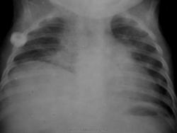
Архив. Ребенок с клиникой ОРВИ. Парез купола диафрагмы. Ваше мнение?

Пол пациента: 
Тип патологии: 
Методы исследования: 

Ребенок с ОРВИ. На 2 сутки направлен на рентгенологическое исследование. Ваше мнение?


  • https://radiomed.ru/sites/default/files/styles/case_slider_image/public/user/1954/PICT0112.JPG?itok=uTEDizGS
ID:157
Almo аватар
Не на сайте
Был на сайте: 1 час 48 минут назад
Зарегистрирован: 28.09.2008 - 18:50
Публикации: 8290

Справа высокое расположение купола диафрагмы. Рекомендовано УЗИ органов брюшной полости.

Катенёв Валентин Львович аватар
Не на сайте
Был на сайте: 7 лет 3 месяцев назад
Зарегистрирован: 22.03.2008 - 22:15
Публикации: 54876

А по боковой, создается впечатление снижение прозрачности в пределах анатомических границ, прямо нижняя доля + средняя. Вот только в задне-базальных отделах угадывается какая-то "прозрачность". Да и в заднем сегменте верхней доли снижение прозрачности.

Катенёв Валентин Львович аватар
Не на сайте
Был на сайте: 7 лет 3 месяцев назад
Зарегистрирован: 22.03.2008 - 22:15
Публикации: 54876

Какой-то интересный, "гофрированный" правый главный бронх, с зазубренными контурами..

Катенёв Валентин Львович аватар
Не на сайте
Был на сайте: 7 лет 3 месяцев назад
Зарегистрирован: 22.03.2008 - 22:15
Публикации: 54876

Есои на прямом "левый главнй" как-то дифференцируется, то справа - одни вопросы. А не вскочило-ли что-то в правый главный бронх и не застряло несколько ниже отхождения верхнедолевого?

 

Приложения: 
1._Glavnyy_bronh..JPG
Анатолий Владимирович Шумаков аватар
Не на сайте
Был на сайте: 8 лет 3 недели назад
Зарегистрирован: 16.10.2009 - 21:16
Публикации: 1941

Буквально через неделю - закон парности...


Приложения: 
PICT0110.JPGPICT0111.JPG
Анатолий Владимирович Шумаков аватар
Не на сайте
Был на сайте: 8 лет 3 недели назад
Зарегистрирован: 16.10.2009 - 21:16
Публикации: 1941

С детьми "умные" мамы, подозрений на инородное тело нет...

Катенёв Валентин Львович аватар
Не на сайте
Был на сайте: 7 лет 3 месяцев назад
Зарегистрирован: 22.03.2008 - 22:15
Публикации: 54876

И это какая-то не объяснимая тень.

 

Приложения: 
1_TEN..JPG
Иринка аватар
Не на сайте
Был на сайте: 11 лет 8 месяцев назад
Зарегистрирован: 16.11.2009 - 22:14
Публикации: 190

Не должно, это не значит , что нет???))))

Анатолий Владимирович Шумаков аватар
Не на сайте
Был на сайте: 8 лет 3 недели назад
Зарегистрирован: 16.10.2009 - 21:16
Публикации: 1941

Проявлялось вручную, в танках.

Катенёв Валентин Львович аватар
Не на сайте
Был на сайте: 7 лет 3 месяцев назад
Зарегистрирован: 22.03.2008 - 22:15
Публикации: 54876

Ну во втором случае по боковой, на ателектаз похоже

Катенёв Валентин Львович аватар
Не на сайте
Был на сайте: 7 лет 3 месяцев назад
Зарегистрирован: 22.03.2008 - 22:15
Публикации: 54876

И опять правый главный бронх плохо виден.

Анатолий Владимирович Шумаков аватар
Не на сайте
Был на сайте: 8 лет 3 недели назад
Зарегистрирован: 16.10.2009 - 21:16
Публикации: 1941

Жалко снимки не сохранились... Далее доктор Хаус...

Всех смотрел на скопии. Куполы диафрагмы справа неподвижны, истиный парез. Понять, есть ли Гольцкнехт Якобсона - невозможно.

В библиотеке - журнал педиатрия - 20 лет назад, номер не помню, такая же картина - описана как случай токсического пареза.

Иринка аватар
Не на сайте
Был на сайте: 11 лет 8 месяцев назад
Зарегистрирован: 16.11.2009 - 22:14
Публикации: 190

Очень интересно. А в динамике подвижность диафрагмы восстанавливалась?

Катенёв Валентин Львович аватар
Не на сайте
Был на сайте: 7 лет 3 месяцев назад
Зарегистрирован: 22.03.2008 - 22:15
Публикации: 54876

Что понимается под "токсическим парезом"?

Анатолий Владимирович Шумаков аватар
Не на сайте
Был на сайте: 8 лет 3 недели назад
Зарегистрирован: 16.10.2009 - 21:16
Публикации: 1941

Что такое токсический парез я тоже не знаю... Диафрагма вернула подвижность через приблизительно через 10 лней у всех детей....

Катенёв Валентин Львович аватар
Не на сайте
Был на сайте: 7 лет 3 месяцев назад
Зарегистрирован: 22.03.2008 - 22:15
Публикации: 54876

А Вы как объясняете сей "скиалогический феномен"?

Анатолий Владимирович Шумаков аватар
Не на сайте
Был на сайте: 8 лет 3 недели назад
Зарегистрирован: 16.10.2009 - 21:16
Публикации: 1941

Обратил внимание, что у всех этих детей стоит подключичный катетер на стороне поражения, далее разыскал предыдущие рентгенограммы - у двух детей они были. Снимки накануне пункции - пареза нет... Вот такая ситуация... Я для себя решил, что это травма или сдавление гематомой френикуса, и стал панически бояться подключичек....

Катенёв Валентин Львович аватар
Не на сайте
Был на сайте: 7 лет 3 месяцев назад
Зарегистрирован: 22.03.2008 - 22:15
Публикации: 54876

Вот как интересно! Возьмем себе на вооружение, у нас частенько детям "ставят" подключички.

Анатолий Владимирович Шумаков аватар
Не на сайте
Был на сайте: 8 лет 3 недели назад
Зарегистрирован: 16.10.2009 - 21:16
Публикации: 1941

Про подключички: - довольно опасная вещь. Видел препарат: подключичная вена насквозь, через две стенки проткнута катетером, затем он изогнулся и со стороны задней стенки еще раз проник в вену и благополучно исполнял свои функции до кончины пациента... Ставил ее, конечно, - Виртуоз....