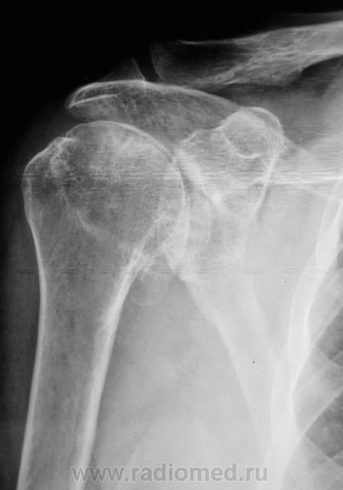
Жалобы на длительные боли в плечевом суставе

Пол пациента: 
Тип патологии: 
Область исследования: 
Методы исследования: 

Жалобы на длительные боли в плечевом суставе

  • https://radiomed.ru/sites/default/files/styles/case_slider_image/public/user/12/2.201310110002.4.jpg?itok=eUWIYXZy
  • https://radiomed.ru/sites/default/files/styles/case_slider_image/public/user/12/3.201201010005_0.jpg?itok=iz6B4_cK
  • https://radiomed.ru/sites/default/files/styles/case_slider_image/public/user/12/4.201310110006.jpg?itok=-xqTv5tb
ID:32377
Сергей Кузьминов аватар
Не на сайте
Был на сайте: 1 год 1 неделя назад
Зарегистрирован: 06.10.2012 - 15:51
Публикации: 11813

Таков артроз.

Катенёв Валентин Львович аватар
Не на сайте
Был на сайте: 7 лет 2 недели назад
Зарегистрирован: 22.03.2008 - 22:15
Публикации: 54876

Смущает дополнительный "контур" по стрелкам.

Приложения: 
2.201310110002_smushchaet..jpg
Сергей Кузьминов аватар
Не на сайте
Был на сайте: 1 год 1 неделя назад
Зарегистрирован: 06.10.2012 - 15:51
Публикации: 11813

Думаю,что это "неодокостеневшие" костные разрастания(не знаю,как точно обозвать).

maker4ik аватар
Не на сайте
Был на сайте: 8 лет 6 месяцев назад
Зарегистрирован: 19.10.2011 - 17:49
Публикации: 2682

ДОА.

И.Бондаренко аватар
Не на сайте
Был на сайте: 2 часа 41 минут назад
Зарегистрирован: 13.09.2011 - 22:55
Публикации: 9206

Что в анамнезе? Была травма? После чего боли появились. Что можно сказать об объёме движений? Мне кажется, что изменения связаны с обызвествлением суставной сумки.  

Катенёв Валентин Львович аватар
Не на сайте
Был на сайте: 7 лет 2 недели назад
Зарегистрирован: 22.03.2008 - 22:15
Публикации: 54876

Боли в течение последних двух - трёх лет. Четко (при разговоре) травму вспомнить не может, хотя жительница сельской местности, где травмой считается, ну минимум перелом.

Катенёв Валентин Львович аватар
Не на сайте
Был на сайте: 7 лет 2 недели назад
Зарегистрирован: 22.03.2008 - 22:15
Публикации: 54876

И.Бондаренко wrote:

Мне кажется, что изменения связаны с обызвествлением суставной сумки.  

Мне тоже так показалось.

Бородулин М.А. аватар
Не на сайте
Был на сайте: 9 месяцев 1 неделя назад
Зарегистрирован: 17.02.2011 - 01:10
Публикации: 1409

Для оценки состояния хрящевой губы МРТ

алкс аватар
Не на сайте
Был на сайте: 10 лет 2 недели назад
Зарегистрирован: 24.10.2012 - 22:55
Публикации: 2915

Бородулин М.А. wrote:

Для оценки состояния хрящевой губы МРТ

yes

И.Бондаренко аватар
Не на сайте
Был на сайте: 2 часа 41 минут назад
Зарегистрирован: 13.09.2011 - 22:55
Публикации: 9206

алкс wrote:

Бородулин М.А. wrote:

Для оценки состояния хрящевой губы МРТ

yes

А может быть для начала УЗИ? Пока она до МРТ доедет. Есть такое понятие "замороженное плечо". Возможно оно, вот узнать бы объём движений.

Катенёв Валентин Львович аватар
Не на сайте
Был на сайте: 7 лет 2 недели назад
Зарегистрирован: 22.03.2008 - 22:15
Публикации: 54876

И.Бондаренко wrote:

Есть такое понятие "замороженное плечо". Возможно оно, вот узнать бы объём движений.

Вот, вот, пациентка так и говорит, что как бы плечо замерзло. Объём движений пациентной оценивается, как нормальный, но боли мешают...