Основы. ОГК. Туберкулёз. Лучевая диагностика туберкулёза сегодня. +

Лучевая диагностика туберкулёза сегодня.

Энн Н. Leung.

1. Полость распада ретроклавикулярно.  2. На фоне снижения прозрачности кальцификаты.  3. Увеличение лимфатических узлов.  4. Лимфаденопатия справа.  5. Лимфаденопатия справа, частичный ателектаз нижней доли справа (гиповентиляция).  6. Лимфаденопатия справа, ателектаз нижней доли справа. 7. Состояние после правосторонней пульмонэктомии.

       

Катенёв Валентин Львович аватар
Не на сайте
Был на сайте: 7 лет 2 месяцев назад
Зарегистрирован: 22.03.2008 - 22:15
Публикации: 54876

П.В. Власов. Рентгенодиагностика туберкулёза органов дыхания. Часть 1.


Приложения: 
1.V.Slayd15.JPG2.V.Slayd16.JPG3.V.Slayd17.JPG4.V.Slayd18.JPG5.V.Slayd19.JPG6.V.Slayd20.JPG7.V.Slayd21.JPG8.V.Slayd22.JPG9.V.Slayd23.JPG10.V.Slayd24.JPG11.V.Slayd25.JPG12.V.Slayd26.JPG13.V.Slayd27.JPG14.V.Slayd28.JPG15.V.Slayd29.JPG16.V.Slayd30.JPG17.V.Slayd31.JPG18.V.Slayd32.JPG19.V.Slayd33.JPG
Катенёв Валентин Львович аватар
Не на сайте
Был на сайте: 7 лет 2 месяцев назад
Зарегистрирован: 22.03.2008 - 22:15
Публикации: 54876

Продолжение.

 

Приложения: 
1.VL_.Slayd36.JPG2.VL_.Slayd37.JPG3.VL_.Slayd38.JPG4.VL_.Slayd39.JPG5.VL_.Slayd40.JPG6.VL_.Slayd41.JPG7.VL_.Slayd42.JPG8.VL_.Slayd43.JPG9.VL_.Slayd44.JPG10.VL_.Slayd45.JPG11.VL_.Slayd46.JPG12.VL_.Slayd47.JPG13.VL_.Slayd48.JPG14.VL_.Slayd49.JPG
Катенёв Валентин Львович аватар
Не на сайте
Был на сайте: 7 лет 2 месяцев назад
Зарегистрирован: 22.03.2008 - 22:15
Публикации: 54876

Продолжение.

 

Приложения: 
15.VL_.Slayd50.JPG16.Vl_.Slayd51.JPG17.VL_.Slayd52.JPG18.VL_.Slayd53.JPG19.VL_.Slayd54.JPG20.VL_.Slayd55.JPG21.VL_.Slayd56.JPG22.VL_.Slayd57.JPG23.VL_.Slayd58.JPG24.VL_.Slayd59.JPG25.VL_.Slayd60.JPG26.VL_.Slayd61.JPG27.VL_.Slayd62.JPG28.VL_.Slayd63.JPG
Катенёв Валентин Львович аватар
Не на сайте
Был на сайте: 7 лет 2 месяцев назад
Зарегистрирован: 22.03.2008 - 22:15
Публикации: 54876

Наблюдения коллег.

 

Приложения: 
1.t.slayd85.jpg2.t.slayd86.jpg3.t.slayd87.jpg4.t.slayd88.jpg5.t.slayd89.jpg6.t.slayd90.jpg7.t.slayd91.jpg8.t.slayd92.jpg9.t.slayd93.jpg
Катенёв Валентин Львович аватар
Не на сайте
Был на сайте: 7 лет 2 месяцев назад
Зарегистрирован: 22.03.2008 - 22:15
Публикации: 54876

Продолжение.

Приложения: 
1.tt_.slayd142.jpg2.tt_.slayd143.jpg3.tt_.slayd144.jpg4.t.slayd147.jpg
Катенёв Валентин Львович аватар
Не на сайте
Был на сайте: 7 лет 2 месяцев назад
Зарегистрирован: 22.03.2008 - 22:15
Публикации: 54876

 

