Урография. Прошу помощи, прошу совета.

Пол пациента: 
Тип патологии: 
Область исследования: 
Методы исследования: 

Урография.  Прошу помощи, прошу совета.

  • https://radiomed.ru/sites/default/files/styles/case_slider_image/public/user/12/2.201308300041.jpg?itok=Wi5F4-fZ
  • https://radiomed.ru/sites/default/files/styles/case_slider_image/public/user/12/3.201201010042.jpg?itok=0U0-raWb
  • https://radiomed.ru/sites/default/files/styles/case_slider_image/public/user/12/4.201308300043.jpg?itok=Kd26_jaa
  • https://radiomed.ru/sites/default/files/styles/case_slider_image/public/user/12/5.201201010047.jpg?itok=DeAHEFaV
  • https://radiomed.ru/sites/default/files/styles/case_slider_image/public/user/12/6.201308300048.jpg?itok=gqYvJUby
ID:31335
Катенёв Валентин Львович аватар
Не на сайте
Был на сайте: 7 лет 2 недели назад
Зарегистрирован: 22.03.2008 - 22:15
Публикации: 54876

Известно.

Молодая женщина направлена в рентгеновский кабинет для производства внутривенной урографии, после того, как при УЗИ исследовании был обнаружен конкремент, якобы в мочеточнике.

Беспокоят боли в поясничной области и дизурические явления в виде частого мочеиспускания. Мочеиспускания довольно частые, малыми порциями (за 20 минут - 3 раза).

Установлено, что все вышеперечисленное началось после обычных физиологических родов, ручного вмешательства не было.

Алексей Станиславович аватар
Не на сайте
Был на сайте: 5 лет 10 месяцев назад
Зарегистрирован: 11.08.2012 - 20:33
Публикации: 1903

А что не устраивает, Валентин Львович? Был, вероятно,в мочеточнике, теперь - в его устье...

С уважением, smiley

maker4ik аватар
Не на сайте
Был на сайте: 8 лет 7 месяцев назад
Зарегистрирован: 19.10.2011 - 17:49
Публикации: 2682

Чем так сдавлен мочевой пузырь?

Катенёв Валентин Львович аватар
Не на сайте
Был на сайте: 7 лет 2 недели назад
Зарегистрирован: 22.03.2008 - 22:15
Публикации: 54876

maker4ik wrote:

Чем так сдавлен мочевой пузырь?

Вот это и не устраивает.

Катенёв Валентин Львович аватар
Не на сайте
Был на сайте: 7 лет 2 недели назад
Зарегистрирован: 22.03.2008 - 22:15
Публикации: 54876

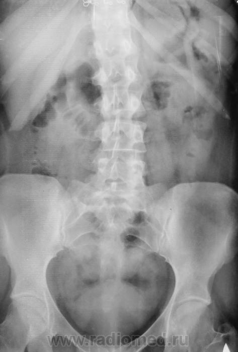
Камешек понятно, более уверенно справа, менее уверенно слева - желтые стрелки.

Но, что за объём давит сверху - зеленые стрелки.

Приложения: 
11.201308300044.jpg12.201308300045.jpg13.201308300046.jpg
Катенёв Валентин Львович аватар
Не на сайте
Был на сайте: 7 лет 2 недели назад
Зарегистрирован: 22.03.2008 - 22:15
Публикации: 54876

Да, некоторая эктация справа имеет место быть, чем она вызвана, тем мелким конкрементом который бы давно плюхнулся в мочевой пузырь, или чем то другим?

Что это "светлое", помеченное желтыми стрелками, газосодержание раздавливаемое "объёмом" в прямой кишке?

Что это более "темное", помеченное бирюзовыми стрелками, нависшее над "светлым?

Перед исследованием пациентка мочилась, сом отправил посмотрев обзорку. Во время исследования (за 15 минут) еще два раза помочилась.

Что давит, какие предположения уважаемые коллеги?

