Этот вид туберкулеза развивается в результате первичного заражения у детей, подростков и лиц молодого возраста. Реже он возникает вследствие эндогенной реактивации имевшихся туберкулезных изменений в бронхиальных, медиастинальных, бронхопульмональных, паратрахеальных и трахеобронхиальных лимфатических узлах.
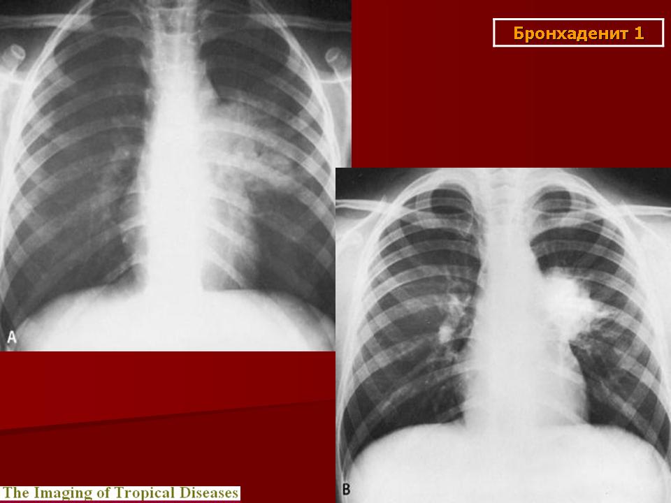
Различают инфильтративный, опухолевидный и малые формы туберкулеза внутригрудных лимфатических узлов. Опухолевидная форма проявляется увеличением размеров лимфатических узлов в результате воспалительной гиперплазии, что обнаруживается при рентгенологическом исследовании. Контуры лимфатических узлов на рентгенограмме и томограммах четкие. Инфильтративный туберкулез внутригрудных лимфатических узлов характеризуется не только увеличением узлов, но и развитием инфильтративных изменений в легочной ткани, в прикорневых ее отделах. Малые формы проявляются незначительным увеличением внутригрудных лимфатических узлов, что выявляется главным образом на томограммах с поперечным размазыванием в прямой или боковой проекциях. Этот вариант заболевания в последнее время встречается чаще, чем в прежние годы.
В диагностике туберкулеза внутригрудных лимфатических узлов, кроме рентгенологического исследования, большое значение имеют туберкулиновые пробы. При свежем заражении выявляется вираж туберкулиновых реакций, при длительном течении заболевания нередко отмечается высокая чувствительность к туберкулину, что проявляется «пышными» туберкулиновыми реакциями. Отрицательная реакция на туберкулин при увеличенных внутригрудных лимфатических узлах нехарактерна для туберкулеза и требует тщательной дифференциальной диагностики с другими заболеваниями (саркоидоз, лимфогранулематоз и др.).
В клинической картине преобладают симптомы, обусловленные интоксикацией, реже отмечаются «грудные» жалобы и симптомы, которые могут появиться при осложненном течении заболевания. Наиболее частыми осложнениями являются эндобронхит (иногда с нарушениями бронхиальной проходимости вплоть до ателектаза сегмента или доли), междолевой или костальный плеврит. Возможны также поражение периферических лимфатических узлов и развитие наряду с туберкулезом внутригрудных лимфатических узлов различных клинических форм легочного туберкулеза. Можно выделить несколько вариантов течения патологического процесса: постепенная инволюция и быстрая регрессия, которая отмечается при ограниченных формах, инфильтративном бронхоадените в условиях рационального лечения, в том числе у лиц, иммунизированных против туберкулеза; осложненное течение, когда при затяжном течении болезни развиваются различные осложнения (эндобронхит, плеврит, различные поражения легких и др.); прогрессирующее течение, развивающееся при казеозном перерождении и разжижении казеозных масс в лимфатических узлах. В этих случаях, к счастью редко встречающихся в настоящее время, возможна перфорация в бронх или пищевод с последующим развитием медиастинита. Такое развитие заболевания может привести к быстрому летальному исходу, иногда при этом развивается обильное кровотечение, которое также может вызвать смерть. Заболевание может принять хроническое течение, в таких случаях периодически появляются различные клинические проявления гиперсенсибилизации, описанные Б. М. Хмельницким как «маски» хронического первичного туберкулеза: гепатит, неврит, фликтены, полиартрит, периферический лимфаденит, узловатая эритема и др.
