Зона агрессии.

Пол пациента: 
Тип патологии: 
Область исследования: 
Методы исследования: 

Катенёв В.Л.

Случай из практики «Зона агрессии».

 

(Рентгенологическое отделение МУЗ «Красногвардейская центральная районная больница» Белгородской области)

Под этим, весьма неоднозначным названием, мы представляем случай из практики – профилактическая маммография. С учетом того, что довольно широкое внедрение в повседневную практику методики скрининговой маммографии, в ряде случаев не подкреплено наличием в ЛПУ специалиста – маммолога, который не только должен осуществлять работу по раннему выявлению заболеваний молочной железы, взятию пациентов на учёт, а также осуществлять диспансеризацию и пр.,  основной центр тяжести в «решении данного вопроса перенесен на диагностическую службу», где также, не расставлены многие точки: кто, когда и как, за какое время производит данные исследования, какова нагрузка и пр. Перед нами, при производстве профилактической маммографии, с учетом выше изложенного, стоит фактически рутинная задача – отделить «норму от патологии» и протоколы исследований передать в отделение профилактики.

Пациентка направлена на профилактическую маммографию, жалоб не предъявляет.

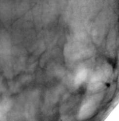
Иллюстрация 21. Общая скиалогическая картина инволютивной молочной железы. Имеет место некоторое снижение прозрачности в передних центральных отделах молочной железы, а также в верхнем наружном квадранте. В передних отделах молочной железы, больше слева и параареолярно определяется участок снижения прозрачности с нечетким контуром, по всей видимости, за счет избыточного развития соединительной ткани, на фоне чего прослеживаются мелкие округлые просветления (мелкие кисты). В области ареолы определяются мелкие очаговые тени средней интенсивности. В верхнем наружном квадранте определяется участок (№ 1) перестройки структуры костной ткани без четких контуров, неоднородной структуры. Несколько латеральнее определяется причудливой формы участок (№ 2) снижения прозрачности с преобладанием тяжистых компонентов и наличием очаговых теней в окружающей ткани. Несколько ниже описанных участков измененной структуры локально определяется уплотнение округлой (№ 3) формы, неоднородной структуры без четких контуров. «Зона патологически измененной железы» выделена навигатором, произведена цифровая обработка изображения – иллюстрация 22.

21.
21.
22.
22.

 

 

Иллюстрация 22. На данном изображении участок № 2 представляет собой «зону мелкоточечных теней – микрокальцинаты»

23.
23.

 

 

 

Иллюстрация 23. Изображение в более контрастном варианте. На фоне участка снижения прозрачности № 1 намечаются очаги уплотнения – по всей видимости очаговые пролифераты. По наружному контуру затемнения намечаются линейные компоненты, от дистального контура дифференцируются уплотненные соединительнотканные структуры, которые дистальнее и медиальнее переходят в уплотнения очагового характера.

24.
24.
25.
25.

 

 

Иллюстрация 24, 25. Картина теневого образования № 1 начинает напоминать «форму медузы», со «щупальцами», направленными дистально. По некоторым авторам «тень кометы и хвост кометы». На фоне данной тени и в окружающей ткани очаговые тени, по всей видимости, очаговые пролифераты. Участок № 3 представляет собой тень от нескольких слившихся очагов.

Пациентке рекомендована консультация маммолога.

ВложениеРазмер
Иконка изображения 21.82.37 КБ
Иконка изображения 22.85.33 КБ
Иконка изображения 23.94.59 КБ
Иконка изображения 24.43.4 КБ
Иконка изображения 25.53.87 КБ