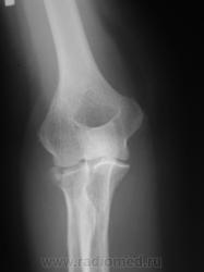
Травма. Пациент направлен на рентгенографию локтевого сустава.

Пол пациента: 
Тип патологии: 
Область исследования: 
Методы исследования: 

Травма. Пациент направлен на рентгенографию локтевого сустава.

  • https://radiomed.ru/sites/default/files/styles/case_slider_image/public/user/12/2.p1240003.jpg?itok=x9ddUp0B
  • https://radiomed.ru/sites/default/files/styles/case_slider_image/public/user/12/3.p1240002.jpg?itok=JBXoAeVG
  • https://radiomed.ru/sites/default/files/styles/case_slider_image/public/user/12/4.p1240002a.jpg?itok=yHMzVkDM
  • https://radiomed.ru/sites/default/files/styles/case_slider_image/public/user/12/5.p1240002-1.jpg?itok=bAgNIXVi
  • https://radiomed.ru/sites/default/files/styles/case_slider_image/public/user/12/6.p1240002-1a.jpg?itok=TDwT1CcG
  • https://radiomed.ru/sites/default/files/styles/case_slider_image/public/user/12/7.p1240004.jpg?itok=pxhG86xA
  • https://radiomed.ru/sites/default/files/styles/case_slider_image/public/user/12/8.p1240004a.jpg?itok=mZKiECOl
  • https://radiomed.ru/sites/default/files/styles/case_slider_image/public/user/12/9.p1240004-1.jpg?itok=NodxVkuB
  • https://radiomed.ru/sites/default/files/styles/case_slider_image/public/user/12/10.p1240004-1a.jpg?itok=sceBOPAO
ID:11473
Александр Викторович аватар
Не на сайте
Был на сайте: 8 лет 1 неделя назад
Зарегистрирован: 31.07.2010 - 13:05
Публикации: 639

перелом головки луча, встречается не так и часто.

Светлана Васильченко аватар
Не на сайте
Был на сайте: 12 лет 9 месяцев назад
Зарегистрирован: 17.01.2011 - 21:54
Публикации: 91

Внутрисуставной,краевой перелом головки лучевой кости.