Муковисцидоз. Саркома мягких тканей. Метастатическое поражение легких.
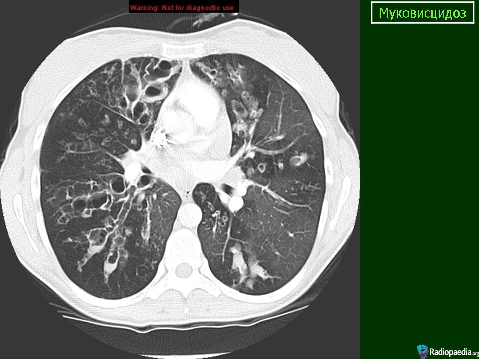
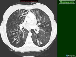
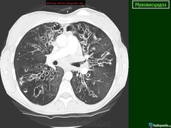
На обзорной рентгенограмме органов грудной клетки в прямой и правой боковой проекции: легочный рисунок с обеих сторон усилен деформирован. Во всех отделах видны множественные разнокалиберные просветления, кольцевидные образования, очаги, фокусы уплотнения неоднородной структуры округлой, овальной или неправильной формы размерами от 0,5 см - 2,0 см диаметром до 4,0х1,5см. Корни легких уплотнены, от них отходят грубые тяжи. Компьютерные томограммы. В легких с обеих сторон просветы бронхов расширены, деформированы, стенки их утолщены. Видны множественные цилиндрические, мешотчатые и веретенообразные бронхоэктазы, отдельные из которых заполнены секретом. Отмечается неравномерное утолщение междольковых перегородок, перибронхиального и периваскулярного интерстиция. В S10 нижней доли правого легкого, а так же в S9 и S10 нижней доли левого легкого выявляются метастазы в виде мягкотканой плотности округлой формы образований с четкими контурами.
Муковисцидоз (син.: кистозный фиброз поджелудочной железы, синдром Фанкони) - наследственное заболевание, характеризующееся системным поражением экзокринных желез, причем как слизеобразующих (респираторного тракта, кишечника, поджелудочной железы), так и серозных (слюнных, потовых, слезных). Характерной чертой муковисцидоза является повышение вязкости секрета слизеобразующих желез и как следствие обусловливает резкое нарушение очистительной функции бронхов и бронхиальной проходимости. Изменения в органах дыхания могут встречаться практически изолированно или же сочетаться с нарушениями функций органов пищеварения (преимущественно поджелудочной железы и кишечника). Поражение неслизеобразующих желез играет значительно меньшую роль в патологии и выражается в значительном увеличении секреции ими ионов натрия и хлора.
До недавнего времени больные погибали в раннем детстве. В последние годы, благодаря совершенствованию методов лечения, число больных муковисцидозом, доживающих до 20 лет и более старшего возраста, значительно увеличилось. Есть точка зрения, что стертые и в большинстве случаев не диагностируемые формы заболевания лежат в основе обструктивных бронхитов и иной хронической бронхолегочной патологии у весьма значительного числа больных.
По мнению большинства исследователей, муковисцидоз представляет собой заболевание с аутосомно-рецессивным типом наследования. Предполагается, что ген заболевания локализуется в 21-й хромосоме.
Патогенез. Поскольку первичный биохимический или молекулярно-биологический дефект, лежащий в основе муковисцидоза, пока точно не установлен, отсутствует и универсальная теория патогенеза этой болезни.
Установлено, что при муковисцидозе имеет место нарушение реабсорбции хлорида натрия на уровне экскреторных каналов всех экзокринных желез в сочетании с нарушением состава гликопротеидов слизи в железах, продуцирующих последнюю. Это связано с врожденным дефектом клеточной мембраны желёз.
При муковисцидозе в слизистом секрете нарушается нормальное соотношение между сиаломуцинами, фукомуцинами и сульфомуцинами в направлении резкого преобладания сиаломуцинов, что является важной причиной повышения вязкости.
В эпителиальных клетках, выстилающих дыхательные пути нарушается реабсорбция натрия и хлора, что способствует уменьшению водного компонента перицилиарной жидкости и приводит к «выслушиванию» слизи респираторного тракта, коллапсу и нарушению функции ворсинок мерцательного эпителия, аккумуляции в бронхах вязкой слизи и нарушению мукоцилиарного клиренса, способствующему развитию и прогрессированию инфекционного процесса в дыхательных путях, способствует и обструктивным нарушениям.