Диагностика туберкулеза внутригрудных лимфатических узлов основывается прежде всего на тщательно собранном анамнезе, в частности на сведениях о контакте с больными туберкулезом, о родственниках, больных туберкулезом, на сведениях о перенесенных заболеваниях, среди последних особое внимание должны привлечь те из них, которые могли бы быть обусловлены туберкулезом (плеврит, эритемы и др.). Внешний вид больных обычно не меняется. При физическом исследовании редко удается найти отклонения. При неосложненном бронхоадените имеющиеся изменения, как правило, обусловлены различными осложнениями. Решающее значение имеет рентгенологическое исследование, включающее рентгенографию в прямой и боковой проекциях, томографию и зонографию на уровне корней, при необходимости сделанные в «косых» проекциях. Важную роль играет бронхологическое исследование, которое позволяет выявить туберкулезный эндобронхит, произвести при необходимости трансбронхиальную пункцию лимфатических узлов или взять аспират (т. е. содержимое бронхов) для исследования на наличие микобактерий туберкулеза. Как указывалось выше, обязательным методом является туберкулиновый тест, при необходимости определение степени чувствительности к туберкулину, а при отрицательных туберкулиновых реакциях может быть произведена подкожная туберкулиновая проба. При подозрении на саркоидоз внутригрудных лимфатических узлов можно провести радионуклидное исследование с 67С, который накапливается в саркоидной ткани лимфатических узлов и легких. Известное значение имеют лабораторные исследования: анализ крови, иммунологические исследования клеток крови, бронхоальвеолярный лаваж и др.
Химиотерапию проводят длительное время, при высокой чувствительности к туберкулину применяют десенсибилизирующие средства, в том числе кортикостероиды. При казеозном перерождении хирургическим путем удаляют внутригрудные лимфатические узлы. После первого (основного) курса лечения, который проводится, как правило, в больничных условиях, рекомендуется санаторное лечение с последующим пребыванием детей и подростков в специализированных учреждениях (детские ясли, сады, школы-интернаты). Все больные туберкулезом внутригрудных лимфатических узлов наблюдаются по I группе учета в противотуберкулезном диспансере с последующим переводом во II, III и VII группы.
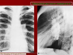
В современных условиях изменилась структура клинических форм туберкулеза, и появились нетипичные для повседневной практики его проявления. Повышенная восприимчивость к туберкулезу лиц, ранее не инфицированных микобактериями туберкулеза, способствует появлению туберкулеза внутригрудных лимфатических узлов (ТВЛУ) у взрослых. Неосложненное течение ТВЛУ у взрослых проявляется только рентгенологически односторонним или реже двусторонним увеличением различных групп внутригрудных лимфатических узлов. Неправильная оценка изменений во внутригрудных лимфатических узлах при туберкулезе ведет к распространению туберкулезного процесса на бронхи и легочную паренхиму. Возникают различной степени нарушения бронхиальной проходимости, которые сопровождаются развитием воспалительных изменений. Представляю наблюдение осложненного течения ТВЛУ у женщины 61 года, которая была направлена в РОНЦ с диагнозом: центральный рак правого легкого с ателектазом верхней доли. Рис. 1а, б. Верхняя доля правого легкого уменьшена в объеме, однородно уплотнена. Нижний контур доли вогнутый. Органы средостения в верхнем отделе умеренно смещены вправо. Диафрагма на стороне поражения расположена выше обычного. Рис. 2а, б, в, г. Компьютерные томограммы органов грудной клетки. На передней стенке правого главного бронха узелковые образования, перекрывающие частично просвет бронха. Верхнедолевой бронх нитевидно сужен. Верхняя доля правого легкого уменьшена в объеме, верхушечный и задний сегмент ателектазированы.
Туберкулез внутригрудных лимфатических узлов необходимо дифференцировать от патологических изменений в области средостения и корня легких нетуберкулезной этиологии. Описано более 30 выявляемых при рентгенологическом исследовании заболеваний этой области. При проведении дифференциальной диагностики следует учитывать рентгеноанатомическое строение средостения. Являясь частью грудной полости, средостение спереди ограничено задней стенкой грудины и реберными хрящами, сзади — позвоночным столбом, с боков — медиальными листками плевры, внизу — диафрагмой, сверху — апертурой грудной клетки. Дифференциацию следует начинать с определения локализации процесса. Целесообразно пользоваться схемой, согласно которой фронтальными плоскостями, проведенными по передней и задней стенкам трахеи, средостение делится на три отдела — переднее, заднее и среднее.