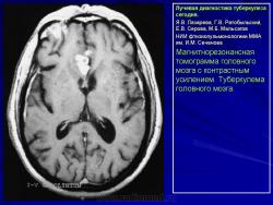
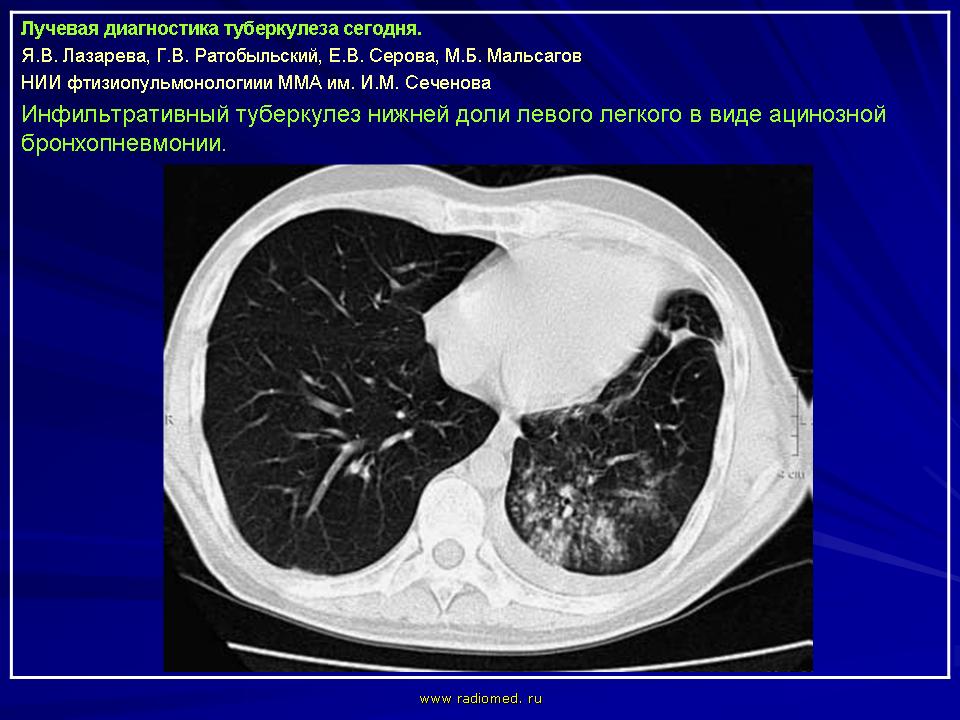
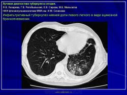
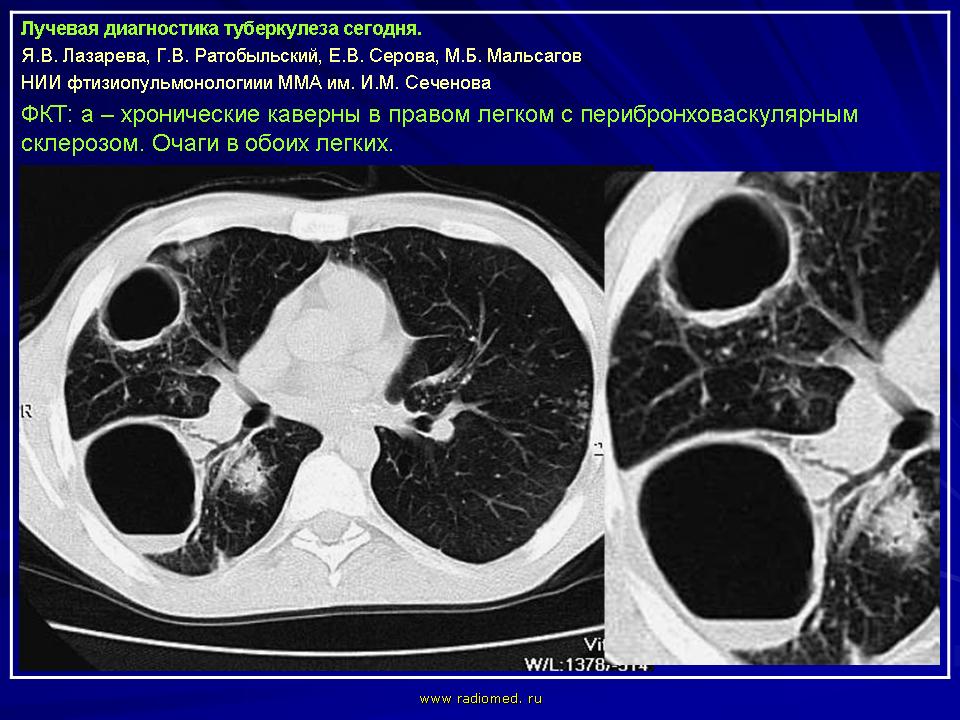
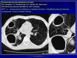
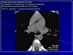
Лучевая диагностика туберкулеза сегодня
Я.В. Лазарева, Г.В. Ратобыльский, Е.В. Серова, М.Б. Мальсагов
НИИ фтизиопульмонологиии ММА им. И.М. Сеченова
 
Катенёв Валентин Львович аватар
Не на сайте
Был на сайте: 7 лет 2 месяцев назад
Зарегистрирован: 22.03.2008 - 22:15
Публикации: 54876

 

 Принципы анализа рентгенограмм

Подготовка к анализу рентгенограммы
Проверить относятся ли рентгенограммы к данному пациенту?
   Соответствует ли дата снимков данному обследованию?
   Если возможно, необходимо получить старые рентгенограммы для сравнения
Принципы интерпретации проявлений на рентгенограмме грудной клетки
Выявить патологические проявления:
-  повышенную прозрачность или затемнение;
-  определить локализацию изменений;
-  предположить патологический процесс, вызвавший патологию,
- определить характер процесса (инфильтрация, плотное образование,   распад легочной ткани и т.д.).
   Анализ   рентгенограммы
При изучении, рентгенограммы следует располагать на 1-1,5 м.
             Целесообразно осмотр, обзорной рентгенограммы условно разделить на 5 областей и осматривать ее в следующем порядке.
1. Диафрагма
2. Грудная клетка (кости, мягкие ткани,
     пространство легких)
 3. Средостение
 4. Плевра
 5.  Патология в легких.

