Случай с ургентности

Пол пациента: 
Тип патологии: 
Методы исследования: 

Женщина. Поступила в хирургическое отделение с диагнозом "кишечная непроходимость". Дежурный лаборант выполнила обзорный снимок брюшной полости уж больно "заковыристо". Что скажете?

Описывая это "произведение" на следующее утро назначаю контроль, в т.ч. и грудной клетки в правой боковой проекции

Беседую с пациенткой...да кишечные проблемы были, уже прошли...около 6-8 ми месяцев назад болеела (основная жалоба - кашель), лечилась, в т.ч. стационарно, обследовалась, в т.ч  КТ в ООД - сказали все нормально...живите мол и дальше. Данные предыдущих исследований обещают доставить с понедельника, будем и сами ее докручивать. Ваше мнение, коллеги?

  • https://radiomed.ru/sites/default/files/styles/case_slider_image/public/user/2667/foto021.jpg?itok=G8pnusBf
  • https://radiomed.ru/sites/default/files/styles/case_slider_image/public/user/2667/foto022.jpg?itok=gKC-OtJw
ID:8455
Петрович аватар
Не на сайте
Был на сайте: 7 лет 5 месяцев назад
Зарегистрирован: 22.03.2009 - 01:13
Публикации: 3908

 

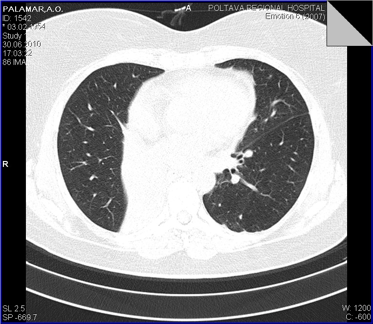
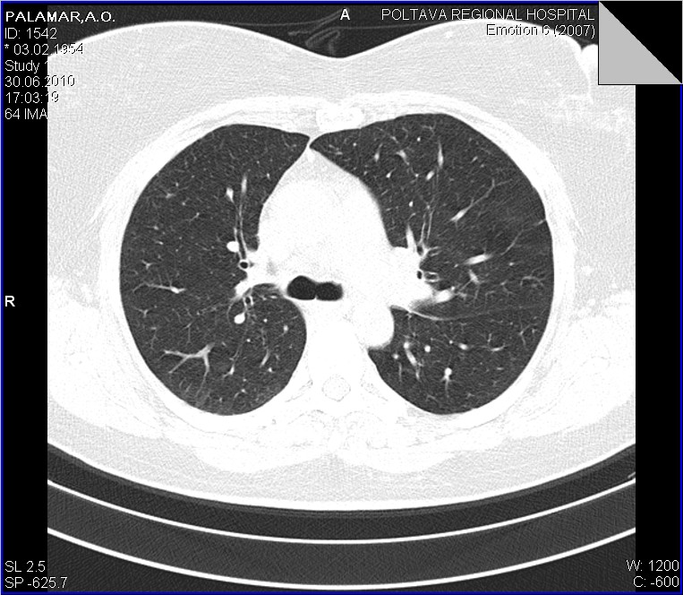
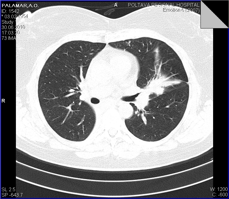
На первых репродукциях рентгенограмм мне виделся ателектаз S7, S8. Теперь вижу: спалось всё, кроме S6. И насчёт средней доли не согласен я: картина в боковой проекции была бы другая – классическая! Но корни надежды не оставляют.

Неоднозначно всё

Катенёв Валентин Львович аватар
Не на сайте
Был на сайте: 7 лет 3 месяцев назад
Зарегистрирован: 22.03.2008 - 22:15
Публикации: 54876

Я, конечно, не могу говорить за всех. Конечно "проколы" встречаются, и такие проколы весьма досадны, создается впечатление, что порой врачи лучевые диагносты работают на "мусорную корзину". Но я не могу не отметить, и по опыту ЛПУ, где я работаю, что внедрение в работу CR-систем, которые архивируют " в себе" все изображения, кардинально изменили ситуацию.

stovbav аватар
Не на сайте
Был на сайте: 2 года 5 месяцев назад
Зарегистрирован: 20.12.2009 - 17:28
Публикации: 7066

Повторюсь еще раз со сканами, несколько полнее. Конечно, это уже не столь принципиально, но, как по мне, ни С6, ни средней доли нет...Давайте просмотрим еще раз.

Приложения: 
111.jpg112.jpg113.jpg114.jpg115.jpg116.jpg117.jpg118.jpg120.jpg121.jpg122.jpg123.jpg124.jpg125.jpg126.jpg127.jpg
Петрович аватар
Не на сайте
Был на сайте: 7 лет 5 месяцев назад
Зарегистрирован: 22.03.2009 - 01:13
Публикации: 3908

 

Со сканами-то ясность полная. Нет бронха средней доли и шестого. Метод, конечно, превосходный, но и качество снимков имеет огромное значение.

