Профессиональные заболевания. Пневмокониоз. Асбестоз. Сероводород. Отравления изоцианатом. +

 Асбестоз.

 

 

Кун-Ил Ким, Чанг Вон Ким, Мин Ки Ли, Ген Су Ли, Чунг-Ки Парк, Сок Джин Чой, Чен Gi Kim.

 

Асбестоз - одно из самых распространенных среди пневмокониозов заболевание, которое вызывается асбестовой пылью. Данную болезнь можно наблюдать на всех «пыльных» производствах, исключением являются только шахтерское и другое моноиндустриальное производство. Асбестоз - заболевание рабочих, которые занимаются добычей, изготовлением и обработкой промышленных изделий из асбеста. Однако ему подвержены также люди, работающие с асбестовыми изделиями. Известны случаи заболевания асбестозом во время коротких контактов с ним, например, у жен, которые стирали и чистили рабочую одежду своих мужей, или у маляров судоверфей, работающих в помещении вместе с изолировщиками.

Контакт с асбестом может повлечь за собой следующие последствия:

1) мезотелиома плевры и брюшины;

2) асбестоз;

3) рак легкого.

Развивается болезнь вследствие приблизительно десятилетнего контакта с большим либо умеренным количеством асбестовой пыли. Асбестоз характеризуется рестриктивными нарушениями, которые проявляются через уменьшение емкостей и объемов легких. У данного заболевания существуют также и обструктивные нарушения, когда, например, у больного выявляется снижение объемной скорости выдоха. Однако такие отклонения, как правило, выражены гораздо хуже.

