Девушка 27 лет, в плановом порядке положена в стационар, отделение неврологии. Её беспокоит частые периодические боли в грудном отделе позвоночника. В данном случае я умудрился прошляпить абсолютно всё
, ладно хоть по тактике ведения больного было ещё назначено МРТ, позже скину.

Ваше мнение?
Уважаемый коллега v1tal! Мне видится компрессионный перелом Th12 позвонка и натечник (скорее всего tbc) межпозвонкового диска Th9-Th10. А легкие пациентки снимали?
dok
Да нет в легких все отлично уважаемый Ермолаев, девушка ФЛГ проходит каждый год.
"Знаешь, у некоторых врачей есть комплекс мессии — им необходимо спасать мир. А у тебя комплекс Рубика — тебе необходимо решать головоломки."
Согласен с коллегой. Но Т9 уже фактически нет.
Вот именно Валентин Львович! Одна узкая полоска. Пациентке изначально необходимо лечение у фтизиатров.
dok
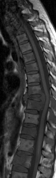
Вот МРТ картина:
Аномалия развития тел грудных позвонков Th2, Th9(бабочковидные позвонки, частичная конресценция дужек), Th12 клиновидная форма. Сдавление межпозвоночного канала.
"Знаешь, у некоторых врачей есть комплекс мессии — им необходимо спасать мир. А у тебя комплекс Рубика — тебе необходимо решать головоломки."
Хочу посоветовать коллеге не сильно уповать на "флюшку", даже на "цифру". Мы, на практике убедились, что "флюшка" в плане информации "по специфике" несет не более 50% "действительной информации". В ряде случаев, ничего не видно, но "глаз цепляется". Взять на томографию и весьма можно удивиться - инфильтрат (фокус).
Не согласен с аномалией развития. Откуда причина натечника?
dok
Конечно все может быть, все может статься. И перед МРТ надо снять шляпу, но не снимать...
Согласен с Ермолаевым - откуда натечник?
Чем коллега будете объяснять некоторую "порозность" тела Т10 справа?
Да, от Тh9 осталась одна пластинка, компрессионные переломы тел Th12 и L2. Я сомневаюсь, что это туберкулез. Может, эозинофильная гранулема?
https://www.instagram.com/pediatricradiology/
Я уже молчу о контурах Т10 справа (сбоку) и явную перестройку структуры костной ткани Т10 справа.
С "эозинофильной гранулёмой" можно согласиться, но с аномалией развития - никогда. Тем более, что "эозиновильная гранулема" в диф. ряду туб. поражения сегмента имеет место быть.
Вот другой режим:
"Знаешь, у некоторых врачей есть комплекс мессии — им необходимо спасать мир. А у тебя комплекс Рубика — тебе необходимо решать головоломки."
Описанием данной картины занималась моя заведующая, травмы якобы не было, меня перед фактом моей ошибки поставили, вот у меня теперь голова от этого и пухнет, много вопросов возникает.
"Знаешь, у некоторых врачей есть комплекс мессии — им необходимо спасать мир. А у тебя комплекс Рубика — тебе необходимо решать головоломки."
Коллега v1tal!
Ну, а Вы сами-то что думаете с учетом "добавленных исследований" - МРТ. Давайте не отмалчивайтесь. СЛУЧАЙ ПРЕДСТАВЛЕННЫЙ ВАМИ "КОЗЫРНЫЙ" - не молчите.
Коллега, а прямые снимки МРТ Вы представить не сможете? Меня, как и других, интересует вопрос о натечникоподобном тенеобразовании.
По поводу пропуска. Ну пропустили и пропустили, главное сделать выводы. Я в оценке представленных снимков шел имено от натечника, и к нему уже прикладывал оценку в боковой проекции. Если Вас это утешит, сплющенный позвонок отметил не сразу. Кстати, боковые снимки - не очень, забивает легочный рисунок. Цифровые? На каком анодном напряжении делаете? Может, есть смысл снизить для боковой проекции до 63 kV. Нам, в свое время, это помогло
Андрей Юрьевич
Что при Т1 что при Т2 нет изменения сигнала, идет уплотнение структуры позвонков, Натечник исключается ибо его при таких изменениях было бы четко видно и на рентгенограммах.