Приложения: 
6.201308300048.jpg
Катенёв Валентин Львович аватар
Не на сайте
Был на сайте: 7 лет 2 недели назад
Зарегистрирован: 22.03.2008 - 22:15
Публикации: 54876

Совсем мне не понятно почему мочеточник справа (частично эктазированный) контрастированный туго на всем протяжении, не прослеживается на участке, помеченном красными стрелками, как раз перед так называемым "конкрементом" в правом устье, хотя должно было бы быть наоборот. Может эта часть отдавлена, раздевлена? Чем?

Приложения: 
14.201308300049.jpg15.201308300050.jpg16._sovsem_mne..jpg
Алексей Станиславович аватар
Не на сайте
Был на сайте: 5 лет 10 месяцев назад
Зарегистрирован: 11.08.2012 - 20:33
Публикации: 1903

Давно ли были роды? 

С уважением, smiley

Катенёв Валентин Львович аватар
Не на сайте
Был на сайте: 7 лет 2 недели назад
Зарегистрирован: 22.03.2008 - 22:15
Публикации: 54876

Точно не знаю - месяц, или два тому.

Алексей Станиславович аватар
Не на сайте
Был на сайте: 5 лет 10 месяцев назад
Зарегистрирован: 11.08.2012 - 20:33
Публикации: 1903

Кроме матки, больше здесь нечему быть. Не думаю, что содержит газ в указанных местах, скорее - не полностью шарообразная.

С уважением, smiley

Катенёв Валентин Львович аватар
Не на сайте
Был на сайте: 7 лет 2 недели назад
Зарегистрирован: 22.03.2008 - 22:15
Публикации: 54876

УЗИ делалось вот вот, по всей видимости в соседнем районе, по всей видимости в платной. Ничего "мать бы их", кроме камешка не узрели.

Алексей Станиславович аватар
Не на сайте
Был на сайте: 5 лет 10 месяцев назад
Зарегистрирован: 11.08.2012 - 20:33
Публикации: 1903

Матка поддавливает мочеточник, не создается адекватное гидродинамическое давление над камнем, и он торчит в устье.

С уважением, smiley

Катенёв Валентин Львович аватар
Не на сайте
Был на сайте: 7 лет 2 недели назад
Зарегистрирован: 22.03.2008 - 22:15
Публикации: 54876

Алексей Станиславович wrote:

Кроме матки, больше здесь нечему быть. 

На матка бы на УЗИ была бы видна?

Катенёв Валентин Львович аватар
Не на сайте
Был на сайте: 7 лет 2 недели назад
Зарегистрирован: 22.03.2008 - 22:15
Публикации: 54876

Алексей Станиславович wrote:

Матка поддавливает мочеточник, не создается адекватное гидродинамическое давление над камнем, и он торчит в устье.

Это понятно, а суперчастые мочеиспускания? Понятно объём мочевого пузыря уменьшен из-за сдавливания, но только этим не объяснить...

Алексей Станиславович аватар
Не на сайте
Был на сайте: 5 лет 10 месяцев назад
Зарегистрирован: 11.08.2012 - 20:33
Публикации: 1903

Катенёв Валентин Львович wrote:

Алексей Станиславович wrote:

Кроме матки, больше здесь нечему быть. 

На матка бы на УЗИ была бы видна?

Уж если гидроторакс не виден... К тому же, у некоторых УЗИстов есть фишка: сказано, смотреть почки - смотрю почки. На матку не обращаю внимания (да еще и не знаю, что там смотреть...)

С уважением, smiley

Алексей Станиславович аватар
Не на сайте
Был на сайте: 5 лет 10 месяцев назад
Зарегистрирован: 11.08.2012 - 20:33
Публикации: 1903

Катенёв Валентин Львович wrote:

Алексей Станиславович wrote:

Матка поддавливает мочеточник, не создается адекватное гидродинамическое давление над камнем, и он торчит в устье.