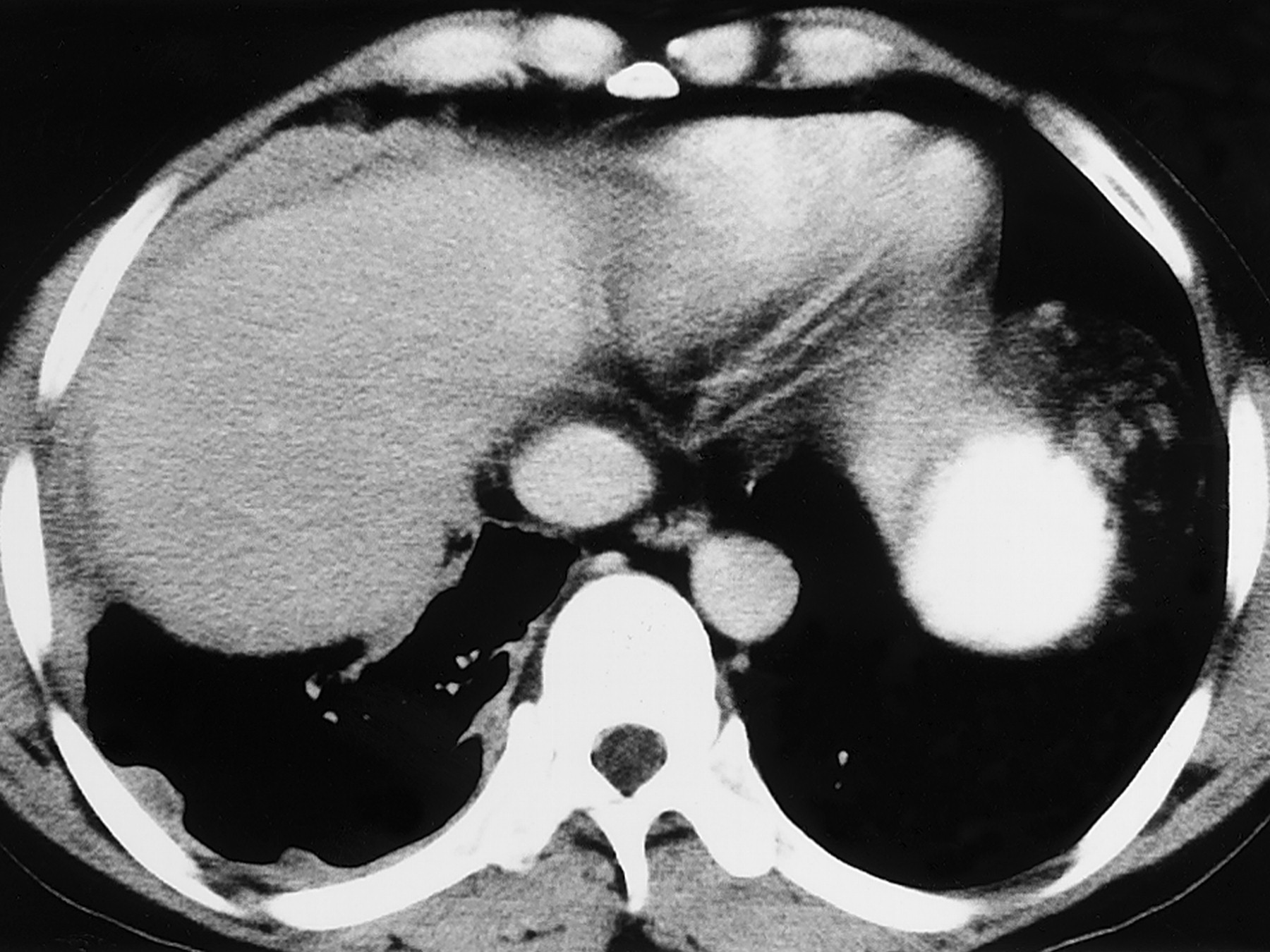
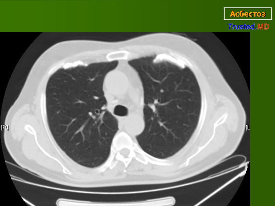
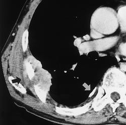
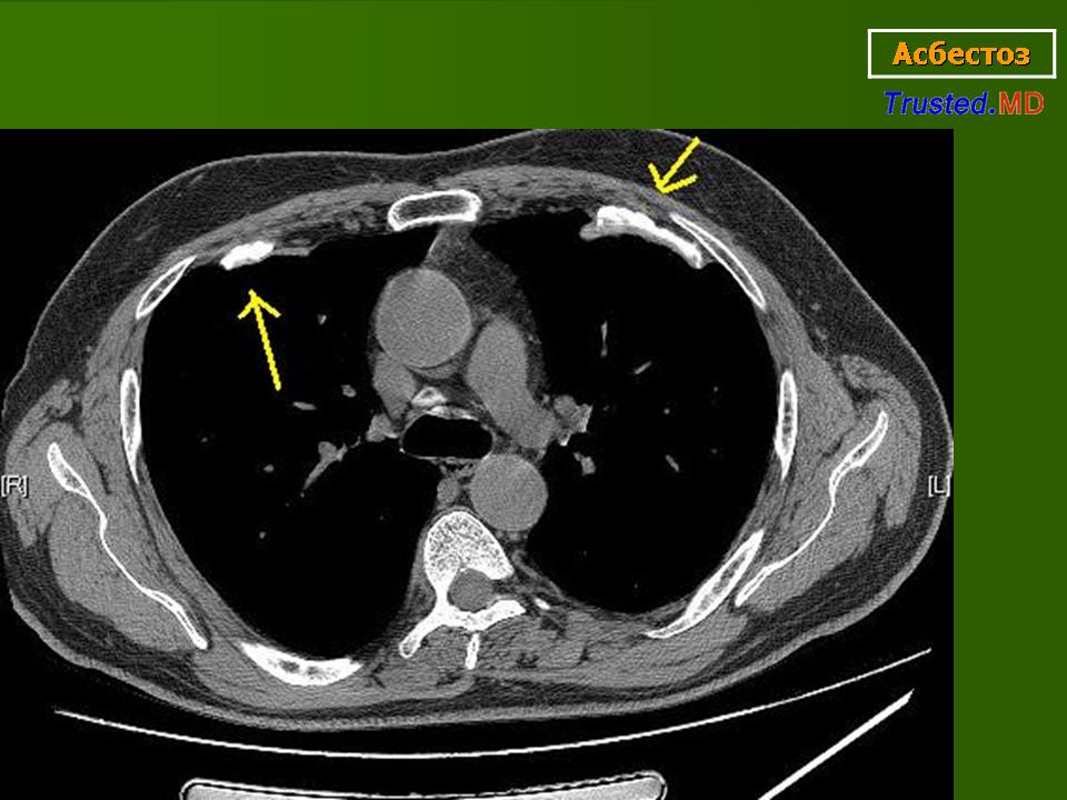
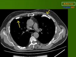
По клиническим проявлениям асбестоз сравним с пневмокониозами любой другой этиологии. У пациентов, заболевших асбестозом, есть рентгенологические изменения, но это характерно и для больных другими заболеваниями. Изменения такого рода (например, плевральные бляшки) можно иногда наблюдать у совершенно здоровых людей, если они когда-либо имели контакт с асбестом. Если у пациента отсутствуют другие рентгенологические патологии, и нет еще каких-либо жалоб, то поражение плевры не может считаться признаком асбестоза. У здорового человека также возможно появление небольшого плеврального выпота, однако чаще всего его можно увидеть при асбестозе. Жидкостью является стерильный серозный экссудат, в некоторых случаях он бывает геморрагическим. Иногда выпот может иметь две стороны. Как правило, дальше он либо рассасывается без какой-то определенной помощи, либо постепенно нарастает.