"Знаешь, у некоторых врачей есть комплекс мессии — им необходимо спасать мир. А у тебя комплекс Рубика — тебе необходимо решать головоломки."
Да уважаемый Андрей Юрьевич снимки цифровые, по поводу режима учту. Все равно должны быть выраженные паравертебральные изменения при мысли о натечнике, что МРТ не показывает.
"Знаешь, у некоторых врачей есть комплекс мессии — им необходимо спасать мир. А у тебя комплекс Рубика — тебе необходимо решать головоломки."
Я тоже считаю, что это не натечник. Позвонок же сильно расплющился, ширина его увеличилась, вот паравертебральные ткани чуть-чуть и выступают.
https://www.instagram.com/pediatricradiology/
Ольга! А Ваше мнение по поводу "расплющивания позвонка".
И на первом месте один вопрос - "аномалия развития или вариант развития" или "патология"?
Я считаю, что патология. Такой аномалии развития никогда не встречала.
https://www.instagram.com/pediatricradiology/
У нас полгода назад девочка обследовалась, вот с такой КТ-картиной. Предположили болезнь Кальве, а может эозинофильная гранулема. Кстати, недавно в одной из книжек встретила точно такую же картинку, там написано - эозинофильная гранулема.
https://www.instagram.com/pediatricradiology/
С Вами полностью согласен.
Второй вопрос. Что могло "расплющить" позвонок?
Болезнь Кальве? Туберкулйзный процесс? Эозинофильная гранулёма? Метастаз? Кюммеля? Что еще?
В МРТ не разбираюсь, поэтому принимаю Ваше отрицание натечника. Однако компрессию ТН12 и Л1 тоже надо как-то объяснять. На аномалию не походит, на ТВС, вроде бы, тоже (диски сохранны).
Андрей Юрьевич
В данном лучае меня смущает только одно почему даже если есть аномалия развития, изменения идут на разных уровнях а ни в одном и конкретном месте
. Не забывайте Th2 тоже изменён.
"Знаешь, у некоторых врачей есть комплекс мессии — им необходимо спасать мир. А у тебя комплекс Рубика — тебе необходимо решать головоломки."
Коллеги, а какой аномалии может идти речь??? На МРТ все признаки поражения костного мозга тел и ножек позвонков, инфильтрация с снижением сигнала на Т1, эти изменения видны на нескольких уровнях. Ищите онкологию (лимфому например) или патологию крови. А натечника никакого нет; сдавление спинного мозга значительное.
Let me see...
radiographia.ru
Коллеги, по рентгенограммам: полностью разрушен Th9, литическая деструкция правой половины тела и дужки Th10, литическая деструкция с патологическим компрессионным переломом Th12... Какая "бабочка"?!
Я не специалист по МРТ, но на снимках отчетливо видна "+ткань" на уровне деструкции Th9-10 с компрессией спинного мозга. На мой взгляд, разница структуры позвонков отмеченых желтыми и красными стрелками - не норма, кроме того, хотелось бы узнать, если здесь есть, у специалистов МРТ, чем можно объяснить то, что я отметила синими стрелками.
Я считаю, что в данном случае имеют место множественные очаги остеолитической деструкции, которые ничем другим кроме опухоли (первичной или мтс) объяснить нельзя
"самоуверенность дилетантов - предмет зависти профессионалов"
v1tal:
"Описанием данной картины занималась моя заведующая, травмы якобы не было, меня перед фактом моей ошибки поставили"
ВОТ ТАК. Ну, ознакомте свою заведующую с комментариями Марио и Татьяны Валентиновны. Я думаю ей это будет интересно. Может быть и она "встанет перед фактом своей ошибки".
Мда.. Спасибо большое за комментарии, буду поднимать этот случай в понедельник, 27 лет, в голове не укладывается.
