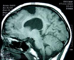
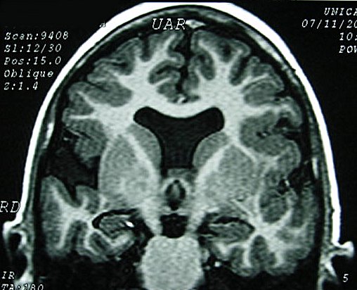
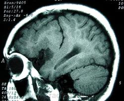
ГМ. Шизэнцефалия. +

Шизэнцефалия характеризуется расщеплением коры головного мозга линеинои формы, которое распространяется от желудочков к субарахноидальному пространству. Предположительно возникновение шизэнцефалии связано с окклюзией средних мозговых артерий, что может объяснить двусторонний характер поражения. В случаях шизэнцефалии нарушение сосудистого питания приводит не столько к разрушению мозговой ткани, сколько к ее неправильному формированию. Сочетание шизэнцефалии с другими аномалиями развития мозга свидетельствует о наличии другого механизма ее возникновения - первичных нарушений в большая часть коры разрушается. Многие из выживших детей страдают тяжелой умственной отсталостью.

К настоящему времени описано не более 100 случаев этого порока, из них пренатально диагностировано не более 20. Первое описание пренатальной ультразвуковой диагностики шизэнцефалии принадлежит W. Klingensmith и D. Coiffi-Ragan, которым удалось выявить порок II типа в III триместре беременности.

Основным диагностическим критерием шизэнцефалии является наличие двусторонних дефектов, исходящих из боковых желудочков в направлении к наружной поверхности коры головного мозга. Обычно дефекты располагаются симметрично, хотя могут быть и односторонними.

Отдел патологии, школа медицинских наук.
Государственного Университета Кампинас (UNICAMP).
Кампинас, Сан-Паулу, Бразилия.