Онкология. ОГК. Метастатические опухоли легких. +

Метастатические опухоли легких

Диагностика опухолевых и неопухолевых поражений легочной ткани у онкологических больных является одной из серьезных проблем современной онкологии. Изменения в органах грудной полости нередко бывают первым признаком злокачественной опухоли внелегочной локализации. Метастатическое поражение легочной ткани происходит в результате распространения болезни из места её локального проявления путём гематогенного, лимфогенного, бронхогенного метастазирования или per continuitatem.
Метастазом считается новообразование, появляющееся при раке в участках тела, отдаленных от первичной опухоли. Метастазирование является основной причиной смерти онкологических больных.
Злокачественные опухоли различных органов метастазируют в легкие с неодинаковой частотой. Выявляются метастатические опухоли легких либо в процессе обследования по поводу предполагаемого опухолевого заболевания, либо на разных этапах лечения злокачественного новообразования.
Рентгенологическая симптоматика метастатических опухолей легких зависит от исходной локализации первичной опухоли и имеет характерные особенности, что дает возможность при оценке легочных изменений предположить локализацию первичной опухоли, особенно в тех случаях, когда она неизвестна.
Знание совокупности характерных рентгенологических признаков позволяет проводить целенаправленный поиск первичного опухолевого очага.
Метастатическое поражение легочной ткани проявляется солитарными и множественными округлой формы образованиями или диссеминированными процессами.
Гематогенное диссеминированное метастатическое поражение легочной ткани может быть первым признаком опухолевого заболевания при железистом раке легкого, раке поджелудочной, щитовидной железы.
Периферический рак верхней доли правого легкого с гематогенными метастазами в оба легкие.
Обзорная рентгенограмма органов грудной клетки в прямой проекции : в верхней доле правого легкого за ключицей фокус уплотнения, во всех долях правого и левом легких множественные просовидные высыпания.
Компьютерная томограмма легких на уровне бифуркации трахеи: множественные гематогенные метастазы.
Фрагмент компьютерной томограммы правого легкого: в верхушечном сегменте верхней доли узловое образование с мелкобугристой поверхность, лучистыми контурами. В окружающей легочной ткани множественные хаотично расположенные очаги, связанные с сосудами.
Диссеминированное поражение легочной ткани может возникнуть на разных этапах противоопухолевого лечения раке поджелудочной, щитовидной железы, при раке молочной железы, раке легкого, раке печени и реже при опухолях других локализаций.
Обзорная рентгенограмма органов грудной клетки в прямой проекции: множественные различных размеров хаотично расположенные очаги с обеих сторон. В средостении конгломерат увеличенных паратрахеальных лимфатических узлов расширяет срединную тень вправо.
При гематогенном попадании опухолевых клеток в лёгкие помимо диссеминаций выявляться могут различных размеров с четкими контурами очаговые образования и фокусы от 1,0 и более сантиметров в диаметре, которые хаотично располагаются в легочной ткани, большая часть из них связана с сосудами. Размеры, количество, структура метастазов зависят от локализации и гистологического строения первичной опухоли.
Гематогенные метастазы необходимо дифференцировать с гранулематозными процессами известной и неизвестной этиологии.

Метастатическое поражение органов грудной полости.

