You are here

Пациент взят "на контроль".

Пол пациента: 
Тип патологии: 
Методы исследования: 

Пациент взят "на контроль". Дообследован.

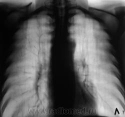
Рентгенограмма.

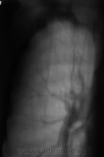
1. срез.

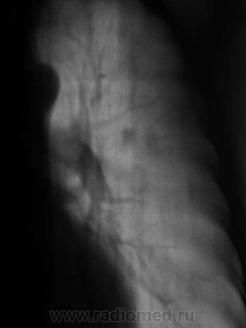
2 срез

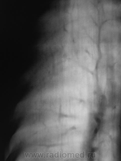
3 срез

Ваше мнение уважаемые коллеги?

  • https://radiomed.ru/sites/default/files/styles/case_slider_image/public/user/12/2..Ez_.JPG?itok=XnioVs7S
  • https://radiomed.ru/sites/default/files/styles/case_slider_image/public/user/12/3..Ez_.jpg?itok=HFEw4S6L
  • https://radiomed.ru/sites/default/files/styles/case_slider_image/public/user/12/11..Ez_.JPG?itok=ogRTDigO
  • https://radiomed.ru/sites/default/files/styles/case_slider_image/public/user/12/12..Ez_.JPG?itok=zKJY0jqx
  • https://radiomed.ru/sites/default/files/styles/case_slider_image/public/user/12/13..Ez_.jpg?itok=oKEblQh0
  • https://radiomed.ru/sites/default/files/styles/case_slider_image/public/user/12/14..Ez_.JPG?itok=KtnA7AXt
  • https://radiomed.ru/sites/default/files/styles/case_slider_image/public/user/12/15..Ez_.jpg?itok=OR9geXT-
  • https://radiomed.ru/sites/default/files/styles/case_slider_image/public/user/12/16..Ez_.JPG?itok=uZt9jviP
  • https://radiomed.ru/sites/default/files/styles/case_slider_image/public/user/12/17..Ez_.jpg?itok=AaGOWpWB
  • https://radiomed.ru/sites/default/files/styles/case_slider_image/public/user/12/21..Ez_.JPG?itok=PXqv3Wf8
  • https://radiomed.ru/sites/default/files/styles/case_slider_image/public/user/12/22..Ez_.JPG?itok=euW5ZCjF
  • https://radiomed.ru/sites/default/files/styles/case_slider_image/public/user/12/23..Ez_.JPG?itok=BSXo1OeP
ID:1426
Грицько Виталий's picture
Offline
Last seen: 9 years 4 months ago
Joined: 05.01.2010 - 14:06
Posts: 1058

С двух сторон в верхних долях очаги. На вскидку tbs. А что с клиникой, анализами, анамнез.

Катенёв Валентин Львович's picture
Offline
Last seen: 7 years 5 months ago
Joined: 22.03.2008 - 22:15
Posts: 54876

Пациент взят на контроль после прохождения профилактической флюорографии. Жалоб нет, соответственно нет и анамнеза. В 2009 флюорографию не проходил, в 2008 году - флюорограмма- "голубая норма"

stovbav's picture
Offline
Last seen: 2 years 6 months ago
Joined: 20.12.2009 - 17:28
Posts: 7066

Двусторонний очаговый туберкулез.

Катенёв Валентин Львович's picture
Offline
Last seen: 7 years 5 months ago
Joined: 22.03.2008 - 22:15
Posts: 54876

А, эти тени, тоже можно отнести к "тубарским"?

 

Приложения: 
1._Tenyuha.JPG2._Tenyuha.JPG3._Tenyuha.JPG4._Tenyuha.JPG5.Tenyuha..JPG
stovbav's picture
Offline
Last seen: 2 years 6 months ago
Joined: 20.12.2009 - 17:28
Posts: 7066

Катенёв Валентин Львович wrote:

А, эти тени, тоже можно отнести к "тубарским"?

 

А во что же их еще определить? По ходу диференцировать с мальформациями ...нижняя на какого то "крабика" смахивает...хотя это еще ничего не значит...

Грицько Виталий's picture
Offline
Last seen: 9 years 4 months ago
Joined: 05.01.2010 - 14:06
Posts: 1058

Под анамнезом я имел в виду наличие тубконтакта. Не все пациенты с жалобами обращаются за медпомощью.

Катенёв Валентин Львович's picture
Offline
Last seen: 7 years 5 months ago
Joined: 22.03.2008 - 22:15
Posts: 54876

Пациента "колол" коллега фтизиатр по поводу контакта и окружения, фтизиатры в этом векторе, вообще умеют "колоть", но прицепиться не к чему. В течение 2- лет за мед помощью не обращался.

lupan's picture
Offline
Last seen: 7 years 2 months ago
Joined: 07.01.2010 - 17:17
Posts: 1406

Катенёв Валентин Львович wrote:

Пациента "колол" коллега фтизиатр по поводу контакта и окружения, фтизиатры в этом векторе, вообще умеют "колоть", но прицепиться не к чему. В течение 2- лет за мед помощью не обращался.

А чего там "колоть"?  Просто спросить:"А Вы общественным транспортом пользуетесь? В общественных местах бываете?" Вот и туб.анамнез.

Великое преймущество врача заключается в том, что он не обязан следовать собственным советам. ( А. Кристи)

ElenaG's picture
Offline
Last seen: 15 years 12 months ago
Joined: 23.02.2010 - 23:21
Posts: 69

В s 1 -2 и глубоких отделах s6судя по срезам очаги,справа с включениями кальция,на фоне фоброзно измененного легочного рисунка

Грицько Виталий's picture
Offline
Last seen: 9 years 4 months ago
Joined: 05.01.2010 - 14:06
Posts: 1058

stovbav wrote:

Двусторонний очаговый туберкулез.

Скорее диссеминирмванный так как пораженно более 2-х сегментов.

ElenaG's picture
Offline
Last seen: 15 years 12 months ago
Joined: 23.02.2010 - 23:21
Posts: 69

Согласна

Игорь Иванович's picture
Offline
Last seen: 4 years 1 month ago
Joined: 23.01.2010 - 14:56
Posts: 3695

Такое ощущение, что он свой ТБС уже пережил, возможно на ногах. Иногда фтизиатры пользуются термином - самоизлеченный ТБС ( возможно чуть по другому). А вот те тенюшки в левом легком - это то, что может вырасти в дальнейшем в какое-нибудь деонтологическое заболевание. Цепляться ли за них сейчас? Через год будет поздно. Мы такое уже проходили. И что-же делать?

Катенёв Валентин Львович's picture
Offline
Last seen: 7 years 5 months ago
Joined: 22.03.2008 - 22:15
Posts: 54876

lupan wrote:

А чего там "колоть"?  Просто спросить:"А Вы общественным транспортом пользуетесь? В общественных местах бываете?" Вот и туб.анамнез.

Класс!

Nikolas's picture
Offline
Last seen: 1 month 1 week ago
Joined: 21.12.2010 - 20:37
Posts: 4560

Коллеги, кто может, укажите стрелками на обзорной рентгенограмме очаги. Я не вижу.

Евгений Алексеевич's picture
Offline
Last seen: 5 years 4 months ago
Joined: 28.06.2013 - 16:23
Posts: 4122

Согласен, нежные дела и проглядеть легче легкого по бзорке, тем более там где зачастую не ждешь его)))