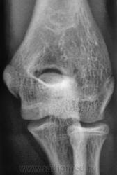
Травма. Пациент направлен на рентгенографию локтевого сустава.

Пол пациента: 
Тип патологии: 
Область исследования: 
Методы исследования: 

Травма.  Пациент направлен на рентгенографию локтевого сустава.

  • https://radiomed.ru/sites/default/files/styles/case_slider_image/public/user/12/12.pc090021.jpg?itok=WXUS9dh1
  • https://radiomed.ru/sites/default/files/styles/case_slider_image/public/user/12/13.pc090016.jpg?itok=bZ1pIi5h
  • https://radiomed.ru/sites/default/files/styles/case_slider_image/public/user/12/14.pc090016a.jpg?itok=QtITV0rF
  • https://radiomed.ru/sites/default/files/styles/case_slider_image/public/user/12/15.pc090017.jpg?itok=Y7tDqRig
  • https://radiomed.ru/sites/default/files/styles/case_slider_image/public/user/12/16.pc090017a.jpg?itok=83kuHVwQ
  • https://radiomed.ru/sites/default/files/styles/case_slider_image/public/user/12/17.pc090019.jpg?itok=m2eXK0-s
  • https://radiomed.ru/sites/default/files/styles/case_slider_image/public/user/12/18.pc090020.jpg?itok=Nn_0ApT6
ID:10055
Helios аватар
Не на сайте
Был на сайте: 7 месяцев 2 недели назад
Зарегистрирован: 06.08.2010 - 15:16
Публикации: 4417

Ну сломал локтевой отросток-с кем не бывает.

Катенёв Валентин Львович аватар
Не на сайте
Был на сайте: 7 лет 2 недели назад
Зарегистрирован: 22.03.2008 - 22:15
Публикации: 54876

А, вот на пленке видно не было.

Александр Викторович аватар
Не на сайте
Был на сайте: 8 лет 5 дней назад
Зарегистрирован: 31.07.2010 - 13:05
Публикации: 639

А мне не очень нравится головка и шейка луча.

Шаба аватар
Не на сайте
Был на сайте: 3 года 4 месяцев назад
Зарегистрирован: 19.08.2010 - 22:01
Публикации: 122

а внутренний надмыщелок?

Vega аватар
Не на сайте
Был на сайте: 3 месяцев 1 неделя назад
Зарегистрирован: 22.01.2009 - 19:16
Публикации: 1087

Надмыщелок, кажется, действительно отломан. А вот других повреждений не вижу.

ЛГ аватар
Не на сайте
Был на сайте: 8 лет 10 месяцев назад
Зарегистрирован: 06.01.2010 - 12:31
Публикации: 3523

А мне в таких случаях нужна сравнительная рентгенография здорового сустава. 

Helios аватар
Не на сайте
Был на сайте: 7 месяцев 2 недели назад
Зарегистрирован: 06.08.2010 - 15:16
Публикации: 4417

Мы не знаем возраста пациента.Судя по зонам роста-молодой.По поводу надмыщелка-см.И.Королюка.

Ola-la аватар
Не на сайте
Был на сайте: 10 месяцев 1 неделя назад
Зарегистрирован: 06.12.2008 - 09:33
Публикации: 1786

А мне кажется, что здесь норма.

Катенёв Валентин Львович аватар
Не на сайте
Был на сайте: 7 лет 2 недели назад
Зарегистрирован: 22.03.2008 - 22:15
Публикации: 54876

А. как быть с прерывистостью контура?

Ola-la аватар
Не на сайте
Был на сайте: 10 месяцев 1 неделя назад
Зарегистрирован: 06.12.2008 - 09:33
Публикации: 1786

Там проходит ростковая зона.