Различают 3 основных типа глубокого бластомикоза: северо-американский бластомикоз Джилкрайста (Гилкриста); европейский бластомикоз Буссе—Бушке; южно-американский бластомикоз. Названия «североамериканский» и «европейский» не соответствуют географическому распространению этих болезней, фактически они наблюдаются во многих странах мира.
Бластомикоз Гилкриста, или североамериканский бластомикоз (Gilch-rist disease, Chicago disease — англ. Blastomykose — нем.; blastomycose — франц.; blastomicosis — ucn.) — хроническое заболевание, относящееся к глубоким микозам, характеризуется образованием гранулем и гнойных процессов в легких, коже, подкожной клетчатке, а при диссеминации — во многих внутренних органах. Этиология. Возбудитель — Blastomyces dermalitidis относится к числу двухфазных грибов. В тканях он имеет вид круглых дрожжевидных клеток диаметром 8—15 мкм, на питательной среде Сабуро образуются колонии белой, позднее коричневатой окраски, состоящие в основном из нитей мицелия.
В тканях наблюдается только дрожжевая фаза гриба. При культивировании на свежей среде при температуре 37°С мицелиальная фаза может переходить в дрожжевую, а при температуре ниже 30°С она снова переходит в мицелиальную. В естественных условиях этот вид гриба обнаружен у собак и лошадей. Из лабораторных животных к бластомикозу чувствительны белые мыши. Эпидемиология. Источники и пути передачи инфекции изучены недостаточно. Возбудитель обнаруживался в почве, в иле. Описаны эпидемические вспышки среди людей и животных (собак), связанные с пребыванием на берегах небольших рек в лесистой местности. Достоверных случаев передачи инфекции от человека к человеку или от животного к человеку не описано. Во время эпидемических вспышек заболевали преимущественно дети. Нет данных о повышенной заболеваемости лиц с иммунодефицитами. Заболевали обычно лица с нормальной иммунной системой. Болезнь чаще наблюдалась в США, регистрировались спорадические случаи в Канаде, Австралии, Индии, Франции, Италии, Венгрии, единичные случаи наблюдались и в России. Патогенез. Воротами инфекции, вероятно, является респираторный тракт, о чем свидетельствуют преимущественные поражения органов дыхания. Поражения кожи, которые также нередко отмечаются у больных, являются вторичными в результате заноса инфекции из легких (локализации преимущественно на закрытых участках кожи). При генерализации инфекции возбудитель из легких попадает в различные органы (кости, печень, селезенка, центральная нервная система). В результате инфекции развивается аллергическая перестройка. Перенесенный бластомикоз оставляет длительный и стойкий иммунитет. У части инфицированных (около 50%) бластомикоз протекает бессимптомно. Симптомы и течение. Инкубационный период колеблется от 1 нед до 4 мес. В клинической картине бластомикоза основными проявлениями считаются поражение легких и папилломатозно-язвенный бластомикоз кожи. Поражения кожи развиваются обычно на фоне легочных изменений, последние наблюдаются почти у всех больных, тогда как изменения кожи могут отсутствовать. Легочная форма бластомикоза может начаться исподволь как первично-хроническая, без выраженной острой фазы болезни. Появляется общая слабость, кашель, повышается температура тела, но лишь у некоторых (около 20%) она превышает 38°С, снижается масса тела (у 40%), нередки боли в груди, одышка. Примесь крови в мокроте отмечается у 30% больных. Выслушиваются сухие и влажные хрипы. Шум трения плевры отмечается лишь у отдельных больных (10%). У некоторых больных возможны генерализованная лимфаденопатия, увеличение печени и селезенки. Характерные поражения кожи отмечаются у 30-80% больных.
Значительно реже (у 20—25% больных) легочная форма бластомикоза начинается остро, протекает с выраженной лихорадкой у всех больных, причем у 80—85% она поднимается выше 38°С. Почти у всех больных сильный кашель, боли в груди, выслушиваются сухие и влажные хрипы. Нередко имеется примесь крови в мокроте. Для этой формы не характерны увеличение печени и селезенки, поражения кожи, не выслушивается шум трения плевры. Процесс ограничивается в этой стадии легкими.
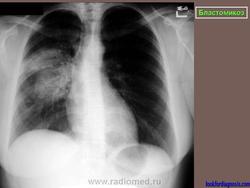
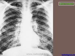
Рентгенологически отмечаются выраженные изменения лимфатических узлов средостения, очаговые инфильтраты, в некоторых из них развиваются каверны с неправильными контурами. При диссеминации процесс захватывает многие органы, эти формы часто заканчиваются гибелью больного.