    В клинической практике лечения больных туберкулезом, чаще всего применяется изображение на рентгеновской пленке в виде:
-  прямого обзорного (anterior-posterior)снимка;
-  боковых (латеральных) снимков.
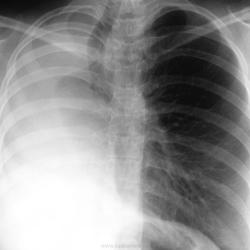
   Рентгенологические отображения при туберкулезе легких

На рентгенограмме туберкулезные поражения паренхимы, стромы легкого выявляются в виде теней (уплотнений, затемнений). При описании теней следует учитывать:

1) количество;
2) величину;
3) форму;
4) контуры;

5) интенсивность;
6) структуру; 
7) локализацию.

По количеству тени могут быть единичные или множественные, по величине – мелкие, средние, крупные, по форме – округлые, овальные, полигональные, линейные, неправильные. Контуры теней могут быть четкие и нечеткие; интенсивность теней – слабая, средняя, большая; структура – однородная или неоднородная.Локализация теней указывается в соответствии с долями или сегментами легких.
Изменения легочного рисунка бывают:
1) тяжистого и2) сетчатого характера.
       Тяжи заметны в виде линейных теней, идущих параллельно или веерообразно.Сетчатость определяется переплетающимися линейными тенями. Эти тени могут быть различной ширины – от 1-2 до 5-6 мм. Нередко они сливаются в широкие полосы, особенно в прикорневой области. Контуры их четкие или размытые. Интенсивность средняя или резкая. При сетчатом расположении теней образуются мелкие или крупные петли.
        Тяжистость и сетчатостьлегочного рисунка являются отражением воспалительных процессов, рубцовых и фиброзных изменений в лимфатических сосудах или в междольковой соединительной ткани. Обычно для воспалительного процесса (лимфангита) характерны большая ширина, нечеткость контуров и средняя интенсивность линейных теней, для фиброза и рубцов – небольшая ширина, четкость контуров, высокая интенсивность. Но это не обязательные признаки. Поэтому нередко отличить свежие изменения от старых в соединительной ткани легкого удается лишь при повторных рентгенологических исследованиях. Свежие изменения уменьшаются или увеличиваются в зависимости от течения процесса (затихание или прогрессирование), а старые остаются стабильными.

       Очаговые тени– наиболее частое проявление туберкулеза. Они определяются в виде пятен величиной от 2-3 мм до 1,0 см в диаметре. Они могут быть единичные, но чаще встречаются множественные. По величине делятся на три группы: мелкие – 2-4 мм, средней величины – до 5-9 мм и крупные – до 1-1,2 см. Форма очагов – круглая, полигональная, неправильная. Контуры четкие или размытые. Нередко видны линейные тени – тяжи, отходящие от контура очага в окружающую его паренхиму легкого. Интенсивность очагов бывает слабой, когда она соответствует интенсивности продольной тени сосуда, средней – соответствующей интенсивности поперечной тени сосуда, и большой, когда она соответствует интенсивности тени ребра или средостения.

      Структура очаговможет быть однородная и неоднородная. Неоднородная структура наблюдается обычно при их неравномерном уплотнении и кальцинации, а также при наличии распада. При неравномерном уплотнении и кальцинации очага интенсивность тени его будет различная в отдельных ее частях; интенсивность средней степени располагается в непосредственной близости от участка большой интенсивности. Распад определяется в виде просветления с четким контуром внутри тени очага.

       Инфильтраты(инфильтративные фокусы) – это тени размером более 1,5 см в диаметре. Различают фокусы мелкие – 2 см, средней величины – до 3 см и крупные – 4 см и более. Фокусы обычно образуются при слиянии очагов или мелких и средних фокусов. В основном фокусы единичные. Форма их круглая, овальная, неправильная. Крупные фокусы, занимающие сегменты или долю, обычно повторяют форму пораженного участка. Контуры чаще четкие, интенсивность средняя или большая, структура, как правило, однородная.

      Каверныиз практических соображений делят на три вида:
1)формирующиеся (острые);
2)свежие;
3)старые.

         Рентгенодиагностика всех видов каверн основывается на обнаружении двух признаков:

1)наличие внутри очага поражения замкнутой кольцевидной тени различной формы и величины;

2)внутренний контур каверны никогда не повторяет ее наружного контура.