Неоднозначно всё

stovbav аватар
Не на сайте
Был на сайте: 2 года 5 месяцев назад
Зарегистрирован: 20.12.2009 - 17:28
Публикации: 7066

Петрович wrote:

 

...... но и качество снимков имеет огромное значение.

Петрович, кто бы спорил! Вот сами оцените, пусть и фотокопии, но качество всех отснятых мной представленых и своих рентгенснимков и качество последней "цифры", за 1 ноября (а всего то 2,2 пар лин. на мм)....А ведь самое интересное, не далее как вчера "воевал" с участковым и ее пациенткой...им только пленку подавай, там лучше!!!!...кому - лучше?...доходит до парадокса, мы делаем снимки ...ради снимков, а не ради истины!!!

Петрович аватар
Не на сайте
Был на сайте: 7 лет 5 месяцев назад
Зарегистрирован: 22.03.2009 - 01:13
Публикации: 3908

stovbav wrote:
Петрович wrote:
...... но и качество снимков имеет огромное значение.
Петрович, кто бы спорил! Вот сами оцените, пусть и фотокопии, но качество всех отснятых мной представленых и своих рентгенснимков и качество последней "цифры", за 1 ноября (а всего то 2,2 пар лин. на мм)....А ведь самое интересное, не далее как вчера "воевал" с участковым и ее пациенткой...им только пленку подавай, там лучше!!!!...кому - лучше?...доходит до парадокса, мы делаем снимки ...ради снимков, а не ради истины!!!
Виктор Григорьевич, эти цифровые снимки  – суть флюорограммы цифровые? Почему-то они мне на глаза не попались вначале…, и я своё суждение выводил из фоторепродукций плёночных снимков. Я так понял, цифровые НЕ пересняты чем-либо?

Неоднозначно всё

stovbav аватар
Не на сайте
Был на сайте: 2 года 5 месяцев назад
Зарегистрирован: 20.12.2009 - 17:28
Публикации: 7066

Петрович wrote:

 Я так понял, цифровые НЕ пересняты чем-либо?

Да нет, снимки за 1 ноября чисто цифровые, взяты прямо из базы данных флюорографа 12Ф9 "Украина".

Петрович аватар
Не на сайте
Был на сайте: 7 лет 5 месяцев назад
Зарегистрирован: 22.03.2009 - 01:13
Публикации: 3908

Спасибо!

Неоднозначно всё

Игорь Иванович аватар
Не на сайте
Был на сайте: 4 года 3 недели назад
Зарегистрирован: 23.01.2010 - 14:56
Публикации: 3695

А почему-бы не предположить осумкованный задний медиастинальнодиафрагмальный плеврит? При ателектазе доли спадаются к средостению, и чем более давняя причина - спавшуюся долю можно вообще не увидеть, а только предположить на фоне повышенной прозрачности оставшегося легкого ( чего нет), смещения средостения в больную сторону (чего тоже нет) и т.д.

stovbav аватар
Не на сайте
Был на сайте: 2 года 5 месяцев назад
Зарегистрирован: 20.12.2009 - 17:28
Публикации: 7066

Игорь Иванович wrote:

А почему-бы не предположить осумкованный задний медиастинальнодиафрагмальный плеврит? При ателектазе доли спадаются к средостению, и чем более давняя причина - спавшуюся долю можно вообще не увидеть, а только предположить на фоне повышенной прозрачности оставшегося легкого ( чего нет), смещения средостения в больную сторону (чего тоже нет) и т.д.

1.Плеврит, как рабочий диагноз тоже пристутсвовал

2. Никтои не спорит, что он, в какой то мере есть, о незначительном количестве "густой" жидкости говорят и УЗИсты

3. Но куда деть "культю" промежуточного бронха? и при чем тогда тут (по отношению к культе) плеврит? Неужели он в состоянии сдавить такой бронх?

koriatus аватар
Не на сайте
Был на сайте: 3 года 3 месяцев назад
Зарегистрирован: 14.06.2010 - 01:49
Публикации: 452

http://emedicine.medscape.com/article/353833-imaging

Вот пару картинок ателектазов еще...

stovbav аватар
Не на сайте
Был на сайте: 2 года 5 месяцев назад
Зарегистрирован: 20.12.2009 - 17:28
Публикации: 7066

1. Спасибо за ссылку, одна из "картинок" полностью повторяет выставленной наблюдение. 2. А теперь о "гвозде", который мне забили пять минут назад "между глазиков". После того, как я переколотил всю хирургию, последняя взялась рьяно выяснять все о больной. Имеется у нее рак матки 4-й степени, состоит она на учете в ООД по этому поводу, все остальные изменения вторичные..... Вот такой случай с ургентности...или о приемственности в наше время...

Makcimalist аватар
Не на сайте
Был на сайте: 12 лет 19 часов назад
Зарегистрирован: 08.05.2010 - 14:28
Публикации: 1994

- случай, иллюстрирующий, что оценивать снимки нужно вместе (обе проекции), снимки должны быть качественными!yes Начинающим рентгенологам на заметку.

--------------

"Просто, по видимости, не видеть логики в очевидных вещах - это тоже одно из свойств некоторых умов, наряду с грустными думами о свойствах ума других."  © Vega 08/10/2011