ГМ. Черепно-мозговые грыжи 2. +

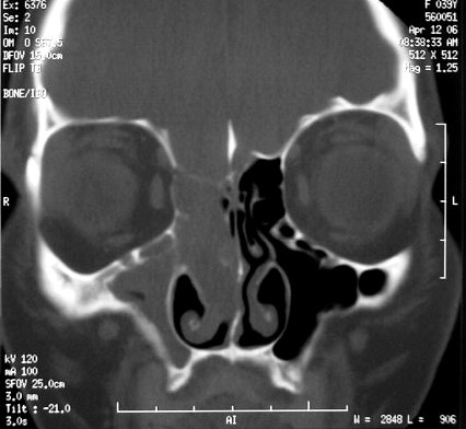
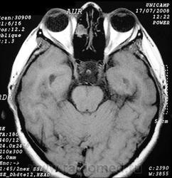
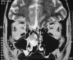
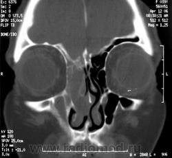
Фронтоэтмоидальное энцефалоцеле.

 

Отдел патологии, школа медицинских наук.
Государственного Университета Кампинас (UNICAMP).
Кампинас, Сан-Паулу, Бразилия.

 

Катенёв Валентин Львович аватар
Не на сайте
Был на сайте: 7 лет 3 месяцев назад
Зарегистрирован: 22.03.2008 - 22:15
Публикации: 54876

Цефалоцеле

Приложения: 
1._cef.slayd98.jpg
Катенёв Валентин Львович аватар
Не на сайте
Был на сайте: 7 лет 3 месяцев назад
Зарегистрирован: 22.03.2008 - 22:15
Публикации: 54876

anatpat

Затылочное экцефалоцеле.

 

 

Приложения: 
130903-1.jpg130903-3.jpg130903-8.jpg130903-14.jpg130903-16.jpg130903-19.jpg130903-22.jpg130903-28.jpg130903-32.jpg130903-48.jpg130903-53.jpg130903-55.jpg130903-58.jpg130903-66.jpg130903-75.jpg130903-80.jpg130903-82.jpg130903-84.jpg