        Свежая (формирующаяся) кавернаопределяется в виде просветления неправильной формы, с четким, неровным (бухтообразным) контуром (в очаге или фокусе). Формирующаяся каверна (в зоне казеоза) располагается в центре или вне центра.

        Свежая кавернаопределяется в виде круглой кольцевидной тени с четкой, гладкой стенкой, формирующейся более медленно, чем окружающие инфильтративные изменения. Ширина стенки каверны различная, чаще 5-10 мм. Могут быть свежие каверны, одиночные или множественные, с очень тонкой, почти незаметной стенкой – так называемые штампованные каверны.
        Если свежая каверна возникает среди старых туберкулезных изменений (рубцов, плотных очагов), то ее форма может быть вытянутая и даже неправильная. Характерным признаком свежей каверны является наличие двух широких парных полосок, идущих от нижнего ее полюса к корню легкого. Это воспалительно-уплотненные стенки дренирующего бронха.

         Старая кавернаопределяется в виде кольцевидной тени овальной или неправильной формы, с четкими внутренними и наружными контурами, сформировавшимися в результате хронического процесса. Ширина ее обычно достигает нескольких миллиметров, интенсивность большая. Вокруг тени каверны часто заметны множественные линейные и сетчатые тяжи фиброза. Нередко видны стенки дренирующего бронха, но тени стенок тоньше и интенсивнее, чем при свежей каверне.
       Описанные признаки отдельных видов каверны относительные. Они встречаются в значительном проценте случаев, но не обязательно все. Поэтому окончательный вывод о свежести или давности каверны часто приходится делать лишь после динамического наблюдения.
        Статистически более часто вторичный туберкулез легких локализуется в I, II, VI и иногда в X сегментах. Верхние и дорсальные отделы, подключичная область являются наиболее частыми областями расположения свежих туберкулезных элементов, в надключичных областях и верхушках легких часто определяются старые специфические изменения.

      Артефактами или дефектамина рентгенограммах называют тени или просветления, вызванные техническими погрешностями и не связанные с тенями тканей тела человека. Линейные белые полосы могут быть просто царапинами, круглые прозрачные пятна или подтеки – следствием попадания на непроявленную пленку фиксажа (или закрепителя). Ветвящиеся или похожие на рисунок молнии черные тени возникают при электростатических разрядах, возникающих в результате трения пленок одна о другую.

       Методика описания рентгенологических изменений в легких.При изучении рентгенологических изменений в легких удобно использовать последовательность их описания.

1.Положение (локализация процесса). Указать распределение по долям и сегментам.
2.Число, количество теней. Указать: тени единичные или множественные.
3.Форма. Указать: округлые, овальные, полигональные, линейные, неправильные.
4. Размер, величина тени. Указать: мелкие, средние, крупные.
5.Интенсивность. Указать: слабая, средняя, большая (резкая).
6.Рисунок. Указать структуру рисунка: пятнистая или линейная, однородная или неоднородная.
7. Контуры. Указать: четкие и нечеткие (размытые).
8. Смещаемость. Указать: отклонение структур легких от их местоположения в норме.
9.Состояние окружающей легочной ткани.

Катенёв Валентин Львович аватар
Не на сайте
Был на сайте: 7 лет 2 месяцев назад
Зарегистрирован: 22.03.2008 - 22:15
Публикации: 54876

 

 При диагностике туберкулеза легких наиболее часто применяются следующие рентгенологические методы обследования:

1) рентгеноскопия;
2) рентгенография;
3) томография;
4) флюорография.
5) Компьютерная томография

Рентгеноскопия– «просвечивание» – наиболее дешевый метод использования рентгеновских лучей для диагностики. Рентгенолог изучает изображение органа на экране в момент рентгенологического облучения. Недостаток этого метода состоит в том, что он не дает объективной документации обследования, плохо выявляет мелкие патологические образования, в частности, очаги размером 2-3 мм и тонкую тяжистость. Поэтому при туберкулезе легких рентгеноскопия применяется для предварительного, ориентировочного обследования. Вместе с тем этот метод полезен для выявления экссудата в плевральной полости, патологических образований, скрывающихся на рентгенограммах за тенью средостения, диафрагмы, позвоночника, а также для уточнения локализации процесса.

Рентгенография более полно отображает детали патологического процесса в легких.  Стандартная рентгенограмма – это проекция теней человеческого тела на рентгеновскую пленку. При прохождении через тело пучок рентгеновских лучей неоднородно ослабляется пропорционально плотности органов и тканей. Этот измененный пучок попадает на пленку, содержащую бромистое серебро, и свойство пленки меняется. После проявления и фиксации мы видим картину восстановления серебра пленки. Там, где экспозиция пленки была сильнее, восстановилось больше серебра – участок пленки становится темнее. Там, где лучи были затенены плотными образованиями, костями, кальцинатами и     т.п., восстановлено меньше серебра и пленка более прозрачна. Таков механизм образования негатива, на котором все более освещенное темнее. Поэтому опухоль, инфильтрат, кости почти прозрачны на пленке, а грудная клетка с воздухом в плевральной полости при спонтанном пневмотораксе почти черная .