Это понятно, а суперчастые мочеиспускания? Понятно объём мочевого пузыря уменьшен из-за сдавливания, но только этим не объяснить...

Ну, а камень-то из устья никуда не делся...

С уважением, smiley

Dima аватар
Не на сайте
Был на сайте: 7 лет 2 месяцев назад
Зарегистрирован: 05.08.2012 - 17:39
Публикации: 2467

Первое предположение: матка увеличена, врач УЗИ собрал анамнез, в анамнезе роды 2 мес назад, он думает норма, а раз норма не чего писать, что бы не вводить в заблуждение других...

Терпимость - это когда прощают чужие ошибки; такт - когда не замечают их. (Артур Шницлер)

Катенёв Валентин Львович аватар
Не на сайте
Был на сайте: 7 лет 2 недели назад
Зарегистрирован: 22.03.2008 - 22:15
Публикации: 54876

Dima wrote:

Первое предположение: матка увеличена, врач УЗИ собрал анамнез, в анамнезе роды 2 мес назад, он думает норма, а раз норма не чего писать, что бы не вводить в заблуждение других...

Но ведь не норма?

Любовь С. аватар
Не на сайте
Был на сайте: 9 лет 5 месяцев назад
Зарегистрирован: 23.12.2010 - 01:58
Публикации: 2324

Камень устья правого мочеточника. Справа гидронефроз I ст. Остальное норма. Кишка+матка, больше ничего не угляделось.

ПыСы. Если есть сомнения - УЗИ малого таза. Может, там ретрофлексио... да что угодно, а задача урографии выполнена.

"Предоставляя весь смысл и совершенство в распоряжение одного только Бога, вы избавляете себя от бездны хлопот." Джон Уитборн.

stovbav аватар
Не на сайте
Был на сайте: 2 года 2 месяцев назад
Зарегистрирован: 20.12.2009 - 17:28
Публикации: 7066

1.За 9 месяцев беременности матка увеличивается в размерах более чем в 500 раз, а после родов постепенно возвращается к своему прежнему состоянию.

2.Для возвращения матки в добеременные размеры в среднем требуется 1,5-2,5 месяца.

3.Но бывает, что матка после родов не сокращается или сокращается очень медленно. Точнее, чаще всего встречается именно сниженная способность матки к сокращению (гипотония матки), а полный паралич маточных мышц (атония) встречается реже. 

4.Увеличенная матка в данном случае сдавливает мочеточники.

5. Чем быстрее матка вернется к своим прежним размерам, тем быстрее купируется данная колика.

Катенёв Валентин Львович аватар
Не на сайте
Был на сайте: 7 лет 2 недели назад
Зарегистрирован: 22.03.2008 - 22:15
Публикации: 54876

Спасибо коллеги!

Almo аватар
Не на сайте
Был на сайте: 10 часов 23 минуты назад
Зарегистрирован: 28.09.2008 - 18:50
Публикации: 8259

Валентин Львоич, что конкретно написано в в заключении по УЗИ : где предполагается наличие конкремента? слева или справа? Если справа в какой трети мочеточника? ( верхней, средней или нижней ). Каков размер конкаремента? Может кто-либо из коллег, точно показать на экскреторных урограммах  конкремент в устье правого мочеточника?

Катенёв Валентин Львович аватар
Не на сайте
Был на сайте: 7 лет 2 недели назад
Зарегистрирован: 22.03.2008 - 22:15
Публикации: 54876

По УЗИ конкремент справа в нижней трети мочеточника

 

Приложения: 
1._konkrement_sprava.jpg
Катенёв Валентин Львович аватар
Не на сайте
Был на сайте: 7 лет 2 недели назад
Зарегистрирован: 22.03.2008 - 22:15
Публикации: 54876

Именно врач УЗИ рекомендовал проведение внутривенной урографии.