Метастатическое поражение органов грудной полости при опухоли тела, шейки матки и яичников.
Особенности метастазирования опухолей матки в легкие зависят, прежде всего, от гистологического строения первичной опухоли.
Для хорионэпителиомы матки характерно наличие единичных малоинтенсивных округлых образований размерами от 1,0 до 2,0см, расположенных на значительном расстоянии друг от друга преимущественно в субплевральных отделах, легочная ткань между ними не изменена.Для выявления метастазов в кортикальных отделах легкого рентгенографию органов грудной клетки необходимо дополнить проведением полипозиционного исследования с прицельными снимками в косых проекциях.
Хорионэпителиома матки. Метастазы в легкие.
Обзорная рентгенограмма органов грудной клетки в прямой проекции: справа - во втором и четвертом межреберьях, слева в третьем межреберье и над диафрагмой малоинтенсивные очаги уплотнения.
Прицельная рентгенограмма в правой задней косой проекции: в первом, третьем и пятом межреберьях малоинтенсивные очаги до 0,6см диаметром.
Прицельная рентгенограмма в левой задней косой проекции: в пятом межреберье и у переднего конца VI ребра малоинтенсивные очаги 0,4см и 0,8см диаметром.
Иногда при хорионэпителиоме матки гематогенные метастазы могут быть множественные, густо расположенные, почти одинакового размера, однородной структуры с четкими контурами.
Хорионэпителиома матки. Множественные метатастазы в легкие.
Обзорная рентгенограмма органов грудной клетки в прямой проекции: множественные очаги и фокусы уплотнения размерами от 0,5 до 2,0см диаметром. В средней доле справа и в нижних отделах левого легкого очаги сливаются между собой, образуя более крупные фокусы с нечеткими контурами.
Для опухолей тела и шейки матки характерно метастатаческое поражение легочной ткани в виде солитарных метастазов. Округлой формы образования различные по величине выявляются как в прикорневых, так и в субплевральных отделах легкого. Структура их чаще однородная, наружные контуры четкие.
Рак тела матки. Метастазы в правое легкое.
Обзорная рентгенограмма органов грудной клетки в прямой проекции: в хвостовой части корня правого легкого неправильной формы уплотнение.
Фрагмент прицельной рентгенограммы правого легкого: в хвостовой части корня легкого два слившихся между собой округлой формы образования однородной структуры, с четкими наружными контурами.
Редко в толще опухолевого узла может выявляться полость распада, наружные контуры таких узлов нечеткие, лучистые. По скиологическим признакам картина соответствует полостной форме периферического рака. Только наличие в анамнезе опухоли матки позволяет выставить в дифференциально-диагностический ряд метастаз рака матки. Морфологическое уточнение диагноза в таких случаях осуществляется при изучении материала полученного во время трансторакальной пункции или бронхоскопии.
Для рака яичников характерно изолированное поражение плевры и проявляется картиной двустороннего выпотного плеврита, не имеющего специфических рентгенологических признаков. Следует отметить, что нередко плеврит может быть первым проявлением опухолевого заболевания яичников. Поэтому при обнаружении у женщин выпота в плевральных полостях необходимо исключить опухоль яичников. Скапливающаяся в плевральных полостях жидкость чаще негеморрагического характера и темпы её накопления в процессе лечения различны. Количество удаляемой в процессе лечения жидкости достигает иногда 50 литров (симптом «неисчерпаемости» плеврита).

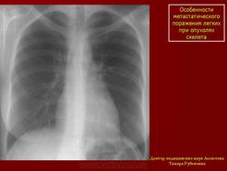
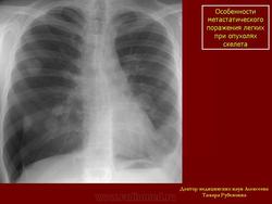
Особенности метастатического поражения легких при опухолях скелета

Остеогенные саркомы наиболее злокачественные быстро прогрессирующие и рано метастазирующие опухоли скелета.
На основании рентгено-морфологических данных выделяют несколько вариантов остеосарком:

·        остеолитическую;

·        остеопластическую;

·        смешанную.