Жесткость рентгеновского снимка оценивается по тени позвоночника. На мягком снимке грудной отдел позвоночника представлен в виде сплошной тени. На жестком снимке хорошо виден каждый позвонок. На оптимальном по жесткости снимке просматриваются первые 3-4 грудных позвонка. Другие тени на рентгенограмме грудной клетки в прямой проекции не имеют решающего значения при оценке жесткости.

      На правильно выполненной рентгенограмме трахея  и соединения ключиц с грудиной должны равно отстоять от срединной линии.

Серии рентгенограмм, сделанные во время болезни, позволяют проводить динамическое наблюдение за течением процесса в легких.       
       Рентгенография – основной метод, применяющийся в настоящее время для диагностики туберкулеза легких. Принято делать прямую (обзорную) и левую или правую профильные рентгенограммы в зависимости от предполагаемой локализации поражения.

Томография– получение послойных снимков при помощи специальных приспособлений к рентгеновскому аппарату. Рентгенотомография грудной клетки дает возможность получения снимков без наложения отображений органов друг на друга. Размазывание мешающих тканей достигается путем движения трубки и кассеты в противоположных направлениях. Применяется для уточнения характера процесса, его топографии и изучения деталей в очаге поражения – глубинный распад, более четко выявляемые границы и объем поражения .

Флюорография– фотографирование рентгеновского изображения с флюоресцирующего экрана. Флюорограммы бывают мелкокадровые (размер кадра 34Í34 мм), крупнокадровые (размер кадра 70Í70 мм и 100Í100 мм) и электронные. Электронные флюорограммы производятся с помощью специальных флюорографов, оснащенных ЭВМ. Флюорография в основном применяется для массового профилактического рентгенологического обследования населения с целью выявления скрыто протекающих заболеваний легких, в первую очередь туберкулеза и опухолей.

       Компью́терная томогра́фия — метод неразрушающего послойного исследования внутренней структуры объекта
Катенёв Валентин Львович аватар
Не на сайте
Был на сайте: 7 лет 2 месяцев назад
Зарегистрирован: 22.03.2008 - 22:15
Публикации: 54876

Хорошая ссылка -

http://www.radp.ru/db/20052/RP_2005_2_31.pdf

Катенёв Валентин Львович аватар
Не на сайте
Был на сайте: 7 лет 2 месяцев назад
Зарегистрирован: 22.03.2008 - 22:15
Публикации: 54876

Продолжение

Приложения: 
slayd1yachs.jpgslayd2yachs.jpgslayd3yachs.jpgslayd4yachs.jpgslayd5yachs.jpgslayd6yachs.jpgslayd7yachs.jpgslayd8yachs.jpgslayd9yachs.jpgslayd10yachs.jpgslayd11yachs.jpgslayd12yachs.jpgslayd13yachs.jpgslayd14yachs.jpgslayd15yachs.jpgslayd16yachs.jpgslayd17yachs.jpgslayd18yachs.jpgslayd19yachs.jpgslayd20yachs.jpgslayd21yachs.jpgslayd22yachs.jpgslayd24yachs.jpgslayd25yachs.jpg
Катенёв Валентин Львович аватар
Не на сайте
Был на сайте: 7 лет 2 месяцев назад
Зарегистрирован: 22.03.2008 - 22:15
Публикации: 54876

Игорь Евгеньевич Тюрин

Спорные вопросы применения КТ в диагностике малых форм туберкулёза

http://www.radiomed.ru/sites/default/files/tyurin_trudnosti_diagnostiki_malyh_form.pdf

Катенёв Валентин Львович аватар
Не на сайте
Был на сайте: 7 лет 2 месяцев назад
Зарегистрирован: 22.03.2008 - 22:15
Публикации: 54876

Туберкулёз лёгких у младенцев

http://www.ajronline.org/doi/full/10.2214/AJR.04.0751

Катенёв Валентин Львович аватар
Не на сайте
Был на сайте: 7 лет 2 месяцев назад
Зарегистрирован: 22.03.2008 - 22:15
Публикации: 54876

Продолжение.

 

Приложения: 
1yoyoyoslayd11.jpg1yoyoyoslayd12.jpg1yoyoyoslayd13.jpg1yoyoyoslayd14.jpg
Катенёв Валентин Львович аватар
Не на сайте
Был на сайте: 7 лет 2 месяцев назад
Зарегистрирован: 22.03.2008 - 22:15
Публикации: 54876

Продолжение.

 

Приложения: 
1ssslayd1.jpg1ssslayd10.jpg1ssslayd11.jpg1ssslayd12.jpg1ssslayd13.jpg1ssslayd14.jpg1ssslayd15.jpg1ssslayd16.jpg1ssslayd17.jpg1ssslayd18.jpg
Катенёв Валентин Львович аватар
Не на сайте
Был на сайте: 7 лет 2 месяцев назад
Зарегистрирован: 22.03.2008 - 22:15
Публикации: 54876

Продолжение.