Almo аватар
Не на сайте
Был на сайте: 10 часов 23 минуты назад
Зарегистрирован: 28.09.2008 - 18:50
Публикации: 8259

Спасибо, за ответ!А, какой размер конкремента указали на УЗИ, не могли бы назвать ?Я бы порекомендовал пациентке консультацию уролога.

Катенёв Валентин Львович аватар
Не на сайте
Был на сайте: 7 лет 2 недели назад
Зарегистрирован: 22.03.2008 - 22:15
Публикации: 54876

Пациентка едет на консультацию к урологу в областную больницу на следующей неделе.

На мой взгляд, не только уролог должен разбираться, но и гинеколог...

maker4ik аватар
Не на сайте
Был на сайте: 8 лет 7 месяцев назад
Зарегистрирован: 19.10.2011 - 17:49
Публикации: 2682

Я так думаю, что есть 3 вида УЗИ: гинекологическое, брюшной полости и почек. Если она делала в платной и оплатила почки, то вполне естественно, что про матку никто и не заикнулся.

Алексей Станиславович аватар
Не на сайте
Был на сайте: 5 лет 10 месяцев назад
Зарегистрирован: 11.08.2012 - 20:33
Публикации: 1903

maker4ik wrote:

Я так думаю, что есть 3 вида УЗИ: гинекологическое, брюшной полости и почек. Если она делала в платной и оплатила почки, то вполне естественно, что про матку никто и не заикнулся.

Ничего тут "естественного" нет. При проведения УЗИ почек и обнаружении расширения мочеточника мы ОБЯЗАНЫ осмотреть мочеточник и дойти до его устья, которое при наполненном пузыре тоже описать, как и описать сопутствующие причины нарушения оттока. Это стандарт, не зависящий от вида оплаты исследования (нал, безнал, ДМС, ОМС). 

С уважением, smiley

Mitkampfer аватар
Не на сайте
Был на сайте: 11 лет 1 месяц назад
Зарегистрирован: 27.07.2010 - 07:43
Публикации: 1454

Еще матка увеличена при аденомиозе. 

Не ограничивайте свою мысль

Живешь пока учишься

Ecrasez l’infame

Катенёв Валентин Львович аватар
Не на сайте
Был на сайте: 7 лет 2 недели назад
Зарегистрирован: 22.03.2008 - 22:15
Публикации: 54876

Mitkampfer wrote:

Еще матка увеличена при аденомиозе. 

+1

По всей видимости не только при аденомиозе?

stovbav аватар
Не на сайте
Был на сайте: 2 года 2 месяцев назад
Зарегистрирован: 20.12.2009 - 17:28
Публикации: 7066

Катенёв Валентин Львович wrote:

Mitkampfer wrote:

Еще матка увеличена при аденомиозе. 

+1

По всей видимости не только при аденомиозе?

1.Вопрос о состоянии матки необходимо задать акушеру-гинекологу- отвечают ли ТАКИЕ ее размеры ТАКОМУ сроку после родов.

2. Не следует забывать, что беременность и МКБ - достаточно сложная проблема, и тут вопрос - то, что беременность нарушает уродинамику, особенно в больших сроках, понятно, но не срабатывает ли "бумеранг" сейчас, когда наличиствующая колика ЗАМЕДЛЯЕТ сокращение матки (не забывайте о том, что очевидно и ЛЕЧЕНИЕЕ проводится, как оно влияет на тонус?)

И.Бондаренко аватар
Не на сайте
Был на сайте: 5 часов 30 минут назад
Зарегистрирован: 13.09.2011 - 22:55
Публикации: 9206

Катенёв Валентин Львович wrote:

УЗИ делалось вот вот, по всей видимости в соседнем районе, по всей видимости в платной. Ничего "мать бы их", кроме камешка не узрели.