При остеолитической остеосаркоме в опухолевой ткани образуются участки кровоизлияний, некрозов и кист,
при остеопластической саркоме опухолевая ткань плотная, за счет обильного образования костных структур.
При смешанном варианте процессы остеолиза и опухолевого костеобразования сочетаются в различных вариантах.
Для опухолей костей характерен гематогенный путь метастазирования, при котором наиболее часто отмечается изолированное поражение легочной ткани в виде солитарных или множественных очагов и фокусов уплотнения небольших размеров от 0,5см до 1,5-2,5см. Учитывая патологоанатомические варианты остеосарком метастазы в легочной ткани по своим скиологическим признакам напоминают строение первичной опухоли, поэтому структура их неоднородна за счет очажков обызвествлений
Метастазы остеосаркомы в легкие.
Обзорная рентгенограмма органов грудной клетки:в легких слева на фоне тени сердца, справа за скатом диафрагмы определяются округлой формы образования неоднородной структуры размерами от 0,7 до 2,3см.
Компьютерные томограммы органов грудной клетки: в различных отделах легких округлой и овальной формы образования с четкими контурами, в отдельных видны известковой плотности включения .
Следует отметить, что солитарный метастаз может достигать значительных размеров и сохранять при этом четкие контуры.
Параостальная саркома правой малоберцовой кости.
Метастаз в правое легкое.
Обзорные рентгенограммы органов грудной клетки в прямой и правой боковой проекциях: в нижней доле правого больших размеров опухолевый узел с крупнобугристой поверхностью и четкими контурами. Верхняя и средняя доли в состоянии компрессионного ателектаза.
Компьютерные томограммы на бифуркационном и верхне-диафрагмальном уровнях: в правом легком узловое образование неправильной формы с четкими контурам занимает почти всю нижнюю и частично верхнюю доли неоднородной структуры, с участками патологического костеобразования.
Наличие в метастазах очагов патологического костеобразования, является характерным признаком остеосарком. Кроме того, неоднородность метастазов может быть обусловлена распадом опухолевой ткани. Образующаяся полость располагается ассиметрично, имеет четкие ровные внутренние контуры.
Остеосаркома бедренной кости. Метастазы в легкие.
Фрагмент комтьютерной томограммы правого легкого: в субплевральном отделе средней доли овальной формы образование с четкими наружными контурами, с ассиметрично расположенной полостью распада в толще. Окружающая легочная ткань не изменена.
Распад метастатических узлов нередко сопровождаться развитием спонтанного пневмоторакса, который часто рецидивирует.
Метастазы остеосаркомы в легкие.

а – обзорная рентгенограмма органов грудной клетки в прямой проекции: в легких с обеих сторон округлой формы образования с четкими контурами размерами от 0,7 до 2,0 см диаметром, справа - спонтанный пневмоторакс. Газ слоем 2,5 см окутывает всё легкое. В синусе левой плевральной полости небольшое количество выпота.
В части случаев легочные метастазы могут сочетаться с поражением плевры, которое проявляется узловыми опухолевыми разрастаниями или накоплением выпота в плевральной полости. Следует отметить, что при остеосаркомах возможно и изолированное метастатическое поражение плевры.

Катенёв Валентин Львович аватар
Не на сайте
Был на сайте: 7 лет 4 месяцев назад
Зарегистрирован: 22.03.2008 - 22:15
Публикации: 54876

Метастатическое поражение легких при опухолях яичка

Для опухолей яичка характерно появление в легочной ткани множественных округлой формы образований различных размеров от 0,5см до 5,0-6,0 см в диаметре c четкими контурами. Крупные метастазы иногда приобретают неправильную форму. Легочная ткань между опухолевыми узлами не изменена. Легочные метастазы могут сочетаться с поражение медиастинальных лимфатических узлов, корней легких и плевры.
Опухоль яичка. Множественные метастазы в легкие.
а,б – обзорные рентгенограммы органов грудной клетки в прямой и правой боковой проекциях: в легких с обеих сторон множественные округлой формы образования от 0,5 см до 4,5 см диаметром с четкими ровными контурами, расположенные преимущественно в нижних отделах.
В редких случаях отдельные метастазы в легких могут достигать больших размеров и сдавливать жизненно важные органы.
Опухоль яичка. Метастатическое поражение легких.
а,б – обзорные рентгенограммы органов грудной клетки в прямой и правой боковой проекциях: в левом легком опухолевый конгломерат, состоящий из слившихся между собой узлов, достигает размеров 27х14х15 см. оттесняет органы средостения в противоположную сторону. В язычковом сегменте округлой формы образование до 1,5см. Во втором и пятом межреберьях правого легкого фокусы уплотнения 2,5см и 2,0см диаметром. Слева в нижних отделах сзади узловое утолщение костальной плевры размерами 2,5х6,0см.
в,г – компьютерные томограммы органов грудной клетки: в легких видны метастазы размерами от о,5см диаметром до 12см. В средостении увеличенные лимфатические узлы 3,0х4,5см. В плевральных полостях с обеих сторон небольшое количество выпота.
Современные возможности химиотерапевтического лечения позволяют добиться хороших результатов.
Через 40 дней на фоне ПХТ
Обзорная рентгенограмма органов грудной клетки в прямой проекции: все крупные метастазы значительно уменьшились в размерах, мелкие перестали отчетливо определяться.
На фоне проводимого противоопухолевого лечения в толще метастазов иногда появляются полости распада.
Следует отметить, что увеличение лимфатических узлов средостения бывает первым проявлением опухолевого заболевания яичка. Поэтому, при расширении срединной тени, обусловленной внутригрудной лимфаденопатией в дифференциально-диагностический ряд небходимо включать не только лимфопролиферативные заболевания, но и метастазы опухоли яичка.