 

Приложения: 
slayd179mm.jpgslayd180mm.jpgslayd181mm.jpgslayd182mm.jpgslayd183mm.jpgslayd184mm.jpgslayd185mm.jpgslayd186mm.jpgslayd187mm.jpgslayd188mm.jpgslayd189mm.jpgslayd190mm.jpgslayd191mm.jpgslayd192mm.jpgslayd193mm.jpgslayd194mm.jpgslayd195mm.jpgslayd196mm.jpgslayd197mm.jpgslayd198mm.jpgslayd199mm.jpgslayd200mm.jpgslayd201mm.jpgslayd202mm.jpgslayd203mm.jpgslayd204mm.jpgslayd205mm.jpgslayd206mm.jpg
Катенёв Валентин Львович аватар
Не на сайте
Был на сайте: 7 лет 2 месяцев назад
Зарегистрирован: 22.03.2008 - 22:15
Публикации: 54876

Рентгенологические методы диагностики туберкулеза

[tuberkulez_rentgen] При диагностике туберкулеза легких наиболее часто применяются следующие рентгенологические методы обследования:

рентгеноскопия;
рентгенография;
томография;
флюорография.

Рентгеноскопия — «просвечивание» — наиболее дешевый метод использования рентгеновских лучей для диагностики. Рентгенолог изучает изображение органа на экране в момент рентгенологического облучения.

Недостаток этого метода состоит в том, что он не дает объективной документации обследования, плохо выявляет мелкие патологические образования, в частности, очаги размером 2—3 мм и тонкую тяжистость. Поэтому при туберкулезе легких рентгеноскопия применяется для предварительного, ориентировочного обследования.

Вместе с тем этот метод полезен для выявления экссудата в плевральной полости, патологических образований, скрывающихся на рентгенограммах за тенью средостения, диафрагмы, позвоночника, а также для уточнения локализации процесса.

Рентгенография более полно отображает детали патологического процесса в легких. Стандартная рентгенограмма — это проекция теней человеческого тела на рентгеновскую пленку.

При прохождении через тело пучок рентгеновских лучей неоднородно ослабляется пропорционально плотности органов и тканей. Этот измененный пучок попадает на пленку, содержащую бромистое серебро, и свойство пленки меняется. После проявления и фиксации мы видим картину восстановления серебра пленки.

Там, где экспозиция пленки была сильнее, восстановилось больше серебра — участок пленки становится темнее. Там, где лучи были затенены плотными образованиями, костями, кальцинатами и т.п., восстановлено меньше серебра, и пленка более прозрачна. Таков механизм образования негатива, на котором все более освещенное темнее.

Поэтому опухоль, инфильтрат, кости почти прозрачны на пленке, а грудная клетка с воздухом в плевральной полости при спонтанном пневмотораксе почти черная.

Жесткость рентгеновского снимка оценивается по тени позвоночника. На мягком снимке грудной отдел позвоночника представлен в виде сплошной тени. На жестком снимке хорошо виден каждый позвонок. На оптимальном по жесткости снимке просматриваются первые 3—4 грудных позвонка. Другие тени на рентгенограмме грудной клетки в прямой проекции не имеют решающего значения при оценке жесткости.

Серии рентгенограмм, сделанные во время болезни, позволяют проводить динамическое наблюдение за течением процесса в легких.

Рентгенография — основной метод, применяющийся в настоящее время для диагностики туберкулеза легких. Принято делать прямую (обзорную) и левую или правую профильные рентгенограммы в зависимости от предполагаемой локализации поражения.

Томография — получение послойных снимков при помощи специальных приспособлений к рентгеновскому аппарату.

Рентгенотомография грудной клетки дает возможность получения снимков без наложения отображений органов друг на друга. Размазывание мешающих тканей достигается путем движения трубки и кассеты в противоположных направлениях. Применяется для уточнения характера процесса, его топографии и изучения деталей в очаге поражения — глубинный распад, более четко выявляемые границы и объем поражения.

Флюорография — фотографирование рентгеновского изображения с флюоресцирующего экрана. Флюорограммы бывают мелкокадровые (размер кадра 34×34 мм), крупнокадровые (размер кадра 70×70 мм и 100×100 мм) и электронные.

Электронные флюорограммы производятся с помощью специальных флюорографов, оснащенных ЭВМ. Флюорография в основном применяется для массового профилактического рентгенологического обследования населения с целью выявления скрытопротекающих заболеваний легких, в первую очередь туберкулеза и опухолей.

Рентгенологические отображения при туберкулезе легких
На рентгенограмме туберкулезные поражения паренхимы, стромы легкого выявляются в виде теней (уплотнений, затемнений). При описании теней следует учитывать:

количество;
величину;
форму;
контуры;
интенсивность;
структуру;
локализацию.