"Знаешь, у некоторых врачей есть комплекс мессии — им необходимо спасать мир. А у тебя комплекс Рубика — тебе необходимо решать головоломки."
v1tal, а Вы где территориально? если в Московском регионе, может смогу помочь...
"самоуверенность дилетантов - предмет зависти профессионалов"
Нет, уважаемая Татьяна Валентиновна, далековато от Москвы будем, Ханты-Мансийск.
"Знаешь, у некоторых врачей есть комплекс мессии — им необходимо спасать мир. А у тебя комплекс Рубика — тебе необходимо решать головоломки."
Ну что ж, поскольку Марио подтвердил по МРТ опухолевую патологию, необходима биопсия. В таком случае два вариата:
1.при наличии клиники сдавления спинного мозга - ляминоэктомия Th9-10 и морфологическое исследование удаленных дужек.
2. РН-сцинтиграфия костей, возможно позволит найти другие очаги деструкции, более удобные для биопсии.
"самоуверенность дилетантов - предмет зависти профессионалов"
Хорошо, мысль понятна, спасибо!
"Знаешь, у некоторых врачей есть комплекс мессии — им необходимо спасать мир. А у тебя комплекс Рубика — тебе необходимо решать головоломки."
Перед биопсией, выполните стернальную пункцию и посмотрите костный мозг, думаю что получите полезную информацию.
Let me see...
radiographia.ru
Все или почти все версии предложены, остается подтвердить или опровергнуть их доп. исследованиями. v1tal, в основе вашей ошибки недостаточно контрастный снимок, ИМХО. Уже высказано предложение о более мягком режиме съемки и это правильно. Для более детального анализа тех. стороны нужны данные о режиме: анодное напр., экспозиция и управление ей (автоматическое или ручная уставка). Да, еще конституция пациентки, судя по снимку - астеническая.
Зри в корень!
Уважаемые коллеги, сегодня на дежурстве всё перерыл и снова перечитал электронную историю болезни, которая уже оказалась дополненной. Зарание извеняюсь что ввел в заблуждение вас и себя. В анамнезе пациентки оказалась травма 2004г. падение с высоты, с переломом шейки левого бедра. Лечилась в Таджикистане вытяжением. После травмы восстановилась полностью, болей не отмечала.
В четверг был вызван на консультацию онколог при осмотре : периферические лимфоузлы : в левой подмышечной области слева плотный л/у до 2 см. Молочная железа справа неоднородной структуры. В левой молочной железе в верхне/наружном квадранте плотное образование 6х6см бугристое, небольшой участок втяжения кожи вблизи ареолы
Диагноз cпециалиста : Рак левой молочной железы T3N1Mх
Вчера была выполнена трепанбиопсия образования левой молочной железы на гистологическое исследование, мазок на цитологию. Результата еще нет но можено предположить зарание.
Я же сейчас поднял ФЛГ от 23.03.09г. –там все чисто.
Я все снимки которые были сделаны с грудным отделом позвоночника, перисмотрел , шейный отдел без особенности, а вот ребра левой половины грудной клетки, мне с первого раза показалось их неоднородная структура, но я не придал этому значения, списал на легочный рисунок, получаются литические метастазы ребер. Двойная моя ошибка.

"Знаешь, у некоторых врачей есть комплекс мессии — им необходимо спасать мир. А у тебя комплекс Рубика — тебе необходимо решать головоломки."
Следовательно - Рак молочной железы с метастазами.
Значит, почти, как в большинстве случаев - "А ларчик просто открывался".
Конечно остается весьма серьезный вопрос. Если Марио с первого взгляда на МРТ - изображения, высказался в пользу онкологии, а Ваши МРТ-ологи (во главе с Вашей заведующей) "оного" не увидели...?