Не узрели скорее всего из-за того, что не заказывали женский малый таз. Что написано в протоколе УЗИ.

stovbav аватар
Не на сайте
Был на сайте: 2 года 2 месяцев назад
Зарегистрирован: 20.12.2009 - 17:28
Публикации: 7066

И.Бондаренко wrote:

Катенёв Валентин Львович wrote:

УЗИ делалось вот вот, по всей видимости в соседнем районе, по всей видимости в платной. Ничего "мать бы их", кроме камешка не узрели.

Не узрели скорее всего из-за того, что не заказывали женский малый таз. Что написано в протоколе УЗИ.

Скажу, почему "не узрели", потому, что большинство УЗИстов, не в обиду будь сказано, любят решать "проблемки", а не проблемы ...как это увидеть ТАКОЙ камень в н\трети (!) (это сложно, нужны навыки, опыт и т.д) на фоне ТАКОЙ матки (о состоянии которой - ноль)...вот это проблема.

stovbav аватар
Не на сайте
Был на сайте: 2 года 2 месяцев назад
Зарегистрирован: 20.12.2009 - 17:28
Публикации: 7066

И.Бондаренко wrote:

Катенёв Валентин Львович wrote:

УЗИ делалось вот вот, по всей видимости в соседнем районе, по всей видимости в платной. Ничего "мать бы их", кроме камешка не узрели.

Не узрели скорее всего из-за того, что не заказывали женский малый таз. Что написано в протоколе УЗИ.

Так камень то - в этом самом ТАЗУ!

Mitkampfer аватар
Не на сайте
Был на сайте: 11 лет 1 месяц назад
Зарегистрирован: 27.07.2010 - 07:43
Публикации: 1454

Не люблю узистов.

Не ограничивайте свою мысль

Живешь пока учишься

Ecrasez l’infame

stovbav аватар
Не на сайте
Был на сайте: 2 года 2 месяцев назад
Зарегистрирован: 20.12.2009 - 17:28
Публикации: 7066

Mitkampfer wrote:
Не люблю узистов.

Сказать так же не могу....или так...не всех)))))

во - первых - в течении почти 10 лет одновременно с рентгенологией занимался и УЗИ (да и диссертация комплексная - рентгено-УЗИшнаяwink);

во-вторых - вот уже 19 лет работаю в ДИАГНОСТИЧЕСКОМ отделении, составляющей которого является и УЗИ служба, но это КОМПЛЕСКНЫЙ подход, причем сплошь и рядом - совместные осмотры или паралельные осмотры с последующим совместным обсуждением, точно так же - и с эндоскопистом)

Вот где то так))))

Mitkampfer аватар
Не на сайте
Был на сайте: 11 лет 1 месяц назад
Зарегистрирован: 27.07.2010 - 07:43
Публикации: 1454

Все равно, не люблю УЗИстов. smiley

Не ограничивайте свою мысль

Живешь пока учишься

Ecrasez l’infame

Алексей Станиславович аватар
Не на сайте
Был на сайте: 5 лет 10 месяцев назад
Зарегистрирован: 11.08.2012 - 20:33
Публикации: 1903

Mitkampfer wrote:

Все равно, не люблю УЗИстов. smiley

А что нас любить - мы не рубли...))) Ещё раз скажу - с УЗИстом (своим) работать надо. Потыкать носом в косяки. Сказать, что надо, что ожидалось. Может, и пересмотреть вместе спорный случай с указанием зоны интереса. Если молодому рентгенологу (любому специалисту) не указывать на его косяки, он тоже будет считать, что все хорошо, и он классный доктор. Но вот с рентгенолога мы требуем, и объясняем претензии, а УЗИстов - просто не любим, и все...

С уважением, smiley

Катенёв Валентин Львович аватар
Не на сайте
Был на сайте: 7 лет 2 недели назад
Зарегистрирован: 22.03.2008 - 22:15
Публикации: 54876

Алексей Станиславович wrote:

УЗИстов - просто не любим, и все...

Так то еще вопрос, за что не любят (не любим)...