You are here

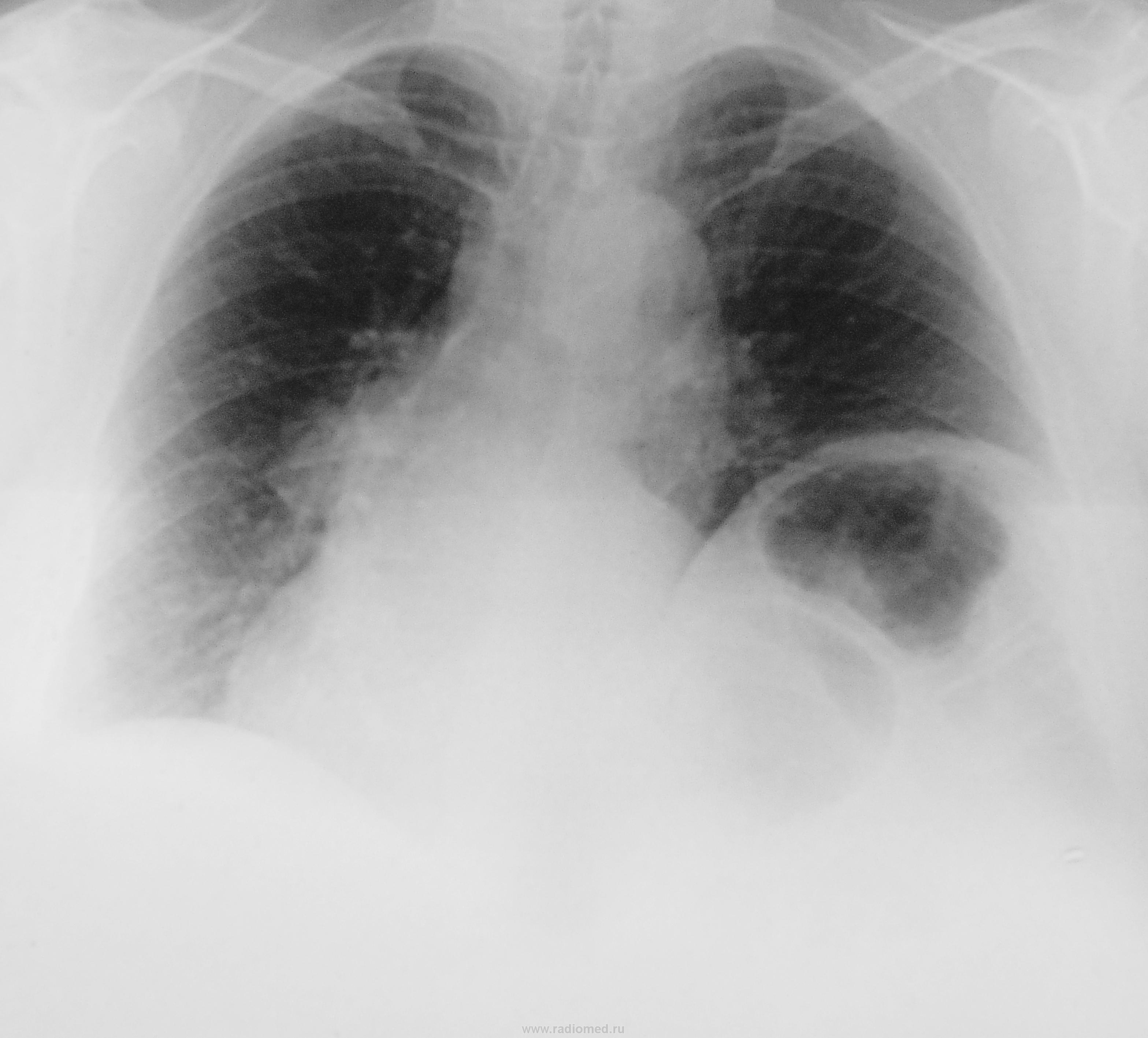
При расшифровке флюорограмм, вот такая флюорограмма. А жалобы на боли в сердце, да и у кардиолога на учёте

Пол пациента: 
Тип патологии: 
Методы исследования: 

При расшифровке флюорограмм, вот такая флюорограмма. А жалобы на боли в сердце, да и у кардиолога на учёте.

  • https://radiomed.ru/sites/default/files/styles/case_slider_image/public/user/12/22.dscn0727a.jpg?itok=nxoSKTEC
ID:24982
Nikolas's picture
Offline
Last seen: 3 days 5 hours ago
Joined: 21.12.2010 - 20:37
Posts: 4560

человек одинокий

Алексардр Придченко's picture
Offline
Last seen: 12 years 3 months ago
Joined: 03.12.2012 - 21:00
Posts: 39

[quote=Катенёв Валентин Львович]

При расшифровке флюорограмм, вот такая флюорограмма. А жалобы на боли в сердце, да и у кардиолога на учёте.

