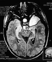
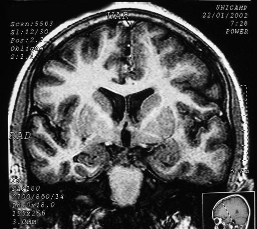
ГМ. Полимикрогирия. +

Полимикрогирия.

 

Отдел патологии, школа медицинских наук.
Государственного Университета Кампинас (UNICAMP).
Кампинас, Сан-Паулу, Бразилия.

Popovpavel аватар
Не на сайте
Был на сайте: 7 лет 7 месяцев назад
Зарегистрирован: 08.06.2009 - 00:23
Публикации: 649

Спасибо, красиво.

Катенёв Валентин Львович аватар
Не на сайте
Был на сайте: 7 лет 5 месяцев назад
Зарегистрирован: 22.03.2008 - 22:15
Публикации: 54876

Полимикрогирия.

Приложения: 
slide-1-728.jpgslide-62-728.jpg
Катенёв Валентин Львович аватар
Не на сайте
Был на сайте: 7 лет 5 месяцев назад
Зарегистрирован: 22.03.2008 - 22:15
Публикации: 54876

Полимикрогирия.

Приложения: 
1.poli_.slayd218.jpg2._poli.slayd219.jpg
Катенёв Валентин Львович аватар
Не на сайте
Был на сайте: 7 лет 5 месяцев назад
Зарегистрирован: 22.03.2008 - 22:15
Публикации: 54876

Полимикрогирия.

Приложения: 
11.open-uri20120221-1537-7q7aumpolimikrogiriya_mikrogiriya_poligiriya.jpeg