Перейти к основному содержанию
Вход
Регистрация
Применить
Меню
Новое на сайте
Сообщество
Клинические наблюдения
Форум
Наш сборник ссылок
Чат RADIOMED
Образование
Интерактивные задания
Презентации
Публикации
Видео
Журнал "Лучевая диагностика и терапия"
Книжный магазин
Пациентам
Где пройти обследование
Компьютерная томография (КТ)
Магнитно-резонансная томография (МРТ)
Спросить врача
Помощь
Вы здесь
Главная
»
Публикации
»
Наборы изображений
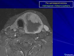
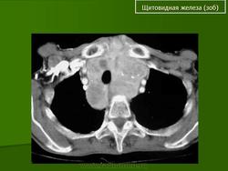
Онкология. ОГК. Опухоли щитовидной железы. +
Опухоли щитовидной железы