По количеству тени могут быть единичные или множественные; по величине — мелкие, средние, крупные; по форме — округлые, овальные, полигональные, линейные, неправильные.

Контуры теней могут быть четкие и нечеткие; интенсивность теней — слабая, средняя, большая; структура — однородная или неоднородная.

Локализация теней указывается в соответствии с долями или сегментами легких. Изменения легочного рисунка бывают тяжистого или сетчатого характера. Тяжи заметны в виде линейных теней, идущих параллельно или веерообразно.

Сетчатость определяется переплетающимися линейными тенями. Эти тени могут быть различной ширины — от 1—2 до 5—6 мм. Нередко они сливаются в широкие полосы, особенно в прикорневой области. Контуры их четкие или размытые. Интенсивность средняя или резкая. При сетчатом расположении теней образуются мелкие или крупные петли.

Тяжистость и сетчатость легочного рисунка являются отражением воспалительных процессов, рубцовых и фиброзных изменений в лимфатических сосудах или в междольковой соединительной ткани.

Обычно для воспалительного процесса (лимфангита) характерны большая ширина, нечеткость контуров и средняя интенсивность линейных теней, для фиброза и рубцов — небольшая ширина, четкость контуров, высокая интенсивность. Но это необязательные признаки.

Поэтому нередко отличить свежие изменения от старых в соединительной ткани легкого удается лишь при повторных рентгенологических исследованиях. Свежие изменения уменьшаются или увеличиваются в зависимости от течения процесса (затихание или прогрессирование), а старые остаются стабильными.

Очаговые тени — наиболее частое проявление туберкулеза. Они определяются в виде пятен величиной от 2—3 мм до 1,0 см в диаметре. Они могут быть единичными, но чаще встречаются множественные.

По величине делятся на три группы: мелкие — 2-4 мм, средней величины — до 5-9 мм и крупные — до 1-1,2 см. Форма очагов — круглая, полигональная, неправильная. Контуры четкие или размытые. Нередко видны линейные тени — тяжи, отходящие от контура очага в окружающую его паренхиму легкого.

Интенсивность очагов бывает слабой, когда она соответствует интенсивности продольной тени сосуда, средней — соответствующей интенсивности поперечной тени сосуда, и большой, когда она соответствует интенсивности тени ребра или средостения.

Структура очагов может быть однородной и неоднородной. Неоднородная структура наблюдается обычно при их неравномерном уплотнении и кальцинации, а также при наличии распада.

При неравномерном уплотнении и кальцинации очага интенсивность тени его будет различной в отдельных ее частях; интенсивность средней степени располагается в непосредственной близости от участка большой интенсивности. Распад определяется в виде просветления с четким контуром внутри тени очага.

Инфильтраты (инфильтративные фокусы) — это тени размером более 1,5 см в диаметре. Различают фокусы мелкие — 2 см, средней величины — до 3 см и крупные — 4 см и более. Фокусы обычно образуются при слиянии очагов или мелких и средних фокусов.

В основном фокусы единичные. Форма их круглая, овальная, неправильная. Крупные фокусы, занимающие сегменты или долю, обычно повторяют форму пораженного участка. Контуры чаще четкие, интенсивность средняя или большая, структура, как правило, однородная.

Каверны из практических соображений делят на три вида:

формирующиеся (острые);
свежие;
старые.

Рентгенодиагностика всех видов каверн основывается на обнаружении двух признаков:

наличии внутри очага поражения замкнутой кольцевидной тени различной формы и величины;
внутренний контур каверны никогда не повторяет ее наружного контура.

Свежая (формирующаяся) каверна определяется в виде просветления неправильной формы, с четким неровным (бухтообразным) контуром (в очаге или фокусе). Формирующаяся каверна (в зоне казеоза) располагается в центре или вне центра.

Свежая каверна имеет вид круглой кольцевидной тени с четкой, гладкой стенкой, формирующейся более медленно, чем окружающие инфильтративные изменения. Ширина стенки каверны различная, чаще 5-10 мм. Могут быть свежие каверны одиночные или множественные, с очень тонкой, почти незаметной стенкой — так называемые штампованные каверны.

Если свежая каверна возникает среди старых туберкулезных изменений (рубцов, плотных очагов), то ее форма может быть вытянутой и даже неправильной.Характерным признаком свежей каверны является наличие двух широких парных полосок, идущих от нижнего ее полюса к корню легкого. Это воспалительно-уплотненные стенки дренирующего бронха.

Старая каверна определяется в виде кольцевидной тени овальной или неправильной формы с четкими внутренними и наружными контурами, сформировавшимися в результате хронического процесса. Ширина ее обычно достигает нескольких миллиметров, интенсивность большая.

Вокруг тени каверны часто заметны множественные линейные и сетчатые тяжи фиброза. Нередко видны стенки дренирующего бронха, но тени стенок тоньше и интенсивнее, чем у свежей каверны.