При развитии асбестоза на рентгенограмме можно увидеть неправильной формы или линейные очаговые тени. В начале такие изменения появляются в нижней трети легкого(их), когда заболевание начинает прогрессировать, то изменения определяются в верхней и средней третях. Если фиброз сильно выражен, то граница сердечной тени становится нечеткой или же возникают однородные ограниченные затемнения легочных полей. Нарастание фиброза влечет за собой формирование сотового легкого, имеющего классическую рентгенологическую картину, т. е. величины смешаны с мелкими полостями (их диаметр составляет, как правило, от 7 до 10 мм), видны очаговые тени разной формы, и облитерация целых ацинусов.

Особое лечение при асбестозе отсутствует. Данное заболевание, также как и другие типы диффузного интерстициального пневмосклероза, лечится симптоматически.

Злокачественная мезотелиома.

 

Кун-Ил Ким, Чанг Вон Ким, Мин Ки Ли, Ген Су Ли, Чунг-Ки Парк, Сок Джин Чой, Чен Gi Kim.

Катенёв Валентин Львович аватар
Не на сайте
Был на сайте: 7 лет 2 месяцев назад
Зарегистрирован: 22.03.2008 - 22:15
Публикации: 54876

 

Асбест - это минерал, имеющий своеобразное волокнистое строение; его называют также горным льном. Встречаются две разновидности асбеста: роговообманковый (амфибол) и змеевиковый (хризотил). Последний используется преимущественно в промышленности. В состав асбеста могут входить небольшие примеси свободного диоксида кремния.
Вследствие волокнистого строения асбеста пыль, помимо фиброзирующего действия, вызывает более выраженное механическое поражение слизистой оболочки дыхательных путей и легочной ткани, чем другие виды производственной пыли. Этим, по-видимому, отчасти можно объяснить некоторые особенности клинико-рентгенологической картины, течения и осложнений асбестоза.

Клиническая картина.