Поражение кожи начинается с появления подкожного узелка, на месте которого образуется папула, затем везикула, пустула, превращающаяся в язву. На язвенной поверхности образуются папилломатозные разрастания с мелкими пустулами и корочками. Размеры поражения кожи постепенно увеличиваются, достигая 2—3 см в диаметре. Локализоваться они могут на любом участке кожи (чаще на руках, ногах, лице, ягодицах). На месте поражения при заживлении образуется тонкий мягкий рубец. Осложнения — артриты, остеомиелиты, поражение головного мозга (менингиты, абсцессы мозга). Диагноз и дифференциальный диагноз. Дифференцировать нужно от других длительно протекающих заболеваний легких (туберкулез, легочные формы аспергиллеза, нокардиоза, гистоплазмоза, абсцессы легких, новообразования). Большое диагностическое значение имеет характерное поражение кожи. Для подтверждения диагноза используют лабораторные методы, позволяющие обнаружить возбудителя или антитела к нему. Возбудитель можно выделить из гноя кожных поражений, кусочков биопсированной ткани, мокроты. Для получения культуры делают посевы на кровяной агар и среду Сабуро. Для выявления антител используют различные реакции (РСК, РЭМА, реакция бластгрансформации со специфическим антигеном и др.). Лечение. Острые формы легочного бластомикоза могут закончиться выздоровлением и без применения противомикозных препаратов. Хронические легочные формы, и особенно диссеминированные, требуют длительного лечения. В этих случаях назначают амфотерицин В, как и при аспергиллезе. В последние годы рекомендуюя использовать зарубежный препарат — кетоконазол (Ketoconazole), который применяют длительными курсами. При использовании относительно неоольшои дозы мг/сут) редко наблюдались побочные реакции, получены хорошие результаты, но у части больных (около 10%) болезнь рецидивировала. При дозе 800 мг/сут часто отмечались побочные реакции, но наступало полное выздоровление. При поражении мозга препарат малоэффективен. Прогноз. При диссеминированных формах без лечения погибают почти все больные. При других формах прогноз благоприятнее. Профилактика и мероприятия в очаге. Не разработаны.
БЛАСТОМИКОЗ БУССЕ-БУШКЕ ИЛИ КРИПТОКОККОЗ (CRIPTOCOCCOSIS)
Криптококкоз (синонимы: торулез, европейский бластомикоз; Krypto-kokkose — нем.; cryptococcose — франц.; criptococcosis — исп.) — подостро или хронически протекающий глубокий микоз, характеризующийся тяжелым течением с преимущественным поражением центральной нервной системы, реже легких, кожи и слизистых оболочек. Этиология. Возбудитель — Cryptococcus neoformans. В патологическом материале имеет вид дрожжевых клеток округлой формы диаметром 3-10 мкм, окруженных прозрачной желатинообразной капсулой шириной до 50 мкм. Мицелия не образует. Патогенен для лабораторных животных (белые мыши, крысы). Устойчив во внешней среде. Эпидемиология. Криптококк широко распространен в природе, его обнаруживают в помете голубей, воробьев и других птиц, при этом сами птицы не болеют. В высушенном состоянии криптококк может сохраняться в течение многих месяцев. Криптококк обнаруживали на слизистых оболочках здоровых людей в качестве сапрофита. Инфицирование человека происходит воздушно-пылевым путем. Патогенез. Воротами инфекции в большинстве случаев являются верхние дыхательные пути и легкие, реже наблюдается первичный криптококкоз кожи, возможно эндогенное развитие инфекции у здоровых носителей при снижении у них иммунной защиты (ВИЧ-инфицированные и др.). Заболевание чаше встречается у лиц 40-60 лет, мужчины болеют чаще, нередко криптококкоз развивался у больных лимфогранулематозом, что обусловлено также развивающимся иммунодефицитом.
Симптомы и течение. Длительность инкубационного периода не установлена. Наиболее характерным проявлением криптококкоза является менингоэнцефалит. Описывали его и под названием торулезного менингита. Заболевание характеризуется постепенным, малозаметным началом в виде приступов головной боли, чаще в лобной области, которые постепенно усиливаются, становятся нестерпимыми, перемещаются в затылочную область. Появляются менингеальные признаки, птоз, нистагм, гемиплегия. Сознание нарушено, бред. Характерная особенность заболевания при тяжелом состоянии температура тела остается субфебрильной. Течение болезни медленно прогрессирующее, ведущее к истощению, затем коматозному состоянию, смерть наступает от паралича дыхания через 4—6 мес от начала болезни. У 30% больных, кроме поражения центральной нервной системы, развивается криптококкоз легких.