Приложения: 
1.ya_.slayd96.jpg2.ya_.slayd97.jpg3.ya_.slayd98.jpg4.ya_.slayd99.jpg5.ya_.slayd100.jpg6.ya_.slayd101.jpg7.ya_.slayd102.jpg
Катенёв Валентин Львович аватар
Не на сайте
Был на сайте: 7 лет 4 месяцев назад
Зарегистрирован: 22.03.2008 - 22:15
Публикации: 54876

Особенности метастатического поражения легких при раке желудка и раке толстой кишки

Опухоли желудка и толстой кишки редко сопровождаются метастатическим поражением органов грудной полости.
При раке желудка превалирует лимфогенный путь метастазирования, который проявляется увеличением лимфатических узлов средостения. корней легких и ретроградным раковым лимфангитом. Иногда наблюдается изолированное метастатическое поражение плевры, сопровождающееся накоплением выпота в плевральной полости. Экссудативный плеврит может быть первым проявлением опухолевого заболевания. Изолированные гематогенные метастазы встречаются нечасто.
Рак желудка. Метастазы в легкие.
Обзорная рентгенограмма органов грудной клетки в прямой проекции: справа у переднего отрезка второго и пятого ребер и слева во втором межреберье округлой формы образования.
Компьютерная томограмма легких: в средней доле справа очаговое образование 0,8 см диаметром, в нижней доле левого легкого выявляются мелкие, связанные с сосудами очажки.
Для опухоли толстой кишки характерно гематогенное метастазирование, которое сопровождается появлением в легочной ткани солитарных или единичных округлой формы образований с мелкобугристой поверхностью и нечеткими лучистыми контурами. Размерами от 1,5 см до 4,0 см диаметром и более, окружающая легочная ткань не изменена.
Рак толстой кишки. Метастазы в легкие.
Обзорные рентгенограммы органов грудной клетки в прямой и правой боковой проекции: в легких с обеих сторон видны единичные фокусы уплотнения.
Фрагмент компьютерной томограммы легких: в нижней доле правого и язычковом сегменте левого легкого округлой формы образования однородной структуры с мелкобугристой поверхность и лучистыми контурами. Справа междолевая плевра подтянута в сторону узла и утолщена.
Рентгенологическая семиотика соответствует классической картине периферического рака, только наличие в анамнезе опухоли кишки позволяет выставить в дифференциально-диагностический ряд метастаз.
Метастатическое поражение легочной ткани может быть первым проявлением опухоли толстой кишки, что вызывает значительные трудности в интерпретации выявленных изменений, которые могут быть как первично-множественным синхронным раком легкого так и метастазами рака толстой кишки. В этих случаях необходимо проведение рентгенологического и эндоскопического исследования толстой кишки для исключения в ней первичной опухоли.