На этом, можно считать обсуждение по данному случаю законченным. И, конечно, при "разборке" или на конференции "высокое административное жюри" виновником, однозначно, признает службу лучевой диагностики, хотя по большому счёту - это не так - большие нерешенные организационные мероприятия - "хвосты" тянутся за данным случаем, и такие случаи, в Вашем ЛПУ, уважаемый коллега, будут повторятся если, именно, организационные вопросы решены не будут.
Да, интересно, я тоже сначала подумала о mts, но возраст сильно смутил.
https://www.instagram.com/pediatricradiology/
Да уважаемый, Валентин Львович, согласен с вами. Зав. отд. -молодая, к чему это приведет не знаю, но знаю только одно что это было мне уроком, ладно хоть про "аномалию" не проглатил, все равно как это не укладывалось и в то же время про онкологию даже ни мог подумать, все таки 27 лет, ни каждый день такое. А по поводу МР-специалистов, у нас ни все так плохо, после завтра покажу "карифеем" , чаво ещё они скажут.
Спасибо всем за комментарии, в частности Dr.Mario и Татьяне Валентиновне!!!
"Знаешь, у некоторых врачей есть комплекс мессии — им необходимо спасать мир. А у тебя комплекс Рубика — тебе необходимо решать головоломки."
А ведь согласитель Ольга, что на МРТ- сканах метастазы были видны, но как-то подсознательно - "этого не может быть".
Уважаемый коллега v1tal!
Пусть Вам не покажется странным (и я не "сошел с ума"), МР-специалисты (корифеи и не корифеи) тут не при чем, кажется парадокс, но я смог-бы "отбиться", доказав, что и рентгенологи здесь виноваты косвенно. Виновник один - администрация ЛПУ, а именно главный врач, начмед и зам по амбулаторно- поликлинической службе.
Да, Валентин Львович, были видны, согласна. Я в МРТ совсем ничего не понимаю (в КТ еще хоть немного разбираюсь, а в МРТ совсем нет), но и то заметила, что сигналы на МРТ разные от разных позвонков (одни белые, другие черные).
https://www.instagram.com/pediatricradiology/
Кстати, куда делись МРТ-сканы, хотела еще раз посмотреть?
https://www.instagram.com/pediatricradiology/
Вы понимаите Валентин Львович что получается, замкнутый круг, сейчас если и полетят головы так это с нас, но ни как ни с нач.медов и администрации, зачем искать виноватых которые с самого начала где то может и не до глядели, когда действие разворачивается в реальном времени. Буквально ведь только позавчера стало ясно что онкология, история вчера пустая была. Ладно ни хочу тоже ни кого винить, сам виноват была возможность за 3-4 дня глаза разуть, куда глядел не знаю.
"Знаешь, у некоторых врачей есть комплекс мессии — им необходимо спасать мир. А у тебя комплекс Рубика — тебе необходимо решать головоломки."
Ой, уважаемые МР-картина то у меня загружена но почему то не отоброжается, еще хотел ребра левой половины грудной клетки показать, а тоже не отоброжается, завтра при нормальной работе интернета исправлю, а то сегодня на дежурстве пытаюсь попасть на сайт.
"Знаешь, у некоторых врачей есть комплекс мессии — им необходимо спасать мир. А у тебя комплекс Рубика — тебе необходимо решать головоломки."
Вы пишете:
"В четверг был вызван на консультацию онколог при осмотре : периферические лимфоузлы : в левой подмышечной области слева плотный л/у до 2 см. Молочная железа справа неоднородной структуры. В левой молочной железе в верхне/наружном квадранте плотное образование 6х6см бугристое, небольшой участок втяжения кожи вблизи ареолы. Диагноз cпециалиста : Рак левой молочной железы T3N1Mх ".
1 аспект прокола Вашей администрации.
С 2006 года введен маммоскрининг - до 40 лет УЗИ, после 40 лет - маммография. Следовательно эта пациентка "выпала из маммоскрининга". Следовательно, образование, которое, в настоящее время размерами 6 х 6 см. имеет возраст не 1 и не 2, и даже не 3 года, а много больше, следовательно при маммоскрининге оно было-бы обнаружено, и диагноз был поставлен-бы вовремя.
