Пол пациента:
Тип патологии:
Область исследования:
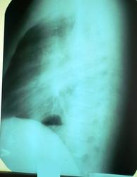
Мужчина, 40 лет. Жалуется на сильный кашель, задышку, сильную боль в левой половине грудной клетки. Ослабленный, худой, температура 37,1 - 37,3. Над левым легким, со слов терапевтов, не слышно ничего вообще. Меня терапевты, чесно признаюсь, запутали и торопили, хотя правильная мысль о диагнозе изначально была. Сделать томку не дали. Какие у кого будут мнения?
Средостение смещено влево,первая мысль о раке с выпотом.Сбоку-желудок?Там горизонтальный уровень.Может быть сочетание онкологии и диафрагмальной грыжы.Барий надо.
+1
Первая мысль об уменьшении объёма нижней доли, и впечатление пристеночного выпота (?) по задней поверхности. Не понял, что значит: не дали? Куда спешили, куда дели?
С уважением,
Озвучили примерно так, мол вызов консультантов до 12 00 (а снимки были на руках в 11 55), отдайте нам снимки и заключение, мы спешим, а потом дообследуйте, как хотите. Ну я диф ряд и рекомендации отдал и все. Больше никто не приходил)
"Обучая других - учишься сам". Н.И.Пирогов
Справа повышенная воздушность легочной ткани. Слева легкое уменьшено в объеме, органы средостения смещены влево - вероятнее всего ателектаз (центральная форма рака?).
Спешка нужка только при ловле блох.... Раз прислали на обследование, значит сидите и ждите!!!!
Плюсую за центральную обструкцию нижнедолевого бронха
Verum plus uno esse non potest.
Согласен. Однозначно.
Болезни ног: виды, симптомы, причины, профилактика и лечение
Надо исключать центральный рак. Газовый пузырь желудка поднят, скорее всего, из-за высокого стояния левого купола.
Плюсую
Сила цифровой обработки
Спасибо коллеги, все единогласно подумали правильно. Завтра выложу КТ.
"Обучая других - учишься сам". Н.И.Пирогов
Вот КТ.
http://files.mail.ru/18C23F5985D34860BD8D734231EFD0C7
Рачище.
"Обучая других - учишься сам". Н.И.Пирогов