Инфекционный процесс в бронхиальном дереве играет важную роль в патогенезе муковисцидоза. Основную роль в этиологии инфекционного процесса в бронхах играют золотистый стафилококк, гемофильная палочка и синегнойная палочка, причем два первых микроорганизма выявляются главным образом в раннем детском возрасте, тогда как в дальнейшем основное значение приобретает синегнойная палочка, борьба с которой является весьма сложной проблемой лечения в связи с ее резистентностью к фагоцитозу полинуклеарными лейкоцитами и к большинству антибактериальных средств.
Основным морфологическим признаком муковисцидоза является обнаружение тягучего, вязкого секрета в просветах бронхов и выводных протоках слизистых желез, которые представляются расширенными, железистый эпителий частично атрофируется, уменьшение количества ресничек клеток мерцательного эпителия.
Формы поражений легких при муковисцидозе: 1) легочную (без клинических проявлений поражения других органов и систем); 2) смешанную, в том числе с преимущественным поражением дыхательной системы или других органов. По течению различают следующие формы заболевания: легкую (стертую), средней тяжести, в том числе с медленным и быстрым прогрессированием, и тяжелую. Поражения дыхательной системы наблюдаются практически во всех случаях муковисцидоза.
Формулируя диагноз, следует указывать фазу течения заболевания - обострение (в том числе с умеренной, выраженной и резко выраженной активностью инфекционного процесса) или ремиссия.
Клиническая картина. Признаки поражения легких при муковисцидозе чаще всего возникают на первом-втором году жизни ребенка (у 90%) и у 10% - в подростковом возрасте. Раннее начало легочных проявлений наряду с наличием в анамнезе сведений о мекониальном илеусе в период новорожденности, замедленном физическом развитии, частом поносе, непереносимости жирной пищи следует считать характерным признаком муковисцидоза.
Анамнез. Определенное диагностическое значение имеет собирание семейного анамнеза - наличие среди родственников больного (братья, сестры, племянники и племянницы, двоюродные братья и сестры, дяди и тетки) лиц, страдавших в раннем детстве непроходимостью кишечника или упорным поносом, а также заболеваниями органов дыхания (пневмонии) либо лихорадкой неясного происхождения, в том числе умерших от таких причин.
Характерны повторные, тяжело протекающие и трудно поддающиеся лечению бронхиты, а также пневмонии, чаще двусторонние, с развитием полисегментарных ателектазов, обычно принимающие затяжное течение.
Жалобы: на мучительный приступообразный кашель с вязкой, трудно отхаркиваемой мокротой (является типичной жалобой), одышку при умеренных физических нагрузках, а иногда даже в покое. Иногда отмечается кровохарканье. До 80% больных предъявляют те или иные жалобы, обусловленные поражением пищеварительной системы, в том числе на чередование поноса и запора, урчание в животе, плохую переносимость жиров («жирный» полужидкий или жидкий кал), боли в эпигастральной области в связи с язвой желудка, боли в правом подреберье вследствие сопутствующего холецистита.
Физикальное обследование: бледность кожных покровов, иногда одутловатость лица, умеренный или выраженный цианоз видимых слизистых оболочек. Грудная клетка иногда имеет увеличенный сагиттальный размер (бочкообразная форма).
При перкуссии могут определяться признаки эмфиземы (коробочный тон, сужение перкуторных границ сердца, низкое стояние и малая подвижность диафрагмы). При аускультации выслушиваются жесткое, а в верхних отделах нередко ослабленное дыхание, рассеянные сухие хрипы, влажные средне- и мелкопузырчатые хрипы, особенно ярко выраженные в периоды обострений.
Рентгенологическая картина: распространенное усиление легочного рисунка за счет интерстициальных изменений. Легочный рисунок представляется тяжистым в случае преобладания перибронхиальных изменений или сетчатым при вовлечении в процесс периацинарных и перилобулярных элементов соединительной ткани. Корни легких расширены. При эмфизематозных изменениях обнаруживаются повышение прозрачности легочных полей, преимущественно в верхних отделах. В периоды обострений интерстициальные изменения нарастают, появляется сегментарная или полисегментарная пневмоническая инфильтрация.
При бронхографии выявляются изменения, связанные с гиперсекрецией вязкой мокроты («обрывы» бронхов, фрагментированное их заполнение, неровность контуров, уменьшение числа боковых ветвей). Более чем у трети больных обнаруживаются цилиндрические, реже смешанные, бронхоэктазии в нижних отделах легких.
