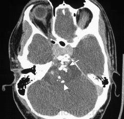
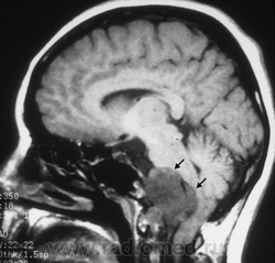
Хордома внутричерепная Хордома внутричерепная. Ср, 26/09/2012 - 22:16 #1 Катенёв Валенти... Не на сайте Был на сайте: 7 лет 1 неделя назад Зарегистрирован: 22.03.2008 - 22:15 Публикации: 54876 Хордома внутричерепнаяПриложения: Втр, 27/08/2013 - 18:51 #2 Катенёв Валенти... Не на сайте Был на сайте: 7 лет 1 неделя назад Зарегистрирован: 22.03.2008 - 22:15 Публикации: 54876 Хордома ID: 4555 Chordoma Dr Frank Gaillard - 12 Sep 2008 MRI and CT demonstrate a large destructive soft tissue mass arising from... ID: 12796 Chordoma Dr Frank Gaillard - 11 Jan 2011 Although chordomas are typically seen in young adults they need to be co... ID: 5200 Chordoma Dr Frank Gaillard - 16 Dec 2008 Nasopharynx, biopsy: Chordoma. consists of myxoid tissue containing poly... ID: 7880 Chordoma Dr Frank Gaillard - 20 Dec 2009 This lesion was resected and confirmed to be a chordoma. ID: 5269 Chordoma - mainly anterior growth Dr Frank Gaillard - 29 Dec 2008 MRI through the base of skull demonstrates a large midline mass centred ... Ср, 16/12/2015 - 14:26 #3 Катенёв Валенти... Не на сайте Был на сайте: 7 лет 1 неделя назад Зарегистрирован: 22.03.2008 - 22:15 Публикации: 54876 Продолжение. Приложения: Чт, 05/04/2018 - 22:12 #4 Катенёв Валенти... Не на сайте Был на сайте: 7 лет 1 неделя назад Зарегистрирован: 22.03.2008 - 22:15 Публикации: 54876 Случаи и цифры Рисунок 1: указатель большого пальца Случай 1: хордома с большим пальцем Рисунок 2: Гистология Случай 2: сакрококкиальная хордома Случай 3: клиновидная хордома с повышенным гипофизом Случай 3: демонстрирует сильное усиление контраста на T1 C + Случай 4: хордома тела позвонка C2 на МРТ Случай 4: хордома позвоночника тела на исследовании ядерной медицины Случай 5: сфено-затылочная хордома у 8-летнего Случай 6: сфено-затылочная хордома на сагиттальной МРТ Случай 6: нерегулярные внутриутробные кальцификации на КТ Случай 7: хоркококковая хордома на КТ Случай 8: хонкрококковая хордома Случай 9: сфено-затылочная хордома на T2 Случай 10 Случай 12: сакральный Случай 13: хордома Случай 14: хордома Случай 15: рецидивирующая хонкрококковая хордома Случай 16 Случай 17 Случай 18 Дифференциальная диагностика изображения макроаденома менингиомы хондросаркома Макроаденома гипофиза
Хордома внутричерепная
Хордома
ID: 4555 Chordoma Dr Frank Gaillard - 12 Sep 2008 MRI and CT demonstrate a large destructive soft tissue mass arising from...
ID: 12796 Chordoma Dr Frank Gaillard - 11 Jan 2011 Although chordomas are typically seen in young adults they need to be co...
ID: 5200 Chordoma Dr Frank Gaillard - 16 Dec 2008 Nasopharynx, biopsy: Chordoma. consists of myxoid tissue containing poly...
ID: 7880 Chordoma Dr Frank Gaillard - 20 Dec 2009 This lesion was resected and confirmed to be a chordoma.
ID: 5269 Chordoma - mainly anterior growth Dr Frank Gaillard - 29 Dec 2008 MRI through the base of skull demonstrates a large midline mass centred ...
Продолжение.
Случаи и цифры
Дифференциальная диагностика изображения