ГМ. Гетеротопии 1. Синдром «двойной коры» (Duplo córtex). +

Гетеротопии. Синдром «двойной коры» (Duplo córtex).

Отдел патологии, школа медицинских наук.
Государственного Университета Кампинас (UNICAMP).
Кампинас, Сан-Паулу, Бразилия.

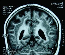
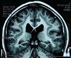
Наиболее частым вариантом миграционных нарушений является гетеротопия - скопление нейронов, остановившихся в различных аномальных местах на пути следования к коре головного мозга. Такая остановка происходит не позже 5-го месяца внутриутробного развития. Изолированный участок узловатой массы называется «гетеротопион». В настоящее время описаны следующие варианты гетеротопии:

- субэпендимальная нодулярная (узелковая) гетеротопия;

- ленточная (слоистая, ламинарная) гетеротопия;

- изолированная (одиночная) гетеротопия;

- синдром «двойной коры».

Катенёв Валентин Львович аватар
Не на сайте
Был на сайте: 7 лет 4 месяцев назад
Зарегистрирован: 22.03.2008 - 22:15
Публикации: 54876

 

Отдел патологии, школа медицинских наук.
Государственного Университета Кампинас (UNICAMP).
Кампинас, Сан-Паулу, Бразилия.

 

Приложения: 
dsc41185.jpgdsc41186.jpgdsc41188.jpgdsc41189.jpgdsc41190.jpgdsc41191.jpgdsc41192.jpgdsc41193.jpgdsc41194.jpgdsc41195.jpgdsc41196.jpg
Евгений Магонов аватар
Не на сайте
Был на сайте: 2 недели 2 дня назад
Зарегистрирован: 07.03.2008 - 15:28
Публикации: 1272

Спасибо этому сайту! Сегодня был такой же пациент, нашел информацию именно здесь.

Это не шутка, серьезно!

Добрый админ

Евгений Магонов аватар
Не на сайте
Был на сайте: 2 недели 2 дня назад
Зарегистрирован: 07.03.2008 - 15:28
Публикации: 1272

Картинки

Приложения: 
ax_flair0009.jpgax_flair0010.jpgsag_t20012.jpgsag_t20013.jpgt10001.jpgt10004.jpgt10006.jpgt10007.jpg

Добрый админ

Катенёв Валентин Львович аватар
Не на сайте
Был на сайте: 7 лет 4 месяцев назад
Зарегистрирован: 22.03.2008 - 22:15
Публикации: 54876

Евгений Магонов wrote:

Спасибо этому сайту! Сегодня был такой же пациент, нашел информацию именно здесь.

Это очень хорошо, ибо в данном случае Админ высказался, как пользователь.