Схема локализации наиболее частых поражений средостения в детском и подростковом возрасте
Этот вид туберкулеза развивается в результате первичного заражения у детей, подростков и лиц молодого возраста. Реже он возникает вследствие эндогенной реактивации имевшихся туберкулезных изменений в бронхиальных, медиастинальных, бронхопульмональных, паратрахеальных и трахеобронхиальных лимфатических узлах.
Различают инфильтративный, опухолевидный и малые формы туберкулеза внутригрудных лимфатических узлов. Опухолевидная форма проявляется увеличением размеров лимфатических узлов в результате воспалительной гиперплазии, что обнаруживается при рентгенологическом исследовании. Контуры лимфатических узлов на рентгенограмме и томограммах четкие. Инфильтративный туберкулез внутригрудных лимфатических узлов характеризуется не только увеличением узлов, но и развитием инфильтративных изменений в легочной ткани, в прикорневых ее отделах. Малые формы проявляются незначительным увеличением внутригрудных лимфатических узлов, что выявляется главным образом на томограммах с поперечным размазыванием в прямой или боковой проекциях. Этот вариант заболевания в последнее время встречается чаще, чем в прежние годы.
В диагностике туберкулеза внутригрудных лимфатических узлов, кроме рентгенологического исследования, большое значение имеют туберкулиновые пробы. При свежем заражении выявляется вираж туберкулиновых реакций, при длительном течении заболевания нередко отмечается высокая чувствительность к туберкулину, что проявляется «пышными» туберкулиновыми реакциями. Отрицательная реакция на туберкулин при увеличенных внутригрудных лимфатических узлах нехарактерна для туберкулеза и требует тщательной дифференциальной диагностики с другими заболеваниями (саркоидоз, лимфогранулематоз и др.).
В клинической картине преобладают симптомы, обусловленные интоксикацией, реже отмечаются «грудные» жалобы и симптомы, которые могут появиться при осложненном течении заболевания. Наиболее частыми осложнениями являются эндобронхит (иногда с нарушениями бронхиальной проходимости вплоть до ателектаза сегмента или доли), междолевой или костальный плеврит. Возможны также поражение периферических лимфатических узлов и развитие наряду с туберкулезом внутригрудных лимфатических узлов различных клинических форм легочного туберкулеза. Можно выделить несколько вариантов течения патологического процесса: постепенная инволюция и быстрая регрессия, которая отмечается при ограниченных формах, инфильтративном бронхоадените в условиях рационального лечения, в том числе у лиц, иммунизированных против туберкулеза; осложненное течение, когда при затяжном течении болезни развиваются различные осложнения (эндобронхит, плеврит, различные поражения легких и др.); прогрессирующее течение, развивающееся при казеозном перерождении и разжижении казеозных масс в лимфатических узлах. В этих случаях, к счастью редко встречающихся в настоящее время, возможна перфорация в бронх или пищевод с последующим развитием медиастинита. Такое развитие заболевания может привести к быстрому летальному исходу, иногда при этом развивается обильное кровотечение, которое также может вызвать смерть. Заболевание может принять хроническое течение, в таких случаях периодически появляются различные клинические проявления гиперсенсибилизации, описанные Б. М. Хмельницким как «маски» хронического первичного туберкулеза: гепатит, неврит, фликтены, полиартрит, периферический лимфаденит, узловатая эритема и др.
Диагностика туберкулеза внутригрудных лимфатических узлов основывается прежде всего на тщательно собранном анамнезе, в частности на сведениях о контакте с больными туберкулезом, о родственниках, больных туберкулезом, на сведениях о перенесенных заболеваниях, среди последних особое внимание должны привлечь те из них, которые могли бы быть обусловлены туберкулезом (плеврит, эритемы и др.). Внешний вид больных обычно не меняется. При физическом исследовании редко удается найти отклонения. При неосложненном бронхоадените имеющиеся изменения, как правило, обусловлены различными осложнениями. Решающее значение имеет рентгенологическое исследование, включающее рентгенографию в прямой и боковой проекциях, томографию и зонографию на уровне корней, при необходимости сделанные в «косых» проекциях. Важную роль играет бронхологическое исследование, которое позволяет выявить туберкулезный эндобронхит, произвести при необходимости трансбронхиальную пункцию лимфатических узлов или взять аспират (т. е. содержимое бронхов) для исследования на наличие микобактерий туберкулеза. Как указывалось выше, обязательным методом является туберкулиновый тест, при необходимости определение степени чувствительности к туберкулину, а при отрицательных туберкулиновых реакциях может быть произведена подкожная туберкулиновая проба. При подозрении на саркоидоз внутригрудных лимфатических узлов можно провести радионуклидное исследование с 67С, который накапливается в саркоидной ткани лимфатических узлов и легких. Известное значение имеют лабораторные исследования: анализ крови, иммунологические исследования клеток крови, бронхоальвеолярный лаваж и др.
