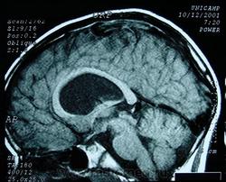
Шизенцефалия. Шизэнцефалия, щель между желудочками и субарахноидальным пространством, Полимикрогирия, агенезия прозрачной перегородки. Отдел патологии, школа медицинских наук. Государственного Университета Кампинас (UNICAMP). Кампинас, Сан-Паулу, Бразилия. Втр, 31/01/2012 - 10:07 #1 unre_ALL Не на сайте Был на сайте: 8 лет 3 месяцев назад Зарегистрирован: 15.09.2010 - 14:52 Публикации: 187 Да... врожденное состояние. Помню на одном форуме пациент выложил похожее, спросил что это? Случайно увидел, написал такой диагноз. На что мне доктор, хозяин портала, авторитетно отписал: Такого диагноза нет и не было! Шизоферния есть, а шизэнцефалии нету! ------------------------------------------------------------------------------------------------- Я получил счет от хирургов. Теперь мне понятно, почему эти парни работают в масках. Сб, 28/04/2012 - 23:31 #2 Катенёв Валенти... Не на сайте Был на сайте: 7 лет 4 месяцев назад Зарегистрирован: 22.03.2008 - 22:15 Публикации: 54876 ШизенцефалияПриложения: Сб, 14/07/2012 - 18:44 #3 Катенёв Валенти... Не на сайте Был на сайте: 7 лет 4 месяцев назад Зарегистрирован: 22.03.2008 - 22:15 Публикации: 54876 Шизенцефалия.Приложения: Вс, 09/09/2012 - 10:20 #4 Катенёв Валенти... Не на сайте Был на сайте: 7 лет 4 месяцев назад Зарегистрирован: 22.03.2008 - 22:15 Публикации: 54876 Шизенцефалия.Приложения: Пнд, 24/09/2012 - 19:01 #5 Катенёв Валенти... Не на сайте Был на сайте: 7 лет 4 месяцев назад Зарегистрирован: 22.03.2008 - 22:15 Публикации: 54876 http://www.ajronline.org/content/150/6/1391.full.pdf+html Приложения: Чт, 23/07/2015 - 08:07 #6 Катенёв Валенти... Не на сайте Был на сайте: 7 лет 4 месяцев назад Зарегистрирован: 22.03.2008 - 22:15 Публикации: 54876 http://radiomed.ru/cases/kt-gm-otkrytaya-shizencefaliya Сб, 29/10/2016 - 13:38 #7 Катенёв Валенти... Не на сайте Был на сайте: 7 лет 4 месяцев назад Зарегистрирован: 22.03.2008 - 22:15 Публикации: 54876 Отдел патологии, школа медицинских наук, Государственного Университета Кампинас (UNICAMP). Кампинас, Сан-Паулу, Бразилия. Приложения:
Да... врожденное состояние.
Помню на одном форуме пациент выложил похожее, спросил что это? Случайно увидел, написал такой диагноз. На что мне доктор, хозяин портала, авторитетно отписал: Такого диагноза нет и не было! Шизоферния есть, а шизэнцефалии нету!
-------------------------------------------------------------------------------------------------
Я получил счет от хирургов. Теперь мне понятно, почему эти парни работают в масках.
Шизенцефалия
Шизенцефалия.
Шизенцефалия.
http://www.ajronline.org/content/150/6/1391.full.pdf+html
http://radiomed.ru/cases/kt-gm-otkrytaya-shizencefaliya
Отдел патологии, школа медицинских наук,
Государственного Университета Кампинас (UNICAMP).
Кампинас, Сан-Паулу, Бразилия.