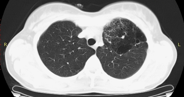
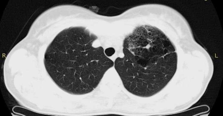
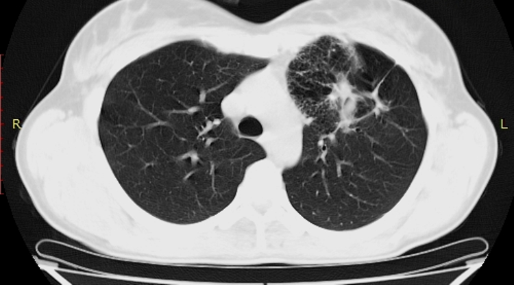
Вероятная причина "сотовости"?

Пол пациента: 
Тип патологии: 

Женщина 35 лет. Жалоб нет. Профилактическая ФГ - дополнительная тень у головки левого корня (снимок пленочный, маленький...не переснимал, так как вряд ли удасться добиться хорошего качества). Подняты пленочные ФГ за 2009 и 2010 гг - есть небольшая деформация легочного рисунка и просветления без четкой контурации у левого корня (естественно - все это ретроспективно, с учетом уже известной информации).

ФБС - локальный эндобронхит С1-2 слева...и это все. Промывные воды взяты. ждем результата.

  • https://radiomed.ru/sites/default/files/styles/case_slider_image/public/user/2667/img-0002-00001_1.jpg?itok=rUs1BnvW
  • https://radiomed.ru/sites/default/files/styles/case_slider_image/public/user/2667/img-0003-00001_1.jpg?itok=7kTburfr
  • https://radiomed.ru/sites/default/files/styles/case_slider_image/public/user/2667/img-0004-00001_0.jpg?itok=KGv5rzPu
  • https://radiomed.ru/sites/default/files/styles/case_slider_image/public/user/2667/img-0005-00001_0.jpg?itok=vIRrO6PK
  • https://radiomed.ru/sites/default/files/styles/case_slider_image/public/user/2667/img-0006-00001_0.jpg?itok=Ar9LEKo6
  • https://radiomed.ru/sites/default/files/styles/case_slider_image/public/user/2667/img-0007-00001.jpg?itok=KSWbw3j5
  • https://radiomed.ru/sites/default/files/styles/case_slider_image/public/user/2667/img-0008-00001.jpg?itok=5ogPYP_B
  • https://radiomed.ru/sites/default/files/styles/case_slider_image/public/user/2667/img-0009-00001.jpg?itok=I8DoJG8i
  • https://radiomed.ru/sites/default/files/styles/case_slider_image/public/user/2667/img-0010-00001.jpg?itok=jhrfTeww
  • https://radiomed.ru/sites/default/files/styles/case_slider_image/public/user/2667/img-0011-00001.jpg?itok=9W5TTs0J
ID:56890
lady.zhaneta аватар
Не на сайте
Был на сайте: 1 год 1 месяц назад
Зарегистрирован: 06.07.2011 - 21:54
Публикации: 232

Виктор Григорьевич, а синдром скимитара (гипогенезия) не может в том числе и так выглядеть?

Я по КТ не специалист, подождём что они скажут?

stovbav аватар
Не на сайте
Был на сайте: 2 года 2 месяцев назад
Зарегистрирован: 20.12.2009 - 17:28
Публикации: 7066

Так и я не специалист, а помощь нужна.....не сколько мне, сколько пациентке....

Андрей Юрьевич аватар
Не на сайте
Был на сайте: 1 неделя 6 часов назад
Зарегистрирован: 16.11.2008 - 22:16
Публикации: 18098

Это НЕ "сотовое легкое"

Андрей Юрьевич

ЛГ аватар
Не на сайте
Был на сайте: 8 лет 10 месяцев назад
Зарегистрирован: 06.01.2010 - 12:31
Публикации: 3523

Отправлять на нормальную КТ с контрастом. Думаю, будет аномалия сосудов, дисгенезия легкого слева. Представленных картинок явно недостаточно, нужны сканы в средостенном окне с контрастом.

stovbav аватар
Не на сайте
Был на сайте: 2 года 2 месяцев назад
Зарегистрирован: 20.12.2009 - 17:28
Публикации: 7066

Андрей Юрьевич. я всего лишь повторил определение, использованое в описании специалистами КТ.

