Пол пациента:
Тип патологии:
Область исследования:
Методы исследования:
- https://radiomed.ru/sites/default/files/styles/case_slider_image/public/user/12/2.p8180005a_0.jpg?itok=oQoA1RzF
- https://radiomed.ru/sites/default/files/styles/case_slider_image/public/user/12/3.p8180006_0.jpg?itok=V899KHYd
- https://radiomed.ru/sites/default/files/styles/case_slider_image/public/user/12/4.p8180006a.jpg?itok=ijgrOdlR
- https://radiomed.ru/sites/default/files/styles/case_slider_image/public/user/12/5.p8180006ab.jpg?itok=ZKI0GsZs
- https://radiomed.ru/sites/default/files/styles/case_slider_image/public/user/12/6.p8180007.jpg?itok=tNMuLwP0
- https://radiomed.ru/sites/default/files/styles/case_slider_image/public/user/12/7.p8180007a.jpg?itok=RAj3Ybcm
- https://radiomed.ru/sites/default/files/styles/case_slider_image/public/user/12/8.p8180008.jpg?itok=KayRBj2Y
- https://radiomed.ru/sites/default/files/styles/case_slider_image/public/user/12/9.p8180008a.jpg?itok=vOXxENYF
ID:5612
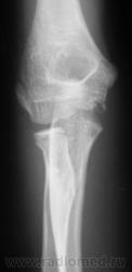
Бедный александр александрович ((( уу еще и олекранон...вообще ни одной целой кости.
Виктор.
перелом голоки лучевой кости
Перелом шейки луча без смещения.
https://www.instagram.com/pediatricradiology/
Виктор.
+1!
--------------
"Просто, по видимости, не видеть логики в очевидных вещах - это тоже одно из свойств некоторых умов, наряду с грустными думами о свойствах ума других." © Vega 08/10/2011
телу- мера, душе-Вера
Я не знаю александра александровича, но думаю по зонам роста -он молодой человек. + ко всему вышесказанному добавлю эпифизиолиз головки луча, перелом мыщелков плеча, ну и отмеченные вами шейка луча и локтевой отросток. Далее в проекции м/тканей , с латеральной стороны определяется отломок ? обызвествлённая связка?- в последнем случае это может быть старая ( м.б спортивная?) травма
телу- мера, душе-Вера
Сколько лет пациенту?
Хочешь сделать что-то нормально - сделай это сам!
11-13 лет.
Эпифизеолиз медиального вала блока плечевой кости + эпифизеолиз головки лучевой кости.
Хочешь сделать что-то нормально - сделай это сам!
Снят ГИПС. Пациентка направлена на контрольную рентгенографию.
Какие будут мнения уважаемые коллеги?
да медиальный надмыщелок не стоит на месте
А, гипс снят не рано?
А где же он стоит? как раз на месте. Сломана была шейка луча.
https://www.instagram.com/pediatricradiology/
на1-2мм ниже. но это не принципиально, главное как локоть работает клинически.
Ткните пальцем на картинке, если не трудно, где вы увидели перелом шейки луча?
Хочешь сделать что-то нормально - сделай это сам!
вот.
Спасибо, понял.
Хочешь сделать что-то нормально - сделай это сам!
Ola-la "рулит", но это не так важно, главное начать раннюю разработку сустава, долго в гипсе держать нельзя.
Кстати, на сайте имеется довольно не плохая подборка особенностей "детских переломов".
у детей иногда и клиники нет, а переломы ого какие, у них многое по другому