Маммоскрининга нет или он не проводится. Кто виноват? На уровне ЛПУ - главный врач и зам. главного врача по амбулаторно-поликлинической работе, а также зам. главного врача по детству и родовспоможению. На уровне Субъекта Федерации - Начальник департамента здравоохранения и его заместитель по лечебно профилактической помощи. Как организация - страховая компания могла оплачивать счета ЛПУ "за проведение профилактических осмотров" без маммоскрининга, но это уже вопрос к экспертам "из вневедомственной экспертизы" и к прокуратуре.
Создается впечатление, что Ваша администрация игнорирует регламент МЗиСР (приказ 145 или 154 точно не помню) - приказ по маммоскринингу, а это уже "почва для размышления" вышестоящего руководства.
Дело в том, что "картинки пропали" не только у Вас здесь, это, по всей видимости, связано с тем, что нашим администратором ведутся работы с "изменением места жительства сайта".
v1tal, ошибка (невидение) есть, но она не фатальная. Ведь за несколько дней общими усилиями диагноз установлен или будет установлен. Главная беда, что она (диагностика) поздняя. Не совсем понял, если образование в МЖ пальпируемое, основная ответственность (за позднее выявление) на пациентке.
Зри в корень!
Вы пишете: "Девушка 27 лет, в плановом порядке положена в стационар, отделение неврологии. Её беспокоит частые периодические боли в грудном отделе позвоночника".
Итак, мы хорошо знаем, что никто не отменял "курацию пациентов" - стандарт, ни в амбулаторных условиях, ни в условиях стационара. И, по крайней мере, терпевты, хирурги, эндокринологи, гинекологи, наряду со своим статусом - "в лёгких везикулярное дыхание.. и пр. и т.п." описывают молочные железы, что де они "обычной формы и размеров, такой-то консистенции и т.п. и т.д.". Следовательно, подразумевается минимум осмотр и пальпация. Следовательно, все эти специалисты ОБЯЗАНЫ были и посмотреть и пропальпировать.
Далее Вы пишете: "В четверг был вызван на консультацию онколог при осмотре : периферические лимфоузлы : в левой подмышечной области слева плотный л/у до 2 см. Молочная железа справа неоднородной структуры. В левой молочной железе в верхне/наружном квадранте плотное образование 6х6см бугристое, небольшой участок втяжения кожи вблизи ареолы." Следовательно никто, ничего не смотрел, а "просто писали". Это что? Подлог" или неисполнение своих функциональных обязанностей и должностной инструкции. Или наши коллеги-клиницисты, назначая массу параклинических исследований "отошли от пациентов" и "уповают на параклинику"?
Кто виноват, кто курирует этот "бардак". А лица все теже - главный врач, начмед, зам. по амбулаторно- поликлинической работе, зам. по детству и родовспоможению. А...добавился - зам. по КЭР. Оказывается все знакомые лица, правда, еще и зав. отделениями.
Согласно "нашего" СаН ПиНа, действующего приказа № 132 и прочей "бумажной волокиты" направление на лучевое обследование должно быть обоснованным, в противном случае "врач-рентгенолог может отказаться от исследования". Обоснованием считается наличие диагноза, а также вопросов, которые поставлены были врачом клиницистом перед врачом лучевым диагностом.
С каким диагнозом к Вам направлен был пациент, уважаемый коллега? Какие вопросы поставил перед Вами уважаемый коллега клиницист?
Вы пишете: "Буквально ведь только позавчера стало ясно что онкология, история вчера пустая была". Следовательно, Вы провели исследование "без назначения исследования лечащим врачом и без обоснования"? Коллега! "Хорошим всем" быть нельзя. В таких случаях, я понимаю, что трудно (ведь все коллеги) отказать, но отказать надо, ибо Вас фактически эти козлы-коллеги подставили. Но, по большому счету, я думаю, что серьёзных последствий не будет. А Вам и Вашей заведующей - наука (ведь она тоже допустила проведение исследования с "чистой историей болезни").