Криптококкоз легких протекает в виде пневмонии, мало чем отличающейся от пневмоний другой этиологии, температура тела чаще субфебрильная, мокрота скудная, процесс чаще двухсторонний. При диссемини-рованной форме криптококкоза могут поражаться самые различные органы (печень, почки, селезенка и др.). Поражения кожи и слизистых оболочек протекают относительно легко.
У ВИЧ-инфицированных криптококкоз протекает почти исключительно в виде тяжелого менингита и менингоэнцефалита. Диагноз и дифференциальный диагноз. Клинически приходится дифференцировать от туберкулезного менингита, новообразований и абсцесса мозга. Подтверждением служит обнаружение криптококка. Прогноз. При менингеальной форме и диссеминированном криптококкозе прогноз плохой. При поражении кожи и слизистых оболочек благоприятный. Лечение амфотерицином В улучшает прогноз. Профилактика не разработана.
Бластомикоз южно-американский (синонимы: паракокцидиоидомикоз, паракокцидиоидоз, бразильский бластомикоз, болезнь Лютца—Сплендоре—Альменда; southamerican blastomycosis — англ.; Sudamerikanische Blas-tomykose — нем.; blastomycosebresilienne — франц.; blastomicose sul-ameri-can — исп.) является глубоким микозом, характеризуются хроническим прогрессирующим течением, язвенными гранулематозными поражениями кожи, слизистых оболочек и внутренних органов, преимущественно легких. Этиология — Paracoccidioides (Blastomyces) brasiliensis относится к двухфазным грибам; в тканях в виде почкующихся клеток (10—50 мкм), на питательных средах образует мицелий. Эпидемиология. Встречается в сельских районах с тропическим и субтропическим климатом. Эпидемиология не изучена.
Симптомы и течение. Первично поражается слизистая оболочка рта и носа, возникают язвы с гранулематозным дном, медленно увеличивающиеся в размерах, могут быть разрушены язык, голосовые связки, выпадают зубы. Кожа вовлекается в процесс вторично (процесс переходит со слизистых оболочек), поражаются регионарные лимфатические узлы, процесс может захватить легкие (процесс напоминает туберкулез легких), кишечник, кости, реже ЦНС. Диагноз и дифференциальный диагноз. Учитываются эпидемиологические данные (пребывание в эндемичной местности), клиническая симптоматика. Подтверждается диагноз обнаружением гриба в грануляционной ткани (соскоб) или в мокроте. Лечение. См. Бластомикоз Гилкриста.
Прогноз благоприятный. Профилактика не разработана.
Бластомикоз (болезнь Джилкриста — Gilchrist) — это специфическое кожное заболевание гранулематозного характера, которое в редких случаях сочетается с поражениями и костной системы. В коже и подкожной клетчатке, внутренних органах, а также в костях возникают множественные грануляционно-воспалительные инфильтраты, внешне напоминающие в какой-то мере опухолевые утолщения, но склонные к некротическому распаду, нагноению, образованию свищей. Вызывающие бластомикоз патогенные грибки многочисленны и весьма разнообразны, — мы их не будем перечислять. Заболевание начинается как остро, так и первично-хронически. Оно протекает длительно, годами, имеет циклическое развитие, когда периоды ухудшения чередуются с периодами временного улучшения, и по клиническим проявлениям почти совсем не отличается от актиномикоза.
Костные очаги в противовес актиномикозу при бластомикозе чаще всего множественны и рассеянны, имеют гематогенное происхождение, а не возникают обязательно от прямого перехода с мягких тканей по соседству. Фокусы гнездятся преимущественно в длинных трубчатых костях, ребрах, ключице, лопатке с ее отростками, своде черепа, позвоночнике. На рентгенограммах деструктивные очаги, как вообще при остеомикозах, склонны к слиянию и не вызывают реактивного остеосклероза. На поверхности длинных трубчатых костей все же подчас бывают довольно значительные периоститы. Остеопороз обычно отсутствует. Возможно осложнение со стороны суставов.
Рентгенологическая картина бластомикоза, таким образом, лишена каких-либо специфических черт, и точный этиологический диагноз основывается только на микологических данных.