Приложения: 
2.t.slayd103.jpg2.t.slayd104.jpg3.t.slayd105.jpg4.t.slayd106.jpg5.t.slayd107.jpg
Катенёв Валентин Львович аватар
Не на сайте
Был на сайте: 7 лет 4 месяцев назад
Зарегистрирован: 22.03.2008 - 22:15
Публикации: 54876

 

Метастатическое поражение органов грудной полости при раке почки

Метастатическое поражение легких может быть первым признаком проявления опухолевого заболевания или выявляться одновременно с установлением диагноза опухоли почки.
Наиболее характерными признаками метастазов рака почки в легкие является наличие единичных или множественных шаровидных образований размерами от 1,0-2,0см до 5,0 и более см в диаметре, с четкими контурами, однородной структуры на фоне неизмененной легочной ткани.
Рак почки.
Рис.1а,б – обзорные рентгенограммы органов грудной клетки в прямой и правой боковой проекциях: шаровидной формы образования, размерами от 1,5см до 4,5см диаметром с четкими контурами.
В единичных наблюдениях наряду с округлыми образованиями могут быть и множественные участки пневмониеподобной инфильтрации легочной ткани, неоднородной структуры с нечеткими наружными контурами.
Рак почки. Метастазы в легкие.
Рис. 1а – обзорная рентгенограмма органов грудной клетки в прямой проекции: в легких с обеих сторон различных размеров очаги, фокусы и неправильной формы участки инфильтративного уплотнения с нечеткими контурами.
Рис. 2б – компьютерная томограмма на уровне дуги аорты: в легких округлой формы образования размерами от 0,2см до 2,5см диаметром с нечеткими контурами. Крупные фокусы слились между собой, образуя неправильной формы участки уплотнения неоднородной структуры с нечеткими контурами.
Метастазы могут расти в просвете бронхе и сопровождаться формированием ретенционных кист, с возможным развитием воспалительных изменений в дистальнее расположенном участке легкого.
Рак почки. Внутрибронхиальный метастаз с формированием ретенционной кисты.
Рис.3а – обзорная рентгенограмма органов грудной клетки в прямой проекции: в головке корня левого легкого узловое уплотнение и усиление легочного рисунка в верхних отделах левого легкого.
Рис. 3б - обзорная рентгенограмма органов грудной клетки в левой боковой проекции: узловое уплотнение вокруг передне-сегментарной ветви верхнедолевого бронха и неправильной формы уплотнение в переднем сегменте верхней доли.
Рис. 3в – фрагмент компьютерной томограммы левого легкого: верхнедолевой бронх в дистальной части обтурирован опухолью.
Рис. 3г- фрагмент компьютерной томограммы левого легкого: в переднем сегменте верхней доли левого легкого видны перерастянутые секретом, дихотомически делящиеся сегментарные ветви верхнедолевого бронха, которые имеют веретенообразную форму, четкие выпуклые контуры.
Метастатическое поражение органов грудной клетки иногда проявляется изолированным поражением плевры в виде выпотного плеврита или опухолевых разрастаний на плевральных листках.
Увеличение лимфатических узлов средостения может быть изолированным или сочетаться с поражением легочной ткани и плевры.
Таким образом, рентгенологические проявления метастатического поражения органов грудной полости зависят от места оседания опухолевых клеток и от осложнений, связанных с ростом опухолевых элементов.

Приложения: 
1.po_.slayd19.jpg2.po_.slayd20.jpg3.po_.slayd21.jpg4.po_.slayd22.jpg5.po_.slayd23.jpg6.po_.slayd24.jpg7.po_.slayd25.jpg8.po_.slayd26.jpg
Катенёв Валентин Львович аватар
Не на сайте
Был на сайте: 7 лет 4 месяцев назад
Зарегистрирован: 22.03.2008 - 22:15
Публикации: 54876

 

Метастатическое поражение легких при меланоме кожи

Рентгенологические проявления метастазов меланомы в легкие характеризуются появлением единичных или множественных округлой формы образований средней интенсивности с четкими контурами, размерами от 0,5 до 2,5см диаметром. Легочная ткань в прилежащих отделах не изменена.
Обзорная рентгенограмма органов грудной клетки в прямой проекции: в легких с обеих сторон видны округлой формы образования примерно одинаковой величины от 1,5см до 2,5см диаметром.
Нередко метастазы в легкие сочетаются с увеличением внутригрудных лимфатических узлов. Иногда может отмечаться изолированное поражение лимфатических узлов средостения или плевры. Метастазирование в плевру, появляется просовидной опухолевой диссеминацией по париетальным и висцеральным листкам с накоплением выпота в плевральной полости.