Химиотерапию проводят длительное время, при высокой чувствительности к туберкулину применяют десенсибилизирующие средства, в том числе кортикостероиды. При казеозном перерождении хирургическим путем удаляют внутригрудные лимфатические узлы. После первого (основного) курса лечения, который проводится, как правило, в больничных условиях, рекомендуется санаторное лечение с последующим пребыванием детей и подростков в специализированных учреждениях (детские ясли, сады, школы-интернаты). Все больные туберкулезом внутригрудных лимфатических узлов наблюдаются по I группе учета в противотуберкулезном диспансере с последующим переводом во II, III и VII группы.
Продолжение.
Туберкулез внутригрудных лимфатических узлов
В современных условиях изменилась структура клинических форм туберкулеза, и появились нетипичные для повседневной практики его проявления. Повышенная восприимчивость к туберкулезу лиц, ранее не инфицированных микобактериями туберкулеза, способствует появлению туберкулеза внутригрудных лимфатических узлов (ТВЛУ) у взрослых.
Неосложненное течение ТВЛУ у взрослых проявляется только рентгенологически односторонним или реже двусторонним увеличением различных групп внутригрудных лимфатических узлов.
Неправильная оценка изменений во внутригрудных лимфатических узлах при туберкулезе ведет к распространению туберкулезного процесса на бронхи и легочную паренхиму. Возникают различной степени нарушения бронхиальной проходимости, которые сопровождаются развитием воспалительных изменений.
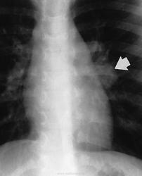
Представляю наблюдение осложненного течения ТВЛУ у женщины 61 года, которая была направлена в РОНЦ с диагнозом: центральный рак правого легкого с ателектазом верхней доли.
Рис. 1а, б. Верхняя доля правого легкого уменьшена в объеме, однородно уплотнена. Нижний контур доли вогнутый. Органы средостения в верхнем отделе умеренно смещены вправо. Диафрагма на стороне поражения расположена выше обычного.
Рис. 2а, б, в, г. Компьютерные томограммы органов грудной клетки. На передней стенке правого главного бронха узелковые образования, перекрывающие частично просвет бронха. Верхнедолевой бронх нитевидно сужен. Верхняя доля правого легкого уменьшена в объеме, верхушечный и задний сегмент ателектазированы.
Туберкулез внутригрудных лимфатических узлов необходимо дифференцировать от патологических изменений в области средостения и корня легких нетуберкулезной этиологии. Описано более 30 выявляемых при рентгенологическом исследовании заболеваний этой области.
При проведении дифференциальной диагностики следует учитывать рентгеноанатомическое строение средостения. Являясь частью грудной полости, средостение спереди ограничено задней стенкой грудины и реберными хрящами, сзади — позвоночным столбом, с боков — медиальными листками плевры, внизу — диафрагмой, сверху — апертурой грудной клетки.
Дифференциацию следует начинать с определения локализации процесса. Целесообразно пользоваться схемой, согласно которой фронтальными плоскостями, проведенными по передней и задней стенкам трахеи, средостение делится на три отдела — переднее, заднее и среднее.
Схема локализации наиболее частых поражений средостения
в детском и подростковом возрасте
1 — лимфогранулематоз;
2 — опухоли вилочковой железы;
3 — опухоли лимфоидиой ткани, туберкулез, саркоидоз;
4 — тератодермоидные образования;
5 — целомические кисты;
6 — неврогенные опухоли;
7 — кисты грудного лимфатического протока;
8 — энтерогенные кисты.
добавить ещё один рисунок с некоторыми уточнениями. Кому-то понадобится для дела. Nik
Спасибо.
Туберкулез внутригрудных лимфатических узлов
http://www.radp.ru/db/20064/RP_2006_4_16.pdf
"Железистый компонент"
Лимфаденопатия.
Игорь Евгеньевич Тюрин
Спорные вопросы применения КТ в диагностике малых форм туберкулёза
http://www.radiomed.ru/sites/default/files/tyurin_trudnosti_diagnostiki_malyh_form.pdf
Томографические симптомы (признаки) туберкулезного бронхоаденита
http://tuberkulez-diagnoz.ru/tomograficheskie-simptomy-priznaki-tuberkuleznogo-bronxoadenita.html
Продолжение.