Различают 3 основных типа глубокого бластомикоза: северо-американский бластомикоз Джилкрайста (Гилкриста); европейский бластомикоз Буссе—Бушке; южно-американский бластомикоз. Названия «североамериканский» и «европейский» не соответствуют географическому распространению этих болезней, фактически они наблюдаются во многих странах мира.
БЛАСТОМИКОЗ ГИЛКРИСТА (BLASTOMYCOSIS PROFUNDA GILCHRJST)
Бластомикоз Гилкриста, или североамериканский бластомикоз (Gilch-rist disease, Chicago disease — англ. Blastomykose — нем.; blastomycose — франц.; blastomicosis — ucn.) — хроническое заболевание, относящееся к глубоким микозам, характеризуется образованием гранулем и гнойных процессов в легких, коже, подкожной клетчатке, а при диссеминации — во многих внутренних органах.
Этиология. Возбудитель — Blastomyces dermalitidis относится к числу двухфазных грибов. В тканях он имеет вид круглых дрожжевидных клеток диаметром 8—15 мкм, на питательной среде Сабуро образуются колонии белой, позднее коричневатой окраски, состоящие в основном из нитей мицелия.
В тканях наблюдается только дрожжевая фаза гриба. При культивировании на свежей среде при температуре 37°С мицелиальная фаза может переходить в дрожжевую, а при температуре ниже 30°С она снова переходит в мицелиальную. В естественных условиях этот вид гриба обнаружен у собак и лошадей. Из лабораторных животных к бластомикозу чувствительны белые мыши.
Эпидемиология. Источники и пути передачи инфекции изучены недостаточно. Возбудитель обнаруживался в почве, в иле. Описаны эпидемические вспышки среди людей и животных (собак), связанные с пребыванием на берегах небольших рек в лесистой местности. Достоверных случаев передачи инфекции от человека к человеку или от животного к человеку не описано. Во время эпидемических вспышек заболевали преимущественно дети. Нет данных о повышенной заболеваемости лиц с иммунодефицитами. Заболевали обычно лица с нормальной иммунной системой. Болезнь чаще наблюдалась в США, регистрировались спорадические случаи в Канаде, Австралии, Индии, Франции, Италии, Венгрии, единичные случаи наблюдались и в России.
Патогенез. Воротами инфекции, вероятно, является респираторный тракт, о чем свидетельствуют преимущественные поражения органов дыхания. Поражения кожи, которые также нередко отмечаются у больных, являются вторичными в результате заноса инфекции из легких (локализации преимущественно на закрытых участках кожи). При генерализации инфекции возбудитель из легких попадает в различные органы (кости, печень, селезенка, центральная нервная система). В результате инфекции развивается аллергическая перестройка. Перенесенный бластомикоз оставляет длительный и стойкий иммунитет. У части инфицированных (около 50%) бластомикоз протекает бессимптомно.
Симптомы и течение. Инкубационный период колеблется от 1 нед до 4 мес. В клинической картине бластомикоза основными проявлениями считаются поражение легких и папилломатозно-язвенный бластомикоз кожи. Поражения кожи развиваются обычно на фоне легочных изменений, последние наблюдаются почти у всех больных, тогда как изменения кожи могут отсутствовать. Легочная форма бластомикоза может начаться исподволь как первично-хроническая, без выраженной острой фазы болезни. Появляется общая слабость, кашель, повышается температура тела, но лишь у некоторых (около 20%) она превышает 38°С, снижается масса тела (у 40%), нередки боли в груди, одышка. Примесь крови в мокроте отмечается у 30% больных. Выслушиваются сухие и влажные хрипы. Шум трения плевры отмечается лишь у отдельных больных (10%). У некоторых больных возможны генерализованная лимфаденопатия, увеличение печени и селезенки. Характерные поражения кожи отмечаются у 30-80% больных.
Значительно реже (у 20—25% больных) легочная форма бластомикоза начинается остро, протекает с выраженной лихорадкой у всех больных, причем у 80—85% она поднимается выше 38°С. Почти у всех больных сильный кашель, боли в груди, выслушиваются сухие и влажные хрипы. Нередко имеется примесь крови в мокроте. Для этой формы не характерны увеличение печени и селезенки, поражения кожи, не выслушивается шум трения плевры. Процесс ограничивается в этой стадии легкими.
Рентгенологически отмечаются выраженные изменения лимфатических узлов средостения, очаговые инфильтраты, в некоторых из них развиваются каверны с неправильными контурами. При диссеминации процесс захватывает многие органы, эти формы часто заканчиваются гибелью больного.