Описанные признаки отдельных видов каверны относительные. Они встречаются в значительном проценте случаев, но необязательно все. Поэтому окончательный вывод о свежести или давности каверны часто приходится делать лишь после динамического наблюдения.

Статистически более часто вторичный туберкулез легких локализуется в I, II, VI и иногда в X сегментах. Верхние и дорсальные отделы, подключичная область являются наиболее частыми областями расположения свежих туберкулезных элементов, в надключичных областях и верхушках легких часто определяются старые специфические изменения.

Артефактами или дефектами на рентгенограммах называют тени или просветления, вызванные техническими погрешностями и не связанные с тенями тканей тела человека. Линейные белые полосы могут быть просто царапинами, круглые прозрачные пятна или подтеки — следствием попадания на непроявленную пленку фиксажа (или закрепителя).

Ветвящиеся или похожие на рисунок молнии черные тени возникают при электростатических разрядах, возникающих в результате трения пленок одна о другую.

Методика описания рентгенологических изменений в легких. При изучении рентгенологических изменений в легких описывать их следует в определенной последовательности:

Положение (локализация процесса). Указать распределение по долям и сегментам.
Число, количество теней. Указать: тени единичные, множественные.
Форма. Указать: округлые, овальные, полигональные, линейные, неправильные.
Размер, величина тени. Указать: мелкие, средние, крупные.
Интенсивность. Указать: слабая, средняя, большая (резкая).
Рисунок. Указать структуру рисунка: пятнистая или линейная, однородная или неоднородная.
Контуры. Указать: четкие и нечеткие (размытые).
Смещаемость. Указать: отклонение структур легких от их местоположения в норме.
9. Состояние окружающей легочной ткани.

Рентгенологическая классификация туберкулезных поражений легких
Чтобы иметь общее представление о степени и распространенности туберкулезных поражений в легких, разработана классификация, используемая главным образом в английской литературе.

Распространенность легочных повреждений:

1. Минимальная. Небольшие повреждения без очевидных признаков распада, ограниченных небольшими размерами, в одном или обоих легких. Полный объем повреждений, независимо от расположения, не должен превышать эквивалент объема легкого, который ограничивается уровнем второго костально-грудинного соединения и выше или уровнем четвертого или пятого грудного позвонка и выше в одном легком.
2. Умеренно выраженная. Одно или оба легких могут быть вовлечены в процесс, но полная степень повреждений не должна превышать следующие лимиты.
2.1. Небольшие распространенные изменения, которые могут занимать не более объема одного легкого или эквивалента этого в обоих легких.
2.2. Плотные и сливные изменения, которые могут занимать объем легких не более трети объема одного легкого.
2.3. Любые проявления в пределах вышеупомянутых объемов.
2.4. Полный диаметр каверн, если они имеются, не должен превышать 4 см.
3. Далеко зашедшие (выраженные). Повреждения более обширные, чем описанные выше.

Оськин С.В. аватар
Не на сайте
Был на сайте: 2 года 3 недели назад
Зарегистрирован: 07.04.2016 - 17:05
Публикации: 1703

Огромная благодарность, Валентин Львович!

Катенёв Валентин Львович аватар
Не на сайте
Был на сайте: 7 лет 2 месяцев назад
Зарегистрирован: 22.03.2008 - 22:15
Публикации: 54876

Спасибо на добром слове.

Катенёв Валентин Львович аватар
Не на сайте
Был на сайте: 7 лет 2 месяцев назад
Зарегистрирован: 22.03.2008 - 22:15
Публикации: 54876

Рентгенодиагностика туберкулеза у взрослых

https://www.youtube.com/watch?v=vjuR8qEyq3E

 

Катенёв Валентин Львович аватар
Не на сайте
Был на сайте: 7 лет 2 месяцев назад
Зарегистрирован: 22.03.2008 - 22:15
Публикации: 54876

Рентгенологическая диагностика туберкулеза у ВИЧ инфицированных

https://www.youtube.com/watch?v=drfWJ4w_8C8

 

Катенёв Валентин Львович аватар
Не на сайте
Был на сайте: 7 лет 2 месяцев назад
Зарегистрирован: 22.03.2008 - 22:15
Публикации: 54876

Дифференциальная диагностика туберкулёза органов дыхания у детей

https://www.youtube.com/watch?v=dpT0UPwpUJg

Катенёв Валентин Львович аватар
Не на сайте
Был на сайте: 7 лет 2 месяцев назад
Зарегистрирован: 22.03.2008 - 22:15
Публикации: 54876

П.В. Гаврилов - Лучевая диагностика полостных образований при туберкулезе органов дыхания

https://www.youtube.com/watch?v=14SzixVAEOU

 

Катенёв Валентин Львович аватар
Не на сайте
Был на сайте: 7 лет 2 месяцев назад
Зарегистрирован: 22.03.2008 - 22:15
Публикации: 54876

И.А. Соколина - Туберкулез легких у пациентов с нормальным иммунным статусом

https://www.youtube.com/watch?v=cAMwn0NJRGo