Отмечается симптомокомплекс хронического бронхита, эмфиземы легких и пневмофиброза, в котором ведущая роль принадлежит хроническому бронхиту и эмфиземе легких. Уже в начальных стадиях заболевания часто имеется выраженная клиническая картина. Рано появляются одышка, возникающая при небольшом физическом напряжении и даже в покое; приступообразный кашель, вначале сухой, затем с трудно отделяющейся вязкой мокротой; боли в грудной клетке, особенно интенсивные при кашле. Заметно нарушается общее самочувствие больных: появляются резкая слабость, быстрая утомляемость, головная боль. Изменяется вид больных: они худеют, отмечается серо-землистая окраска кожных покровов с цианотичным оттенком лица и губ. Перкуторно и аускультативно в легких определяются признаки хронического бронхита и диффузной эмфиземы легких. При асбестозе, не сочетающемся с хроническим бронхитом, эмфизема легких обычно слабо выражена, не наблюдается значительных нарушений функции дыхания. По данным рентгенологических исследований, асбестоз относится к интерстициальным формам пневмокониозов. Выраженные изменения на рентгенограммах встречаются преимущественно в тех случаях, когда асбестоз сочетается с тяжелыми формами хронического бронхита и при развитии бронхоэктазов.
Своеобразными признаками, встречающимися, однако, не всегда, являются наличие в мокроте асбестовых волокон и телец, а также образование на коже больных асбестовых бородавок. Появление асбестовых волокон в мокроте - следствие самоочищения легких от проникающей в дыхательные пути пыли асбеста. Поэтому только по наличию в мокроте асбестовых волокон нельзя поставить диагноз асбестоза.
Асбестовые тельца - образования различной формы: в виде нитей с утолщенными концами, барабанных палочек, гимнастических булав (рис. 6). Цвет их золотисто-желтый, буро-желтый. Существуют различные мнения о механизме их возникновения. По всей вероятности, они являются частицами асбестовых волокон, подвергшихся разрушению и изменивших свой химический состав под влиянием биологической среды.
Так называемые асбестовые бородавки возникают вследствие внедрения волокон асбеста в эпителиальный покров. На месте их внедрения отмечаются выраженное ороговение эпителия и интенсивная пролиферация клеточных элементов с появлением гигантских клеток. В подлежащей ткани развивается хронический воспалительный процесс. Асбестовые бородавки обычно появляются на пальцах рук и ног, кистях и подошвах.
При асбестозе 1й стадии в отличие от силикоза I стадии наблюдается более выраженная одышка при обычном умеренном физическом напряжении. Чаще таких больных беспокоят кашель, боли в грудной клетке. В легких нередко прослушиваются постоянные сухие хрипы и шум трения плевры, главным образом над нижнебоковыми отделами грудной клетки. Появляются клинические признаки эмфиземы легких и дыхательной недостаточности.
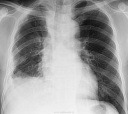
Рентгенологические признаки асбестоза I стадии: нерезкое усиление легочного рисунка за счет перибронхиального, пери-васкулярного и межуточного фиброза преимущественно в прикорневых и средних поясах легких, имеющего сетчатую и мелкопетлистую структуру, небольшие изменения плевры (утолщение, базальные спайки); корни легких несколько деформированы, уплотнены.
При асбестозе 2й стадии клиническая симптоматика более выражена. Усиливается одышка, появляется кашель с отделением вязкой мокроты. В легких наряду с сухими могут прослушиваться влажные хрипы. Подвижность нижних краев легких несколько ограничена вследствие развивающейся эмфиземы и плевродиафрагмальных сращений. Дыхательная недостаточность нарастает.
На рентгенограммах сосудисто-бронхиальный рисунок резко усилен, имеет более грубую сетчатую структуру. Иногда обнаруживаются немногочисленные мелкопятнистые тени узелкового характера. Прозрачность легочных полей повышена. Корни легких значительно уплотнены, расширены. Могут выявляться начальные признаки легочного сердца.
При асбестозе III стадии больных беспокоит одышка в покое, появляется цианоз лица, губ, кистей. Грудная клетка приобретает бочкообразную форму. Нередко в легких прослушивается обильное количество сухих и влажных хрипов. Тоны сердца глухие, над легочной артерией выявляется акцент II тона. Отмечается выраженная дыхательная недостаточность. Развивается легочное сердце с признаками декомпенсации.
На рентгенограмме - выраженные явления диффузного пневмосклероза, эмфиземы. Нередко видны значительные изменения плевры и характерные признаки легочного сердца. В отличие от силикоза III стадии при асбестозе III стадии обычно не отмечается обширных пневмосклеротических полей.
По сравнению с другими видами пневмокониоза при асбестозе наиболее часто наблюдаются развитие бронхоэктазов и присоединение инфекции, что со временем способствует возникновению бронхоэктатической болезни, пневмонии и нагноительных процессов в легких. Осложнение асбестоза туберкулезом легких встречается сравнительно редко: в основном преобладают торпидно протекающие формы туберкулеза.
К осложнениям асбестоза относят рак легких. Сочетание асбестоза с раком легких и плевры встречается значительно чаще, чем с другими пневмокониозами, главным образом у мужчин. Рак легких в большинстве случаев развивается через 20-50 лет после начала работы в контакте с асбестовой пылью. Описаны случаи развития рака легких при стаже работы с асбестом менее 10 лет. Опухоли обычно локализуются в нижних долях легких. Механизм развития рака легких при асбестозе еще мало изучен. Считают, что иглообразные частицы асбестовой пыли, травмируя слизистую оболочку бронхов, вызывают ее гипер- и метаплазию, в дальнейшем происходит атипическое разрастание эпителия. Существует также мнение, что возникновению рака легких при асбестозе способствуют образующиеся у больных тяжелые бронхоэктатические изменения.
Пневмосклеротический процесс от воздействия асбестовой пыли не имеет склонности к быстрому прогрессированию. Тяжесть состояния больных асбестозом в основном определяется степенью выраженности бронхита, эмфиземы легких, развитием бронхоэктазов, присоединением инфекции.
Указанные осложнения являются причиной значительных нарушений дыхательной функции и расстройств гемодинамики малого круга кровообращения, утяжеляющих течение асбестоза. Описано развитие поздней формы асбестоза, возникновение которой объясняют медленным растворением сохранившихся в легких частиц асбестовой пыли.