Поражение кожи начинается с появления подкожного узелка, на месте которого образуется папула, затем везикула, пустула, превращающаяся в язву. На язвенной поверхности образуются папилломатозные разрастания с мелкими пустулами и корочками. Размеры поражения кожи постепенно увеличиваются, достигая 2—3 см в диаметре. Локализоваться они могут на любом участке кожи (чаще на руках, ногах, лице, ягодицах). На месте поражения при заживлении образуется тонкий мягкий рубец.
Осложнения — артриты, остеомиелиты, поражение головного мозга (менингиты, абсцессы мозга).
Диагноз и дифференциальный диагноз. Дифференцировать нужно от других длительно протекающих заболеваний легких (туберкулез, легочные формы аспергиллеза, нокардиоза, гистоплазмоза, абсцессы легких, новообразования). Большое диагностическое значение имеет характерное поражение кожи. Для подтверждения диагноза используют лабораторные методы, позволяющие обнаружить возбудителя или антитела к нему. Возбудитель можно выделить из гноя кожных поражений, кусочков биопсированной ткани, мокроты. Для получения культуры делают посевы на кровяной агар и среду Сабуро. Для выявления антител используют различные реакции (РСК, РЭМА, реакция бластгрансформации со специфическим антигеном и др.).
Лечение. Острые формы легочного бластомикоза могут закончиться выздоровлением и без применения противомикозных препаратов. Хронические легочные формы, и особенно диссеминированные, требуют длительного лечения. В этих случаях назначают амфотерицин В, как и при аспергиллезе. В последние годы рекомендуюя использовать зарубежный препарат — кетоконазол (Ketoconazole), который применяют длительными курсами. При использовании относительно неоольшои дозы мг/сут) редко наблюдались побочные реакции, получены хорошие результаты, но у части больных (около 10%) болезнь рецидивировала. При дозе 800 мг/сут часто отмечались побочные реакции, но наступало полное выздоровление. При поражении мозга препарат малоэффективен.
Прогноз. При диссеминированных формах без лечения погибают почти все больные. При других формах прогноз благоприятнее.
Профилактика и мероприятия в очаге. Не разработаны.
БЛАСТОМИКОЗ БУССЕ-БУШКЕ ИЛИ КРИПТОКОККОЗ (CRIPTOCOCCOSIS)
Криптококкоз (синонимы: торулез, европейский бластомикоз; Krypto-kokkose — нем.; cryptococcose — франц.; criptococcosis — исп.) — подостро или хронически протекающий глубокий микоз, характеризующийся тяжелым течением с преимущественным поражением центральной нервной системы, реже легких, кожи и слизистых оболочек.
Этиология. Возбудитель — Cryptococcus neoformans. В патологическом материале имеет вид дрожжевых клеток округлой формы диаметром 3-10 мкм, окруженных прозрачной желатинообразной капсулой шириной до 50 мкм. Мицелия не образует. Патогенен для лабораторных животных (белые мыши, крысы). Устойчив во внешней среде.
Эпидемиология. Криптококк широко распространен в природе, его обнаруживают в помете голубей, воробьев и других птиц, при этом сами птицы не болеют. В высушенном состоянии криптококк может сохраняться в течение многих месяцев. Криптококк обнаруживали на слизистых оболочках здоровых людей в качестве сапрофита. Инфицирование человека происходит воздушно-пылевым путем.
Патогенез. Воротами инфекции в большинстве случаев являются верхние дыхательные пути и легкие, реже наблюдается первичный криптококкоз кожи, возможно эндогенное развитие инфекции у здоровых носителей при снижении у них иммунной защиты (ВИЧ-инфицированные и др.). Заболевание чаше встречается у лиц 40-60 лет, мужчины болеют чаще, нередко криптококкоз развивался у больных лимфогранулематозом, что обусловлено также развивающимся иммунодефицитом.
Симптомы и течение. Длительность инкубационного периода не установлена. Наиболее характерным проявлением криптококкоза является менингоэнцефалит. Описывали его и под названием торулезного менингита. Заболевание характеризуется постепенным, малозаметным началом в виде приступов головной боли, чаще в лобной области, которые постепенно усиливаются, становятся нестерпимыми, перемещаются в затылочную область. Появляются менингеальные признаки, птоз, нистагм, гемиплегия. Сознание нарушено, бред. Характерная особенность заболевания при тяжелом состоянии температура тела остается субфебрильной. Течение болезни медленно прогрессирующее, ведущее к истощению, затем коматозному состоянию, смерть наступает от паралича дыхания через 4—6 мес от начала болезни. У 30% больных, кроме поражения центральной нервной системы, развивается криптококкоз легких.
