Профессиональные заболевания. Паракват - отравления. Отравления углеводородами, аммиаком. +

Паракват - отравления.

Кун-Ил Ким, Чанг Вон Ким, Мин Ки Ли, Ген Су Ли, Чунг-Ки Парк, Сок Джин Чой, Чен Gi Kim.

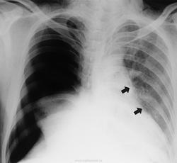
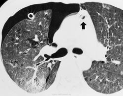
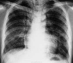
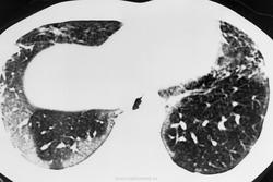
Пациент, будучи в нетрезвом состоянии взял паракват в рот, и затем выплюнул.

Отравления при вдыхании параквата.

Паракват - это гербицид, который используется в сельском хозяйстве во многих странах.

Dr.Drug аватар
Не на сайте
Был на сайте: 7 лет 8 месяцев назад
Зарегистрирован: 01.11.2008 - 20:21
Публикации: 464

Паракват, Вы хотели сказать?

С уважением, А.В.Коробейников

Катенёв Валентин Львович аватар
Не на сайте
Был на сайте: 6 лет 11 месяцев назад
Зарегистрирован: 22.03.2008 - 22:15
Публикации: 54876

Дикват (реглон) и паракват Дикват (реглон) и паракват—гербициды, производные пири-диллия. В СССР к применению рекомендован 20 %-ный водный раствор диквата (реглон) для обработки паров с целью уничтожения сорняков с нормами расхода 1,0—2,0 кг д. в. на 1 га, сенокосных лугов и пастбищ для борьбы с малоценными и ядовитыми растениями (чемерица, лютики, борщевики, щавель и другие сорняки) с нормами расхода до 3 кг д. в. на 1 га (15 кг/га по препарату).
К реглону особенно чувствителен крупный рогатый скот. ЛД50 для телят составляет около 20 мг/кг. При обработке сенокосных угодий и пастбищ реглоном с рекомендуемыми нормами расхода содержание остатков может достигать 100 мг/кг. ПДК реглона в кормах для сельскохозяйственных животных и птицы не установлены. Также не определены сроки ожидания после обработки, однако они должны составлять не менее 40 дн. При несоблюдении этих сроков остатки реглона в сене могут достигать 10 мг/кг и выше. Паракват в СССР к применению не рекомендован.
Метод основан на извлечении гербицидов слабым раствором; серной кислоты, их концентрировании на катионите, элюирований насыщенным раствором хлорида аммония, восстановлении до окрашенных радикалов дитионитом натрия и фотометрическим определением по сравнению со стандартными растворами известной концентрации. Предел обнаружения диквата и параквата в травянистых растениях 2,5—5, в сене— 10 и 5 мг/кг соответственно. Полнота извлечения из кормов — 65%. Относительная ошибка определения— до 20 % (Е. В. Ермаков, Г. А. Таланов, 1987).

Катенёв Валентин Львович аватар
Не на сайте
Был на сайте: 6 лет 11 месяцев назад
Зарегистрирован: 22.03.2008 - 22:15
Публикации: 54876

Dr.Drug wrote:

Паракват, Вы хотели сказать?

Спасибо за исправление, спасибо! А все спешка - суета - сует...