Приложения: 
1.as_.slayd66.jpg2.as_.slayd67.jpg3.as_.slayd68.jpg4.as_.slayd69.jpg1.asb_.slayd26.jpg2.as_.slayd27.jpg3.as_.slayd28.jpg
Катенёв Валентин Львович аватар
Не на сайте
Был на сайте: 7 лет 2 месяцев назад
Зарегистрирован: 22.03.2008 - 22:15
Публикации: 54876

Продолжение.

Приложения: 
1.a.slayd5_.jpg2.a.slayd6_.jpg3.a.slayd7_.jpg4.a.slayd8_.jpg5.a.slayd9_.jpg1.as_.slayd2_.jpg
Катенёв Валентин Львович аватар
Не на сайте
Был на сайте: 7 лет 2 месяцев назад
Зарегистрирован: 22.03.2008 - 22:15
Публикации: 54876

Из литературных источников.

Приложения: 
2.asbestoz.slayd46.jpg1..asb_..slayd23.jpg2..asb_..slayd24.jpg
Катенёв Валентин Львович аватар
Не на сайте
Был на сайте: 7 лет 2 месяцев назад
Зарегистрирован: 22.03.2008 - 22:15
Публикации: 54876

Скиалогические схематические признаки асбестоза.

Приложения: 
11.asbestoz.gif12.asb_ctasbestosezeichen.gif
Катенёв Валентин Львович аватар
Не на сайте
Был на сайте: 7 лет 2 месяцев назад
Зарегистрирован: 22.03.2008 - 22:15
Публикации: 54876

Асбестоз.

Приложения: 
11.asbest.asbplpact34.asbesta.jpg12.asbest.copdnarbct66asbest.jpg13._asbest.copdnarbenct65...asbesta....jpg
Катенёв Валентин Львович аватар
Не на сайте
Был на сайте: 7 лет 2 месяцев назад
Зарегистрирован: 22.03.2008 - 22:15
Публикации: 54876

Асбестоз.

Приложения: 
11.as_.fib_wei_intintra_asbestoz.jpg12.as_.plplkactasbestoz_boyashki..jpg13.as_.asbestoz.jpg
Катенёв Валентин Львович аватар
Не на сайте
Был на сайте: 7 лет 2 месяцев назад
Зарегистрирован: 22.03.2008 - 22:15
Публикации: 54876

Асбестоз

Приложения: 
1.pn_.slayd29.jpg2.pn_.slayd30.jpg3.pn_.slayd31.jpg
Катенёв Валентин Львович аватар
Не на сайте
Был на сайте: 7 лет 2 месяцев назад
Зарегистрирован: 22.03.2008 - 22:15
Публикации: 54876
Катенёв Валентин Львович аватар
Не на сайте
Был на сайте: 7 лет 2 месяцев назад
Зарегистрирован: 22.03.2008 - 22:15
Публикации: 54876

Асбестоз

Приложения: 
0.radiologyinfo_eng.gif11.asbestoz.jpg
Катенёв Валентин Львович аватар
Не на сайте
Был на сайте: 7 лет 2 месяцев назад
Зарегистрирован: 22.03.2008 - 22:15
Публикации: 54876
Катенёв Валентин Львович аватар
Не на сайте
Был на сайте: 7 лет 2 месяцев назад
Зарегистрирован: 22.03.2008 - 22:15
Публикации: 54876
Катенёв Валентин Львович аватар
Не на сайте
Был на сайте: 7 лет 2 месяцев назад
Зарегистрирован: 22.03.2008 - 22:15
Публикации: 54876

Асбестоз

 

Приложения: 
1.slayd20..yub_.jpg
Катенёв Валентин Львович аватар
Не на сайте
Был на сайте: 7 лет 2 месяцев назад
Зарегистрирован: 22.03.2008 - 22:15
Публикации: 54876

Асбестоз

 

Приложения: 
11yyslayd36.jpg
Катенёв Валентин Львович аватар
Не на сайте
Был на сайте: 7 лет 2 месяцев назад
Зарегистрирован: 22.03.2008 - 22:15
Публикации: 54876

Асбестоз

 

Приложения: 
1yyslayd176.jpg1yyslayd177.jpg
Катенёв Валентин Львович аватар
Не на сайте
Был на сайте: 7 лет 2 месяцев назад
Зарегистрирован: 22.03.2008 - 22:15
Публикации: 54876

Асбестоз.

 

Приложения: 
1.aaasssbb.jpg
Катенёв Валентин Львович аватар
Не на сайте
Был на сайте: 7 лет 2 месяцев назад
Зарегистрирован: 22.03.2008 - 22:15
Публикации: 54876

Асбестоз.

 

Приложения: 
0.radiographics_logo_3.png00.g01nv01g12a_asbestoz_v_50-.jpeg00.g01nv01g12b_asbestoz_v_50-.jpeg
Катенёв Валентин Львович аватар
Не на сайте
Был на сайте: 7 лет 2 месяцев назад
Зарегистрирован: 22.03.2008 - 22:15
Публикации: 54876
Катенёв Валентин Львович аватар
Не на сайте
Был на сайте: 7 лет 2 месяцев назад
Зарегистрирован: 22.03.2008 - 22:15
Публикации: 54876
Асбест 1 ПА

Асбест 1 ПА

Дата: 06/02/2004
Просмотров: 812
Асбест 1 КТ

Асбест 1 КТ

Дата: 06/02/2004
Просмотров: 553
Асбест 2 ПА

Асбест 2 ПА

Дата: 06/02/2004
Просмотров: 582
Асбест 2 CTa

Асбест 2 CTa

Дата: 06/02/2004
Просмотров: 541
Асбест 2 CTb

Асбест 2 CTb

Дата: 06/02/2004
Просмотров: 504
Асбест 2 CTc

Асбест 2 CTc

Дата: 06/02/2004
Просмотров: 597
Асбест 3 ПА

Асбест 3 ПА

Дата: 06/02/2004
Просмотров: 563
Асбест 3 лат

Асбест 3 лат

Дата: 06/02/2004
Просмотров: 421
Асбест 4 ПА

Асбест 4 ПА

Дата: 06/02/2004
Просмотров: 440
Асбест 5 ПА

Асбест 5 ПА

Дата: 06/02/2004
Просмотров: 458
Асбест 6 ПА

Асбест 6 ПА

Дата: 06/02/2004
Просмотров: 519
Асбест 6 CT

Асбест 6 CT

Дата: 06/02/2004
Просмотров: 414
Асбест 7 ПА

Асбест 7 ПА

Дата: 06/02/2004
Просмотров: 460
Асбест 7 CT

Асбест 7 CT

Дата: 06/03/2004
Просмотров: 482