Приложения: 
1.kozha_.slayd27.jpg
Катенёв Валентин Львович аватар
Не на сайте
Был на сайте: 7 лет 4 месяцев назад
Зарегистрирован: 22.03.2008 - 22:15
Публикации: 54876

 

Метастазирование рака ободочной кишки имеет свои особенности.

Лимфогенный путь.Различают четыре этапа метастазирования в регионарные лимфатические узлы:
• I этап — эпиколические лимфатические узлы(располагающиеся непосредственно у стенки кишки);
• II этап — параколические лимфатические узлы (располагающиеся по ходу краевого сосуда, питающего данный сегмент);
• III этап — промежуточные или собственно брыжеечные лимфатические узлы (вдоль стволов крупных питающих артерий);
• IV этап — базальные или основные лимфатические узлы (у устья крупных питающих артерий).
Далее лимфа собирается в лимфатическую цистерну, расположенную в области I-II поясничных позвонков. От цистерны лимфа по грудному лимфатическому протоку вливается в венозную систему в области левого венозного угла — места слияния подключичной и внутренней яремной вен. Там же определяются надключичные метастазы.

Гематогенный путь метастазирования связан с прорастанием опухоли в венозную сосудистую сеть с последующим распространением по току крови — прежде всего в печень и легкие.

Имплантационный путь метастазирования, или контактный, связан с прорастанием опухолью всех слоев стенки кишки, отрывом раковых клеток от основной массы опухоли и их имплантацией по брюшине. Эти раковые клетки дают начало мелкобугристому высыпанию, называемому канцероматозом брюшины. Последний обычно сопровождается раковым асцитом. Проявлением канцероматоза являются метастазы в пупок и по брюшине малого таза. Эти метастазы могут быть определены при первичном осмотре больного с применением пальцевого ректального обследования. Их обнаружение свидетельствует о запущенном процессе.

Приложения: 
36._metastazy.jpg
Катенёв Валентин Львович аватар
Не на сайте
Был на сайте: 7 лет 4 месяцев назад
Зарегистрирован: 22.03.2008 - 22:15
Публикации: 54876

Метастатические опухоли легких

Приложения: 
1.meta_.slayd18.jpg
Andy061 аватар
Не на сайте
Был на сайте: 10 лет 5 месяцев назад
Зарегистрирован: 29.05.2011 - 08:18
Публикации: 92

Хорошо и ясно изложено.

Катенёв Валентин Львович аватар
Не на сайте
Был на сайте: 7 лет 4 месяцев назад
Зарегистрирован: 22.03.2008 - 22:15
Публикации: 54876
Катенёв Валентин Львович аватар
Не на сайте
Был на сайте: 7 лет 4 месяцев назад
Зарегистрирован: 22.03.2008 - 22:15
Публикации: 54876
Катенёв Валентин Львович аватар
Не на сайте
Был на сайте: 7 лет 4 месяцев назад
Зарегистрирован: 22.03.2008 - 22:15
Публикации: 54876
Катенёв Валентин Львович аватар
Не на сайте
Был на сайте: 7 лет 4 месяцев назад
Зарегистрирован: 22.03.2008 - 22:15
Публикации: 54876
Image
3a: Round shadow: multiple lung metastasis. Chest radiograph (PA)
Image
3b: Multiple lung metastasis, CT lung window (axial, coronal reformat)
Image
3c, coronal reformat   
Катенёв Валентин Львович аватар
Не на сайте
Был на сайте: 7 лет 4 месяцев назад
Зарегистрирован: 22.03.2008 - 22:15
Публикации: 54876

Милиарные метастазы

20. Miliary lung metastases. HRCT, coronal reconstruction: