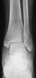
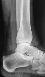
Пол пациента: Мужской пол Тип патологии: Травма Область исследования: Скелетно-мышечная система Методы исследования: Rg Травма. Пациент направлен на рентгенографию голеностопного сустава. https://radiomed.ru/sites/default/files/styles/case_slider_image/public/user/12/2.p4180015.jpg?itok=-HTogZ0n ID:21012 Пнд, 30/04/2012 - 13:14 #1 doktor-rentgen Не на сайте Был на сайте: 9 лет 2 месяцев назад Зарегистрирован: 06.07.2010 - 20:56 Публикации: 640 Перелом латеральной и задней(краевой перелом) лодыжки. А что за очаги просветления в метадиафизе б/б кости? Пнд, 30/04/2012 - 19:16 #2 Дмитрий К Не на сайте Был на сайте: 6 лет 5 месяцев назад Зарегистрирован: 27.10.2011 - 10:17 Публикации: 120 + перелом пяточной кости Пнд, 30/04/2012 - 21:18 #3 doktor-rentgen Не на сайте Был на сайте: 9 лет 2 месяцев назад Зарегистрирован: 06.07.2010 - 20:56 Публикации: 640 Дмитрий К wrote: + перелом пяточной кости Ткните где перелом, пожалуйста Втр, 01/05/2012 - 00:12 #4 Александр Викторович Не на сайте Был на сайте: 8 лет 2 недели назад Зарегистрирован: 31.07.2010 - 13:05 Публикации: 639 doktor-rentgen wrote: Дмитрий К wrote: + перелом пяточной кости Ткните где перелом, пожалуйста пятка цела Втр, 01/05/2012 - 13:52 #5 surgeon23 Не на сайте Был на сайте: 13 лет 6 месяцев назад Зарегистрирован: 25.04.2012 - 17:09 Публикации: 69 задний край и латеральная лодыжка. Пятка целая перемены - это единственное постоянство, которое нам дано Втр, 01/05/2012 - 20:54 #6 Катенёв Валенти... Не на сайте Был на сайте: 7 лет 4 недели назад Зарегистрирован: 22.03.2008 - 22:15 Публикации: 54876 surgeon23 wrote: задний край и латеральная лодыжка. Пятка целая Да, "кусочек" от задней лодышки не отвалился, но перелом есть.
Перелом латеральной и задней(краевой перелом) лодыжки. А что за очаги просветления в метадиафизе б/б кости?
+ перелом пяточной кости
Ткните где перелом, пожалуйста
задний край и латеральная лодыжка. Пятка целая
перемены - это единственное постоянство, которое нам дано
Да, "кусочек" от задней лодышки не отвалился, но перелом есть.