Бронхоскопия: диффузный гнойный эндобронхит с характерными слизисто-гнойными тяжами, располагающимися по продольным складкам слизистой оболочки, иногда обширные фибринозные («дифтероидные») пленки. Секрет вязкий, с трудом аспирируется.
Исследование функции внешнего дыхания: вентиляция нарушена по обструктивно-рестриктивному типу, остаточный обьём лёгких увеличивается уже на ранних этапах заболевания, уменьшается соотношение остаточная ёмкость лёгких/жизненная ёмкость лёгких, снижаются индекс Тиффно (форсированный выдох за 1 сек/жизненная ёмкость лёгких) и другие скоростные показатели.
Решающее значение в диагностике и дифференциальной диагностике муковисцидоза имеет исследование электролитов пота (потовая проба), которое Международная ассоциация по кистозному фиброзу рекомендует производить по методу Гибсона и Кука.
В детской практике содержание в поте хлоридов выще 60 ммоль/л и натрия выше 70 ммоль/л большинство авторов считают абсолютным доказательством наличия муковисцидоза. Концентрация хлоридов и натрия ниже 40 ммоль/л позволяет отвергнуть этот диагноз. При концентрации 40-60 ммоль/л и наличии клинических признаков муковисцидоза необходимы динамическое наблюдение за больными и повторные анализы электролитов пота. Теми же критериями можно пользоваться и при обследовании взрослых, хотя концентрация электролитов пота в норме у них несколько выше, чем у детей.
Течение заболевания характеризуется периодическими обострениями и ремиссиями. Обострения протекают чаще по бронхитическому, реже по пневмоническому, типу, причем пневмонии отличаются тяжелым затяжным течением и склонностью к деструкции.
Осложнений муковисцидоза со стороны дыхательной системы: СП, кровохарканье. Может развиться тяжелая бронхиальная астма. Дыхательную недостаточность следует считать характерным проявлением при тяжелом и средней тяжести муковисцидозе. В терминальной фазе заболевания возникают проявления легочного сердца (набухание шейных вен, увеличение печени, отеки нижних конечностей и в области поясницы. Симптомы со стороны органов пищеварения (понос, «жирный» кал, плохая переносимость жиров и т. д.) являются типичными проявлениями заболевания, а не его осложнениями.
Спасибо вам Валентин Львович за предоставляемые материалы, они всегда наглядные и вызывают польшой интерес
Муковисцидоз. Саркома мягких тканей. Метастатическое поражение легких.
На обзорной рентгенограмме органов грудной клетки в прямой и правой боковой проекции: легочный рисунок с обеих сторон усилен деформирован. Во всех отделах видны множественные разнокалиберные просветления, кольцевидные образования, очаги, фокусы уплотнения неоднородной структуры округлой, овальной или неправильной формы размерами от 0,5 см - 2,0 см диаметром до 4,0х1,5см. Корни легких уплотнены, от них отходят грубые тяжи.
Компьютерные томограммы. В легких с обеих сторон просветы бронхов расширены, деформированы, стенки их утолщены. Видны множественные цилиндрические, мешотчатые и веретенообразные бронхоэктазы, отдельные из которых заполнены секретом. Отмечается неравномерное утолщение междольковых перегородок, перибронхиального и периваскулярного интерстиция. В S10 нижней доли правого легкого, а так же в S9 и S10 нижней доли левого легкого выявляются метастазы в виде мягкотканой плотности округлой формы образований с четкими контурами.
Муковисцидоз
Муковисцидоз
Муковисцидоз (син.: кистозный фиброз поджелудочной железы, синдром Фанкони) - наследственное заболевание, характеризующееся системным поражением экзокринных желез, причем как слизеобразующих (респираторного тракта, кишечника, поджелудочной железы), так и серозных (слюнных, потовых, слезных). Характерной чертой муковисцидоза является повышение вязкости секрета слизеобразующих желез и как следствие обусловливает резкое нарушение очистительной функции бронхов и бронхиальной проходимости. Изменения в органах дыхания могут встречаться практически изолированно или же сочетаться с нарушениями функций органов пищеварения (преимущественно поджелудочной железы и кишечника). Поражение неслизеобразующих желез играет значительно меньшую роль в патологии и выражается в значительном увеличении секреции ими ионов натрия и хлора.
До недавнего времени больные погибали в раннем детстве. В последние годы, благодаря совершенствованию методов лечения, число больных муковисцидозом, доживающих до 20 лет и более старшего возраста, значительно увеличилось. Есть точка зрения, что стертые и в большинстве случаев не диагностируемые формы заболевания лежат в основе обструктивных бронхитов и иной хронической бронхолегочной патологии у весьма значительного числа больных.
По мнению большинства исследователей, муковисцидоз представляет собой заболевание с аутосомно-рецессивным типом наследования. Предполагается, что ген заболевания локализуется в 21-й хромосоме.
Патогенез. Поскольку первичный биохимический или молекулярно-биологический дефект, лежащий в основе муковисцидоза, пока точно не установлен, отсутствует и универсальная теория патогенеза этой болезни.
Установлено, что при муковисцидозе имеет место нарушение реабсорбции хлорида натрия на уровне экскреторных каналов всех экзокринных желез в сочетании с нарушением состава гликопротеидов слизи в железах, продуцирующих последнюю. Это связано с врожденным дефектом клеточной мембраны желёз.
При муковисцидозе в слизистом секрете нарушается нормальное соотношение между сиаломуцинами, фукомуцинами и сульфомуцинами в направлении резкого преобладания сиаломуцинов, что является важной причиной повышения вязкости.
В эпителиальных клетках, выстилающих дыхательные пути нарушается реабсорбция натрия и хлора, что способствует уменьшению водного компонента перицилиарной жидкости и приводит к «выслушиванию» слизи респираторного тракта, коллапсу и нарушению функции ворсинок мерцательного эпителия, аккумуляции в бронхах вязкой слизи и нарушению мукоцилиарного клиренса, способствующему развитию и прогрессированию инфекционного процесса в дыхательных путях, способствует и обструктивным нарушениям.
Инфекционный процесс в бронхиальном дереве играет важную роль в патогенезе муковисцидоза. Основную роль в этиологии инфекционного процесса в бронхах играют золотистый стафилококк, гемофильная палочка и синегнойная палочка, причем два первых микроорганизма выявляются главным образом в раннем детском возрасте, тогда как в дальнейшем основное значение приобретает синегнойная палочка, борьба с которой является весьма сложной проблемой лечения в связи с ее резистентностью к фагоцитозу полинуклеарными лейкоцитами и к большинству антибактериальных средств.
Основным морфологическим признаком муковисцидоза является обнаружение тягучего, вязкого секрета в просветах бронхов и выводных протоках слизистых желез, которые представляются расширенными, железистый эпителий частично атрофируется, уменьшение количества ресничек клеток мерцательного эпителия.
Формы поражений легких при муковисцидозе: 1) легочную (без клинических проявлений поражения других органов и систем); 2) смешанную, в том числе с преимущественным поражением дыхательной системы или других органов. По течению различают следующие формы заболевания: легкую (стертую), средней тяжести, в том числе с медленным и быстрым прогрессированием, и тяжелую. Поражения дыхательной системы наблюдаются практически во всех случаях муковисцидоза.
Формулируя диагноз, следует указывать фазу течения заболевания - обострение (в том числе с умеренной, выраженной и резко выраженной активностью инфекционного процесса) или ремиссия.
Клиническая картина. Признаки поражения легких при муковисцидозе чаще всего возникают на первом-втором году жизни ребенка (у 90%) и у 10% - в подростковом возрасте. Раннее начало легочных проявлений наряду с наличием в анамнезе сведений о мекониальном илеусе в период новорожденности, замедленном физическом развитии, частом поносе, непереносимости жирной пищи следует считать характерным признаком муковисцидоза.
Анамнез. Определенное диагностическое значение имеет собирание семейного анамнеза - наличие среди родственников больного (братья, сестры, племянники и племянницы, двоюродные братья и сестры, дяди и тетки) лиц, страдавших в раннем детстве непроходимостью кишечника или упорным поносом, а также заболеваниями органов дыхания (пневмонии) либо лихорадкой неясного происхождения, в том числе умерших от таких причин.
Характерны повторные, тяжело протекающие и трудно поддающиеся лечению бронхиты, а также пневмонии, чаще двусторонние, с развитием полисегментарных ателектазов, обычно принимающие затяжное течение.
