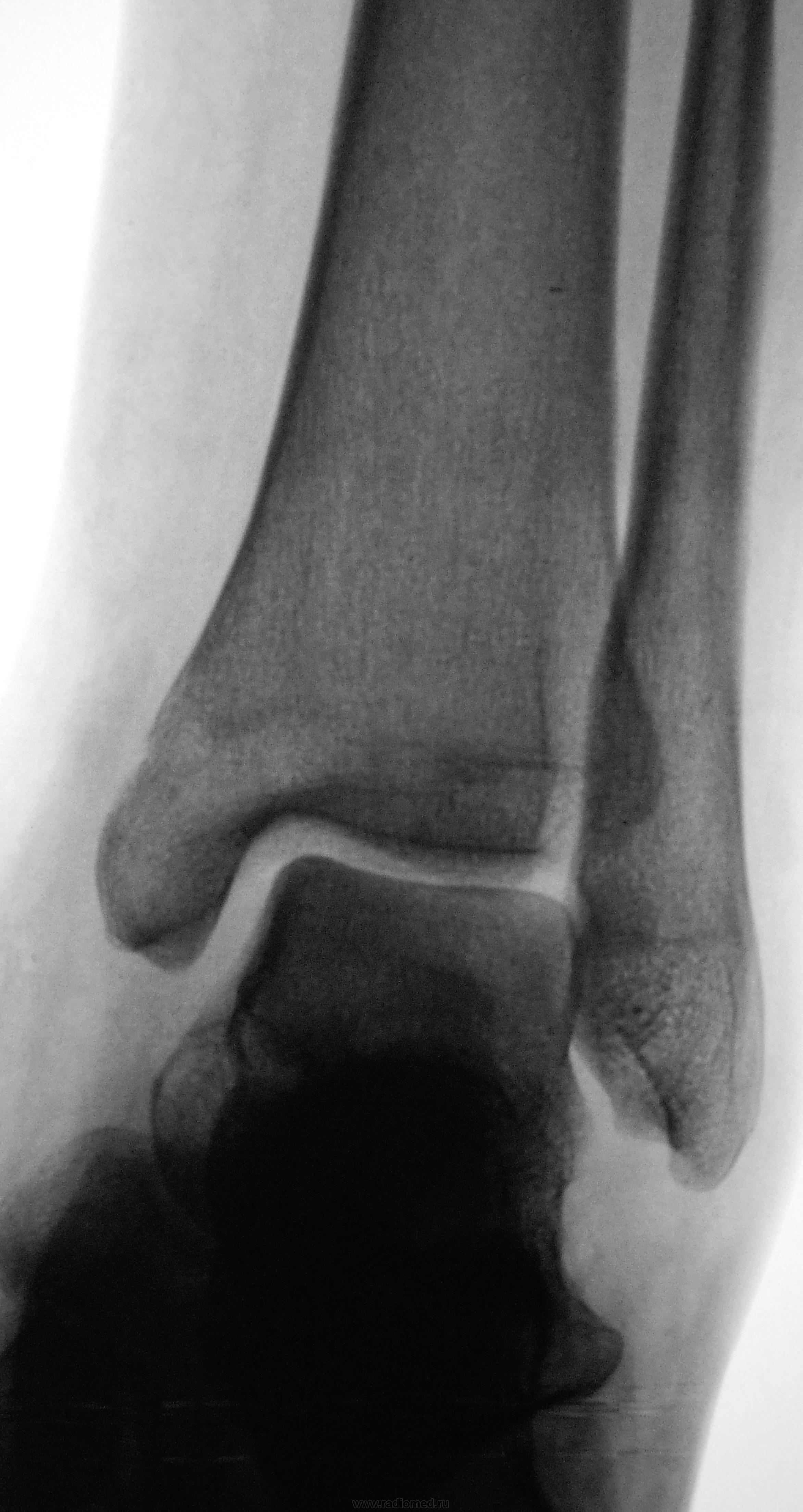
Пол пациента: Женский пол Тип патологии: Травма Область исследования: Скелетно-мышечная система Методы исследования: Rg Травма. Направлен на рентгенографию голеностопного сустава. https://radiomed.ru/sites/default/files/styles/case_slider_image/public/user/12/32.dscn0161.jpg?itok=Zz___wz0 ID:23393 Чт, 27/09/2012 - 17:34 #1 maker4ik Не на сайте Был на сайте: 8 лет 7 месяцев назад Зарегистрирован: 19.10.2011 - 17:49 Публикации: 2682 Разве есть где-то перелом? Чт, 27/09/2012 - 18:02 #2 Катенёв Валенти... Не на сайте Был на сайте: 7 лет 3 недели назад Зарегистрирован: 22.03.2008 - 22:15 Публикации: 54876 Я в сомнении, вот и выставил..., вроде нет... Чт, 27/09/2012 - 18:29 #3 Наталия Васильевна Не на сайте Был на сайте: 5 лет 9 месяцев назад Зарегистрирован: 25.09.2011 - 09:02 Публикации: 754 Катенёв Валентин Львович wrote: Я в сомнении, вот и выставил..., вроде нет... Думаю, что тоже "нет", небольшое краевые полоски типа дефектов за счет недавно закрывшихся зон роста. А болеть могут и разрывы связочного аппарата. Чт, 27/09/2012 - 19:00 #4 olle Не на сайте Был на сайте: 9 лет 9 месяцев назад Зарегистрирован: 07.10.2011 - 21:25 Публикации: 136 +1 за разрыв связок Чт, 27/09/2012 - 20:43 #5 Катенёв Валенти... Не на сайте Был на сайте: 7 лет 3 недели назад Зарегистрирован: 22.03.2008 - 22:15 Публикации: 54876 Я уже приготовился написать норму, но глаз упорно цеплялся за контур.