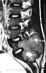
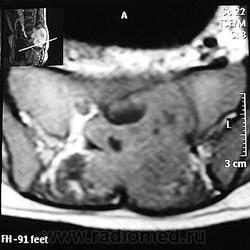
ГМ. СМ. Гигантоклеточная опухоль. +

Гигантоклеточная опухоль рояснично-крестцовой области.

 

 

Отдел патологии, школа медицинских наук.
Государственного Университета Кампинас (UNICAMP).
Кампинас, Сан-Паулу, Бразилия.