Жалобы: на мучительный приступообразный кашель с вязкой, трудно отхаркиваемой мокротой (является типичной жалобой), одышку при умеренных физических нагрузках, а иногда даже в покое. Иногда отмечается кровохарканье. До 80% больных предъявляют те или иные жалобы, обусловленные поражением пищеварительной системы, в том числе на чередование поноса и запора, урчание в животе, плохую переносимость жиров («жирный» полужидкий или жидкий кал), боли в эпигастральной области в связи с язвой желудка, боли в правом подреберье вследствие сопутствующего холецистита.
Физикальное обследование: бледность кожных покровов, иногда одутловатость лица, умеренный или выраженный цианоз видимых слизистых оболочек. Грудная клетка иногда имеет увеличенный сагиттальный размер (бочкообразная форма).
При перкуссии могут определяться признаки эмфиземы (коробочный тон, сужение перкуторных границ сердца, низкое стояние и малая подвижность диафрагмы). При аускультации выслушиваются жесткое, а в верхних отделах нередко ослабленное дыхание, рассеянные сухие хрипы, влажные средне- и мелкопузырчатые хрипы, особенно ярко выраженные в периоды обострений.
Рентгенологическая картина: распространенное усиление легочного рисунка за счет интерстициальных изменений. Легочный рисунок представляется тяжистым в случае преобладания перибронхиальных изменений или сетчатым при вовлечении в процесс периацинарных и перилобулярных элементов соединительной ткани. Корни легких расширены. При эмфизематозных изменениях обнаруживаются повышение прозрачности легочных полей, преимущественно в верхних отделах. В периоды обострений интерстициальные изменения нарастают, появляется сегментарная или полисегментарная пневмоническая инфильтрация.
При бронхографии выявляются изменения, связанные с гиперсекрецией вязкой мокроты («обрывы» бронхов, фрагментированное их заполнение, неровность контуров, уменьшение числа боковых ветвей). Более чем у трети больных обнаруживаются цилиндрические, реже смешанные, бронхоэктазии в нижних отделах легких.
Бронхоскопия: диффузный гнойный эндобронхит с характерными слизисто-гнойными тяжами, располагающимися по продольным складкам слизистой оболочки, иногда обширные фибринозные («дифтероидные») пленки. Секрет вязкий, с трудом аспирируется.
Исследование функции внешнего дыхания: вентиляция нарушена по обструктивно-рестриктивному типу, остаточный обьём лёгких увеличивается уже на ранних этапах заболевания, уменьшается соотношение остаточная ёмкость лёгких/жизненная ёмкость лёгких, снижаются индекс Тиффно (форсированный выдох за 1 сек/жизненная ёмкость лёгких) и другие скоростные показатели.
Решающее значение в диагностике и дифференциальной диагностике муковисцидоза имеет исследование электролитов пота (потовая проба), которое Международная ассоциация по кистозному фиброзу рекомендует производить по методу Гибсона и Кука.
В детской практике содержание в поте хлоридов выще 60 ммоль/л и натрия выше 70 ммоль/л большинство авторов считают абсолютным доказательством наличия муковисцидоза. Концентрация хлоридов и натрия ниже 40 ммоль/л позволяет отвергнуть этот диагноз. При концентрации 40-60 ммоль/л и наличии клинических признаков муковисцидоза необходимы динамическое наблюдение за больными и повторные анализы электролитов пота. Теми же критериями можно пользоваться и при обследовании взрослых, хотя концентрация электролитов пота в норме у них несколько выше, чем у детей.
Течение заболевания характеризуется периодическими обострениями и ремиссиями. Обострения протекают чаще по бронхитическому, реже по пневмоническому, типу, причем пневмонии отличаются тяжелым затяжным течением и склонностью к деструкции.
Осложнений муковисцидоза со стороны дыхательной системы: СП, кровохарканье. Может развиться тяжелая бронхиальная астма. Дыхательную недостаточность следует считать характерным проявлением при тяжелом и средней тяжести муковисцидозе. В терминальной фазе заболевания возникают проявления легочного сердца (набухание шейных вен, увеличение печени, отеки нижних конечностей и в области поясницы. Симптомы со стороны органов пищеварения (понос, «жирный» кал, плохая переносимость жиров и т. д.) являются типичными проявлениями заболевания, а не его осложнениями.
Муковисцидоз
http://www.indeedopedia.com/index.php?id=49
Муковисцидоз
http://www.learningradiology.com/lectures/chestlectures/cysticfibrosis/Cystic%20Fibrosis/Cystic%20Fibrosis.html
Продолжение.