Приложения: Чт, 27/09/2012 - 20:45 #6 Катенёв Валенти... Не на сайте Был на сайте: 7 лет 3 недели назад Зарегистрирован: 22.03.2008 - 22:15 Публикации: 54876 Сказал лаборанту сделать косую проекциюПриложения: Чт, 27/09/2012 - 21:28 #7 maker4ik Не на сайте Был на сайте: 8 лет 7 месяцев назад Зарегистрирован: 19.10.2011 - 17:49 Публикации: 2682 Катенёв Валентин Львович wrote: Сказал лаборанту сделать косую проекцию Респект за профессионализм! Чт, 27/09/2012 - 21:38 #8 Chrizalid Не на сайте Был на сайте: 1 год 9 месяцев назад Зарегистрирован: 04.03.2011 - 22:12 Публикации: 22 Только после последнего снимка и на стандартных проекциях, очень внимательно приглядевшись, увидел линию перелома... ..."Разруха не в стране, разруха в головах"... Чт, 27/09/2012 - 21:44 #9 Chrizalid Не на сайте Был на сайте: 1 год 9 месяцев назад Зарегистрирован: 04.03.2011 - 22:12 Публикации: 22 Линия переломаПриложения: ..."Разруха не в стране, разруха в головах"... Пт, 28/09/2012 - 18:26 #10 Наталия Васильевна Не на сайте Был на сайте: 5 лет 9 месяцев назад Зарегистрирован: 25.09.2011 - 09:02 Публикации: 754 Снимаю шляпу! Я думала, что этот контур закрывшаяся зона роста.
Разве есть где-то перелом?
Я в сомнении, вот и выставил..., вроде нет...
Думаю, что тоже "нет", небольшое краевые полоски типа дефектов за счет недавно закрывшихся зон роста. А болеть могут и разрывы связочного аппарата.
+1 за разрыв связок
Я уже приготовился написать норму, но глаз упорно цеплялся за контур.
Сказал лаборанту сделать косую проекцию
Респект за профессионализм!
Только после последнего снимка и на стандартных проекциях, очень внимательно приглядевшись, увидел линию перелома...
..."Разруха не в стране, разруха в головах"...
Линия перелома
..."Разруха не в стране, разруха в головах"...
Снимаю шляпу! Я думала, что этот контур закрывшаяся зона роста.