Релаксация левого купола диафрагмы. 

Катенёв Валентин Львович's picture
Offline
Last seen: 7 years 1 month ago
Joined: 22.03.2008 - 22:15
Posts: 54876

А, что понимается под "релаксацией"?

Может то, что купол диафрагмы слева выше, чем справа?

И.Бондаренко's picture
Offline
Last seen: 3 days 20 hours ago
Joined: 13.09.2011 - 22:55
Posts: 9206

Боковые на флю не делаете?

Катенёв Валентин Львович's picture
Offline
Last seen: 7 years 1 month ago
Joined: 22.03.2008 - 22:15
Posts: 54876

Законный вопрос! Правильный вопрос!

Я взял за экран.

Катенёв Валентин Львович's picture
Offline
Last seen: 7 years 1 month ago
Joined: 22.03.2008 - 22:15
Posts: 54876

За экраном...

Последний снимок в положении лежа.

Приложения: 
11.dscn0748.jpg12.dscn0749.jpg13.dscn0749a.jpg14.dscn0750.jpg15.dscn0750a.jpg
Наталия Васильевна's picture
Offline
Last seen: 5 years 9 months ago
Joined: 25.09.2011 - 09:02
Posts: 754

И давно это у него или была симпатэктомия?

Катенёв Валентин Львович's picture
Offline
Last seen: 7 years 1 month ago
Joined: 22.03.2008 - 22:15
Posts: 54876

Как свидетельствует флюшечный архив, уже года три, так точно есть.

И.Бондаренко's picture
Offline
Last seen: 3 days 20 hours ago
Joined: 13.09.2011 - 22:55
Posts: 9206

Встречается и такая релаксация. Видел несколько раз и то в пособиях и учебниках. Вначале, глядя на его сердце, подумал о ТЭЛА.

Андрей Кастарнов's picture
Offline
Last seen: 8 years 9 months ago
Joined: 11.11.2012 - 14:04
Posts: 107

Александр Придченко, я вот понаблюдал как вы тут всех троллить пытаетесь, выставляя себя умом вселенной, а сами допускаете грубейшие ошибки в терминологии!!! как вы говорите "читайте книги"), а именно анатомию человека! диафрагма у нас одна? она образует купол ОДИН! а на рентгенограмме мы видим ПРАВУЮ ПОЛОВИНУ купола диафрагмы и ЛЕВУЮ ПОЛОВИНУ КУПОЛА!

Петрович's picture
Offline
Last seen: 7 years 3 months ago
Joined: 22.03.2009 - 01:13
Posts: 3908

А мне что-то бронхиальное дерево слева не понравилось. Уже томограммы хочется).

Неоднозначно всё

brainmodel's picture
Offline
Last seen: 3 months 2 weeks ago
Joined: 18.03.2010 - 22:04
Posts: 2881

Релаксация.. Элевация.. Не исключается грыжа левой половины купола (был у меня один паренек - выглядело, как релаксация, поступил с заворотом желудка, контраст лишь до кардии дошел, на операции была грыжа купола, ворота рассекли, желудок выправили). А газ в кишке и давит. Симптоматика будет кардио-симулирующей. Сердце увеличено и смещено. Стенки бронхов обызвествлены и грубо деформированы.

Verum plus uno esse non potest.

brainmodel's picture
Offline
Last seen: 3 months 2 weeks ago
Joined: 18.03.2010 - 22:04
Posts: 2881

Nikolas wrote:

человек одинокий

Почему?

Verum plus uno esse non potest.

Nikolas's picture
Offline
Last seen: 3 days 5 hours ago
Joined: 21.12.2010 - 20:37
Posts: 4560

Одиноким старикам и страрухам приходится иногда самим таскать, передвигать тяжелые вещи. Один такой пациент претащил мешок с картошкой с одного места на другое. Почувствовал боль в левой половине грудной кл. Обратися к врачу. На ЭКГ - без патологии. На рентгенограмме ОГК грыжа слева. Просмотрели фл. архив - норма. Вот почему я задал такой вопрос. Предположил грыжу. Спасибо за вопрос. Вопросы всегда и ответы на них очень полезны для всех. Граждане сайта! Не стесняйтесь задавать вопросы по представленным клинически наблюдениям. С уважением Nikolas

Катенёв Валентин Львович's picture
Offline
Last seen: 7 years 1 month ago
Joined: 22.03.2008 - 22:15
Posts: 54876

Петрович wrote:

А мне что-то бронхиальное дерево слева не понравилось. Уже томограммы хочется).

Не делали томограмм уважаемый Петрович!