Тогда второй вопрос, что ЭТО?

Встречалось ли Вам подобное БЕЗСИМПТОМНОЕ изменение легочной ткани?

Может ли все ЭТО быть проявлением, к примеру, фиброзирующего альвеолита?

stovbav аватар
Не на сайте
Был на сайте: 2 года 2 месяцев назад
Зарегистрирован: 20.12.2009 - 17:28
Публикации: 7066

Отправили на КТ с контрастированием...ничего нового...о сосудах ни слова....

ЛГ аватар
Не на сайте
Был на сайте: 8 лет 10 месяцев назад
Зарегистрирован: 06.01.2010 - 12:31
Публикации: 3523

Давайте дайком с контрастом, покумекаем)

stovbav аватар
Не на сайте
Был на сайте: 2 года 2 месяцев назад
Зарегистрирован: 20.12.2009 - 17:28
Публикации: 7066

Организуем и Дайком...но не сразу...оригиналы на руках у пациентки...свяжусь, попрошу залить куда либо и дать ссылку.

ЛГ аватар
Не на сайте
Был на сайте: 8 лет 10 месяцев назад
Зарегистрирован: 06.01.2010 - 12:31
Публикации: 3523

Нужно папку с дайкомом заархивировать в zip или rar, залить на файлообменник. Можно скинуть мне ссылку (на вашей почте мой адрес), я анонимизирую и дам ссылку сюда.

Сольвейг аватар
Не на сайте
Был на сайте: 3 года 5 месяцев назад
Зарегистрирован: 05.02.2013 - 20:25
Публикации: 2239

Можно подумать  об артерио-венозной мальформации.Тем более имеются характерные изменения в окружающей лёгочной ткани и прилежащих бронхах. Конечно, нужно контрастировать.

stovbav аватар
Не на сайте
Был на сайте: 2 года 2 месяцев назад
Зарегистрирован: 20.12.2009 - 17:28
Публикации: 7066

Контрастировали в тот же день..или на другой день...все есть...постараюсь выставить или решить вопрос заливки на файлообменник.

алкс аватар
Не на сайте
Был на сайте: 10 лет 3 недели назад
Зарегистрирован: 24.10.2012 - 22:55
Публикации: 2915

Явно аномалия, нет сомнений. Но секвестрация сомнительна, хотя....
 

А. Горюнов аватар
Не на сайте
Был на сайте: 1 месяц 3 дня назад
Зарегистрирован: 07.10.2012 - 12:12
Публикации: 2744

Пока, без Дайкома, можно предположить БЭЛ (локальную).

Анатолий Петрович

stovbav аватар
Не на сайте
Был на сайте: 2 года 2 месяцев назад
Зарегистрирован: 20.12.2009 - 17:28
Публикации: 7066

Извините за невежество...а это что БЭЛ....бронхоэктазы легких?

А. Горюнов аватар
Не на сайте
Был на сайте: 1 месяц 3 дня назад
Зарегистрирован: 07.10.2012 - 12:12
Публикации: 2744

БЭЛ: Буллезная эмфизема легких. Причины: от воспалительных процессов до врожденных ферментативных нарушений.

Анатолий Петрович

stovbav аватар
Не на сайте
Был на сайте: 2 года 2 месяцев назад
Зарегистрирован: 20.12.2009 - 17:28
Публикации: 7066

Булезная эмфизема?....можно было бы и согласиться....но отрицательная динамика в виде появления дополнительной тени...прежде всего за счет л\узлов, как мне кажется....без наличия какой либо клиники - так ли это характерно для эмфиземы?

Almo аватар
Не на сайте
Был на сайте: 6 часов 29 минут назад
Зарегистрирован: 28.09.2008 - 18:50
Публикации: 8259

имхо:скорее всего гипогенезия верхней доли левого лёгкого  с  буллезно-фиброзными проявлениями.

Сольвейг аватар
Не на сайте
Был на сайте: 3 года 5 месяцев назад
Зарегистрирован: 05.02.2013 - 20:25
Публикации: 2239

Уважаемый Виктор Григорьевич! Надеюсь, расскажете, если что-то прояснится? Интересно.

stovbav аватар
Не на сайте
Был на сайте: 2 года 2 месяцев назад
Зарегистрирован: 20.12.2009 - 17:28
Публикации: 7066

Пациентка консультируется в Киеве....будет что известно...сообщу.