Криптококкоз легких протекает в виде пневмонии, мало чем отличающейся от пневмоний другой этиологии, температура тела чаще субфебрильная, мокрота скудная, процесс чаще двухсторонний. При диссемини-рованной форме криптококкоза могут поражаться самые различные органы (печень, почки, селезенка и др.). Поражения кожи и слизистых оболочек протекают относительно легко.
У ВИЧ-инфицированных криптококкоз протекает почти исключительно в виде тяжелого менингита и менингоэнцефалита.
Диагноз и дифференциальный диагноз. Клинически приходится дифференцировать от туберкулезного менингита, новообразований и абсцесса мозга. Подтверждением служит обнаружение криптококка.
Прогноз. При менингеальной форме и диссеминированном криптококкозе прогноз плохой. При поражении кожи и слизистых оболочек благоприятный. Лечение амфотерицином В улучшает прогноз.
Профилактика не разработана.
Бластомикоз южно-американский (синонимы: паракокцидиоидомикоз, паракокцидиоидоз, бразильский бластомикоз, болезнь Лютца—Сплендоре—Альменда; southamerican blastomycosis — англ.; Sudamerikanische Blas-tomykose — нем.; blastomycosebresilienne — франц.; blastomicose sul-ameri-can — исп.) является глубоким микозом, характеризуются хроническим прогрессирующим течением, язвенными гранулематозными поражениями кожи, слизистых оболочек и внутренних органов, преимущественно легких.
Этиология — Paracoccidioides (Blastomyces) brasiliensis относится к двухфазным грибам; в тканях в виде почкующихся клеток (10—50 мкм), на питательных средах образует мицелий.
Эпидемиология. Встречается в сельских районах с тропическим и субтропическим климатом. Эпидемиология не изучена.
Симптомы и течение. Первично поражается слизистая оболочка рта и носа, возникают язвы с гранулематозным дном, медленно увеличивающиеся в размерах, могут быть разрушены язык, голосовые связки, выпадают зубы. Кожа вовлекается в процесс вторично (процесс переходит со слизистых оболочек), поражаются регионарные лимфатические узлы, процесс может захватить легкие (процесс напоминает туберкулез легких), кишечник, кости, реже ЦНС.
Диагноз и дифференциальный диагноз. Учитываются эпидемиологические данные (пребывание в эндемичной местности), клиническая симптоматика. Подтверждается диагноз обнаружением гриба в грануляционной ткани (соскоб) или в мокроте.
Лечение. См. Бластомикоз Гилкриста.
Прогноз благоприятный. Профилактика не разработана.
Бластомикоз (болезнь Джилкриста — Gilchrist) — это специфическое кожное заболевание гранулематозного характера, которое в редких случаях сочетается с поражениями и костной системы. В коже и подкожной клетчатке, внутренних органах, а также в костях возникают множественные грануляционно-воспалительные инфильтраты, внешне напоминающие в какой-то мере опухолевые утолщения, но склонные к некротическому распаду, нагноению, образованию свищей. Вызывающие бластомикоз патогенные грибки многочисленны и весьма разнообразны, — мы их не будем перечислять. Заболевание начинается как остро, так и первично-хронически. Оно протекает длительно, годами, имеет циклическое развитие, когда периоды ухудшения чередуются с периодами временного улучшения, и по клиническим проявлениям почти совсем не отличается от актиномикоза.
Костные очаги в противовес актиномикозу при бластомикозе чаще всего множественны и рассеянны, имеют гематогенное происхождение, а не возникают обязательно от прямого перехода с мягких тканей по соседству. Фокусы гнездятся преимущественно в длинных трубчатых костях, ребрах, ключице, лопатке с ее отростками, своде черепа, позвоночнике. На рентгенограммах деструктивные очаги, как вообще при остеомикозах, склонны к слиянию и не вызывают реактивного остеосклероза. На поверхности длинных трубчатых костей все же подчас бывают довольно значительные периоститы. Остеопороз обычно отсутствует. Возможно осложнение со стороны суставов.
Рентгенологическая картина бластомикоза, таким образом, лишена каких-либо специфических черт, и точный этиологический диагноз основывается только на микологических данных.
Бластомикоз.
http://www.nejm.org/doi/full/10.1056/NEJMicm1606811
39-летний мужчина