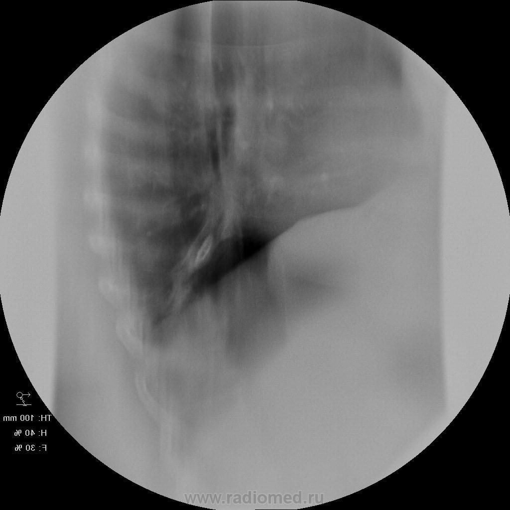
Женщина 50 лет поступила а пульмонологическо отделение с клиникой и диагнозом обострения бронхита

Пол пациента: 
Тип патологии: 
Методы исследования: 

              Женщина 50 лет поступила а пульмонологическо отделение с клиникой и диагнозом обострения бронхита. 15 лет назад перенесла тяжелую пневмонию нижней доли правого легкого. после этого находили выше указанные изменения в легих и наблюдали у фтизиатров. со слов " дисковидная туберкулема" или что-то вроде этого. на флю - картина на протяжении всего времени стабильная. на фбс - нижнедолевой бронх для эндоскопа не проходим, контактная кровоточивость, взята биопсия. прошу совета. какие будут мнения? выставляю только томо - снимки обычные не снимал. но картина на них подобная. по анализам без особенностей. не худела...

  • https://radiomed.ru/sites/default/files/styles/case_slider_image/public/user/2983/image_13-1.jpg?itok=7aqRuGOs
  • https://radiomed.ru/sites/default/files/styles/case_slider_image/public/user/2983/image_14-1.jpg?itok=tunegPlS
  • https://radiomed.ru/sites/default/files/styles/case_slider_image/public/user/2983/image_22-1.jpg?itok=ln_pvp_a
  • https://radiomed.ru/sites/default/files/styles/case_slider_image/public/user/2983/image_23-1.jpg?itok=EGGdB5Zq
  • https://radiomed.ru/sites/default/files/styles/case_slider_image/public/user/2983/image_24-1.jpg?itok=EWNRscL_
  • https://radiomed.ru/sites/default/files/styles/case_slider_image/public/user/2983/image_25-1.jpg?itok=0VvY2D-n
  • https://radiomed.ru/sites/default/files/styles/case_slider_image/public/user/2983/image_26-1.jpg?itok=cChIUWUy
  • https://radiomed.ru/sites/default/files/styles/case_slider_image/public/user/2983/image_27-1.jpg?itok=2CLKGvv8
  • https://radiomed.ru/sites/default/files/styles/case_slider_image/public/user/2983/image_28-1.jpg?itok=GF1cXs-o
  • https://radiomed.ru/sites/default/files/styles/case_slider_image/public/user/2983/image_28-1_0.jpg?itok=FcXeDpjt
  • https://radiomed.ru/sites/default/files/styles/case_slider_image/public/user/2983/image_29-1.jpg?itok=Y24Ua_gl
  • https://radiomed.ru/sites/default/files/styles/case_slider_image/public/user/2983/image_30-1.jpg?itok=T5Q7KHcK
ID:6802
Катенёв Валентин Львович аватар
Не на сайте
Был на сайте: 7 лет 2 недели назад
Зарегистрирован: 22.03.2008 - 22:15
Публикации: 54876

К своему стыду, первый раз услышал термин "дисковидная туберкулома". По всей видимости, наши коллеги фтизиатры, таким термином "матерят" застарелые, захолонувшие небольшие интерлобарные осумкованные выпоты, которые на "прямой рентгенограмме" могут дать тень типа "фигли-мигли", которые - то и выпотами назвать сложно?

Юрич аватар
Не на сайте
Был на сайте: 6 лет 5 месяцев назад
Зарегистрирован: 17.01.2010 - 09:55
Публикации: 351

так как обозвать эту линзу с плотностью кальцинта? я вижу ателектаз-гиповентиляцию нижней доли, на фоне чего - эта "линза" - постпнемонический фиброателектаз?

lupan аватар
Не на сайте
Был на сайте: 6 лет 10 месяцев назад
Зарегистрирован: 07.01.2010 - 17:17
Публикации: 1406

А это не может оказаться обычным бронхолитиазом?

Великое преймущество врача заключается в том, что он не обязан следовать собственным советам. ( А. Кристи)

Юрич аватар
Не на сайте
Был на сайте: 6 лет 5 месяцев назад
Зарегистрирован: 17.01.2010 - 09:55
Публикации: 351

а причина этого "камня"? мог ли он образоваться после даже тяжелой пневмонии? что еще так может выглядеть? но главное для меня - добро или зло? я склоняюсь к какому то доброкачественному процессу, конечно, основываясь на стабильности картины на потяжении очень долгого времени...

lupan аватар
Не на сайте
Был на сайте: 6 лет 10 месяцев назад
Зарегистрирован: 07.01.2010 - 17:17
Публикации: 1406

Юрич wrote:
а причина этого "камня"? мог ли он образоваться после даже тяжелой пневмонии?..

Обычно бронхолитиаз возникает в результате пролежня кальцинированного лимфоузла в корне легкого.

Великое преймущество врача заключается в том, что он не обязан следовать собственным советам. ( А. Кристи)

Юрич аватар
Не на сайте
Был на сайте: 6 лет 5 месяцев назад
Зарегистрирован: 17.01.2010 - 09:55
Публикации: 351

а размеры полученного "камня" в бронхе должны быть равны кальцинированному л.узлу или нет? и сам процесс пролежень - прорыв стенки бронха - "падение " в место закупорки - должны как то клинически сопровождаться или это все может происходить постепенно?

lupan аватар
Не на сайте
Был на сайте: 6 лет 10 месяцев назад
Зарегистрирован: 07.01.2010 - 17:17
Публикации: 1406

Насчет клиники во время прорыва я не знаю, наверное д.б. эпизод кашля, которому больной может не придать значения. А может вопрос поставить так: инородное тело бронха?

Великое преймущество врача заключается в том, что он не обязан следовать собственным советам. ( А. Кристи)

stovbav аватар
Не на сайте
Был на сайте: 2 года 2 месяцев назад
Зарегистрирован: 20.12.2009 - 17:28
Публикации: 7066

Мне очень импонирует мысль о БРОНХОЛИТИАЗЕ....

вот одна из ссылок...

http://thorax-surgery.ru/index67.html